sUNTUL STĀNGA - DREAPTA (BOLI CONGENITALE DE CORD NECIANOGENE)
Orice comunicare anormala īntre cordul stāng si cel drept, indiferent la ce nivel este situata (interatrial, interventricular sau la nivelul canalului arterial permeabil), are drept consecinta un sunt stānga-dreapta, pentru ca exista un gradient de presiune īntre cele doua circula 939x235j tii, presiunea din circulatia sistemica depasind valorile presiunilor din circulatia pulmonara. De fapt, directia suntului tine de complianta diastolica a camerelor cordului drept. Daca aceleasi comunicari anormale asociaza leziuni care induc dificultati de evacuare sistolica ale ventriculului drept (stenoza/ atrezie pulmonara), creste regimul de presiuni īn cordul drept si se realizeaza inversarea suntului si directionarea lui īn sens dreapta-stānga, paralel cu scaderea concomitenta a fluxului sanguin pulmonar.
Cresterea debitului pulmonar, īn cadrul unui sunt stānga-dreapta, interferza evolutia normala a arterelor pulmonare, īntārziind maturatia lor. Peretele muscular ramāne hipertrofiat si rezistenta vasculara nu mai scade. In timp, se instaleaza leziuni vasculare ireversibile, cu īngrosarea intimei, proliferare celulara si īn final, tromboza si fibroza micilor artere.
Alterarea patului vascular pulmonar creste rezistenta pulmonara, creste nivelul presiunilor din mica circulatie si, dupa o perioada īn care debitul suntului stānga-dreapta scade, se ajunge la inversarea lui. In acest moment interventia chirurgicala reparatorie nu mai este oportuna.
V Defectul sepia! atrial (DSA) tip ostium secundum
DSA-ostium secundum are o prevalenta de 17% īntre bolile congenitale de cord, fiind īntālnit la 1/1584 nascuti vii, mai des la sexul feminin. Exista cazuri familiale, cu transmitere autosomal-dominanta. Se asociaza constant cu sindromul Holt-Oram si Poland.
Cardiologie
Tabel 9-1. Clasificarea bolilor congenitale de cord (dupa R.E.Behrman, R.Kliegman, 1990,modificat)
|
ECG |
Boli congenitale de cord necianogene |
Boli congenitale de cord cianogene |
||
|
|
Flux pulmonar crescut |
Circulatie pulmonara normala |
Flux pulmonar crescut |
SP severa |
|
HVD |
DSA Hiperdebit pulmonar īn bolile cu sunt stāng a-dreap ta |
CoA-cu debut neonatal Stenoza mitrala congenitala, SP |
TMV Sindrom de cord stāng hipoplastic īntoarcere venoasa pulmonara anormala |
Atrezie pulmonara (-DSV) Tetralogie Fallot |
|
HVS |
DSV Canal A-V PCA |
CoA-tip infantil Stenoza aortica Insuficienta mitrala. Fibroelastoza endocardica. |
|
AT Atrezie pulmonara + ventricul drept hipoplazic |
|
HVD + HVS |
|
|
TMV+DVS TMV+AT Ventricul unic TAC |
TMV + SP TAC + hipoplazie AP |
|
Fara predominanta ventriculara |
|
|
|
Anomalia Ebstein |
HVD = hipertrofie ventriculara dreapta;
HVS = hipertrofie ventriculara stānga;
DSA = defect septal atrial;
HVD + HVS = hipertrofie bi ventricul ara;
DSV = defect septal ventricular;
canal A-V = canal atrio-ventricular;
PCA = persistenta canalului arterial;
AT = atrezia de valva tricuspida;
TAC = trunchi arterial comun;
AP = artera pulmonara;
TMV = transpozitie de vase mari;
CoA = coarctatie de aorta.
Leziuni anatomice: Septul interatrial corespunde zonei de contact dintre cele doua atrii. El are doua origini embriologice distincte, septum primum fiind o structura care apartine atriului stāng si septum secundum, atriului drept. In timpul vietii intrauterine la nivelul unui orificiu denumit foramen ovale exista un sunt dreapta-stānga īntre cele doua atrii. Foramen ovale persistent nu are semnificatie clinica si nu este considerat DSA. Comunicarea interatriala tip ostium secundum se īntālneste īn 4 variante anatomice dupa pozitia orificiului de comunicare de la nivelul septului si anume: central (cel mai frecvent), īnalt (īn apropierea sinusului venos), jos (īn apropierea varsarii sinusului coronar). Acest ultim tip se asociaza de obicei cu īntoarcere venoasa partial anormala.
Hemodinamica. Prin orificiul interatrial directia suntului este stānga-dreapta, atriul stāng avīnd un regim de presiune superior celui drept. Volumul maxim al suntului este la sfīrsitul sistolei atriale si
īnceputul diastolei ventriculare, īn conditiile īn care ventriculul drept este compliant (distensibil) si mentine peretii subtiri. Acest sens al suntului se mentine atāt timp cāt exista o buna distensibilitate a patului vascular pulmonar. Daca debitul este suficient de mare, īn timp, se poate instala hipertensiunea pulmonara reactiva, care duce la cresterea rezistentei vasculare, ceea ce conduce la scaderea volumului suntului. Aceasta situatie hemodinamica este reprodusa si īn perioada neonatala, atāt timp cāt persista circulatia pulmonara de tip fetal.
Manifestarile clinice. DSA poate fi o leziune asimptomatica, suflul sistolic poate lipsi sau este de mica intensitate din cauza vitezei scazute a sāngelui. Este frecvent ca diagnosticul acestei leziuni sa fie pus īntāmplator, cu ocazia unui examen de rutina sau pentru ca bolnavul se prezinta pentru infectii respiratorii, conditionate de debitul pulmonar crescut. Toleranta la efort este excelenta, iar dezvoltarea fizica
Esentialul n PEDIATRIE
este neinfluentata. Daca exista, sufiul sistolic este dulce, ejectional, protomezosistolic, cu maximum de auscultatie spatiul II-III, intercostal stāng. Zgomotul I este puternic (supraīncarcarea volumetrica dreapta). Zgomotul II este dedublat constant (independent de ritmul respirator). Suflul se datoreaza stenozei relative a inelului valvei pulmonare.
Radiografia cardio-pulmonara: evidentiaza hipervascularizatia pulmonara putin activa, asociata cu cardiomegalie moderata datorita dilatarii atriului drept, ventricului drept sau trunchiului arterei pulmonare. Aceasīe semne discrete īn copilarie devin indiscutabile pe masura īnaintarii īn vārsta si īn functie de volumul suntului.
ECG: evidentiaza deviatia axei la dreapta (īncarcare volumetrica a ventricului drept).
Echo īn modul M: demonstreaza "semne indirecte" de dilatatie ventriculara dreapta si miscare sistolica anormala a septului interventricular, semne constante daca volumul suntului este semnificativ. Echocardiografia bidimensionala permite localizarea exacta a comunicarii interatriale (incidenta subxifoidiana este cea mai recomandata). Se cere examenului sa precizeze raporturile cu vena cava superioara. Doppler pulsatil poate cuantifica suntul stānga-dreapta īn raport cu debitul sistemic si debitul pulmonar. Datorita preciziei acestor metode, metodele de diagnostic invaziv sunt tot mai rar indicate, si oricum, numai preoperator, pentru stabilirea exacta a dimensiunii defectelor ovalare.

Fig. 9-1. Defect septal atrial. Echocardiog rafie 2-D, transductor n pozitie apical 4 camere; sageata indica ntreruperea ecoului septai atriai in ostium secundam.
Prognostic si evolutie. Bine tolerata īn copilarie si la adultul tānar, evolutia depinde de dimensiunile suntului si rasunetul debitului pulmonar crescut asupra reactivitatii vasculare pulmonare. Hipertensiunea pulmonara se īntālneste īn 5% din cazuri sub vārsta de 20 de ani si creste la 40% peste vārsta de 40 de ani. Daca presiunea pulmonara ramāne neinfluentata, toleranta este excelenta, durata de viata nu este scurtata. Endocardita bacteriana este o complicatie exceptionala. Pot apare tardiv tulburari de ritm de origine atriala, anterior instalarii semnelor de insuficienta ventriculara dreapta.
Tratamentul chirurgical se impune īn toate cazurile īn care raportul debit pulmonar/debit sistemic este egal sau mai mare decāt 2. Un raport egal sau mai mic de ī,5 exclude formal indicatia operatorie. Se efectueaza interventie reparatorie pe cord deschis, orificiul fiind "īnchis" cu un petec de dacron sau goratex. Mortalitatea post-operatorie este mica. Se noteaza posibile tulburari de ritm tardive (la copiii operati peste vārsta de 6 ani), dar se discuta daca nu-si au originea īn anomalii sinusale preexistente. Sunt mai frecvente daca orificiul de comunicare este situat īn vecinatatea sinusului venos. Recent a intrat īn practica īnchiderea mecanica endocavitara a defectului, inter-atrial, folosind un ocluzor alcatuit din doua umbrele, care se plaseaza de o parte si de alta a defectului septal (tehnica Loch). Dimensiunile umbrelei trebuie sa depaseasca de 1,5-2 ori dimensiunea orificiului, masurate echocardiografīc. S-a demonstrat ca dupa o luna, aceste umbrele sunt acoperite cu tesut fibros si endoteliu.
V Defectul septal ventricular (DSV)
DSV poate fi definit ca lipsa de continuitate la nivelul septului interventricular. Se īntālneste ca malformatie congenitala izolata (25% din totalul BCC) sau īn asociere cu alte malformatii complexe (tetralogia Fallot). Este o entitate particulara, un procent remarcabil evoluānd spontan spre īnchiderea defectului.
Leziuni anatomice. Defectul poate fi situat īn septul perimembranos (postero-inferior), care separa venticulul stāng de atriul drept, sau īn septul muscular; raporturile cu valvele atrio-ventriculare si tesutul de conducere trebuie precizate preoperator.
Hemodinamica. Acest tip de malformatie poate fi considerat prototipul de comunicare prin sunt stānga-dreapta. Consecintele hemodinamice depind de dimensiunea defectului si raportul rezistentelor vasculare pulmonare si sistemice. Comunicarile restrictive au dimensiuni destul de mici pentru a nu
Cardiologie

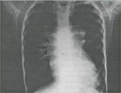
Fig. 9-2, Defect septal ventricular nerestrictiv cu hipertensiune pulmonara. Radiografie cardiopulmcnara; cardiomegalie importanta
bombarea trunchiului arterei pulmonare, congestie vasculara pulmonara
permite un debit mare si nici o inversare a suntului. Totdeauna directia suntului ramāne stānga-dreapta. Aceste defecte au mare tendinta de a se īnchide spontan, Defectele de dimensiune mare (sau multiple) se numesc nerestrictive. Din cauza debitului foarte mare, presiunile din cei doi ventriculi se egalizeaza, suntul devine facultativ, sau chiar se inverseaza. Existenta hipertensiunii pulmonare fiziologice la nou-nascut scade mult volumul suntului. Prima consecinta hemodinamica a sunturilor mari este supraīncarcarea ventriculului stāng, prin cresterea īntoarcerii venoase. Creste astfel presiunea atriala stānga si telediastolica ventriculara stānga. In directa relatie cu volumul sanguin ce trebuie propulsat spre patul vascular pulmonar, apare si o supraīncarcare diastolica a ventricului drept. īn concluzie, amplitudinea suntului stānga-dreapta depinde de dimensiunea defectului si de rezistenta vasculara pulmonara.
sunturile interventiiculare largi conduc īn timp la dezvoltarea unei hipertensiuni pulmonare de debit (cinetica). Rezistenta vasculara pulmonara creste, depasind rezistenta sistemica, si atunci scade (sau se anuleaza) suntul stānga-dreapta. Dupa aproximativ 2 ani de debit pulmonar crescut se schimba natura hipertensiunii pulmonare, care devine obstructiva prin boala vasculara pulmonara.
Manifestarile clinice. Se descriu separat defectele septale ventriculare cu sunt mic sau mediu (boala Roger) si cele largi, cu debit mare.
DSV cu debit mic rej.. ^zinta 40% din totalitatea cazurilor de DSV. Volumul mic al suntului nu con-
duce niciodata la instalarea hipertensiunii pulmonare. Lipsesc orice semne functionale, iar dezvoltarea fizica este perfecta. Examenul clinic deceleaza ca singura anomalie un suflu holosistolic, gradul 3-5/6 cu maximum de auscultatie īn spatiul IV-V intercostal parasternal drept, "īn jet de vapori", cu iradiere posterioara. Radiografia pulmonara, ECG si echocardiografia īn modul M sunt normale. Echocardiografia bidimensionala permite sa se vada defectul (sectiunea celor patru camere), dimensiunea si volumul suntului. Examinarea Doppler permite aprecierea gradientului de presiune dintre circulatia pulmonara si sistemica. In 30-50% din cazuri, acest defect congenital se īnchide spontan īn primii ani de viata, iar echocardiografia autentifica acest fenomen, īnchiderea spontana se realizeaza prin dezvoltarea unui anevrism al septului membranos, "colmatarea" orificiului prin tesut cu originea īn valva tricuspida sau simpla disparitie prin hipertrofia musculara a marginilor.
DSV cu debit mare. Debitul mare este realizat de defectele mari sau multiple, care pot fi restrictive sau nu (vezi DSA). Perioada asimptomatica este variabila ca durata, simptomatologia putānd apare īnca din perioada de nou-nascut. Primele semne respiratorii generate de debitul pulmonar crescut sunt: dispneea cu tahipnee, tusea si tirajul (sugereaza infectii pulmonare). Semnul clinic cardinal este suflu sistolic, intens, rugos, care se aude pe toata aria precordiala si se transmite īn 'spita de roata" pāna īn regiunea interscapulovertebrala. Clinicianul cu experienta pune un diagnostic de prezumtie dupa caracterul suflului. Se adauga īn timp zgomotul II īntarit īn focarul pulmonarei (asociat cu hiperdebit). Se subliniaza modificarea caracterului suflului ("diminuare"), atunci cānd se instaleaza hipertensiunea pulmonara. Paloarea, dificultatile de alimentare, transpiratiile si deformarea toracica se adauga īn timp, iar hepatomegalia, alaturi de celelalte semne clasice este expresia clinica a insuficientei cardiace.
Radiografia cardio-pulmonara demonstreaza cardiomegalia legata de cresterea dimensiunilor ambilor ventriculi si a atriului stāng, dar silueta cardiaca ramāne nesugestiva pentru acest diagnostic. Hipervascularizatia pulmonara este evidenta si frecvent se remarca tulburari de ventilatie, variabile, "mobile", generate de compresiunea vasculara a cailor aeriene si puseelor de suprainfectie bronho-pulmonara divers intricate.
ECG: niciodata normal, ramāne nec arac teri s tic pentru boala. De obicei axul QRS este deviat la stānga cu supraīncarcarea atriala si ventriculara stānga, uneori biventriculara. Echocardiografia īn modul M

evidentiaza dilatatia atriala si ventriculara stānga cu hiperkinezia ventriculului stāng legate de volumul suntului. Echocardiografia bidimensionala evidentiaza sediul, numarul, dimensiunea comunicarii inter-ventriculare, īn special īn proiectia patru camere.
Echocardio grafia Doppler precizeaza gradientul sistolic, raportul dintre debitul circulatiei pulmonare si sistemice. Investigatiile invazive sunt rezervate cazurilor neclare si numai īn vederea precizarii detaliilor necesare corectiei chirurgicale. Angiografīa selectiva a ventriculului stāng permite localizarea exacta a defectului si posibile anomalii asociate.
Prognostic si evolutie. Formele de boala cu sunt larg pot fi letale fara tratament corect; īn schimb, tratamentul chirurgical este urmat de vindecarea completa. In perioada preoperatorie sunt de temut insuficienta cardiaca si complicatiile bronho-pulmonare, caracteristice formelor nerestrictive. Astfel, 20% din cazuri decedeaza īn primii doi ani. Instalarea hipertensiunii pulmonare de debit, complicatie redutabila dupa vārsta de un an, se caracterizeaza prin aparitia cianozei, dilatarea hilara a arterelor pulmonare, zgomot II īntarit la baza. Semnele de hipertensiune pulmonara obstructiva contraindica interventia chirurgicala. Endocardita bacteriana poate complica DSV, mai ales defectul septal de mici dimensiuni (1% din cazuri). Nici īnchiderea chirurgicala nu exclude acesta complicatie. Prevenirea ei consta īn antibioterapie pentru tratarea infectiilor bacteriene. Probabilitatea endocardiei bacteriene nu constituie indicatie chirurgicala.
Tratamentul este medical si chirurgical. Tratamentul medical are drept scop prevenirea insuficientei
cardiace congestive. Tratamentul digitalo-diuretic continuu se face cu doze medii. Recent se asociaza un medicament vasodilatator arterial de tip Captopril, care scade postsarcina. Mentinerea unei stari nutritionale acceptabile devine un scop īn sine; se va evita restrictia sodata excesiva, care agraveaza anorexia.
Tratamentul chirurgical presupune vindecarea completa dupa reparatia defectului. Interventia se realizeaza prin circulatie extracorporeala. Rezultatele sunt excelente pentru echipele experimentate.
Postoperator pot apare tulburari de conducere. Indicatia chirurgicala se face daca raportul debit pulmonar/debit sistemic este egal sau mai mare de 2. Este de preferat ca vārsta interventiei sa fie "īmpinsa" dupa vārsta de 1 an (īntre 1-2 ani). Tehnicile paleative ("banding-uV arterio-pulmonar) vizeaza reducerea calibrului arterei pulmonare, pentru a limita debitul suntului stānga-dreapta. Interventia se executa pe cord īnchis, dar riscurile acestei reparatii sunt de circa 15%. Ramas mai multa vreme pe loc, banding-vX complica mult posibilitatile unei interventii reparatorii complete. Se indica numai la sugarii mici, cu debit mare stānga-dreapta si fenomene de supraīncarcare pulmonara. Recent s-a īncercat si īn DSV cateterismul interventional si utilizarea ocluzorului Rashkind -dubla umbrela, plasat pe cale endovenoasa la bolnavii cu contraindicatie pentru interventia chirurgicala.
Situatii particulare. Complexul Eisenmenger apare īn cazul īn care nu s-a actionat terapeutic īntr-un DSV larg cu comunicare nerestrictiva si hipertensiune pulmonara majora de tip obstructiv si se ajunge la inversarea suntului. suntul dreapta-stānga devine
Cardiologie
constant, factor de desaturare sistemica si cianoza. Zgomotul II puternic, HVD majora si exclusiva, dilatarea arterei pulmonare probata radiologie si echocardiografic, cresterea presiunii sistolice īn artera pulmonara sunt caracteristice sindromului. In timp, apare poliglobulie si cianoza se accentueaza. Evolutia este fatala īn cele din urma.
DSV cu plamān protejat. Se includ īn aceasta categorie DSV asociat cu stenoza pulmonara (de obicei infundibulara), care permite īnsa un sunt stānga-dreapta. Suflul sistolic este intens, dar circulatia pulmonara nu este prea īncarcata. Prognosticul este bun, dar daca stenoza pulmonara progreseaza si tabloul clinic se apropie de cel al tetralogiei Fallot, interventia chirurgicala devine necesara, vārsta optima fiind īntre 3-5 ani.
l Defectul septal atrio-ventricular ' (canal A-V) si DSA - ostium primum
Sub aceasta denumire sunt cuprinse un grup de malformatii care rezulta din oprirea īn dezvoltare a unor componente cu aceeasi origine embriologica, conducānd la o vasta comunicare, chiar īn centrul inimii, cu afectarea etajului atrio-ventricular (segment de jonctiune īn clasificarea Van Praagh).
Leziuni anatomice. Cele ce urmeaza corespund unei forme clinice complete, dar īn practica doar 20% din cazuri se īncadreaza īn aceasta descriere. Septul interatrial este īntrerupt īn portiunea caudala, la nivelul ostium primum. Septul interventricular prezinta discontinuitate la nivelul portiunii musculare
superioare. Intre defectul interatrial si cel interventricular exista continuitate si astfel, īn zona centrala a inimii exista un vast orificiu care permite comunicarea concomitenta interatriala si interventri-culara. īn paralel este afectata structura si functionalitatea ambelor valve atrioventriculare, mai frecvent valva mitrala. Se ajunge ca īn locul celor doua valve atrio-ventriculare sa existe o valva atrio-ventriculara unica, care nu este destul de competenta, permitānd regurgitarea sāngelui din ventriculi īn timpul sistolei ventriculare. "Cercul orizontal" al defectelor atrioventriculare este perpendicular pe "cercul vertical" al defectelor interatriale si interventriculare.
Hemodinamica: Domina suntul stānga-dreapta, care are doua componente: o componenta facultativa, care depinde de talia defectului si existenta hipertensiunii pulmonare si consta dintr-un sunt interatrial si altul interventricular. Exista īnsa si o componenta obligatorie a suntului, care da "originalitatea acestei leziuni" si anume, suntul ce traverseaza "zona libera a cordului", asigurānd o comunicare constanta īntre ventriculul stāng (camera cu regim ridicat de presiune) si atriul drept (camera cu regim foarte scazut de presiune). Acest sunt constant nu depinde de rezistenta vasculara pulmonara, dar contribuie remarcabil la cresterea debitului pulmonar. In sfārsit, insuficienta valvelor atrio-ventriculare permite regurgitarea sāngelui īn timpul sistolei, atāt prin valva tricuspida, cāt mai ales prin cea mitrala, contribuind la alterarea patului vascular pulmonar, care apare mai precoce decāt īn sunturile mari stānga-dreapta, caracteristice altor leziuni.

Fig. 9-4. Defect septal ventricular nerestrictiv cu hipertensiune pulmonara majora (organica, fixa) = complex Eisenmenger. Radiografia cardiopulmonara arata cardiomegalie, proieminenta accentuata (prin dilatare) a trunchiului arterei pulmonare, congestie vasculara pulmonara accentuata.
Esentialul n PEDIA TRIE

Fig. 9-5. Canal atrio-ventricular (CAV) la un copil n v rsta de 1 an cu sindrom Down.
Radiografia toracica arata cardiomegalie cu silueta globuloasa, hipertrofie atriala si ventriculara dreapta. Flux sanghin pulmonar mult crescut.
Manifestarile clinice. Modificarile hemodina-mice complexe conduc la aparitia precoce a simptomatologiei clinice legate de debit pulmonar crescut (tuse, dispnee, dificultati de alimentatie, infectii respiratorii repetate). Suflul sistolic intens, asociat cu zgomot II īntarit sau dedublat īn focarul pulmonarei, constituie semiologia stetacustica. Examenele paraclinice īntregesc diagnosticul. Examenul radiologie evidentiaza totdeauna cardiomegalie, vascularizatie pulmonara pletorica si artere pulmonare dilatate īn hil. ECG: este evocator pentru diagnostic, ca īn foarte putine dintre BCC. Se constata prelungirea intervalului PR prin bloc AV de gradul I, supraīncarcare biventriculara, īn special stānga, deviatie axiala stānga. Echografia bidimensionala si Doppler precizeaza defectele anatomice, astfel ca investigatiile invazive nu mai sunt necesare.
Prognostic si evolutie. Formele complete de boala au un prognostic sumbru daca nu se practica corectie chirurgicala. Exista numeroase motive ca insuficienta cardiaca globala sa se instaleze precoce, sa fie severa si curānd ireductibila. Mortalitatea maxima este sub vārsta de 2 ani. Boala obstructiva pulmonara se dezvolta rapid, facānd interventia chirurgicala inutila. Prognosticul este agravat de coincidenta cu trisomia 21 si 18, cu care aceasta malformatie se asociaza īntr-un procent de 30%.
Tratament. Tratamentul medical clasic digitalo-diuretic nu reuseste sa īmpiedice instalarea precoce a insuficientei cardiace, chiar daca se adauga arsenalul modern al vasodilatatoatelor de tip Captopil. Daca
formele incomplete tip DSA-ostium primum sunt frecvent bine tolerate si au prognostic bun, canalul atrio-ventricular complet are o singura sanctiune terapeutica si anume, cea chirurgicala: se pun "petice" corectoare pentru comunicarea interatriala si interventriculara, ramānānd o problema deschisa (care conduce uneori la reinterventia chirurgicala), si anume insuficienta mitrala si tricuspidiana, care ramāne nesatisfacator rezolvata. Corectia chirurgicala este recomandata chiar pentru sugarii īn vārsta de 6 luni, pentru ca la aceasta vārsta este putin probabila o hipertensiune pulmonara fixa, cu rezerva unei reinterventii la vārsta mai mare, pentru corectarea valvei atrio-ventriculare.
^Persistenta canalului arterial (PCA)
Canalul arterial este o structura vasculara reziduala, din timpul vietii fetale, care asigura drenarea sāngelui din cordul drept catre circulatia sistemica, scurt-circuitānd circulatia pulmonara, nefunctionala īn timpul vietii intrauterine. Persistenta postnatala a unui canal arterial permeabil se īntālneste la doua categorii de copii:
- prematurii foarte mici (sub 1750 g), ca semn de imaturi tate;
- nou nascuti la termen, la care persistenta permeabilitatii canalului se datoreaza unor anomalii ale peretului vascular si la care spre deosebire de prima categorie, īnchiderea spontana devine improbabila.
Cardiologie I
Persistenta canalului arterial (PCA) reprezinta 10% din bolile congenitale de cord, semnalāndu-se predo-minenta sexului feminin. Exista cazuri familiale cu transmitere autosomal dominanta. PCA face parte din complexul malformativ al rubeolei congenitale. In unele cardiopatii cianogene, cu hipovascularizatie pulmonara, persistenta canalului arterial este esentiala pentru supravietuirea bolnavului. Acest tip de canal arterial se numeste canal arterial vicariant si nu va fi tratat īn acest subcapitol
Leziuni anatomice. Din punct de vedere embriologic canalul arterial este un vestigiu al celui de al 6-lea arc aortic stāng (zona proximala asigura originea arterei pulmonare). Canalul arterial are lungime de 2-15 mm si un diametru variabil, īntre 5-15 mm (peste 7 mm se considera larg). Se afla situat īntre artera pulmonara (īn apropierea bifurcatiei) si istmul aortei, unde se deschide pe fata anterioara, la nivelul la care de pe fata posterioara se naste artera subclavie stānga. īnchiderea spontana a canalului depinde de structura histologica a vasului; persistenta lui permeabila se asociaza totdeauna cu anomalii parietale histologice. īn mod normal, se īnchide functional dupa 10-15 ore de viata si anatomic, īnaintea vārstei de 2 luni.
Hemodinamica. īn timpul vietii intrauterine, prin canalul arterial dreneaza 55% din sāngele cordului drept, ocolindu-se circulatia pulmonara nefunctionala, īnchiderea functionala a canalului se face prin contractia fibrelor musculare din peretele vascular. Persistenta unui canal arterial permeabil realizeaza un sunt stānga-dreapta, care, īn functie de dimensiunile canalului (si deci, de importanta debitului), conduce la debit pulmonar crescut, si īn cele din urma, la hipertensiune pulmonara de debit, apoi obstructiva, care relizeaza īn timp scaderea importantei suntului stānga-dreapta si chiar inversarea lui (daca rezistenta pulmonara este foarte crescuta).
Manifestaruile clinice. Tabloul clinic este variabil, īn functie de debitul suntului. Canalul arterial cu diametrul sub 7 mm, nu se soldeaza cu mari perturbari hemodinamice; īn schimb, un sunt larg (peste 7 mm diametru), realizeaza tabloul clinic al hiperdebitului pulmonar, cu repetate infectii pulmonare. Semiologia stetacustica cardiaca este reprezentata de un suflu sistolic cu maximum de auscultatie īn spatiul II intercostal stāng si regiunea subclaviculara, īnsotit de freamat la acelasi nivel sau/ si īn furculita sternala. Suflul sistolic debuteaza dupa primul zgomot, are maximum de intensitate dupa al doilea zgomot si o componenta diastolica care se sterge treptat, īnaintea primului zgomot al urmatorului
ciclu. Acest suflu a fost descris de Gibson. īn canalul larg cu debit mare, suflul sistolo-diastolic a fost comparat cu "zgomotul de tunel". Este posibil ca īn perioada de sugar, cānd nu s-a instalat hipertensiunea pulmonara de debit, sa fie auzita numai componenta sistolica. Hipertensiunea obstructiva conduce la scaderea intensitatii suflului (scaderea volumului suntului din cauza rezistentei pulmonare crescute) si la aparitia unui zgomot II īntarit la nivelul focarului arterei pulmonare, īn cazurile cu debit mare.
Radiografia cardio-pulmonara are caracterele sunturilor stānga-dreapta, cu cardiomegalie variabila, bombarea arcului mijlociu stāng si staza pulmonara. ECG arata hipertrofie ventriculara stānga. Echo-cardiografia bidimensionala este esentiala pentru diagnostic, facānd inutile tehnicile invazive. Canalul arterial poate fi evidentiat īn incidenta suprastemala subclaviculara si parasternala, iar echocardiografia Doppler stabileste cu precizie volumul suntului si gradientele de presiune īntre circulatia sistemica si cea pulmonara.
Prognostic si evolutie. Prognosticul PCA depinde de volumul suntului stānga-dreapta si momentul instalarii hipertensiunii pulmonare; de obicei nu īnainte de vārsta de 2 ani. Daca debitul este foarte mare, insuficienta cardiaca se poate instala mai devreme. Endocardita bacteriana poate fi o complicatie de temut. Se mai noteaza dilatatie anevrismala a arterei pulmonare sau a canalului arterial. Daca debitul prin canal este mic, bolnavul duce o viata normala, dar nu se poate spera la īnchiderea spontana a canalului.
Virtual, toti prematurii cu greutate sub 1750 g au canal arterial persistent dupa nastere. Daca apare sindromul detresei respiratorii neonatale, existenta suntului stānga-dreapta prin canal agraveaza mult simptomatologia. La aceasta categorie de copii, canalul arterial se īnchide spontan īntre 1-4 saptamāni de viata. Exista uneori o īntārziere de īnchidere a CA, care va fi deosebita de persistenta canalului arterial, īnchiderea canalului arterial la prematuri se poate obtine prin manipulare farmacologica. Se utilizeaza inhibitori de prostaglandina de tip indometacin, care este suficient īn 60% din cazuri la prematurii cu detresa respiratorie.
Tratament. īn afara prematurilor, pentru celelalte categorii de copii cu canal arterial persistent, exista doua solutii terapeutice: tratamentul chirurgical sau ocluzia canalului pe cale percutana.
Tratamentul chirurgical este indicat īn toate cazurile. Vārsta optima este de 1-2 ani. Se recomanda sectiunea urmata de sutura, deoarece s-a constatat ca
Esentialul īn PEDIATRIE
daca se face numai ligatura canalului, se produce īn timp repermeabiUzarea acestuia. Interventia se face pe cord īnchis, fara riscuri pentru bolnav.
In ultimul timp atentia este atrasa spre interventie conservatoare, īn categoria cateterismului interventional. Rashkind a fost cel care a propus un obturator occluder cu o structura speciala comparata cu o dubla umbrela, care poate fi plasat pe cale venoasa la nivelul orificiului de comunicare.
S-au conceput doua sisteme ocluzive, de doua dimensiuni (12 si 17 mm), adaptate dimensiunilor canalului. suntul rezidual limiteaza deocamdata extinderea acestei metode pentru toate cazurile. Se utilizeaza numai la copii peste 6 kg greutate.
Anomalia partiala de Īntoarcere venoasa pulmonara
Malformatia poate fi asimptomatica si multe cazuri ramān nediagnosticate īn cursul vietii.
Leziuni anatomice. O parte din venele pulmonare (īntoarcere partial anormala) nu se mai varsa īn atriul stāng, ci īn atriul drept sau venele mari aferente (vena cava superioara, vena cava inferioara, sinusul coronar, vena azygos). Niciodata nu exista obstacol la locul de varsare (spre deosebire de anomalia totala de īntoarcere venoasa). Venele pulmonare drepte se varsa anormal mai frecvent decāt venele pulmonare stāngi. Malformatia este rar izolata, frecvent se asociaza cu DSA. O forma particulara, desi rar īntālnita, este sindromul "cimeterre" (iatagan). Este vorba de
varsarea venelor pulmonare drepte īn vena cava inferioara, īn portiunea subdiafragmatica a acesteia. Se asociaza dextrocardie, hipovascularizatie pulmonara dreapta, sechestratie la baza pulmonului drept si anomalie de sistematica bronsica.
Hemodinamica. suntul dintre venele pulmonare si atriul drept are aceleasi consecinte hemodinamice ca suntul stānga-dreapta din DSA (care se poate asocia). Trebuie remarcat ca sāngele venos pulmonar este drenat preferential, (peste 50% din volum) spre trunchiurile cu traseu anormal datorita diferentei mari de presiune īntre atriul stāng (presiune relativ ridicata) si venele sistemice sau atriul drept (presiune scazuta). In timp se poate dezvolta hipertensiune pulmonara obstructiva.
Manifestarile clinice. Sindromul are o simptomatologie stearsa. Suflul sugereaza existenta unui DSA, dar spre deosebire de acesta, zgomotul II dedublat variaza cu ciclul respirator.
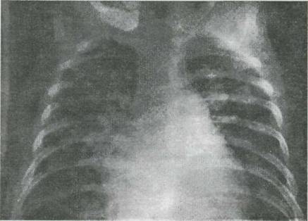
Examenul radiologie (fig. 9-6) poate fi fara modificari, cu aspect sugerānd defectul septal atrial (dar cu hipervascularizatie pulmonara mai evidenta). Sindromul cimeterre realizeaza un aspect radiologie sugestiv. īn afara de dextrocardie, trunchiul comun al venelor pulmonare drepte are un traseu curb, parahilar, paralel cu marginea dreapta a cordului, īndreptāndu-se spre varsarea subdiafragmatica, īn vena cava inferioara. Aceasta imagine radiologica a fost comparata cu un "iatagan" si a dat numele sindromului. Spre deosebire de alte malformatii, obiectivarea defectului anatomic se face mai bine prin cateterism

Fig. 9-6. īntoarcere venoasa pulmonara anormala: ubrele
paramediastinale realizeaza aspect de "om de zapada".
Cardiologie
si angiografie selectiva. Imaginea prin rezonanta magnetica realizeaza cele mai sugestive imagini.
Sindromul este bine tolerat si de obicei nu necesita tratament, cu exceptia sindromului cimeterre, care necesita lobectomia zonei sechestrate.
|