Documente online.
Zona de administrare documente. Fisierele tale
Am uitat parola x Creaza cont nou
 HomeExploreaza
upload
Upload




ЛУЧЕВАЯ АНАТОМИЯ ЧЕРЕПА

Rusa





стояния теменных костей по сравнению с чешуей лобной и затылочной костей, а также на-ползания теменных костей на лобную и затылочную. Это отчетлив 121h711b о видно на боковой кра- на одном уровне. У здорового ребенка не должно быть ни их разновысокого стояния, ни,



взаимного захождения костей.






ми, что обусловлив 121h711b ает гипердолихокранию (рис. 2.2). Подобную форму черепа имеют и дети,









малых степенях незрелости вместо нескольких неслив 121h711b шихся между собой «лучей» имеется все­






швов (правый или левый) становится неотчетлив 121h711b ым, в то время как противоположный стано­














нейной, отражающей шов внутренней костной пластинки.




sutura mendosa.

III

sutura mendosa,

окостенении особенно податлив 121h711b ы и называются родничками. Наиболее важными являются







го является наиболее отчетлив 121h711b ым в краеобразующей зоне. Нормальный мозговой гребень дол­жен иметь невысокую пологую вершину.





падает в венозную кровь, которая по диплоической вене влив 121h711b ается в расположенный рядом





существует 7 выпускников: 3 парных (лобные, теменные и сосцевидные) и 1 непарный, выпускники, также постоянно функционируют и теменные, но их визуализация на стан­




не прилежат к кости, либо имеют столь узкий диаметр, что их костная борозда отчетлив 121h711b о не диф­


III шва. Если шишковидная железа смещена вверх или вниз, то она не попа­


напластований извести на его боковых поверхностях, поэтому на прямой рентгенограмме лис­тки твердой мозговой оболочки, формирующей серп, обусловлив 121h711b ают линейное просветление, расположенное в срединной сагиттальной плоскости между известковыми пластами; на боко­




V.

вествления более отчетлив 121h711b о видны в боковой проекции.

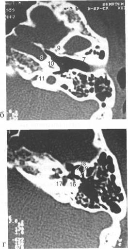
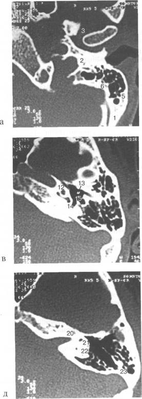
верстий вариабельны, и их величина не играет первостепенной роли в диагностике опухолей яремного гломуса. Кпереди от яремного отверстия располагается округлой формы отверстие канала сонной артерии. Позади яремного отверстия отчетлив 121h711b о прослеживается полосовидное








pyramidalis).




i


(mesotympanum), (epitympanum) (hypotympanum).



(adidus ad antrum), (attic) (m. stapedius).

(promontorium), (m. tensor tympani). (fenestra ovalis), (fenestra rotundum),

recessus epitympanicum, (tegmen tympani)

(antrum mastoideum), adidus ad antrum

(fissura petrosquamosa)



fissura mastoideosquamosa,

ет в щелевидную барабанную полость через слуховую трубу, обусловлив 121h711b ая распад миксоидной




(fossa bulbi venae jugularis).

«bone» «edge»

G1












I








g


G3






m. tensor tympani,






tegmen tympani,






L. VII VIII


(crista falciformis), цевого нерва. Соответствующие черепно-мозговые нервы очень отчетлив 121h711b о дифференцируются в пределах внутреннего слухового канала при МРТ.


















(vena vorticosae);











G7


5




opticus).


(a. ophtalmica).

(v. ophtalmica).

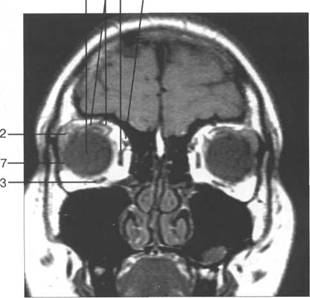
орбитальная клетчатка 4 3

(corpus adiposum orbitale).




I





HU), каплив 121h711b ают контрастный препарат. Толщина хнюю прямую мышцу видно плохо, обычно ее изображение слив 121h711b ается с изображением мыш­

На КТ-изображениях глазное яблоко имеет шаровидную структуру, четко выраженную обо­лочку, внутри его определяется хрусталик эллиптической формы размером 4x9 мм, плотностью

HU.





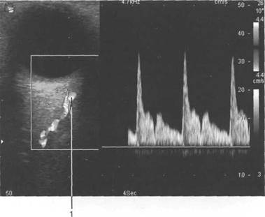
arteria ophtalmica;



(corpus ciliare), (zonula ciliaris)


HU





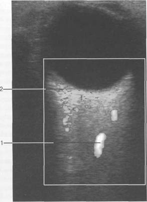
При сонографии отчетлив 121h711b о выявляется чивается хрусталиком, а сбоку - ресничным















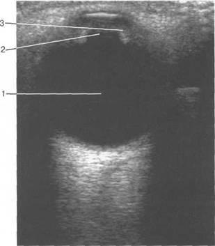
четлив 121h711b о дифференцировать зрительный нерв и глазодвигательные мышцы (рис. 2.16, 2.17).

V




нижняя косая мышца отчетлив 121h711b о



нии 10-15 мм от склеры (рис. 2.21,

























>доль

ITHO-



ie













представляются на рентгенограмме весьма отчетлив 121h711b о, что дает возможность детально изучить их

венечный отросток нижней челюсти, жевательная мышца, околоушная железа, устье слу­ховой трубы. На томограммах во фронтальной плоскости, сделанных на уровне передней, локо, полость носа, верхнечелюстная пазуха, твердое небо, жевательная мышца, медиаль­



















ясь в сторону, перегородка обуславлив 121h711b ает неравную величину полостей обеих пазух.




















B.C.,

Nicer,





Higgins Hricak Helms C.A. Magnetic resonance imaging of the body. 2nd ed.- New York:
Raven Press, P.


Pancoast H., Pendergrass E., Schaeffer J. The Head and Neck in Roentgen Diagnosis.-
Philadelphia,

Robert R., John R. Clinical Magnetic Resonance Imagine.- Philadelphia, P.

Stark D.D., Bradley W.G. Magnetic resonance imaging. 2nd ed.- St. Louis: Mosby-Year Book,
P.

Taverns J., Wood E. Diagnostic Neuroradiology.- Baltimore, p.





Document Info


Accesari: 14574
Apreciat: hand-up

Comenteaza documentul:

Nu esti inregistrat
Trebuie sa fii utilizator inregistrat pentru a putea comenta


Creaza cont nou

A fost util?

Daca documentul a fost util si crezi ca merita
sa adaugi un link catre el la tine in site


in pagina web a site-ului tau.




eCoduri.com - coduri postale, contabile, CAEN sau bancare

Politica de confidentialitate | Termenii si conditii de utilizare




Copyright © Contact (SCRIGROUP Int. 2025 )