Documente online.
Zona de administrare documente. Fisierele tale
Am uitat parola x Creaza cont nou
 HomeExploreaza
upload
Upload




Radiopediatrie

medicina


RADIOPEDIATRIE



Metodele imagistice folosite pentru copii utilizeaza aceleasi instalatii ca pentru adulti. 80-85% din totalul examinarilor in pediatrie este detinut de radiologia conventionala (radiografie, radioscopie), 8-12% de ecografie, 3-5% de CT, 2-4% de RMN si 2-4% de medicina nucleara.



O atentie speciala este acordata reducerii dozelor de radiatii in explorarea radiologica a copilului. O indicatie pe deplin fundamentata a examinarii, utilizarea unor instalatii performante si folosirea cat mai mult posibil a sorturilor protectoare din plumb sunt cateva din masurile ce se pot lua in acest scop.



APARATUL RE 737f59h SPIRATOR


►Tehnicile folosite la copil sunt cele descrise la adult. Exista doar dispozitive speciale care sa sustina copilul intr-o pozitie convenabila in timpul radiografiei.

►Particularitati ale imaginii radiologice toraco-pulmonare la copil

1. Toracele:    - la sugar si copilul mic este scurt, diametrul bazal mare si coaste orizontalizate;

- pe masura dezvoltarii creste mai mult vertical si se turteste antero-posterior.

2. Inima:    - este orizontalizata datorita pozitiei inalte a diafragmului (ficat mare, aerocolie) si datorita compresiunii timusului;

- conul arterei pulmonare este proeminent, iar butonul aortei invizibil;

- in ansamblu imaginea cardio-vasculara ia aspectul configuratiei mitrale;

- imaginea cardio-vasculara asemanatoare celei a adultului se evidentiaza dupa varsta de 7 ani.

3. Diafragmul: - are pozitie inalta la sugari, proiectandu-se uneori in spatiul 3 intercostal.

4. Mediastinul: - ocupa un spatiu mai mare, are un pedicul vascular mai larg, fara imaginea butonului aortic pana la 5-6 ani.

5. Timusul:    - situat in mediastinul superior si anterior are forma triunghiulara, cu margini ondulate, se mareste in expir.

6. Plamanii: - au tesut interstitial mai bogat si mai bine vascularizat aparand mai putin aerati si mai hiperemiati (desen pulmonar mai accentuat) fata de adult;

- hilurile sunt mari, cel stang frecvent mascat de cord.

Radiologie clinica

1. Sechestratiile pulmonare

- sunt malformatii congenitale in care o parte de tesut pulmonar este functional exclusa si este hranita direct din aorta.

- in sechestratiile intralobare aspectul radiologic depinde de persistenta unei comunicari cu sistemul bronsic. Cand nu exista comunicare, apare ca o opacitate rotunda sau ovala omogena situata intotdeauna in lobul inferior; se poate infecta, prezentand aspectul unui abces pulmonar. Cand exista comunicare, segmentul este aerat normal.

- in sechestratiile extralobare segmentul este total ectopic, prezentandu-se ca o opacitate.




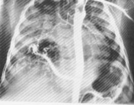
Fig. 102 -    Sechestratie pulmonara; radiografia de fata si profil evidentiaza o opacitate in baza dreapta; arteriografia demonstreaza vascularizatia sistemica a teritoriului respectiv.

2. Sindromul de detresa respiratorie (boala membranelor hialine)

- este datorat unei deficiente (idiopatice) a surfactantului;

- in cazurile severe, radiologic se evidentiaza o aerare aproape absenta a plamanilor si prezenta de aer in bronhii (‘’ bronhograma aerica’’);

- in formele medii se observa opacitati reticulo-granulare in ambii plamani, datorate suprapunerii nodulilor acinari (cauzati de alveolele atelectaziate) si a bronhiilor dilatate.


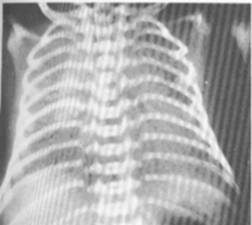
Fig. 103 - Forma medie cu opacitati reticulo-granulare bilateral

Fig. 104 - Forma severa cu aerare diminuata si bronhograma aerica.


3. Displazia bronhopulmonara

- apare ca o complicatie frecventa si importanta a terapiei ventilatorii;

- radiologic se caracterizeaza initial prin exudat alveolar si reactie inflamatorie cu scaderea aerarii pulmonare;

- in urmatorul stadiu zone de hiperventilatie se suprapun partial cu opacitati atelectatice si interstitiale;

- in continuare, printr-un proces de fibroza interstitiala se realizeaza aspectul radiologic de ‘’fagure de miere’’.

4. Pneumonia virala

- se caracterizeaza radiologic prin: hiperaerare, opacitati interstitiale si peribronhovasculare in regiunile parahilare.

5. Pneumonia bacteriana

- pneumonia acuta la copil produce o opacitate rotunda sau ovalara cu caracter alveolar, ce trebuie diferentiata de un neoplasm intratoracic.

6. Tumorile intratoracice

- reprezinta o conditie patologica neobisnuita dar nu rara, avand ca punct de plecare peretele toracic (cele mai putine), mediastinul, sau plamanul.

■ Masele mediastinale

- 30% sunt localizate in mediastinul anterior si cele mai frecvente sunt in ordine: teratomul, limfomul, tumorile timice, tumorile tiroidiene.

- 30% sunt localizate in mediastinul mijlociu: adenopatii (infectioase, neoplazice) si malformatii (chist bronhogenic, duplicatie enterica, chist enteric, sechestratie);

- 40% sunt localizate in mediastinul posterior si 95% din ele sunt tumori nervoase (neuroblastom, ganglioneuroblastom, ganglioneuron).


Fig. 105 -    Ganglioneuron.

7. Corpii straini

- 3/5 din corpii straini sunt localizati in sistemul bronhic drept;

- doar 10% din corpii straini sunt radioopaci;

- semne radiologice: hiperinflatie, atelectazie, condensare si ‘’air trapping’’;

- la copii mai mici de 3 ani un proces pneumonic trebuie suspectat ca fiind consecinta unui corp strain radiotransparent.


APARATUL DIGESTIV


Tehnicile de examinare a tractului digestiv cuprind: examenul radiologic pe gol si studiile cu contrast pozitiv; in cele mai multe cazuri se foloseste sulfatul de bariu. Contrastul hidrosolubil este folosit doar in cazul riscului de aspiratie, perforatie, ocluzie.

Radiologie clinica

1. Atrezia esofagiana

- confirmarea diagnosticului se face cu o sonda radioopaca introdusa in fundul de sac; se poate insufla aer ca substanta de contast.


Fig.106 -    Atrezie esofagiana


2. Ocluziile neonatale

- se manifesta radiologic prin anse dilatate cu nivele hidroaerice pe radiografia abdominala simpla;

- administrarea de contrast se poate face complementar pentru stabilirea exacta a sediului obstructiei;

- cauze de ocluzie neonatala:

- atrezia duodenala si stenoza duodenala (radiografia abdominala simpla: prezenta aerului in stomac si un bulb duodenal dilatat (‘’dublu bulb’’ ), precum si absenta aerului in tractul gastrointestinal distal.

- atrezia si stenoza intestinala ( atrezia (obstructie completa) si stenoza (obstructie incompleta) se datoreaza unui accident vascular in utero; - in caz de obstructie jejunala radiografia abdominala simpla este suficienta pentru diagnostic, demonstrand nivele hidroaerice de intestin subtire; - in caz de obstructie distala, din cauza greutatii de a distinge intre imaginile hidroaerice de intestin subtire sau de colon, pentru precizarea sediului obstructiei se poate administra prin clisma o mica cantitate de contrast hidrosolubil.

- volvulus pe mezenter comun;

- obstructie mecanica prin dop de meconiu;

- maladia Hirschprung: - este o obstructie colica functionala datorata absentei celulelor ganglionare in segmentul distal al intestinului. Radiografia abdominala simpla evidentiaza distensie intestinala proximal de segmentul aganglionic cu nivele hidroaerice. Irigografia demonstreaza trecerea de la un calibru ingustat al zonei aganglionice la un calibru dilatat al colonului normal.

3. Varsaturile nou nascutului

- sunt datorate:

- malpozitiei cardio-tuberozitare – mai frecvente la baieti si variaza de la cardia beanta la marile hernii hiatale; sunt asociate cu reflux gastro-esofagian;

- stenozei hipertrofice de pilor - radiologic se remarca un lumen piloric alungit si ingustat cu hipertrofie musculara ce determina o impresiune pe antrum si bulb.

4. Duplicatia intestinala

- duplicatiile sunt de fapt chiste enterice: structuri sferice sau tubulare captusite la interior de epiteliu intestinal, cu un subtire strat muscular in perete, aderente la unele portiuni ale tractului digestiv;

- radiografia abdominala simpla poate demonstra o masa abdominala de tesut moale;

- examenul cu contrast confirma localizarea intraperitoneala a masei, afectand extrinsec jejuno-ileonul.

5. Enterocolita necrozanta

- se caracterizeaza radiologic prin: distensie intestinala focala in cadranul inferior drept, ileus, gaz intramural, ingrosarea peretelui intestinal si gaz in vena porta.

- stenozele intestinale reprezinta sechele ale enterocolitei necrozante;

- indicatia radiologica absoluta pentru interventia chirurgicala o reprezinta pneumoperitoneul consecutiv perforatiei intestinale.

- examinarea cu contrast are in vedere depistarea stricturilor intestinale.

6. Invaginarea (intususceptia)

- cele mai frecvente invaginari sunt ileo-colice sau ileo-ileo-colice;

- pot fii idiopatice sau secundare unui diverticul Meckel, limfosarcom sau polip;

- radiografia abdominala simpla poate fi normala, sau demonstrand o masa intraluminala (opacitate neta cu absenta aerului in amonte) sau semne de ocluzie;



- irigografia pe langa rolul diagnostic poate avea si rol terapeutic.


Fig. 107 -    Invaginatie ileocolica redusa prin clima baritata



APARATUL URINAR


Tehnica de examinare radiologica conventionala cuprinde radiografia renala simpla urografia venoasa si uretro-cistografia.

Particularitati anatomo-radiologice ale aparatului urinar la copil

La copilul mic opacitatea renala este mai mare, pe dreapta polul inferior ajungand pana la creasta iliaca. Ariile renale sunt paralele cu coloana vertebrala pana la un an; contururile lor externe sunt boselate. Corticala este subtire pana la 7-8 ani, iar bazinetul este initial situat intrarenal. Grasimea perirenala este slab reprezentata si nu creaza contrast natural pana la 2 ani. Vezica urinara este mai mica, ovala si mai sus situata.

Radiologie clinica

1. Obstructia jonctiunii pelvi-ureterale

- este cea mai comuna obstructie congenitala a tractului urinar;

- presupune o ingustare intrinseca a joctiunii pelvi-ureterale, determinand hidronefroza;


Fig. 108 -    Hidronefroza dreapta prin obstructia jonctiunii pielo-ureterale.


2. Ectopia ureterala

- se datoreste imposibilitatii ureterului de a se separa de canalul Wolf;

- ureterul ectopic este mai frecvent la sexul feminin, unde se deschide in uretra, vestibul sau vagin, mai rar in rect sau uter;

- la sexul masculin ureterul ectopic se deschide in uretra posterioara, canalele ejaculatoare, veziculele seminale sau rect.

- UIV evidentiaza in cele mai multe cazuri direct ureterul ectopic.

3. Vezica neurogena

- cauza cea mai frecventa a vezicii neurogene la copil o reprezinta disrafismul spinal;

- UIV demonstreaza o vezica cu pereti ingrosati si eventuale dilatatii in amonte.

4. Valvele uretrale posterioare

- atunci cand marginile faldurilor mucoase normale (plicae collicularis) fuzeaza anterior se formeaza asa numitele valve uretrale posterioare;

- diagnosticul este stabilit de uretro-cistografia: evidentiaza o vezica cu pereti ingrosati, trabeculati si uneori reflux vezico-ureteral. Uretra posterioara este dilatata valva producand un aspect de ‘’ spinnaker sail’’.

5. Tumora Wilms (nefroblastomul)

- este cea mai comuna masa abdominala si in acelasi timp cea mai frecventa neoplazie renala la copil;

- UIV evidentiaza: dislocarea, ingustarea, amputarea calicelor, boselarea contururilor umbrei renale.

CT stabileste extensia tumorii.















Fig. 109 - Valva uretrala si mic diverticul vezical


6. Neuroblastomul

- este cea mai comuna tumora maligna solida extracraniana la copii;

- este a treia, in ordinea frecventei, tumora maligna la copil;

- este o tumora maligna a neuroblastilor primitivi ce se pot dezvolta oriunde in lantul ganglionar simpatic sau in medulosuprarenala;

- are deci localizare suprarenala sau paravertebrala de unde se extinde peste linia mediana;

- UIV evidentiaza semnele sindromului pseudotumoral eventual precizand situatia extrarenala a formatiunii;

- diagnosticul de certitudine se pune CT.

Fig. 110 -    Nefroblastom



APARATUL OSTEO-ARTICULAR


Tehnica de examinare radiologica conventionala nu difera de cea a adultului. Sunt situatii cand este necesara imobilizarea cu dispozitive speciale a copilului. Se acorda intotdeauna o maxima atentie protectiei cu ajutorul sorturilor de plumb a zonelor sensibile neexpuse.

Particularitatile radioanatomice ale scheletului la copil sunt conferite de: structura osoasa este mai putin bine conturata (dispozitia trabeculelor nu este ordonata biomecanic), prezenta cartilajelor metafizare de crestere si a nucleilor secundari de osificare, prezenta unor aspecte particulare la nivelul corpurilor vertebrale (vertebra biconcava cu dehiscenta ventrala), pneumatizarea treptata a cavitatilor craniene, etc.

Cresterea si dezvoltarea osoasa

- dezvoltarea prenatala;

- se osifica toate scheletele cartilaginoase diafizare;

- la nastere exista doar 3 puncte de osificare epifizare: al capului femural, al epifizei inferioare femurale si al efifizei proximale a tibiei.










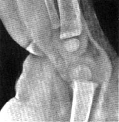
Fig. 111 - Radiografie de genunchi in incidenta de profil cu evidentierea nucleilor epifizari.


- dezvoltarea postnatala

- se dezvolta oasele mici ale tarsului si carpului, precum si epifizele oaselor lungi;

- dezvoltare din adolescenta

- se osifica cartilajele de crestere.

Datele statistice au permis fixarea datelor aproximative de aparitie a nucleilor de osificare secundara si fuziunea lor ulterioara la corpul osului. Aprecierea varstei osoase se face prin radiografierea regiunii pumnului bilateral si compararea cu imaginile din atlase.

Radiologie clinica

1. Traumatisme – fracturi

- la nivelul membrelor apar forme specifice copilariei:

■decolarea epifizara care poate fi:

- pura (cu smulgerea totala a ligamentelor epifizare si epifiza dislocata), - asociata cu fractura parcelara metafizara,

- asociata cu fractura epifizara,

- fractura metafizo-epifizara ce traverseaza cartilajul de crestere,

- traumatism in axul lung al osului cu turtirea cartilajului de crestere.

■decolarea epifizara a capului femural (epifizioliza)

- apare la adolescenti (10-15 ani);

- se apreciaza radiografic prin linia Klein: tangenta oblica la marginea superioara a colului femural, care in mod normal trebuie sa treaca prin nucleul cefalic; in epifizioliza trece deasupra, in afara lui, sau alteori, sub acesta.


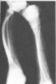
Fig. 112 -    Fractura in lemn verde

Fig.    113 - Fractura subperiostala


■fractura in lemn verde in care indoirea traumatica a osului duce prin flectare, la o linie de fractura incompleta sau denivelare corticala marginala la nivelul convexitatii;

■smulgerea osoasa este de obicei parcelara si minima la nivelul unei epifize.

■sindromul de copil agresat consta in leziuni ale partilor moi si fracturi ale oaselor lungi ale membrelor si/sau coastelor sau craniului.

■ fracturile de stress (mers) apar la copiii care incep sa mearga, avand sediu la nivelul extremitatii superioare a tibiei, sau partii medii a peroneului si metatarsienelor.

2. Displazia coxo-femurala

- este cea mai frecventa malformatie a aparatului locomotor, afectand cu predilectie sexul feminin (80%);

- examenul radiologic evidentiaza luxatia, forma si gradul ei de dezvoltare, factorii favorizanti si modificarile artrozice secundare; in acest sens au fost create o serie de puncte, linii si unghiuri de reper care vizeaza aprecierea procesului displazic de la nivelul bazinului, femurului si tulburarile raporturilor coxo-femurale;

- pentru aprecierea displaziilor de bazin se folosesc: unghiul de evazare a bazinului (verticala ce trece prin simfiza pubiana si o oblica pornita din unghiul inferior al pubelui la spina iliaca antero-superioara; normal are 500) si unghiul de sprijin al trunchiului pe membrele inferioare (oblica ce porneste de la unghiul inferior al pubelui la spina iliaca antero-superioara si axa colului femural; normal are 900)



- pentru aprecierea displaziilor de cotil se foloseste unghiul de acoperire a capului femural (perpendiculara in centrul capului femural si tangenta la marginea externa a cotilului; in displazia cu cotil insuficient este <150). Pentru aprecierea protruziei acetabulare se remarca marginea interna a capului femural care depaseste proiectia liniei nenumite, precum si unghiul de acoperire a capului femural care este>300.

- pentru aprecierea displaziilor colului femural se foloseste unghiul de inclinatie a colului (format de axa colului si cea metadiafizara, valoarea normala fiind de 124 -1300);

- pentru aprecierea raporturilor topografice coxo-femurale se folosesc si alte repere:

■cadranele Ombredane: orizontala care trece prin cartilajul in ‘’Y’’ si perpendiculara pe aceasta ce trece prin marginea externa a sprancenei cotiloide. La normali nucleul capului femural se afla in cadranul infero-intern.

■cadranul Putti: format din orizontale prin marginea inferioara a ‘’U’’-ului radiologic si cartilajul ‘’Y’’ si verticalele care trec prin marginea externa a sprancenei cotiloide si prin fundul acetabular. Normal, nucleul capului femural este situat in acest cadran.

■arcul cervico-obturator: constituit dintr-un arc continuu care indica contururile marginii superioare a gaurii obturate si inferioare a colului femural. In luxatii acest arc este intrerupt.




Fig.    114 - Cadranele Putti

Fig.    115 - Displazie coxofemurala



■linia Nelaton-Roser: uneste spina iliaca antero-superioara cu varful marelui trohanter (pe radiografiile laterale cu flexia coapsei pe bazin 450.

3. Displazia spondiloepifizara Morquio

- apare precoce la 1-2 ani ca o boala ereditara determinata prin exces mucopolizaharidic;

- este prezent un nanism dizarmonic cu trunchi si gat scurt, membre normale, laxitate ligamentara si tulburari secundare de statica;

- radiologic se constata: platibazie, platispondilie, neregularitati ale nucleilor epifizari, epifize mici, osteoporotice, deformate, incurbari diafizare secundare, aspect conic al metacarpienelor II, III si IV.

4. Acondroplazia Parrot

- reprezinta tipul displaziilor cu insuficienta fizala;

- se recunoaste prin: cap mare, trunchi normal, picioare scurte si sucite, hiperlordoza si hipercifoza;

- radiologic: brahicefalie, masiv facial putin dezvoltat, vertebre cuneiforme, stenoza vertebrala, cartilaje de crestere neregulate, deformate. Lungimea membrului ca urmare a tulburarilor fizale in minus este redusa. Miinile au aspect in trident, cu 3 degete egale.

5. Mixedemul congenital

- intarzierea aparitiei nucleilor de osificare si disgenezie epifizara – punctele de osificare aparute sunt mici si fragmentate. Modificarile sunt bilaterale si simuleaza, la nivelul soldului, osteocondrita.

- densificarea oaselor craniului;

- intarzierea inchiderii marii fontanele si prezenta oaselor vormiene;

- ingrosarea diafizelor oaselor lungi;

- intarzierea sudurii arcului vertebral posterior de corpul vertebrei.

6. Boala exostozanta Ombredanne

- formatiuni osoase cu structura spongioasa delimitate de corticala, cu sediu metadiafizar, se dezvolta in alte directii decat cele normale

- in displaziile metafizare sunt prezente si tulburari de modelare din care rezulta deformari si dezvoltari in alte directii ale osului.

7. Osteogeneza imperfecta (congenitala Vrolick, tardiva Lobstein)

- este o enzimopatie complexa care determina o insuficienta periostala congenitala;

- clinic: sclere albastre, otoscleroza, nanism dizarmonic;

- radiologic: os transparent ca de sticla si hipoplazic, craniu cu bordura, hiperlaxitate ligamentara, fracturi patologice, deformari osoase si nanism secundar.



Fig. 116 - Osteogeneza imperfecta tardiva Lobstein

Fig.    117 - Osteopetroza


8. Osteopetroza (boala oaselor de marmura)

- este o maladie progresiva intalnita in copilarie ca forma grava si cu caractere benigne la adult;

- radiologic: calcifiere patologica ce da osului aspectul marmorat, cu absenta trabeculatiei si tulburari moderate de cilindrare. Craniul are o bolta larga; datorita ingustarii prin osteocondensare a canalelor osoase, apar tulburari neurologice. Extremitatile oaselor lungi sunt latite, uneori cu benzi transversale in regiunea metafizara, iar canalul medular mult ingustat sau chiar disparut.

9. Osteodistrofia fibroasa localizata

- apare in copilarie si afecteaza metadiafizele oaselor lungi;

- radiologic se constata aspecte polichistice metadiafizare in forme si stadii de dezvoltare variate, intre care se distinge un chist ‘’in medalion’’ marcat printr-un lizereu osteosclerotic.

10. Rahitismul

- faza de debut: atingerea osoasa este discreta si intereseaza extremitatile inferioare ale radiusului si ulnei. Marginea metafizara este demineralizata si franjurata, ulterior se largeste si devine concava;

- perioada de stare: -largirea spatiului metafizo-epifizar (marginea metafizara largita si dantelata), -nucleul epifizar de osificare apare tardiv si















Fig. 118 -    Rahitism carential comun

este rarefiat, -afectare diafizara (demineralizare, fracturi in lemn verde), -intarzierea inchiderii fontanelelor si franjurarea contururilor suturale, -deformarea si marirea extremitatii anterioare a coastelor.

- formele severe: - demineralizarea intregului schelet, -deformarea toracelui care devine plat, cu baza largita si sternul proiectat anterior.

- deformarile rahitice: apar in formele severe netratate si constau in: deformari toracice, cifoscolioza toracala, coxa vara bilateral.









BIBLIOGRAFIE SELECTIVA


Witten D.M., Myers G.H., Utz D.C.: Clinical Urography, Ed. 4, Philadelphia, W.B. Saunders Company, 1977.






Document Info


Accesari: 5433
Apreciat: hand-up

Comenteaza documentul:

Nu esti inregistrat
Trebuie sa fii utilizator inregistrat pentru a putea comenta


Creaza cont nou

A fost util?

Daca documentul a fost util si crezi ca merita
sa adaugi un link catre el la tine in site


in pagina web a site-ului tau.




eCoduri.com - coduri postale, contabile, CAEN sau bancare

Politica de confidentialitate | Termenii si conditii de utilizare




Copyright © Contact (SCRIGROUP Int. 2025 )