sUNTUL DREAPTA-ST NGA (BOLI CONGENITALE DE CORD CIANOGENE)
Cianoza rezulta din prezenta Hb reduse īn circulatie īntr-un proces ce depaseste 5 g/lOOml. Cianoza se coreleaza pāna la un punct cu gradul de hipoxemie, dar depinde mult de concentratia de hemoglobina, fiind mai probabila īn cazurile de policitemie. Cianoza asociata bolilor congenitale de cord se īntālneste īn 3 eventualitati:
1. Scaderea volumului sanguin pulmonar, stiind ca exista o relatie directa īntre debitul pulmonar si gradul de hipoxemie. Urmatoarele entitati clinice asociaza cianoza prin debit pulmonar scazut: tetralogia Fallot, atrezia pulmonara cu DSV, trunchiul arterial comun si atrezia valvei tricuspide.
Tulburarea relatiei anatomice normale īntre venele sistemice (vena cava superioara, vena cava inferioara si sinusul coronar) pe de o parte si venele pulmonare, aorta si arterele pulmonare, pe de alta parte. In mod normal venele pulmonare devarsa sāngele īn aorta via atriul stāng,.iar venele sistemice dreneaza sāngele in artera pulmonara, via atriul drept.
īn transpozitia marilor vase, relatia anatomica este tulburata. Venele sistemice (vena cava superioara si inferioara) sunt conectate la aorta (prin atriul drept), iar venele pulmonare sunt conectate Ia artera pulmonara (prin atriul stāng). Circulatia normala este "inversata" prin transpozitia marilor vase, caci sāngele neoxigenat ajunge īn aorta si sāngele oxigenat ajunge īn plamāni. Supravietuirea este conditionata de existenta unor comunicari īntre aceste circulatii "paralele". Gradul de cianoza si hipoxemie nu mai este determinat de volumul fluxului pulmonar, ci de dimensiunea comunicarii si volumul suntului dreapta-stānga, care realizeaza amestecul sāngelui.
īntoarcerea venoasa pulmonara anormala -forma completa - este tot o exemplificare a tulburarii
relatiilor anatomice normale. Venele pulmonare si sistemice dreneaza īmpreuna īn atriul drept si sāngele ajunge īn marea circulatie prin sunt dreapta-stānga, devenit indispensabil.
^Tetralogia Fallot
Tetralogia Fallot constituie 10% din totalul bolilor de cord, fiind considerata cea mai frecvent īntālnita boala cianogena. Numele este īn legatura cu cele 4 anomalii anatomice remarcate īn descrierea princeps si anume: stenoza (atrezia) arterei pulmonare, comunicarea interventriculara, dextropozitia aortei si hipertrofia ventriculului drept. Se asociaza relativ frecvent cu sindromul di George, Apert sau sindromul trombocitopenie - absenta radiusului.
Leziuni anatomice. Obstacolul pe calea de evacuare a ventriculului drept, reprezentat de stenoza pulmonara infundibulara constituie leziunea cea mai importanta, de care depinde prognosticul si gravitatea formei clinice. Stenoza poate fi infundibulara, dar si valvulara (2/3 din cazuri), cu inel valvular hipoplastic, hipoplazie a ramurilor arterelor pulmonare, mai rar stenoze distale ale ramurilor arterelor pulmonare. Comunicarea interventriculara este situata anterior īn septul membranos, īn apropierea orificiului aortic, este larga si nerestrictiva. Dextropozitia aortei poate fi īnteleasa numai cu argumente embriologice. Ea poate fi de grad 555g61f e variate, de la o deplasare minima pāna la o deplasare de 50-75% pentru cazurile severe. De fapt este o antepozitie a aortei, care plaseaza valva sigmoida necoronara mai la dreapta si mai anterior decāt obisnuit. Inelul valvei aortice are o continuitate fibroasa cu foita anterioara a valvei mitrale. īn 25% din cazuri arcul aortei se afla si el īn dextropozitie (nu numai originea vasului). Se pot asocia anomalii la īntoarcerea venoasa pulmonara sau sistemica: 10% dintre bolnavi au anomalie de origine a arterelor coronare. Se descriu mai multe tipuri de variante anatomice ale arterelor coronare, care trebuie inventariate cu exactitate preoperator. Ca o consecinta a defectelor anatomice se realizeaza o supraīncarcare de presiune a ventriculului drept cu hipertrofie ventriculara dreapta, care, īn viziunea autorului care a facut prima descriere, a fost considerata ca cea de a 4-a leziune.
Hemodinamica tetralogiei Fallot constituie un exemplu tipic de sunt dreapta-stānga. Desi exista comunicare anormala īntre cordul drept si stāng la doua nivele (ceea ce ar presupune un sunt stānga-dreapta), obstructia caii de golire a ventriculului drept conduce la directionarea suntului īn sens dreapta-stānga. Volumul acestui sunt depinde
Esentialul īn PEDIATRIE
de gradul stenozei pulmonare si de rezistenta vasculara sistemica. Se realizeaza un adevarat cerc vicios si anume: rezistenta sistemica scazuta usureaza suntul, hipoxia īnsasi scade rezistenta sistemica. Orice crestere de debit prin suntul dreapta-stānga agraveaza hipoxia, iar acidoza datorata hipoxiei accentueaza stenoza infundibulara. Cea mai importanta consecinta a suntului dreapta-stānga este hipoxia exprimata clinic prin cianoza. īn evolutia bolii se noteaza si episoade anoxice paroxistice cunoscute sub numele de crize anoxice si despre care se crede ca sunt consecinta spasmului infundibular. Severitatea cianozei si precocitatea aparitiei ei exprima severitatea formei clinice. Exista "forme roz" de tetralogie Fallot care, īn perioada de sugar nu prezinta cianoza, iar din punct de vedere hemodinamic prezinta initial un sunt stānga-dreapta. Cu īnaintarea īn vārsta, o data cu cresterea debitului cardiac si a necesitatilor de oxigen, cianoza devine evidenta. Obstacolul pe calea de golire a ventriculului drept este responsabil de hipovascularizatia pulmonara. Cianoza este mai degraba consecinta deficitului de hematoza decāt a suntului dreapta-stānga (amestec de sānge venos cu sānge arterial). Scaderea brusca a volumului de sānge care ajunge la plamāni ca urmare a spasmului infundibular, este la originea crizelor anoxice, daca infundibulul este hiperactiv (se contracta sub actiunea unor factori foarte diferiti).
Cu vārsta, īn adolescenta, se dezvolta circulatia colaterala de origine sistemica, care amelioreaza partial vascularizatia plamānilor. Hipoxia cronica este
la originea poliglobuliei. Trombozele vasculare cerebrale secundare, care explica o parte din simptomatologia neurologica a bolii. Abcesul cerebral este considerat o complicatie tipica pentru tetralogia Fallot si se explica prin aceea ca sāngele periferic ajunge direct īn circulatia cerebrala, evitānd filtrul pulmonar.
Desi supus unor regimuri ridicate de presiune, (egalitate de presiune īntre aorta si cei doi ventriculi), ventriculul drept se adapteaza bine acestei suprasarcini si se decompenseaza rar si tardiv, aceasta "toleranta" constituind veritabila particularitate a bolii.
Manifestarile clinice. Formele obisnuite de boala nu prezinta semne de insuficienta cardiaca īn primul an de viata si nici cianoza īn perioada de nou nascut. Cianoza se instaleaza progresiv, dar (cu exceptia formelor roz) este prezenta īnaintea vārstei de 6 luni. Initial numai la buze si la unghii, devine ulterior evidenta si permanenta, īn special īn relatie cu poliglobulia care se dezvolta compensator, fiind o masura indirecta a gradului de hipoxie cronica. Se constata frecvent degete hipocratice. Perioada de sugar mai este marcata de prezenta dispneii (variabila si proportionala cu gradul de saturare arteriala) si de existenta crizelor anoxice. Acestea apar īn formele clinice cu cianoza medie, dupa vārsta de 2 luni, cu maximum de incidenta īntre 1-4 ani, si constau din crize de cianoza, tahicardie si tahipnee, asociate cu accese sincopale, uneori convulsii. Tegumetele pot fi palide (vasoconstrictie periferica) fie cianotice.
S-a constatat ca aceste crize sunt mai frecvente dimineata, cānd rezistenta vasculara sistemica este mai

Fig. 9-10. Degete hipocratice la un copil īn vārsta de 7 ani cu boala congenitala de cord cianogena (Tetralogie Fallot) neoperata.
Cardiologie I
scazuta. Auscultatia cordului nu este patognomonica pentru boala. Suflul de ejectie, cu maximum de auscultatie īn spatiul II-III intercostal stāng, care se transmite īn spate, īn ambele parti, este de fapt suflul de stenoza pulmonara. īn caz de atrezie pulmonara, suflul poate lipsi. Cu cāt stenoza este mai strānsa, cu atāt durata suflului este mai scurta, fiind doar protosistolic. Radiografia cardiopulmonara nu este totdeauna atāt de tipica precum īn descrierile clasice si cordul "īn sabot" se vede rar. Hipovascularizatia cāmpurilor pulmonare si un cord de dimensiuni normale constituie caracteristica cea mai pregnanta a examenului radiologie. Se constata silueta cordului mai mult sau mai putin modificata, cu vārful ridicat deasupra diafragmului (hipertrofia ventriculului drept), dextropozitia crosei aortei (25% din cazuri) sau arc mijlociu concav (hipoplazia arterei pulmonare). Daca toate aceste elemente sunt bine exprimate, umbra cordului a fost comparata cu un sabot. ECG este departe de a fi caracteristic, domina hipertrofia ventriculului drept. Alte examene de laborator obiectiveaza poliglobulia (6-7 milioane de hematii/mm3 cu hemoglobina 20g/100ml si hematocrit de 50-60%). īn timpul crizelor anoxice se obiectiveaza acidoza metabolica. Echografia unidimensionala ca si echografia bidimensionala sunt de mare utilitate pentru diagnostic. Aorta "calare" pe septul inter-ventricular ca si continuitatea aortico-mitrala sunt usor de obiectivat īn ambele tehnici. Sectiunea parasternala ax mare sau cea subxifoidiana evidentiaza comunicarea interventriculara si discontinuitatea aorto-septala precum si dilatatia si hipertrofia ventriculului drept.
Echocardiografia Doppler evidentiaza gradientul pulmonar si eventualele anomalii ale arterelor coronare.
Cateterismul si angiografia devin indispensabile pentru bilantul preoperator, desi nu se executa fara risc la sugarul foarte cianotic, din primul semestru de viata. Cateterismul cardiac demonstreaza identitatea presiunilor īn cei doi ventiiculi si aorta. īn toate aceste 3 compartimente se īnregistreaza valori "sisteinice". īn aceste conditii, curbele de presiune al ambilor ventriculi sunt identice, Prin contrast, presiunea īn artera pulmonara este foarte scazuta, iar debitul este redus la jumatate. Oximetria demonstreaza desatu-rarea sāngelui arterial, paralela cu severitatea cardiopatiei.
Ventriculografia dreapta este valoroasa pentru detalii anatomice cerute de chirurg, iar pentru evidentierea anatomiei coronarelor se practica aortografia. Anomalia de coronare contraindica reparatia chirurgicala precoce.
Prognostic si evolutie Boala are grade diferite de severitate, iar fara interventia chirurgicala evolutia finala este grava. Cele mai de temut complicatii sunt crizele anoxice īn perioada de sugar (pot conduce la moarte subita si frecventa lor constituie indicatie de interventie chirurgicala), endocardita bacteriana si complicatiile neurologice (tromboza vasculara cerebrala, abcesul cerebral). Orice stare febrila īnsotita de somnolenta, cefalee, varsaturi, tulburari de constienta sau convulsii, aparute la un copil cu tetralogie Fallot trebuie sa trezeasca suspiciunea unor complicatii neurologice, care urmeaza a fi confirmate CT.

Fig. 9-11. Tetralogie Fallot. Echocardiografie 2-D, sectiune ax lung parasternal. Defect septai ventricular nerestrictiv īn partea membranoasa a septuiui, aorta "calare" pe septul ventricular, hipertrofie importanta ventriculara dreapta.
Esentialul n PEDIA TRIE

Fig. 9-12. Abcese cerebrale la un copil cu tetralogie Fallot. Tomografia computerizata cerebrala (colectia Prof.dr.serban Georgescu) evidentiaza doua abcese ^situate n lobul parietal drept; edem perilezional important (zona cu densitate redusa aflata deasupra abceselor); deplasarea sistemului ventricular (prin mpingere).
Tratament. Tratamentul medical se adreseaza īn special crizelor anoxice. Preparatele digitalice nu sunt indicate deoarece s-a observat ca au tendinta sa creasca frecventa crizelor. Medicatia diuretica nu este indicata deoarece creste hipervāscozitatea sāngelui. Oxigenul este recomandat pentru actiunea lui farmacologica (creste rezistenta sistemica, scade rezistenta pulmonara, scade debitul suntului dreapta-stānga). īn timpul crizelor anoxice se recomanda subcutanat morfina (0,1-0,2 mg/kg), tratamentul acidozei cu bicarbonat de sodiu i.v.; medicamentul de soc ramāne Propranolol i.v. īn doza de 0,01-0,15 mg/ kg, care scade frecventa cardiaca si prin efect inotrop negativ, scade spasmul infundibular (se conteaza pe acest efect); pentru prevenirea crizelor anoxice se recomanda Propranolol oral īn doza de 2 mg/kg, crescānd doza pāna la 5 mg/kg administrat īn 3-4 prize, pāna la efectuarea interventiei chirurgicale. Se va avea īn vedere ca poate induce bronhospasm, hipoglicemie, uneori bradicardie importanta. īn perioada de nou-nascut, crizele de cianoza ar putea beneficia de perfuzii cu Prostaglandina E, care permit mentinerea unui canal arterial permeabil ce asigura īmbunatatirea circulatiei pulmonare.
Tratamentul chirurgical. Indicatiile interventiilor paleative s-au restrāns foarte mult, echipele
chirurgicale preferānd de la īnceput interventiei reparatorie. Ramān candidati pentru interventiii paleative sugarii de vārsta mica cu greutate mica si 1 "forme anatomice" dificile, cum sunt artera pulmonari j hipoplastica, DSV multiple sau asocierea unor anomalii de implantare a coronarelor. Cea mai veche] interventie paleativa, dar care īsi pastreaza īn actualitatea este anastomoza Blalock-Taussing.I anastomoza termino-terminala īntre artera subclav artera pulmonara homolaterala. Sub vārsta i artera subclavie are un diametru foarte redus si< creste mult riscul complicatiilor trombotice. Dacae necesar, se recurge la o tehnica modificata, intt punāndu-se īntre cele doua artere un tub Gon (politetrafluoroetilen) cu diametrul de 4,5-6 mm,c usureaza realizarea anastomozei. īn fine, categoria interventiilor paleative se poate cita dilai stenozei pulmonare cu balon gonflabil.
Reparatia completa se practica īn mod ideal īnjunj vārstei de 2 ani, dar multiple echipe chirurgia coboara vārsta interventiei pāna aproape de 61 Operatia se realizeaza pe cord deschis, cu circul extracorporala. Dupa ventriculotomie dreapta īn a avasculara se acopera cu un petec (patch) defel interventricular si se executa comisurotomia steni valvulare pulmonare. Daca este necesar se I largirea infundibulului pulmonar cu o bucata c (pericard) sau dacron. Exista cazuri īn care se duce o piesa transinelara, care trece din ve drept pāna la bifurcarea arterei pulmonare, i astfel scaderea gradientului pulmonar sub 25 n Daca aceasta se mentine la valori de peste 50 o este recomandata reinterventia chirurgicalii operator imediat este indicat tratamentul i diuretic si se pot estima ca posibile tulburari de tip extrasistole ventriculare si tulburari | cere atrio-ventriculara. Rezultatele postop considerate bune, dar existenta unei anastc pulmonare sistemice, executata anterior, ci tehnica chirurgicala, de aceea este pr practice de la īnceput interventia reparatorie c
Trunchiul arterial comun (TAC)
Malformatia reprezinta 0,7-1% din totalul! consta dintr-un defect interventricular larg, a emergenta unui singur vas mare - trunchiul | comun, care reprezinta unica cale de golirea ventriculi. Dupa un scurt traseu extraca bifurca īn cāteva ramuri, care vor deveni j ramurile ei, precum si arterele pulmonare.
Cardiologie
Leziuni anatomice. Exista un singur vas urias, implantat īn ventricul, care asigura atāt circulatia sistemica, cāt si circulatia pulmonara. DSV este constant si considerat indispensabil. Valva truncala este de obicei malformata, avānd la origine īntre 2-6 valve sigmoide. īn 25% din cazuri se asociaza stenoza sau insuficienta valvei truncale. Ostiul coronar porneste de asemenea din acest vas unic. Aorta si arcul ei pot prezenta de asemenea anomalii, arcul putānd fi situat la dreapta, dublu sau īntrerupt. īn raport cu locul de emergenta al arterelor pulmonare se descriu patru tipuri:
1. Artera pulmonara implantata la baza trunchiului, care merge paralel cu aorta ascendenta si apoi se bifurca;
2. Doua artere pulmonare care se nasc din trunchi;
3. Doua artere pulmonare independente, situate de o parte si de alta a trunchiului;
4. Absenta arterelor pulmonare, circulatia pulmonara fiind preluata de arterele bronsice, ramuri din aorta.
Hemodinamica. Sāngele care paraseste cordul prin aceasta cale unica este un sānge amestecat, continānd atāt sāngele oxigenat al īntoarcerii venoase pulmonare, cāt si sāngele neoxigenat al īntoarcerii venoase sistemice. Proportia amestecului depinde de debitul celor doua circulatii si rezistenta vasculara sistemica. Presiunile celor doi ventriculi au valori sistemice la sugar. De obicei, exista debit pulmonair crescut din cauza defectului septal ventricular si decompensarea ventriculara conduce la insuficienta cardiaca.
Manifestarile clinice. Semnele clinice sunt precoce si severe. īnca din perioada neonatala se instaleaza cianoza si insuficienta cardiaca. Auscultator este evident un suflu sistolic de ejectie, cu maximum de intensitate pe marginea stānga a sternului, asociat uneori cu un suflu protodiastolic (de insuficienta valvulara truncala).
Radiografia cardio-pulmonara evidentiaza cardiomegalie si hipervescularizatie pulmonara (expresia hiperdebitului pulmonar). ECG demonstreaza semne majore de hipertrofie ventriculara dreapta, iar echocardiografia bidimensionala - īn sectiune parasternala ax mare, evidentiaza un vas unic, larg, care īncaleca septul interventricular precum si emergenta arterelor pulmonare din acest vas. Cateterismul cardiac obiectiveaza existenta unor presiuni cu valoare sistemica īn cei doi doi ventriculi, aorta si arterele pulmonare, ca si gradul de desaīurare arteriala. Angiocardiografia nu este lipsita de riscuri la sugarul mic.
Prognostic si evolutie. Fara interventie chirurgicala, durata medie de viata nu depaseste un an.
Tratamentul chirurgical este esential pentru supravietuirea bolnavului, vārsta optima pentru interventie fiind 3-6 luni (īnainte de instalarea hipertensiunii pulmonare obstructive). Operatia Rastelli presupune īnchiderea defectului septal interventricular, separarea arterelor pulmonare de trunchiul arterial comun si stabilirea unei continuitati directe īntre ventriculul drept si arterele pulmonare. Se renunta din ce īn ce mai mult la banding-ul arterei pulmonare, care sa preceada interventia reparatorie.
Atrezia valvei tricuspide (AT)
Malformatia reprezinta 1-3% din totalul bolnavilor cu boli congenitale de cord. Nu exista nici un fel de comunicare directa īntre atriul si ventriculul drept si supravietuirea depinde de existenta unui defect septal atrial. Atrezia tricuspidei poate exista izolat sau asociata cu stenoza (atrezia) valvei pulmonare. īn formele combinate cu transpozitia marilor vase nu se īntālneste stenoza pulmonara.
Hemodinamica. Sāngele din atriul drept dilatat este drenat printr-un sunt dreapta-stānga, de obicei defect septal atrial, īn circulatia sistemica. Daca exista si stenoza pulmonara asociata, debitul sanguin pulmonar este sarac, iar ventriculul drept ramāne hipoplazic.
Manifestarile clinice. Boala devine evidenta īnca de la nastere (nou-nascut). Tabloul clinic este dominat de cianoza precoce (flux pulmonar scazut) si un suflu sistolic, care exprima stenoza pulmonara sau un defect septal ventricular asociat. Radiografia evidentiaza cardiomegalie, īn special prin dilatarea anormala a atriului drept. Circulatia pulmonara poate fi saraca sau se noteaza hipervascularizatia pulmonara, īn functie de asocierea sau nu a stenozei pulmonare. ECG evidentiaza hipertrofie ventriculara stānga si deviatia la stānga a axului electric (prin contrast cu ventriculul drept care este hipoplazic). Diagnosticul se precizeaza echocardiografic.
Prognosticul este rezervat si fara interventie chirurgicala copiii mor īntre vārsta de 2-6 luni. Cianoza se accentueaza cu vārsta, deoarece suntul dreapta-stānga se dovedeste insuficient. Formele cu hipervascularizatie pulmonara dezvolta boala vasculara obstructiva.
Tratamentul chirurgical recomandat este operatia Fontan. Se īnchid toate sunturile intra-cardiace si se realizeaza o anastomoza īntre atriul drept si artera pulmonara. Unicul ventricul functional
| Esentialul n PEDIATRIE
(ventriculul stāng) pompeaza sāngele īn circulatia sistemica. īn aceasta tehnica nu exista nici o pompa pe circuitul pulmonar, iar debitul cardiac depinde īn totalitate de fluxul sanguin pulmonar. Operatia, care este ingenioasa ca principiu, este urmata de complicatii relativ frecvente. Astfel, pot apare retentie de lichide, tromboza atriului drept sau arterei pulmonare (pot fi fatale), aritmii severe (ea paroxistica supraventriculara). īn 15% din cazuri este necesara reinterventia. īnaintea interventiei se poate īncerca efectul paleativ al perfuziei cu prostagladina E sau septosīomie cu balon Rashkind, care are ca scop largirea unui defect septal atrial.
Anomalia Ebstein
Anomalia Ebstein este o malformatie a valvei tricuspide, care consta din implantarea anormala a foitei anterioare a valvei. Reprezinta 0,6% din totalul bolilor de cord. Este īntālnita ca embriofetopatie la copiii femeilor care au primit tratament cu saruri de litiu.
Leziunile anatomice sunt reprezentate de o malformatie a foitei anterioare a valvei tricuspide. īn loc sa fie aliniata la nivelul meiului atrio-ventricular, foita anterioara este atasata peretelui anterior al ventriculul drept. Valva este incompetenta (īnchiderea se face anormal), si camera de admisie a ventriculul drept este "atasata" anatomic si hemodinamic atriului drept (atrializarea ventricului drept).
Hemodinamica: atriul drept este foarte dilatat. Golirea lui se face printr-un sunt dreapta-stānga, situat la nivelul peretelui intra-atriai. Debitul pulmonar este diminuat, mai ales daca se asociaza stenoza pulmonara, īn acest caz ventriculul drept este hipoplazic.
Manifestarile clinice. Boala se dezvaluie din perioada neo-natala cānd malformatia este cel mai greu tolerata. Nou-nascutul este cianotic (debit pulmonar diminuat, sunt dreapta-stānga) si prezinta un zgomot II dedublat (ritm īn 3 timpi). De obicei nu se aud sufluri. Radiografia evidentiaza cardiomegalie (prin dilatarea enorma a atriului drept) si plamān hiperclar. Cardiomegalia asociata cu un pedicul vascular subtire constrasteaza cu saracia modificarilor functionale. ECG se caracterizeaza prin unde P īnalte īn deriviatia Ii-a, concordant cu largirea atriului drept. Dilatarea enorma a atriului drept predispune la aritmi i severe, cel mai frecvent la crize de tahicardi e paroxistica supraventriculara. Echocardiografbi bidimensionala obiectiveaza malpozitia valve i tricuspide (foita anterioara), diiatatia atriului drep<;, eventuala stenoza valvulara-pulmonara, asincro -nismul miscarilor celor 2 ventriculi.
Prognostic si evolutie. Boala este mai greu tolerata īn perioada de nou-nascut, cānd exista hipertensiune pulmonara fiziologica. Pe masura scaderii rezistentelor pulmonare, toleranta hemodinamica a defectului se amelioreaza, pentru ca īn absenta unei stenoze pulmonare sa poata creste debitul sanguin pulmonar, ceea ce va conduce la diminuarea hipoxiei (si deci a cianozei). Grade foarte variate de severitate sunt obisnuite. Toleranta clinica depinde de gravitatea alterarii valvei tricuspide.
Tratament1 īn perioada neo-natala se poate face tratament digitalo-diuretic, antiacidotic si se poate tenta o ameliorare a fluxului sanguin pulmonar prin perfuzie cu Prostaglandina E, care sa mentina un canal arterial permeabil.
Tratamentul chirurgical propune anastomoza Glenne (anastomoza sistemico-pulmonara), iar tehnica Carpentier realizeaza o mobilizare a aparatului valvular asociata cu plicatura longitudinala a camerei atriale.
Sindrom de cord st ng hipoplazic
Din punct de vedere anatomic, aceasta malformatie constituie o varianta de leziune obstructiva extrema a cordului stāng, dar din punct de vedere hemodinamic este o malformatie ducto-dependenta si poate fi īncadrata īn grupul bolilor cianogene cu sunt dreapta-stānga. Se caracterizeaza prin insuficienta dezvoltare a ventricului stāng, a valvelor de admisie (mitrala), si de iesire (sigmoide aortice), la care se asociaza hipoplazia marcata a aortei ascendente. Gradul īn care aceste leziuni se grupeaza variaza foarte mult. Malformatie extrem de severa se īntālneste īn 1% din bolile congenitale de cord, cu predominenta sexului masculin.
Leziuni anatomice. Domina hipoplazia ventriculului stāng, foarte variabila. Aparatul valvular este hipoplazic, stenozat, dar permeabil; valva mitrala are modificari īn acelasi sens. Existenta unei comunicari de tip defect septal sau canal arterial permeabil este obligatorie.
Hemodinamica, profund modificata este dominata de doua tulburari majore si anume: sindromul de obstructie venoasa pulmonara īn amonte (obstacol seriat la nivelul cordului stāng) si debit sistemic extrem de redus (īn aval). Exista un sunt permanent dreapta-stānga prin canalul arterial si DSA, care nu reuseste sa decongestioneze circulatia pulmonara si nici nu corecteaza suficient debitul scazut al ventricului stāng. Cardiopatia este ducto-dependenta, cu sunt dreapta-stānga. Se remarca
hipoperfuzia severa a tuturor organelor, care primesc sānge desaturat. īnchiderea fiziologica a canalului arterial conduce la moartea bolnavului.
Manifestarile clinice. Nou-nascutul pare normal dupa nastere, dar foarte curānd apar semne de insuficienta cardiaca (tahipnee, detresa respiratorie), cianoza si tulburari ale circulatiei periferice cu puls foarte slab batut.
Radiografia evidentiaza cardiomegalie, cu cord avānd forma unei mingi de rugby, situat īntr-un cāmp pulmonar hipervascularizat. ECG - semne majore de hipertrofie atriala si ventriculara dreapta. Echocardiografia evidentiaza defectele anatomice descrise.
Prognosticul este considerat rezervat deoarece supravietuirea este īn pericol īn momentul īnchiderii functionale a canalului arterial. Decesul survine īntre 5 zile pāna la cāteva saptamāni. Pāna de curānd era catalogata ca o malformatie incompatibila cu viata.
Tratamentul. Tratamentul medical este deceptionant. Se īncearca totusi terapie digitalo-diuretica, alcalinizate, oxigeno-terapie si perfuzie cu prostaglandine E (Prostine), pentru mentinerea unui canal arterial permeabil. Recent s-a propus o tehnica chirurgicala īn doua trepte - procedeul Norwood. Intr-o prima etapa se recomanda o tehnica paleativa de controlare a fluxului pulmonar, īn timp ce ventriculul drept este folosit ca unica pompa pentru trimiterea sāngelui īn marea circulatie. In cea de a doua etapa se practica o varianta a operatiei Fontan, prin care se realizeaza o anastomoza care permite sāngelui venos sistemic sa ajunga direct īn plamān, scurtcircu-itāndu-se ventriculul drept, acesta ramānānd sa serveasca ca pompa unica pentru circulatia sistemica. Se citeaza supravietuiri de 44%. Transplantul de cord la nou-nascut, a fost indicat ca varianta terapeutica eroica īn aceasta malformatie congenitala complexa.
^Transpozitia completa a vaselor mari (TVM)
Transpozitia completa a vaselor mari (D-transpo-zitia) este o anomalie congenitala de conexiuni īntre ventricul si marile vase. Se īntālneste cu o frecventa de 3,8% din toate bolile congenitale de cord si este asociata, īn 50% din cazuri, cu DSV si īn 10-15% din cazuri cu stenoza pulmonara.
Leziuni anatomice. Originea acestor anomalii complexe trebuie cautata īn septarea conotruncala anormala din timpul dezvoltarii embriologice. īntoarcerea venoasa pulmonara se face īn atriul stāng, dar din ventriculul stāng se naste artera pulmonara;
Cardiologie I
īntoarcerea venoasa sistemica se face la atriul drept, dar din ventriculul drept se naste aorta. Leziunea este incompatibila cu viata, daca nu exista un sunt care sa permita comunicarea īntre cele doua circulatii. suntul are loc la nivelul septului interatrial (foramen ovale), septului interventricular sau la nivelul canalului arterial. Leziunea se caracterizeaza prin concordanta atrio'-ventriculara si discordanta ventriculo-arteriala. īn forma clinica cunoscuta sub numele de transpozitie corectata a marilor vase (L-transpozitia) exista discordanta- atrio-ventriculara asociata cu discordanta ventriculo-arteriala. īn aceasta ultima varianta transpozitia este corectata fiziologic. Aorta este situata īnaintea arterei pulmonare, lateralizata la drepta īn D-transpozitie sau la stānga īn L-transpozitie.
Hemodinamica acestei malformatii este īn mod teoretic, incompatibila cu viata, deoarece tot sāngele desaturat care ajunge prin venele sistemice este ejectat īn aorta, via ventriculul drept, īn timp ce sāngele arterial sosit prin venele pulmonare este ejectat din nou spre plamāni. Cea mai pregnanta caracteristica a circulatiei este echilibrul hemodinamic extrem de fragil. Supravietuirea este posibila numai daca exista un sunt īncrucisat īntre cele doua circulatii, permitānd sāngelui cav sa se oxigeneze la plamān si sāngelui venos pulmonar sa irige tesuturile periferice. Sediul acestor sunturi īncrucisate este la nivelul circulatiei bronsice, la nivelul canalului arterial si la nivelul lui foramen ovale (elementul esential al sistemului).
Manifestari clinice. Cianoza este semnul clinic cardinal prezent din perioada neo-natala. Este generalizata, intensa, si foarte rezistenta (cianoza refractara izolata). De obicei cianoza nu se īnsoteste de alte semne functionale si nici de suflu; aceasta cianoza refractara izolata, veste extrem de sugestiva pentru evocarea acestui diagnostic. Insuficienta cardiaca nu se instaleaza.
Radiografia arata de obicei un cord de volum normal, ovoid, situat īntr-un cāmp pulmonar hipervascularizat, dar exista initial si o silueta cardiaca normala, si o vascularizatie pulmonara, īn aparent contrast cu cianoza. ECG este normala pentru vārsta. Echocardiografia poate ridica problema acestui diagnostic īnca din perioada vietii intrauterine. Investigatia este indispensabila pentru diagnostic, demonstrānd discordanta ventriculo-arteriala īn sectiune longitudinala - ax mare. Investigatiile invazive permit precizarea dia.gnosticului si ele preced de obicei atrio-septostomia cu balon.
Prognostic si evolutie: Fara interventie chirurgicala bolnavul moare īn urmatoarele zile sau saptamāni, prin hipoxemie sau insuficienta cardiaca precoce.
Esentialul n PEDIA TRIE
Tratament Un nou nascut cu D-transpozitie este considerat o urgenta medico-chirurgicala. Daca echocardiografic s-a demonstrat un canal arterial permeabil, acesta se poate mentine deschis cu perfuzie cu postaglandina E īn doza de 0,05-0,10 mg/kg/minut. Perfuzia se mentine cāteva zile succesiv. Se asociaza de obicei si terapia alcalinizanta pentru tratamentul acidozei. Urmatoarea etapa terapeutica consta īn stabilirea, pe cale nesāngerānda, a unei comunicari interatriale. Metoda se numeste atrio-septostomie cu balon si a fost propusa de Rashkind. Sonda se introduce pe cale venoasa pāna ajunge īn atriul drept si de acolo prin foramen ovale īn atriul stāng. Balonul se deschide īn atriul stāng si apoi este tras cu forta īn atriul drept. Se realizeaza septostomie interatriala si un eficient sunt dreapta-stānga care sa permita supravietuirea. Interventiile chirurgicale trebuie sa urmeze acestor masuri cu caracter paleativ (efectuate de urgenta īn primele 2-3 zile de viata).
Switch arterial (procedelil Jatene) pare cea mai acceptata interventie acum, cu conditia sa fie practicata īn primele trei saptamāni de viata (īnaintea scaderii fiziologice a rezistentei vasculare pulmonare). Conditia este ca valva pulmonara sa fie normala. Tehnica pare "logica". Aorta si artera pulmonara sunt sectionate deasupra valvelor sigmoide. Ostiul coronar este transferat de la aorta la artera pulmonara. īn timpul urmator, segmentul distal al aortei este anastomozat portiuni proximale a arterei pulmonare, iar segmentul distal al arterei pulmonare se anastomozeaza portiunii proximale a aortei. O alta varianta de interventie chirurgicala este Switch-ul atrial (procedeul Senning, Mustard). Se poate practica de la 6 luni pāna la 1 an. Se recanalizeaza īntoarcerea venoasa pulmonara si sistemica la nivelul atriilor, astfel īncāt īntoarcerea venoasa sistemica este redirijata spre valva mitrala si ventriculul stāng (de unde pleaca artera pulmonara). īntoarcerea venoasa pulmonara este dirijata spre valva tricuspida (deci spre ventriculul drept si de acolo spre aorta). Se realizeaza un buffer (camera - tampon de amortizare) la nivelul atriului. Deci, operatia are loc la nivelul atriului care se recanalizeaza. Complicatiile post-operatorii sunt multiple si anume: trombozarea si colmatarea atriului, tulburari de ritm supraventricular (pierderea ritmului sinusal si dobāndirea unui ritm jonctional), insuficienta tricuspida, insuficienta ventriculara dreapta.
Rezultatele chirurgicale au facut sa creasca mult speranta de viata a acestor bolnavi, seriile cele mai vechi operate avānd acum vārsta de peste 20 ani.
Anomalie totala de ntoarcere venoasa pulmonara
Aceasta este o malformatie congenitala severa cianogena care conduce la deces sub vārsta de 1 an, daca nu se intervine chirurgical. Toate venele pulmonare sau venele mari aferente se varsa īn atriul drept, īn loc sa se verse īn atriul stāng. Exista un sunt dreapta-stānga obligatoriu, prin defect septal atrial, sunt obligatoriu care asigura aprovizionarea cu sānge a circulatiei sistemice. Aceasta anomalie reprezinta 2% din bolile congenitale de cord, īn 1/3 din cazuri fiind asociata altei malformatii.
Leziuni anatomice. Se descriu 3 variante anatomice īn functie de locul de varsare al venelor pulmonare. Astfel, īn forma supracardiaca (50% din cazuri), drenarea se face īn vena cava superioara; īn forma cardiaca (25%), īn sinusului coronar sau atriul drept si īn forma infracardiaca (20% din cazuri), īn vena porta sau vene aferente. Frecvent exista obstacole la locul de varsare, fie extrinseci, fie intrinseci (stenoza vasului venos colector), cele mai frecvente īn varianta infracardiaca. Atriul stāng si chiar ventriculul stāng sunt de volum mai mic īn comparatie cu cordul drept.
Hemodinamica. Anomalia este dominata de existenta unui sunt dreapta-stānga la nivelul comunicarii interatriale, singura modalitate prin care sāngele poate aproviziona circulatia sistemica. Cu cāt acesta comunicare este mai larga, cu atāt malformatia este mai bine tolerata. Hemodinamica depinde de mai multi factori cum ar fi: cantitatea fluxului pulmonar, rezistenta vasculara, prezenta obstacolului la locul de varsare, DSA asociat, starea functionala a ventricului drept. Obstacolul la varsare produce staza retrograda, care īn cele din urma se repercuta asupra circulatiei arteriale pulmonare. Patul vascular pulmonar este rapid si sever modificat, deoarece tot debitul sanguin pulmonar ajunge īn atriul drept.
Manifestarile clinice. Sunt diferite daca exista sau nu obstacol la locul de varsare al colectorului venos. Drenajul subcardiac conduce la aparitia cianozei, dispneei si hepatomegaliei. Manifestarile clinice precoce sunt severe si caracterizate prin insuficienta cardiaca cu hipertensiune pulmonara. Cianoza si polipneea apar curānd dupa nastere si sindromul de detresa respiratorie secundar īncarcarii vasculare pulmonare poate sugera o boala pulmonara primitiva, mai ales ca se asociaza raluri subcrepitante de edem pulmonar. Absenta suflului particularizeaza aceasta boala congenitala cianogena.
Radiografia este diferita īn diferite forme clinice, īn formele cu obstructie la varsare, umbra cordului este nemodificata, dar īn plamān exista opacitati difuze care afecteaza doua treimi interne ale
Cardiologie I
cāmpurilor pulmonare si se datoreaza edemului interstitial si hiperdebitului circulatiei pulmonare (venoase-arteriale). īn formele fara obstacol se descrie drept cvasipatognomonica silueta cardiaca īn forma de "8" sau de "om de zapada", realizata de dilatarea venei cave superioare (superior) si de ventriculul drept dilatat (inferior). Echocardiogrcifici bidimensionala, rezonanta magnetica si tehnicile invazive sunt metode moderne de diagnostic intravitam a acestor complexe anomalii.
Prognostic si evolutie: Evolutia este grava (fatala) fara tratament de urgenta.
Tratamentul chirurgical este obligatoriu si consta īn realizarea drenajului colectorului venos īn atriul stāng. Efectuata precoce, interventia are risc operator ridicat, formele intracardiace necesitānd o reparatie mai usoara. Prin tehnica Van Praagh, deschiderea īn sinusul coronar este transferata atriului stāng. Se īnchide concomitent comunicarea interatriala. īn formele supracardiace, colectorul se anastomozeaza pe peretele posterior al atriului stāng.
Transplantul de cord la copil
Transplantul de cord se constituie din anii '8.0 ca o metoda alternativa, "eroica", pentru rezolvarea unor cardiopatii aflate deasupra resurselor unor metode terapeutice medico-chirurgicale dintre cele mai sofisticate. Doua categorii de copii intra īn discutie si anume: copilul mare, cu insuficienta cardiaca intratabila, cardiomiopatie cronica si nou-nascutul cu malformatie congenitala complexa (hipoplazie de cord stāng).
Problemele etice, tehnice si de supraveghere post-operatorii sunt diferite pentru cele doua categorii de vārsta. Cea mai mare experienta a transplantului de cord la nou-nascut (1990) apartine Universitatii "Loma Linda" din California. Rezultatele imediate sunt īncurajatoare, supravietuirea variind īntre 70-84%. Unii autori apreciaza ca bolnavii dispun de o buna calitate a vietii, altii considera ca supravegherea medicala activa si minutioasa pe care o presupune perioada post-operatorie, ca si tratamentul imuno-supresiv continuu (ciclosporina 4-8 mg/kg/24 ore si Azathioprina 2-3 mg/kg/24 ore oral), la care se aduga corticoterapie de lunga durata, cānd apar semne de rejet de grefa, influenteaza nefavorabil confortul familiei si al copilului. Atāt timp cāt nu exista un marker biochimic pentru rejetul de grefa, supravegherea activa presupune repetate cateterisme si biopsii endomiocardice (la interval de 6 luni), care pot deveni traumatizante (fizic si psihic). Pretul enorm al interventiei, dificultatile de a obtine donatori,
(comune transplantului de cord la adulti) se adauga unui alt deziderat, al vārstei pediatrice si anume cel al concordantei taliei īntre donator si primitor (exista o limita de toleranta pāna la 30%, pentru cazurile de discordanta). Cordul transplantat trebuie sa creasca o data cu noua gazda si sa se adapteze functional efortului de crestere al acesteia. Diferente legate de vārsta primitorului marcheaza evolutia postoperatorie. Astfel, pentru copilul mare s-a remarcat ca īn afara rejetului de grefa (0,82 - episoade/pacient/ luna, sau 18% la un an, 27% - la 2 ani, si 44% la 3 ani dupa operatie), mortalitatea post-operatorie este influentata de arterioscleroza (demonstrata prin angiograme coronariene succesive), hipertensiunea arteriala, convulsii si moarte subita.
īn contrast, nou-nascutul, gazda cu un sistem imunitar "naiv" prezinta mai rar rejet de grefa si acesta nu trebuie dovedit prin biopsii miocardice succesive, supravegherea clinica atenta fiind suficienta pentru a-1 obiectiva. Nu sunt deci necesare cure prelungite de steroizi, nu se instaleaza arterioscleroza si hipertensiune arteriala precoce. Aceste "avantaje" recomanda acest grup pentru transplantul de cord. Problema donatorilor nu este rezolvata, cu toate ca pe mapamond mor anual un mare numar de sugari neinfectati, cu resuscitare cardio-respiratorie ineficienta, care ar putea constitui o sursa suficienta de organe. Problemele etice si psihologice privind donatorul si primitorul (ne referim atāt la copil, cāt si la cuplul parental) complica transplantul de cord la vārsta pediatrica, care reprezinta deocamdata o metoda de avangarda foarte costisitoare, aplicabila pentru cazuri riguros selectionate, īn centre specializate, foarte bine echipate.
BOLI CARDIOVASCULARE DOB NDITE
Endocardite bacteriene
Endocarditele bacteriene trebuie īntelese ca septicemii cu punct de plecare cardiac si diseminare hematogena. Au comun cu septicemia simptomatologia infectioasa, manifestarile multisistemice, evolutia acuta sau supraacuta, diseminarea hematogena, trombemboliile septice si sindromul toxiinfectios. Endocardita bacteriana trebuie īnteleasa ca grefa microbiana la nivelul unor leziuni endocardice preexistente si mai rar chiar la nivelul endocardului indemn de orice leziune. Germenii pot fi foarte virulenti (īn formele acute, maligne) sau mai putin virulenti īn formele clinice etichetate īn pediatria clasica drept endocardite subacute sau lente. Este foarte rar diagnosticata sub 5 ani si exceptional la sugari.
Esentialul n PEDIATRIE
Cele mai multe din endocarditele de tip Osler la copil sunt grefate pe cardiopatii congenitale, foarte rar pe cardiopatii reumatismale si exceptional pe cord sanatos. Cardiopatiile pe care se grefeaza de obicei endocarditele bacteriene sunt:
- tetrada Fallot necorectata chirurgical sau corectata paleativ;
-DSV;
- DSV asociat cu stenoza pulmonara, insuficienta aortica, anevrisme de sept membranos;
stenoze valvulare sau subvalvulare aortice (cardiomiopatie hipertrofica);
- persistenta de canal arterial;
dupa chirurgie de corectare cardiaca. Germenii responsabili sunt reprezentati de
Streptococcus viridans īn 50% din cazuri, stafilococul auriu hemolitic (īmpreuna cu streptococul reprezinta 80-90% din etiologie) si enterococul (streptococul D). Dupa chirurgia de corectare cardiaca grefele microbiene sunt date de: pneumococ, Neisseria, Haemofilius, Klebsiella, Serratia, Enterobacte-riacee, fungi de tipul Candida, Aspergilus sau Hystoplasma. Endocarditele cu culturi negative reprezinta 10% din cazuri.
Poarta de intrare este reprezentata de:
- focare dentare de tipul carii sau extractii dentare recente. La copil 15-85% din extractiile dentare sunt urmate de bacteriemie cu streptococ viridans, prezent īn mod normal īn cavitatea bucala;
- infectii īn sfera ORL sau amigdalectomie.
- infectii cutanate de tipul impetigo, panaritii, eritem fesier suprainfectat.
- infectii postoperatorii de spital dupa manevre de reanimare (PEV prelungita + cateter sau cateterism urinar), cateterism cardiac, orice manevra invaziva urologica, etc.
- dupa derivatii ventriculo-jugulare pentru hidrocefalie.
Anatomie patologica. Sunt descrise doua forme: forma vegetanta si forma mutilanta.
Forma vegetanta are o evolutie lenta. Vegetatiile grefate pe leziuni cardiace preexistente sunt mase fibrino-leucocitare bogate īn germeni, adesea adevarate microabcese friabile si generatoare de embolii septice. Forma vegetanta a endocarditei bacteriene se localizeaza pe bureletul hipertrofie din cardiomiopatia hipertrofica obstructiva, pe prolaps valvular mitral si pe leziuni erozive-displazice. īn cadrul acestei forme endocarditele cordului drept reprezinta o jumatate din cele ale copilului.
Forma mutilanta are o evolutie acuta. Leziunile sunt ulcero-vegetante, realizānd adevarate mutilari
valvulare: rupturi de cordaje tendinoase, perforatii, distrugeri complete ale unei valve. Pot fi afectate valve anterior sanatoase. Forma este diagnosticata si la sugari. Vindecarea se realizeaza frecvent prin calcificare.
Manifestarile clinice. Debutul este de obicei insidios, dupa spitalizari prelungite īn care s-a apelat la manevre de terapie intensiva. Simptomatologia īn perioada de stare poate fi sistematizata astfel:
1. Modificarea starii generale asociata cu: astenie, anorexie, artralgii, mialgii, varsaturi;
Febra neregulata, mica (38°C), cu faze de remisiune. Atunci cānd apare febra mare, ea se asociaza de obicei cu frison si transpiratii nocturne;
3. Uneori debut brutal de tipul hemiplegie (mai ales īn endocordite aortice), sau alte semne neurologice (convulsii);
Splenomegalia este prezenta īn 70-80% din cazuri;
Semnele cutanate: purpura īn 25% din cazuri, eriteme, nodozitati Osler (rare la copil), paloare particulara cu tenta patata, hipocratism digital (īntr-o cardiopatie necianogena semn de mare valoare);
6. Modificari ale suflurilor cardiace preexistente. Aceste modificari pot fi primul semn de alarma, cu mare valoare diagnostica. īn mutilarile valvulare suflurile sunt intense si muzicale. Au de asemenea valoare de diagnostic estomparea suflurilor īn DSV si stenoza aortica si aparitia de suflu diastolic īn stenoza aortica si DSV.
Examene de laborator noteaza: anemie si leucocitoza cu polinucleoza, VSH mai mare de 50 mm la 1 ora, hematurie microscopica, hipergama-globulinemie si prezenta de complexe imune circulante īn boala Osler asociata cu glomerulonefrita. Hemoculturile recoltate īn puseele febrile la īnceput, pot fi pozitive īn 80-90% din cazuri. Hemoculturile pot fi negative īn 10% din cazuri sau daca a fost īnceputa antiobioterapia. Echocardiografia bidimensionala este deosebit de utila pentru diagnostic vizualizānd mutilarile valvulare (aortice sau mitrale), īngrosari ale valvelor sau rupturile de cordaje. Se vizualizeaza foarte usor vegetatiile mai mari de 2 mm.
Diagnosticul diferential va fi facut cu septicemii fara endocardita, reumatism articular acut, abces cerebral, mixom cardiac.
Formele clinice pot fi urmatoarele:
- forma cu hemoculturi negative - forma Osler -semnalata de purpura, Splenomegalie si glomerulonefrita;
- forme acute ale sugarului - tablou clinic de septicemie cu complicatii neurologice (abces cerebral);
Cardiologie I
- forme post chirurgicale - aparute la 6 saptamāni dupa interventie pe cord deschis (CEC) determinate de obicei de stafilococ, Pseudomonas sau fungi.
Evolutia endocarditelor acute este grefata de urmatoarele complicatii:
accidente tromboembolice: embolii cerebrale, splenice, mezenterice, pulmonare;
anevrisme micotice;
- insuficienta cardiaca;
- recidive ale grefelor septice; Tratamentul endocarditei bacteriene este
preventiv si curativ.
Tratamentul preventiv se adreseaza numai subiectilor cu risc crescut pentru aceasta īmbolnavire, īn acest grup intra copiii cu cardiopatii reumatismale si leziuni valvulare sechelare, cardiopatiile congenitale (tetralogia Fallot, DSV si stenozele aortice constituie leziunile cele mai probabile pentru o grefa bacteriana). Prolapsul de valva mitrala se poate complica de asemena cu endocardita bacteriana. Sunt considerati ca bolnavi cu mare risc copiii care au prezentat o data endocardita bacteriana si au fost declarati vindecati īn urma tratamentului. Sursele de bacteriemie sunt plagile cutanate sau mucoase din mediu contaminat (interventii stomatologice pe abcese dentare, interventii īn sfera ORL, ginecologica, urologica). Se vor trata cu antibiotice toate episoadele infectioase bacteriene survenite intercurent, toate interventiile chirurgicale sau manipularile instrumentale īn domeniile citate. Sunt prescrise antibiotice īn diferite scheme din care prezentam cāteva sugestii:
Interventii stomatologice sau chirurgicale la nivelul cailor aeriene superioare: Penicilina oral: 1 g cu o ora īnaintea producerii si apoi cāte 500 mg la 6 ore, dupa doza initiala. Pentru copiii alergici la penicilina se propune varianta cu Eritromicina, 20 mg/ kg oral cu o ora īnaintea interventiei si apoi 10 mg/kg la 8 ore dupa prima doza. Daca riscul este considerat major (copiii operati, purtatori ai unei valve protetice) se recomanda o perfuzie scurta cu ampicilina 50 mg/ kg + gentamicina 5 mg/kg administrata cu 30 de minute īnaintea interventiei, urmata de administrare orala de Penicilina V la 6 ore dupa interventie īn dozele sugerate mai sus. Schemele sunt asemanatoare pentru proceduri urologice sau gastrointestinale.
Tratamentul curativ, īnceput dupa recoltarea a 5-6 hemoculturi īn primele 24 de ore, va apela la asocieri de antibiotice administrate īn perfuzie:
- Penicilina G 6-10 milioane de UI/24 ore + Streptomicina 0,5-2 g/24 ore (50mg/kg);
- Ampicilina 1-8 g/24 ore + Streptomicina;
Pentru stafilococul auriu vor fi folosite Oxacilina, Cloxacilina, Cefalosporine de generatia a Ill-a īn 6 administrari zilnice īn asociere cu Gentamicina 5-7 mg/kg/24 ore (ān 3 administrari)
Pentru enterococ, asocierile eficiente sunt Penicilina + Streptomicina sau Penicilina + Gentamicina.
In forma cu hemoculturi negative, asocierile cele mai utilizate sunt Penicilina + Gentamicina sau Penicilina + Tobramicina.
In endocarditele fungice, tratamentul esential este Amfotericina B īn doza de 0,25 pāna la 1 ml/kg/24 ore.
Tratamentul va fi administrat obligatoriu timp de 6 saptamāni (pentru streptomicina se va scadea doza la 25 mg/kg); dupa doua saptamāni de pauza va fi facut un tratament de consolidare de īnca 2 saptamāni.
Tratamentul chirurgical presupune īnlocuiri ale valvelor afectate cu proteze valvulare sau īndepartarea chirurgicala a vegetatiei, fara de care sterilizarea este adesea imposibila.
Miocardite acute
Miocardita acuta este o entitate clinica si anatomica definita ca inflamatia tesutului interstitial al miocardului, īn general secundara unei agresiuni virale asociata cu necroza si leziuni degenerative ale miocitelor. Este frecvent diagnosticata la vārsta mica īntre 2-4 luni de viata.
Clasificarea etiologica:
1. Miocardite infectioase:
a. bacteriene: streptococ beta-hemolitic, stafilococ, pneumococ, bacii difteric, meningococ, Salmonella, leptospiroza;
b. virale: virusurile Coxsackie BrB6 (cu cardio-tropism foarte accentuat), polio, virusul rujeolei, virusul rubeolei, virusul varicelo-zosterian, virusul gripal, virusul herpetic, virusul citome-galic, virusul imuno-deficientei umane (HIV);
c. micotice: Aspergillus, Candida, Cryptococus;
d. rickettsiene si spirochete (miocardita sifilitica);
e. parazitare: Toxoplasma gondii, trichinoza, Taenia echinococcus
Miocardite prin hipersensibilizare: miocardita reumatismala, din bolile de colagen, din glomerulo-nefrite post-infectioase dupa medicamente (peniciline, sulfonamide).
Miocardita idiopatica primitiva-Fiedler (termen clasic pentru descrierea miocarditelor izolate asociate cu celule gigante).
Miocardita din boala Kawasaki, asociata frecvent cu anevrisme ale arterelor coronare.
Manifestarile clinice. Miocarditele acute sunt cauze de insuficienta cardiaca brutala si severa la sugar
Esentialul īn PEDIA TRIE

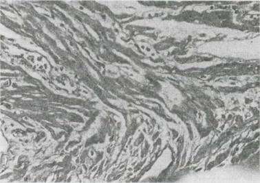
Fig. 9-13. Miocardita acuta virala la un sugar īn vārsta de 4 luni. Aspect histologic (col.HE). Se remarca edem interstitial, infiltrat inflamator īntre fibrele miocardice care sunt distorsionate, dezorganizate si si-au pierdut structura striata caracteristica.
si copilul mic. Diagnosticul pozitiv pleaca de la asocierea urmatoarelor semne si simptome:
Semne generale: febra, astenie, paloare, transpiratie, varsaturi, inapetenta, dispnee, dureri abdominale sau precordiale, pierdere īn greutate (la sugar).
Examenul obiectiv al aparatului cardio-vascular va nota:
cardiomegalie, cu marirea matitatii cardiace si deplasarea socului apexian;
zgomotele cardiace sunt asurzite (mai ales zgomotul I) si este prezent ritm de galop (semn
precoce si foarte important de interesare miocardica);
suflurile pot lipsi; daca sunt prezente la vārf, suflurile de gradul I sau II sunt expresia unei insuficiente mitrale sau tricuspidiene functionale prin dilatarea cavitatilor si inelului de insertie valvulara;
tulburarile de ritm pot fi: tahicardie, bradicardie (bloc AV), extrasistole, tahicardie paroxistica, fibrilatie sau flutter, sick sinus syndrome
īn formele severe de miocardita se noteaza īn perioada de stare: insuficienta cardiaca grava

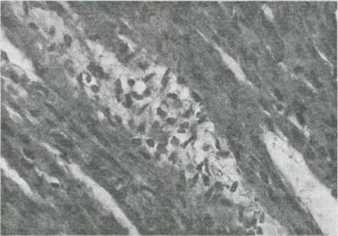
Fig. 9-14. Miocardita acuta virala. Aspect histologic (col.HE, x 63). Infiltrat
inflamator cu Iimfocite si macrofage care disloca fibrele miocardice.
Cardiologie

Fig. 9-15. Miocarditaīn SIDA. Aspect histologic (col.HE, x 63) Hemoragie miocardica severa (dreapta imaginii), edem interstitial difuz, leziuni distrofice ale miocitelor.
semnalata de: dispnee cu polipnee, tuse, cianoza, hepatomegalie, turgescenta de jugulare, oligurie, edeme si semne de colaps, puls periferic slab, extremitati reci, timp de recolorare capilara prelungit.
Diagnosticul paraclinic. Radiografia cardio-pulmonara noteaza frecvent cardiomegalie globala cu ICT peste 0,55 la sugari si peste 0,50 peste 1 an, sau hipertrofie ventriculara stānga.
Transparenta pulmonara poate fi normala sau se noteaza staza venoasa īn insuficienta ventriculara
stānga. Electrocardiograma specifica pentru cei mai multi autori noteaza: microvoltaj difuz al complexelor QRS īn toate derivatiile, alungirea intervalelor QT, modificari importante de faza terminala cu unde T aplatizate si inversate mai ales īn Dl si aval, subde-nivelare ST, tulburari de ritm diverse.
Echocardiografia permite excluderea pericarditei acute si recunoaste asocierea cu ventriculul stāng dilatat. Celelalte examene de laborator noteaza leucocitoza cu polinucleoza, cresterea VSH si frecvent

A B
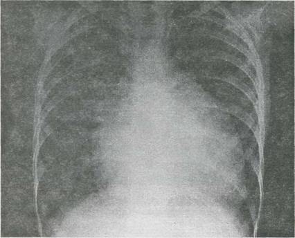
Fig. 9-16. Miocardita acuta virala la un sugar īn vārsta de 7 luni. Radiografie cardiopulmonara.
A. Cardiomegalie importanta cu hipertrofie ventriculara stānga.
B. Cord de dimensiuni normale dupa 16 saptamāni de tratament.
Esentialul n PEDIA TRIE

Fig. 9-17. Pericardita acuta virala. Radiografia cardiopulmonara arata marirea considerabila a siluetei cardiopericardice realiz nd configuratia de "cord n carafa"; unghiuri cardiofrenice obtuze.
a enzimelor GOT si LDH. Identificarea virusurilor implicate īn etiologie se poate face prin culturi din secretiile nazofaringiene sau prin determinarea cresterii īn dinamica a anticorpilor specifici. Biopsia endomiocardica este esentiala pentru demonstrarea histologica a leziunilor (criteriile Dallas).
Diagnosticul diferential se face de obicei cu pericardita acuta, cardiomiopatii primitive si secundare (inclusiv fibroelastoza), originea anormala a arterelor coronare. La copilul mare este obligatoriu diagnosticul diferential cu miocardita reumatismala. Miocardita complica stadiile finale ale bolii SIDA.
Complicatiile frecvente sunt: soc, sincopa, embolie, fibrilatie ventriculara, fibroelastoza secundara.
Tratamentul va fi energic si prelungit, cuprinzānd:
Tratamentul insuficientei cardiace cu digitalice de tipul Digoxin, īn doxe de 0,02-0,04 mg/kg, doze mai mici decāt cele obisnuite (daca se poate cu dozarea nivelului seric de Digoxina). Tratamentul de īntretinere va fi continuat cel putin 10-12 saptamāni. Cei mai multi autori recomanda o terapie digitalice prelungita īntre 12-24 iuni, cu urmarirea clinica, ECG si radiologica.
In faza acuta poate fi nevoie de oxigenoterapie, reechilibrare hidroelectrolitica si acido-bazica si diuretic defaza acuta de tip Furosemid l-2mg/kg/24 ore, timp de 4-6 saptamāni.
Corticoterapia, desi controversata, va cuprinde īn faza acuta hemisuccinat de hidrocortizon īn doza de
10 mg/kg/24 ore, urmata de terapie cu Prednison 1-2 mg/kg/24 ore timp de 4-6 saptamāni.
Monitorizarea echocardiografica īndelungata este obligatorie.
Pericardite
Pericarditele sunt relativ rare la copil, fiind īntālnite la 2-3% dintre copii internati. S-au produs mutatii importante īn ultimele decenii, atāt din punct de vedere etiologic (pericardita reumatica nu mai detine primul loc ca frecventa), cāt si din punct de vedere diagnostic (echocardiografia obiectiveaza cu usurinta epansamentul pericardic).
Pericardul fiind o structura destul de rigida se adapteaza destul de greu unei umpleri acute a cavitatii lui si consecintele hemodinamice se instaleaza īn primul rānd prin compresiunea acuta a cordului (tamponada cardiaca). Este afectat atāt debitul sistolic, cāt si īntoarcerea venoasa. Cea mai importanta consecinta hemodinamica este reducerea expansiunii diastolice a ventriculilor (insuficienta cardiaca hipodiastolica). Nivelul critic al presiunii intrap-ericardice este de 10-15 mm Hg. Pentru mentinerea debitului cardiac apare tahicardie, iar prin scaderea īntoarcerii venoase creste presiunea venoasa centrala. Volumul de lichid pericardic cu aceste consecinte dezastruoase este de 30-100 ml la copil, avānd mare importanta viteza de constituire a epansamentului (nu se dispune de timp de adaptare).
Cardiologie I
Etiologic Sindromul pencardic poate fi realizat īn circumstante clinice variate. Astfel pericarditele bacteriene (septice) sunt relativ rare, dar extrem de grave, cei mai implicati germeni fiind Sīaphilococcus aureus, Haemophilus influenzae, Streptococcus pneumoniae.
īnsamāntarea pericardului are loc īn cadrul diseminarii hematogene din septicopioemie. Pericardita tuberculoasa se īntālneste īn perioada secundara a bolii, īnsamāntarea pericardului facāndu-se pe cale limfatica, plecānd de la adenopatiile mediastinale tuberculoase sau prin contiguitate (asocierea cu pleurezia tuberculoasa este frecventa).
Daca a trecut neobservata, pericardita tuberculoasa este la originea majoritatii cazurilor de pericardita constrictiva cronica. Pericardita reumatismala a scazut mult ca frecventa, paralel cu regresiunea reumatismului post-streptococic. Se distinge prin evolutie rapid favorabila sub actiunea corticoterapiei sistemice.
Pericardita acuta benigna (virala sau idiopatica), pare sa detina īntāietatea īn privinta frecventei, virusul cel mai implicat este Coxsackie B, dar si virusul gripal, adenovirusul si virusul Echo tip 8 au fost identificate īn etiologia ei. Afectarea miocardica asociata este constanta. Pericardita din sindromul postperi-cardotomie s-a regasit la 10-30% din cazurile de
interventii chirurgicale pe cord deschis. S-a facut o similitudine īntre aceasta pericardita si sindromul Dressler (descris īn infarctul miocardic). Nu a fost descrisa la sugari si s-a sugerat origine autoimuna (debut la 2-3 saptamāni dupa interventie). Pericardita uremica este o complicatie terminala a insuficientei renale cronice, aparuta la bolnavii dializati.
Manifestari clinice. Sunt diferite īn cele 3 variante clinice si anatomo-patologice de pericardita.
Pericardita uscata (tip de descriere pericardita uremica), reprezinta adesea stadiul initial al unei pericardite lichidiene. Semnele cardinale - dispneea si durerea precordiala - sunt de severitate variabila.
Frecatura pericardica este semnul cel mai caracteristic (superficiala, "calare") pe zgomotele cordului, sistolodiastolica, dānd impresia unui du-te-vino, avānd maximum de auscultatie pe marginea stānga a sternului sau mezocardiac, nu iradiaza (se naste si moare pe loc), fugace, variabila cu caracter stetacustic asemanator frecaturii pleurale.
Pericardita lichidiana. Durerea precordiala si senzatia de presiune toracica este semnul major, avānd tendinta de iradiere spre umarul stāng. Dispneea este superficiala, iar asurzirea zgomotelor cordului este
Ay
comuna. In momentul aparitiei lichidului frecatura pericardica dispare, īn schimb īn functie de volumul lichidului se instaleaza semnele de tamponada (compresiunea cardiaca acuta), anxietate, tahicardie,

Fig. 9-18. Pericardita exsudativa la o fetita īn vārsta de 12 ani.
A. Radiografia cardiopulmonara arata silueta cardiaca mult marita de volum, unghiuri cardiofrenice obtuze, congestie vasculara pulmonara.
B. Echocardiografie 2-D evidentiaza zona sonotransparenta (sagetile) īn jurul ecoului cordului, care denota o mare cantitate de exsudat īn sacul pericardic.
Esentialul n PEDIA TRIE
tahipnee, hipotensiune arteriala, jugulare turgescente, hepatomegalie. Aparitia cianozei si semnele de colaps sunt semne de mare gravitate.
Pericardita cronica constrictiva (numai īn 50% din cazuri se poate evoca etiologia tuberculoasa, restul fijnd de etiologie necunoscuta). Tabloul clinic se daioreste exclusiv sindromului hipoadiasīolic (sindromul Pick): hepatomegalie, jugulare turgescente, cianoza, puls paradoxal, tahicardie īn contrast cu radiografia cardio-pulmonara, care arata un cord cu silueta normala, cu calcificari pericardice (īn special pe radiografia de profil) si miscari cardiace putin vizibile radioscopic. Hepatomegalia, pregnanta la examenul clinic īndreapta atentia spre o suferinta hepatica primitiva, īntārziind nedorit diagnosticul.
Diagnosticul paraclinic al pericarditei include radiografia (cardiomegalie cu aspect de cord īn carafa), ECG (voltaj scazut al complexelor QRS); cele mai caracteristice sunt modificarile undei T ale segmentului ST, consecinta ischemiei subepicardice) si examenul echocardiografic. Depistarea lichidului pericardic se face atāt cu echo modul M, cāt si cu echo 2D.
Semnele de inflamatie, cu pozitivarea reactantilor de faza acuta sau hemoculturi pozitive īn pericarditele septice, īntregesc tabloul biologic al pericarditelor. Punctia pericardica este rareori necesara pentru diagnostic etiologic sau decompresiuneīn tamponada cardiaca amenintatoare de viata.
Tratamentul pericarditei este diferentiat, īn functie de etiologie. Pericarditele septice beneficiaza de tratament medico-chirurgical. Tratamentul antibiotic se administreaza īn PEV dupa schemele recomandate īn septicemie. Cea mai recomandata asociere este: cefalosporinele de generatia a IlI-a si aminoglicozidele. Durata tratamentului este de 4-6 saptamāni. Perieardiocenteza de drenaj uneori repetata, completeaza terapia evitānd simfizele pericardice.
Pericardita tuberculoasa se trateaza cu 3 tubercul os tati ce si corticoterapie īn doze moderate. In caz de pericardita constrictiva doar perieardotomia chirurgicala vindeca bolnavul.
Pericardita reumatica se vindeca fara sechele dupa 1-2 saptamāni de corticoterapie (modificarile ECG sunt durabile).
Pericarditele acute benigne se vindeca īn cāteva saptamāni, dar repetatele recaderi dau mai mult de lucru medicului si denumirea de benigna nu este justificata īn toate cazurile. Antibioticele sunt inutile, iar corticoterapia se va rezerva cazurilor severe caci favorizeaza indiscutabil recaderile. Indicatia majora trebuie sa fie medicamentele antiinflamatorii nesteroidiene si aspirina, care pare suficienta īn formele comune de boala.
|