ECOGRAFIA SUPERFICIALA - PATOLOGIA COTULUI
ECO OSTEOARTICULAR
Ecografia este o metoda de explorare imagistica, nedureroasa care foloseste ultrasunetele Permite vizualizarea anumitor parti ale organismului care sunt ascunse vederii, datorita ecourilor produse de organe.
PATOLOGIA COTULUI
Este o patologie foarte frecventa, dominata de tendinopatia epicondiliana laterala ce corespunde unei patologii micro traumatice de hiper solicitare prin miscari de extensie si de supinatie a pumnului, de exemplu la tenismeni
Tendonul comun al epicondilienilor laterali este constituit din 4 tendoane
Diagnosticul este, in principal, clinic cu clasica durere declansata de extensia pumnului
Bilantul radiografic este, cel mai frecvent, normal dar permite cautarea semnelor de entezofite, calcificari intra-tendinoase, a semnelor de artropatie condilo-radiala epansamente, corpi straini)
Datorita topografiei superficiale, tendonul comun al epicondilienilor este accesibil ecografiei cu sonde de inalta rezolutie, >12 Mhz.
In stare normala, tendonul are o structura fibrillara, cotururi regulate si paralele cu ligamentul colateral lateral situat pe fata sa profunda. Fara flux in doppler color.
Patologic, semiologia ecografica este in functie de stadiul anatomo-patologic.
Entezopatia
Entezopatia simpla se prezinta sub forma unei tumefactii edematoase a tendonului cu pierderea organizarii fibrilare. Se asociaza frecvent cu o hiperemie la doppler color ceea ce traduce o angiogeneza
Aceasta entezopatie poate lua un aspect nodular cu aparitia unei zone de degenerescenta mucoïda care poate evolua spre o veritabila desirare intratendinoasa care apare sub forma unei disectii lamelare. Acest clivaj se poate intinde pana la insertia ligamentului colateral lateral. Tendonul poate fi sediul unei dezinsertii partiale uneori asociate cu o decolare a periostului. Poate surveni chiar o veritabila dezinsertie completa a tendonului comun.
Epicondilalgia poate avea si alte etiologii, uneori intricate
O artropatie humero radiala se prezinta sub forma unui epansament de interlinie sau a unei sinovite localizate cu hiperemie la doppler color. Ea poate fi explicata de un menisc humero-radial.
Compresiunea ramurii posterioare a nervului radial, mai ales la nivelul trecerii sale intre fibrele superficiale si profunde ale supinatorului la nivelul arcadei lui Fröhse corespunde unei ingrosari aponevrotice a marginii superioare a fascicolului superficial.
Aspect eco normal al fascicolului principal, anterior, al ligamentului colateral medial →
Epicondil medial
Ulna
Tendonul epicondilian median →
Pozitia transducerului –
COMPRESIUNEA NERVULUI MEDIAN

Parestezia primelor 3 degete
Hipertrofia n.median → cu hiperemie pe Doppler
Aspectul nervului pe IRM este normal
EPITROHLEITA
Durere epicondiliana interna dupa
suprasolicitare
Aspect de remaniere cu degenerescenta mucoida cu hiperemie la Doppler a tendonului comun epitrohlean
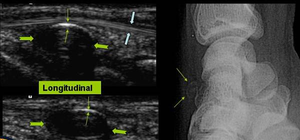
CHIST MUCOID INTRANEURAL AL NERVULUI ULNAR

Parestezii de lunga durata a degetelor 4 si 5
Structura chistica ce disociaza filetele nervoase → cu hiperemie in perinerv →
Pe IRM se evidentiaza hipertrofie nervoasa in T2 si prinde contrast in periferia chistului in T1
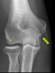
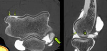
COMPRESIUNEA NERVULUI ULNAR PRIN OSTEOCONDROM SECUNDAR



Parestezii in teritoriul nervului ulnar Mica osificare →in contact cu n. Ulnar → Pe IRM mica lacuna osteocondrala a condilului →* corespunzator locului de plecare a osteocondromului
LUXATIA NERVULUI ULNAR
Nervul ulnar →
Sectiune transversala la nivelul santului epitrohleo olecranian
Nervul ulnar normal, cot in extensie →
Luxatie anterioara a nervului ulnar in flexia cotului →
HIGROMA OLECRANIANA

Structura chistica discret cloazonata situata superficial fata de olecran,
pe fata profunda a tesutului celular subcutanat cu hiperemie in Doppler color
PATOLOGIA
PUMNULUI
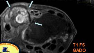
SVANOM DE NERV MEDIAN


Tumefactie dureroasa a fetei palmare a pumnului
Leziuni tisulare→ hipervascularizate → in Doppler color, placate pe n.median
Corespondenta pe IRM
CHIST SINOVIAL CALCIFICAT INTR-UN SANT TENDINOS

Tumefactie sensibila pe fata dorsala a pumnului
Mica structura chistica → cu contur partial calcificat → in contact cu extensorul degetului 4 →
SINOVITA REUMATISMALA A CARPULUI



Poliartralgii cu subluxatii interfalangiene
Zone hipoecogene, hipervascularizate situate in tendonul extensor → asociat cu hipertrofie sinoviala a Articulatiei radiocarpiene → Confirmare IRM cu SDC
FRACTURA DE SCAFOID



Intreruperea corticalei cu artefact subiacent →
Ligamentul scapulo lunar este continuu
Confirmare radiografica
FIBROMATOZA PALMARA DUPUYTREN

Tumefactie nedureroasa pe fata palmara a degetului
Nodul tisular hipoecogen → in aponevroza palmara superficiala a flexorului
degetului IV→
Absenta vascularizatiei in doppler color
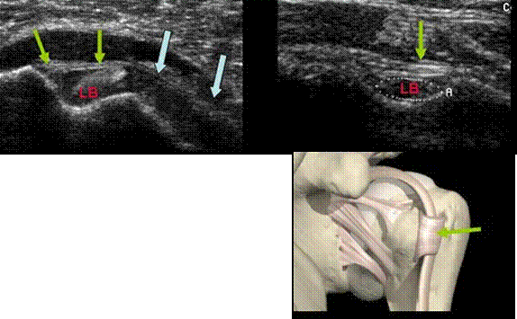
UMAR

2
Aspectul normal al tendoanelor in sectiune sagitala si in sectiune transversala

Traumatism subacromial
Amprenta ligamentului coraco acromial→pe versantul superficial al supraepifizarului→cu bursopatie→.ligamentul coraco-acromial pare bombat ( → )comparativ cu partea opusa(→)
CHIST SINOVIAL GLENO HUMERAL ANTERIOR

DURERI SCAPULARE ANTERIOARE
STRUCTURA CHISTICA, TRANSSONICA,SITUATA DEASUPRA APOFIZEI CORACOIDE PRELUNGINDU-SE CU UN COLET PANA IN RECESUL SUBSCAPULAR
CONFLIT SUBACROMIAL


UMAR DUREROS
Ecografic- un discret epansament in bursa sub acromio deltoidiana
Pe IRM lichidul se gaseste in articulatie si in bursa
RUPTURA PARTIALA PROFUNDA A SUPRAEPIFIZARULUI

STG. LONGITUDINSIAL - TRANSVERSAL

DR STG
UMAR DUREROS CRONIC
Fisura partiala a fetei articulare a versantului anterior al supra epifizarului
Confirmare IRM
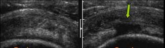
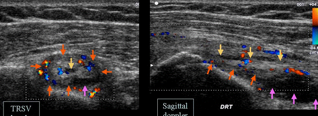
TENOSINOVITA BICEPSULUI
28
FISURA BICEPSULUI(sageata galbena
INGROSAREA TENDONULUI – SAGEATA PORTOCALIE
EPANSAMENT PERITENDINOS-sag.mov
Hipervascularizatie intrea si peritendinoasa
LIGAMENTUL HUMERAL TRANSVERS

Ligamentul humeral transvers→ prelungeste
fascia superficiala a suprascapularului→in
afara impiedecand astfel luxatia bicepsului
in timpul miscarilor de rotatie.
FISURA LONGITUDINALA A BICEPSULUI
FISURA BICEPSULUI →cu epansament lichidian in spatiul de culisare
a m. Confirmare IRM
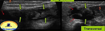
RUPTURA TENDONULUI SUPRAEPIFIZAR

Sagital Coronar

Ruptura tendonului supraepifizarde 4 mm in sagital→
De 3mm in coronal→
Tendonul bicepsului→
Cartilajul capului humeral cu interfata
hiperecogena intre cartilaj si lichid→
Confirmare IRM →
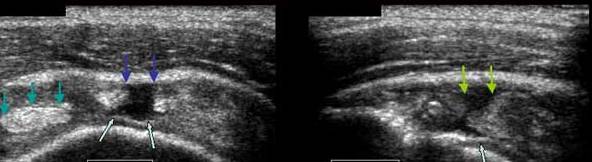
ENTORSA ACROMIOCLAVICULARA


Epansament hipoecogen in sistemul capsulo-ligamentar→
Cu discreta hiperemie la Doppler
Comparatie cu aspectul normal al articulatiei→
Radiografic- aspect normal →
OSTEOCONDROMATOZA GLENO-HUMERALA




Ansamblul receselor articulare si spatiul bicipital sunt ocupate de osteocondroame confirmate IRM

RUPTURA TENDONULUI BICEPSULUI

Hematom al bratului cu tumefiere dupa un efort
Ruptura completa a bicepsului lung → care pare retractat
Colectie hematica in regiunea tendinoasa →
PATOLOGIA BAZINULUI
INSERTIA TENDONULUI COMUN AL MUSCHIULUI PSOAS ILIAC

Tendonul terminal al muschiului iliac se termina pe fata anterioara si laterala
a muschiului psoas. Tendonul comun al m. psoas iliac se insera pe trohanterul mic
DESPRINDEREA NUCLEULUI SECUNDAR DE CALCIFICARE A TROHANTERULUI MIC



Traumatism la o gimnasta de 13 ani
Desprinderea nucleului de osificare secundar
al trohanterului mic pe care se insera tendonul
psoasului iliac
Confirmare radiologica
TENDINOPATIE
CALCIFIANTA
A TENDONULUI DIRECT AL MUSCHIULUI DREPT FEMURAL


Insertia tendonului direct al m. drept femural
pe spina Iliaca
antero inferioara →
Tendonul este ingrosat, hipoecogen →
cu mici calcificari →
|