Explorari paraclinice
1.Endoscopia - este obligatorie pentru diagnostic permite:
Deoarece numai ulcerul gastric pune problema diferentierii lui de cancerul gastric, este necesar si obligatoriu examenul endoscopi cu prelevari bioptice din ulceratia gastrica. Relatia ulcer gastric - cancer gastric este mai putin obisnuita, dar exista cicatrizati in care ciclul inchiderii nisei sufera si apare leziunea maligna de obicei pe marginea nisei. Chiar observandu-se inchiderea nisei gastrice, bolnavii necesita control periodic, ulcerul gastric fiind considerat ca o leziune premaligna.
v
Fig.5 Apropierea pilorului de cardie
v Convergenta pliurilor mucoasei gastrice catre ulcer , = semn de benignitate.
Examenul radiologic = dg. dif benign -nisa iesita din conturul gastric cu pliuri
din vecinatate suple
malign-nisa încastrata cu rigiditate parietala si anarhia pliurilor mucoasei din vecinatate
Examenul secretiei gastrice interes mic dg. UG nu puternic secretant, totusi pot face dg. dif benign-malign ( hipoanaciditatea histamino rezistenta = malign
3. Chimismul gastric bazal sau stimulat - nu mai sunt de actualitate
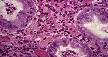
Determinarea Helicobacter Pylori
l Etapa obligatorie, în vederea tratamentului etiologic al UGD
l Metode directe:
l Endoscopie cu biopsii
l Cultura
l Testul ureazei
l Metode indirecte:
l Determinarea Ac antiHP în ser
l Test respirator cu uree marcata cu C13 sau C14
l Determinarea Ac anti HP în saliva
l Determinarea bacteriei în scaun
l Toate au o sensibilitate de peste 90%

|