![]()
превращается
в трубку и
быстро
делится на первичные
позвонки,
каждый из
к
141s183b 86;торых соот
К моменту рождения (рис. 3.1) тело позвонка почти полностью состоит из к 141s183b 86;стной ткани, за исключением лимбусов, которые остаются хрящевыми. Дуга представлена двумя половинами, не слившимися ни с телом позвонка, ни между собой. Суставные отростки сохраняют перифе
CV|| Thp S,
|
|
![]()
![]()
|
|
|
|
|
|
|
|
|
|
|
|
|
5
|
|
|

![]()
![]()
|
|
|
![]()
![]()
|
|
|
|
|
|
|
Ti
l-i
(lamina)
|
|
|
|
![]()
(uncus)
|
|
|
|
б
|
|
|
![]()
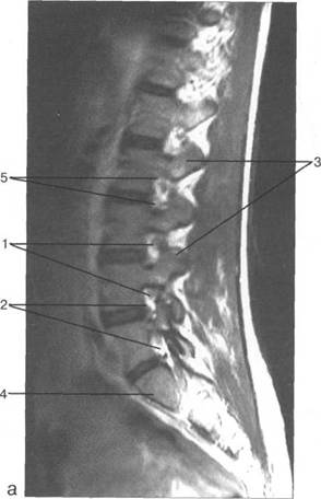
L, L,j,
fc_

L1V v
![]()
|
|
|
|
S,; L1V.
|
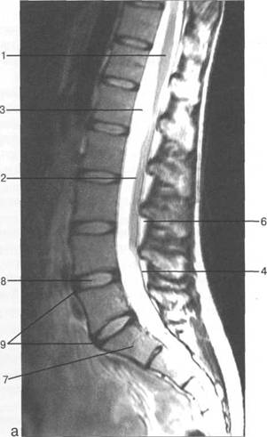
реть взаимное расположение этих линий. Смещений тел позвонков при функциональных про
ThXI_xn, Thx
|
|
L^.
L{ Ln
|
|
|
|
|
|
|
отдел
хвост
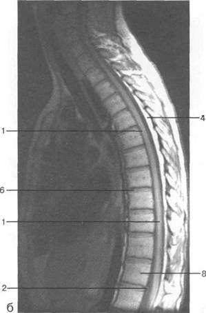
I intumescentia
lumbalis; radix n.
spinalis
(Th. XII); costaXII; conus
medullaris;
vertebra L.
I; radix; ramus
ventralis n.spinalis (L. I); ramus
dorsalis
n.spinalis (L. I); - filum
terminale;
ganglion
spinale (L.III);
I1 - vertebra L V; ganglion spinale
(L.V); os sacrum; 14 - N. S. IV; 15 -
N. S. V; 16 - N. coccygeus; filum
terminale;
os coccyges.
fossa rhomboidea; pedunculus cerebellaris sup.; pedunculus cerebellaris medius; n. trigeminus; n. facialis; n. vestibulocochlearis; margo sup. partis petrosae; pedunculus cerebellaris inf.; tuberculi nuclei cuneati; tuberculi nuclei gracilis; sinus sigmoideus; n. glossopharingeus; n. vagus; n. accessories; n. hupoglossus; processus mastoideus; N.C. I; intumescentia cervicalis; radix dors.; ramus ventr. n. spinalis IV; ramus dors. n. spinalis IV; fasciculus gracilis; fasciculus cuneatus; ganglion spinale (Th. I).
S{n Sn.
conus medullaris) LIU.
|
|
|
|
S3
|
|
|
|
|
|
|
|
|
|
S:; Ln-Lm.
ThvlI1 LIV. (vasa corona).
![]()
![]()
![]()
![]()
![]()
|
|
24 |
|
12 8 |
|
|
|
|
мозга. Боль
(dura mater spinalis), (arachnoidea spinalis) (pia mater spinalis).
|
|
(cavitas epiduralis),
MPT. Cw_v.
Su-SIir
Паутинная мозговая оболочка состоит из к 141s183b 83;еточной мембраны, к которой прикрепляется
|
|
V2; Th,; Thn;
|
|
|
![]()
ThXI1;
ST


3
2
Lv-S,.
Lv; S,; S;; Lv.
8
9
L^
LIV; L^; Lv; LIV;
|
|
|
Lv Sp S,
|
|
|
MPT.
ThXI1;
|
|
ThK-Thx.
Thlx; Thlx;
![]()
Barkovich A.J. Pediatric
neororadiology.-
Haaga J.R. Computed tomography and
magnetic-resonance imaging of the whole body.- Mosby,
p.
|