Documente online.
Zona de administrare documente. Fisierele tale
Am uitat parola x Creaza cont nou
 HomeExploreaza
upload
Upload




Tomografia Computerizata

medicina


Tomografia Computerizata


Dezvoltata în 1967 de catre inginerul electronist britanic Godfrey Hounsfield, tehnologia examenului prin TC a revolutionat diagnosticul în medicina. Metoda radiologica de investigatie prin utilizarea radiatiei ionizante, TC reconstr 828i83i uieste în imagini informatiile anatomice dintr-un plan de sectiune transversala a corpului, fiecare imagine fiind generata de computer prin analiza-sinteza datelor transmisiei razelor X, date obtinute în multiple directii diferite dintr-un plan dat.



Secventele de imagini CT arata atât structurile osoase cât si tesuturile moi, inclusiv organe interne, muschi, tumori. Tonurile imaginilor (gama de nuante de la alb la negru, în functie de densitatea diferitelor structuri tisulare scanate) se cuantifica în unitati Hounsfield. Informatiile examenului (cu sau fara substanta de contrast) din multiple sectiuni transversale pot fi asamblate în imagini 3-D prin programe grafice soft dedicate.



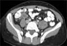
a) sectiune transversala (contrast în tubul digestiv)

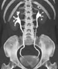
b) urograma (reconstructie longitudinala)


 


b)

 

a)

 

Indicatii

Datorita caracterului neinvaziv, rapiditatii si acuratetii informatiilor oferite, TC abdomino-pelvina a devenit metoda preferata de diagnostic a patologiei abdominale; este metoda de diagnostic preferata în urgentele medico-chirurgicale.

Indicatiile TC abdomino-pelvine:

Fascicul de raze X în evantai

 

Detectori

stationari

 

Pacient

 

Tub de raze X

 




Principiu de functionare

 




Un examen abdominal va include imagini (felii transversale cu grosimea ≥ 5 mm) de la nivelul vârfului cupolei diafragmatice la nivelul crestei iliace, iar examenul pelvin, de la acest ultim nivel la nivelul tuberozitatilor ischiatice.


Fig. 3. Angiografie CT

Aorta si vascularizatia arteriala renala




 













Derularea examinarii

Pacientul va fi chestionat obligatoriu înainte de administrarea intravenoasa a substantei de contrast cu privire la existenta unor antecedente de tip alergie medicamentoasa (în special pentru substante de contrast iodate), precum si la unele coexistente morbide (astm bronsic, diabet zaharat, insuficienta cardiaca, insuficienta renala, tiroidopatii) - conditii ce cresc riscul unor reactii adverse la substanta de contrast sau favorizeaza eliminarea întârziata a acesteia.

Tehnicianul radiolog va pozitiona pacientul pe masa de examinare. Pe masura ce explorarea progreseaza, masa va avansa încet catre tunelul scanner al TC.

Explorarea tractului gastro-intestinal impune administrarea - orala sau prin clisma - de medii de contrast (bariu, substante iodate sau apa) în cursul procedurii pentru a creste vizibilitatea anumitor structuri tisulare.


Anantajele examenului TC

Riscurile examenului TC

Cine interpreteaza rezultatul

Interpretarea imaginilor si elaborarea raportului diagnostic sunt atributul unui medic radiolog cu competenta în explorarea TC.

Tehnologiile moderne de telecomunicatii permit transferul la distanta al imaginilor (telemedicina), în scop diagnostic (a doua opinie) sau didactic-demonstrativ.

Pentru orientarea (sus-jos, dreapta-stânga) interpretarii informatiilor anatomice si topografice ale feliei transversale de trunchi vizualizate (baza toracelui, abdomen, pelvis), ne vom imagina ca privim pacientul culcat pe spate dinspre picioare.


Limitele examinarii TC a abdomenului

Desi principial nu are contraindicatii, formal, examinarea TC nu este indicata la femeia gravida.




Spre deosebire de tomografia computerizata, care este o metoda imagistica structurala (analizeaza structuri anatomice), recent imaginata tomografia prin emisie de pozitroni (PET), reprezinta o tehnica de imagistica functionala ce investigheaza si vizualizeaza procese biochimice (deci functii) prin administrarea de trasori metabolici radio-marcati. Criteriul reconstructiei imaginii nu este densitatea diferita a structurilor anatomice, ci intensitatea diferita a metabolismului acestora (extrem de utila în diagnosticul malignitatilor). Combinatia celor doua principii într-un singur tomograf (PET/CT) ofera un evident spor de acuratete diagnostica a neoplaziilor




Document Info


Accesari: 8653
Apreciat: hand-up

Comenteaza documentul:

Nu esti inregistrat
Trebuie sa fii utilizator inregistrat pentru a putea comenta


Creaza cont nou

A fost util?

Daca documentul a fost util si crezi ca merita
sa adaugi un link catre el la tine in site


in pagina web a site-ului tau.




eCoduri.com - coduri postale, contabile, CAEN sau bancare

Politica de confidentialitate | Termenii si conditii de utilizare




Copyright © Contact (SCRIGROUP Int. 2025 )