Celula este unitatea structurala, functionala si genetica a organismului. Celula indeplineste functiile organismului. Celula este unitatea genetica prin ADN-ul care se gaseste in genele plasate in cromozomi. ADN-ul are rolul de a inmagazina si de a trensmite infor 838g67i matia genetica de la parinti la urmasi.
Celulele pot exista singure (spermatozoizii, ovule) iar restul sunt asociate in tesuturi.
FORMA: Initial toate celulele au forma sferica iar pe parcurs isi modifica forma in functie de rolul pe care il indeplinesc.
Pot fi:

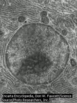
Nucleul este cel mai mare organit. Exista de obicei un
singur nucleu situat central si de forma sferica. Nucleul are o membrana dubla
strabatuta de numerosi pori prin care se realizeaza schimbul de substantza
dintre nucleu si citoplasma. In interiorul nucleului se gaseste citoplasma sau
nucleoplasma. In afara de aceasta se gasesc 1-2 nucleoli care sunt sferici. In
nucleoplasma se afla filamente de ADN care au rol in transmiterea informatiei genetice.
ADN-este un asociat cu proteine si formeaza structuri permanente ce sunt
vizibile doar in timpul diviziunii celulare care se numesc Cromozomi. ADN
reprezinta cromatina. Nucleul contine peste 90%din cantitatea de acid nucleic.
Nucleul are rol in a controla activitatea celulara. Celulele pot prezenta un
singur nucleu, mononucleate, doua nuclee, binucleate, sau mai multe nuclee,
polinucleate. Exista celule lipsite nuclei - anucleate cum ar fi hematia adulta
si trombocitul.
|