Partea I-a. Studiu bibliogarfic
Leucoza enzootica bovina continua sa reprezinte o problema majora pentru efectivele de bovine din Romania. In acelasi timp, constituie un risc potential de infectie pentru om, fiind cunoscuta capacitatea virusului leucozei enzootice bovine de a activa oncogene celulare, implicate in cancerogeneza.
Desi programul de eradicare a leucozei enzootice bovine prin sacrificarea bovinelor infectate si despagubirea detinatorilor de animale este in plina desfasurare, numarul cazurilor pozitive este in continua crestere.
Leucoza enzootica bovina (LEB) este o boala neoplazica maligna a sistemului reticuloendotelial, caracteristica animalelor adulte, manifestata printr-un tablou simptomatic extrem de complex, indus de localizarile variate ale agregarilor neoplazice limfocitare B si reprezinta cea mai importanta dintre leucozele bovinelor.
Pe langa forma enzootica de leucoza bovina, sunt citate la aceeasi specie si leucoze sporadice, care afecteaza cu precadere tineretul si care includ: leucoza juvenila, leucoza timica si leucoza cutanata. Deoarece nu s-au putut izola si identifica nici virusul inductor si nici anticorpi antivirali la animalele cu forme sporadice de leucoza, nu este fundamentata considerarea acestora ca entitati infectioase ().
Raspandire si importanta economica
Infectia a fost semnalata in intreaga lume. Seroprevalenta cunoscuta variaza in limite de sub 1% in majoritatea tarilor europene si pana la 5% in America de Nord, cu procente foarte ridicate, de peste 20, in unele zone din America de Sud si Africa tropicala (). Alte cercetari indica valori mult mai mari ale seropozitivitatii (minim 20% in Statele Unite, 6-11% in Canada, 27% in Franta, 37% in Venezuela, 0,22% in Australia) (). Nu in toate tarile sunt insa disponibile date statistice certe. Prevalenta generala pare sa fie indicata de cifre cuprinse intre 4 si 165/100 000 animale/an () si este crescuta in efectivele mari comparativ cu cele mici. Pierderile sunt datorate reducerii duratei vietii economice a animalelor, diminuarii potentialului productiv, restrictiilor aplicate exporturilor de bovine si material seminal, etc.
Etiologie
Virusul leucemiei bovine (BLV) este un deltaretrovirus exogen (.), care persista intr-o subpopulatie de limfocite B si induce proliferarea acesteia. In contrast cu virusurile T limfotrope (virusul T limfotrop simian si uman tip 1 si 2) cu care se inrudeste genetic, virusul leucemiei bovine (BLV) infecteaza primar limfocitele B CD5+ si macrofagele, nu si limfocitele T, dintre care foarte putine au markerul CD5.
BLV, poseda pe langa genele comune retrovirusurilor gag, env si pol, un complex terminal (LTR) de proteine care includ tax, rex, rIII si gIV (.). Se considera ca modul de actiune oncogen al BLV este similar cu al virusurilor limfotrope, prin intermediul proteinei tax virale, care functioneaza ca un factor transcriptional ce regleaza exprimarea genelor virale si ale gazdei (.).
Virusul este rar int 343h77d alnit liber, in sangele animalelor bolnave. Infecteaza bovinele si ovinele si, la un procent redus dintre animalele infectate, induce LEB, o proliferare neoplazica policlonala a limfocitelor B. Uneori pot apare limfoame de o malignitate crescuta.
Periodic virusul poate suferi modificari antigenice, evitand astfel mecanismele de protectie imuna ale organismului infectat. Acest sistem virus-gazda este similar cu cel intalnit in cazul altor retrovirusuri (virusul anemiei infectioase ecvine, virusul Visna-Maedi).
Caractere epidemiologice
Receptivitate. Se imbolnavesc bovinele din toate rasele, in varsta de peste 2 ani. Incidenta creste o data cu avansarea in varsta. Receptivitatea la bovine, precum si aparitia si evolutia bolii clinice sunt conditionate de rezistenta genetica si complexul major de histocompatibilitate (BoLA).
Sunt receptive in mod natural la leucoza enzootica doar bovinele, la ovine si caprine virusul producand limfosarcoame. Caracterele epidemiologice, hematologice, simptomatologia si modificarile anatomopatologice ale bolii la speciile din urma sunt similare celor din LEB (). La suine si cabaline nu a fost demonstrata prezenta BLV, dar la aceste specii au fost inregistrate episoade epidemice (suine) sau doar sporadice (cabaline) de evolutie a limfosarcoamelor. Experimental, virusul poate fi transmis la ovine, caprine, suine, iepuri, maimute Rhesus, cimpanzei si bivoli ().
Efectivele de vaci de lapte sunt afectate in mai mare masura decat cele de bovine pentru carne. Animalele infectate raman surse de infectie perioade lungi de timp, poate chiar toata viata, virusul persistand la nivelul cromozomilor gazdei independent de prezenta simultana a anticorpilor antivirali ().
Transmitere.
Virusul leucozei enzootice bovine se replica la nivelul limfocitelor, putand fi detectat prin electronomicroscopie, izolat in limfocitele din sangele periferic sau in limfocitele din lapte, dupa cultivarea virusului in vitro. Acest virus prezinta o mare afinitate celulara, celule fara virusuri sunt rareori depistate. Evidentierea serologica a anticorpilor specifici, sugereaza ruta majora de transmitere si de raspandire a bolii este ceea orizontala. Transferul limfocitelor infectate (ex. prin sange) intre animalele receptive, este totusi esentiala pentru transmiterea orizontala. Avand in vedere aceste aspecte, insectele hematofage, pot juca un rol important in transmiterea LEB, fiind niste vectori remarcabili. Transmiterea virusului LEB la oaie prin intermediului intepaturilor tabanidelor, se poate realiza de la vacile infectate, prin inocularea subcutanata a aparatului de intepat si supt al tantarului, hranindu-se astfel cu sange infectat, reprezentand probabil suportul de transmitere a bolii (B.A. Buxton and R.D. Schultz - Factors Affecting the Infectivity of Lymphocytes from Cattle with Bovine Leukosis Virus, Can J Comp Med 1984; 48: 365-369). Importanta insectelor hematofage, ca vectori, depinde de cantitatea de sange infectat cu virusul LEB, necesar pentru a cauza infectie. Van Der Maaten si Miller (VAN DER MAATEN MJ, MILLER JM. - Susceptibility of cattle to ovine leucosis virus infection by various routes of exposure. In: Bentuelzen T, ed. Proc 8th Inter Symp Comp Leukemia Res. Amsterdam: North Holland Biomedical Press, 1978: 29-32) raporteaza intr-un studiu efectuat ca, un numar de 2500 de limfocite infectate (5x10-4 ml de sange) poate cauza infectie la vitei. Totusi astfel de studii nu au fost extinse si pentru bovinele adulte, determinand astfel numarul de limfocite infectate cu virusul LEB si care pot constitui doza infectioasa.
Virusul se transmite in mod obisnuit pe cale orizontala, prin intermediul instrumentarului nesterilizat, a manusilor pentru exploratii transrectale reutilizate, a acelor de tuberculinare, al sangelui/limfocitelor infectate, iar in climatul cald, posibil, prin insecte hematofage. Raspandirea relativ redusa catre efective invecinate sugereaza necesitatea unui contact prelungit si apropiat intre animalele bolnave si cele sanatoase. Transmiterea orizontala nu este caracteristica in cazul transferului viral de la bovine la ovine si nu exista dovezi ale transmiterii BLV la om. Transmiterea pe verticala este demonstrata prin prezenta infectiei la 10% din vitei la fatare (.), cu toate ca alti autori neaga importanta transmiterii transuterine, considerand-o practic neglijabila si pledeaza pentru transmiterea prin colostru sau lapte ().
Transmiterea naturala se produce in mod obisnuit vara, cand contactii animalelor scoase la pasune sunt mai numerosi si cand intervin insectele hematofage, care vehiculeaza materiale biologice contaminate, sange sau lichide biologice ce contin limfocite infectate (lapte, secretie vaginala, exsudate, losii etc.).
Cu toate ca virusul este prezent in secretiile nazale, nu s-a reusit demonstrarea transmiterii sale la animalele sanatoase pe aceasta cale.
Virusul nu este prezent in saliva dar apare intermitent in urina animalelor infectate.
Materialul seminal contaminat cu sange care contine celule infectate poate servi drept sursa de virus, dar insamantarile artificiale cu material seminal lipsit de astfel de celule nu sunt incriminate in transmitere, nici chiar daca sperma provine de la animale seropozitive.

Fig. Mecanismul de transmitere a LEB (rafaela.inta.gov.ar/revistas/inf0999.htm)
Patogeneza
In urma infectiei cu BLV se produce un raspuns persistent in anticorpi fata de proteina de invelis gp51 si proteina majora a virionului p24. Timpul necesar anticorpogenezei postinfectante poate ajunge la 14 saptamani. Concomitent se produce limfocitoza acuta (). Aproximativ 80% din animalele cu leucoza enzootica prezinta o descrestere drastica a concentratiei IgM iar raspunsul la antigene, exprimat indeosebi prin anticorpi de tip IgM (raspunsul primar) este supresat semnificativ prin producerea diminuata a acestei imunoglobuline in limfonoduri si splina (.).
Limfomatoza este boala neoplazica a sistemului reticuloendotelial, niciodata benigna, cu evolutie variabila in functie de individ, durand de regula cateva luni. Oncogeneza depinde probabil de integrarea genelor provirale v-onc in ADN-ul celular (.). Tinta principala a virusului este reprezentata de limfocitele B, cursul boli sugerand un proces multistadial. Initial, infectia este inaparenta, pentru ca apoi sa progreseze la limfocitoza persistenta iar apoi la neoplasm.
La animalele reactionate fata de antigenul viral gp51, prezentand sau nu limfocitoza, nu au fost depistate modificari semnificative ale concentratiei totale de proteine serice, ale globulinelor alfa, beta si gamma sau ale concentratiilor serice de IgG respectiv IgM (2).
Prin infectii experimentale, efectuate pe ovine, s-a demonstrat implicarea TNFa si a receptorilor acestuia TNF R1 si TNF R2 in patogeneza leucozei enzootice bovine, prin activarea limfocitelor B (.).
Virusul LEB poate induce limfocitoza persistenta prin expansiunea non-neoplazica a limfocitelor B CD5 . Markerul CD5 este asociat in limfocitele B normale cu receptorul limfocitar B (BCR). Disocierea CD5 de BCR si diminuarea ulterioara a apoptozei, cu cresterea ratei de supravietuire a limfocitelor B stimulate antigenic poate reprezenta unul dintre mecanismele de inducere a limfocitozei persistente de catre BLV (.). La animalele cu limfocitoza persistenta, investigarea capacitatii de blastizare a celulelor mononucleare din sangele periferic demonstreaza o diminuare considerabila a incorporarii de timidina tritiata la stimularea cu concanavalina A, fitohemaglutinina (PHA) si poke weed mitogen (PWM). Acest raspuns este diminuat suplimentar daca infectia cu BLV este insotita de prezenta virusului imunodeficientei bovine (.).
Analiza izoenzimelor lactat dehidrogenazei poate aduce indicii referitoare la leucemogeneza sau la initierea pre-leucozica. Fractiunile individuale LDH1 si LDH5 manifesta tendinte descrescatoare, dupa cum si incidenta fractiunilor minoritare LDH4 si LDH5 este redusa (3). De asemenea, studii de genetica moleculara arata ca mutatii in antioncogenul p53 pot reprezenta un factor care sustine selectiv proliferarea limfocitelor B, indeosebi a acelora avand fenotipul CD5+, ducand la limfosarcom (.).
Tabloul clinic

Fig. Aspecte clinice din LEB (www.vetmed.ucdavis.edu//Image3.jpg)
Au fost citate cazuri (5-10% dintre animalele imbolnavite) de evolutie supraacuta a bolii, cand animalul este gasit mort sau moare brusc, fara a manifesta semne clinice de boala. Cauzele acestor morti subite sunt cel mai adesea reprezentate de rupturi ale abomasumului consecutive unor ulcere, rupturi splenice cu hemoragii interne sau disfunctia suprarenalelor.
Evolutia clasica, subacuta (1-2 saptamani) sau cronica (luni de zile) se traduce prin slabire, inapetenta sau anorexie, paliditatea mucoaselor si slabiciune musculara. Temperatura este nemodificata, cu exceptia bolii tumorale invazive, in care poate atinge 39,5-40°C. Obisnuit, boala clinica este depistabila atunci cand modificarile sunt extinse. Acestea constau in cresterea in volum a limfonodurilor externe sau interne. Cresterea in volum a limfonodurilor poate fi insotita de semne clinice datorate compresiunii asupra intestinelor sau a unor nervi. Hipertrofia limfonodala poate fi generalizata iar ocazional pot fi observate tumori pe intreaga suprafata corporala. Implicarea aparatului digestiv este initiata prin aparitia de leziuni in peretele prestomacelor si abomasumului, cu melena in caz de rupturi, in urma unor ulcere digestive.
Localizarea leziunilor la nivelul cordului drept duce la insuficienta cardiaca congestiva, hidropericard cu estomparea zgomotelor cardiace la ascultatie, hidrotorax cu instalarea dispneei, ectazie jugulara cu edemul salbei si uneori intermandibular (.). Aceste simptome pot fi insotite de aritmie si tahicardie. Pulsul jugular retrograd este asociat cu murmurul sistolic. Congestia hepatica pasiva, datorata perturbarilor circulatorii duce la diaree persistenta.
Instalarea limfoamelor la nivelul nervilor se traduce prin pareza progresiva a trenului posterior, cu mentinerea senzoriului dar cu afectarea compartimentului motor. Animalele schioapata usor initial, unul dintre membre putand fi mai afectat, apoi se ridica greu, preferand in cele din urma decubitul prelungit. Uneori, la nivelul ultimelor vertebre lombare si a primelor vertebre sacrale, exista o senzatie de hiperestezie. Metastazele meningeale sunt exprimate clinic prin semne caracteristice zonei infiltrate si dependente de volumul leziunii.
Modificari hematologice. Prezenta BLV in organele limfohematopoetice duce la leucocitoza, valorile leucocitelor crescand de la moderat pana la peste 100000/mm3. Aceasta crestere are loc pe seama subpopulatiilor limfocitare de diferite categorii, ceea ce a generat clasificarea leucemiilor in acuta si cronica cu diferite forme. Astfel, daca in leucemia acuta, pot fi intalnite celule stem nediferentiate, limfoblasti normali sau atipici (leucemia acuta limfoblastica) sau mieloblasti si mielociti (leucemia acuta mieloblastica), in leucemia cronica apar limfocite mature proliferate anarhic (leucemia limfoida cronica), monocite granulare (leucemia monocitara cronica), limfocite B neoplazice (leucemia cu celule plasmocitare), trichocite (leucemia cu "celule paroase")(.).
Modificarile calitative ale limfocitelor in functie de varsta animalului au permis crearea unor "chei leucozice", tabele ce includ corelatii intre numarul absolut de limfocite si varsta (.).
Tabloul morfopatologic
Organele sau tesuturile modificate neoplazic sunt caracterizate prin crestere in volum, datorita infiltratilor leucemice (). Limfonodurile cresc in volum, depasind de cateva ori dimensiunile initiale. Culoarea lor este la inceput cenusie, apoi datorita aparitiei necrozelor sau a hemoragiilor, apar zone galbui sau rosiatice (). Miocardul prezinta infiltratii sub forma de strii sau noduli parietali atriali sau ventriculari. Rinichii pot fi mariti uniform in volum sau prezinta infiltratii nodulare. Splina si ficatul isi pot pastra dimensiunile normale insa uneori sunt crescute in volum. Peretii organelor cavitare (cheag, intestin, cervix, vagin, uter) sunt ingrosati de infiltratiile difuze sau nodulare, avand mucoasa ulcerata sau cu zone de necroza. In maduva, procesele infiltrative sunt mai rare ().

Fig. (www.vetmed.ucdavis.edu//Image2.jpg)
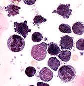
Fig.1. Aspectul histologic al aspiratului din limfonoduri, de la vaci cu limfosarcom. Se observa limfocite numeroase, cu o rata mare a raportului nucleu/ciroplasma si nuclei ovali cu cromatina fina. In fundal sunt prezenti nuclei goi, picaturi citoplasmatice si eritrocite (https://www.vet.uga.edu/vpp/clerk/collins/index.php).
Fig. 3. Citocentrifugarea probelor de lichid cerebrospinal, provenit de la vaci la care evolueaza o limfoma la nivelul sistemului nervos central. In acest camp se observa pleiocitoza limfocittara si doua aspecte mitotice (https://www.vet.uga.edu/vpp/clerk/collins/index.php).
Diagnostic
Virusul LEB este un agent patogen cu o importanța semnificativa la bovinele de pe continentul American, de unde s-a raspandit peste tot in lume, afectand in special vacile din ferme. Se fac eforturi considerabile atat pe continentul American, cat si pe celelalte continente pentru a mentine sub control si pentru eradicarea bolii. Aceste eforturi se bazeaza pe aplicarea unor teste de diagnostic, cum ar fi imunodifuzia (ID), testul imunoenzimatic (ELISA), Western Bloot (WB) si reactia de aplificare genica (PCR), pentru a reusi identificare, separarea si eliminarea animalelor purtatoare ale virusului LEB (Teresa González; María Licursi1; Estela Bonzo - ENZOOTIC BOVINE LEUKOSIS: PERFORMANCE OF AN INDIRECT ELISA APPLIED IN SEROLOGICAL DIAGNOSIS, Brazilian Journal of Microbiology (2007) 38:1-5).
In prezent are in vedere datele epidemiologice, clinice si anatomopatologice dar trebuie confirmat obligatoriu prin teste de laborator, pe baza carora se instituie apoi programele de eradicare. Testele frecvent utilizate sunt: ID, ELISA, inhibarea sincitializarii.
Dubla imunodifuzie in gel de agar, tehnica oficiala a OIE, recunoscuta de Comunitatea Europeana si majoritatea guvernelor pentru testarea animalelor importate, are o sensibilitate de 98,5 si o specificitate de 99,8% pentru depistarea infectiei cu BLV (.).
ELISA (reactia imunoenzimatica) este utilizata cu precadere pentru identificarea anticorpilor din lapte, in scopul stabilirii efectivelor negative fata de infectia cu BLV. Sensibilitatea si specificitatea acestui test sunt de 97 si respectiv 62%, fiind considerat un test adecvat pentru screening, pana la prevalenta de sub 1% a indivizilor infectati la nivel national (). ELISA nu reuseste insa sa faca o diferentiere intre viteii care au ingerat colostru de la mame seropozitive si poseda anticorpi maternali si cei care sunt infectati in utero. In aceste cazuri se apeleaza la PCR.
RIA (radio imuno analiza) reprezinta unul dintre cele mai sensibile teste pentru diagnosticul individual al infectiei, eficient deja dupa doua saptamani de la expunerea la sursa de infectie, facilitand depistarea anticorpilor in lapte sau serul animalelor in perioada periparturienta.
PCR (reactia polimerazei in lant) este mai sensibila decat ID sau ELISA, fiind utilizata pentru depistarea directa a virusului in limfocite, acolo unde prevalenta infectiei este sub 5%. Rezultatele fals pozitive pot apare in urma contaminarii cu produsul reactiei de amplificare.
Cocultivarea limfocitelor din tumori cu celule sensibile la infectie rezida in aparitia particulelor virale in mediul de cultura. O combinatie a metodelor PCR si ELISA a permis detectarea unor cantitati minime (10-4ng) de ADN proviral, dovedindu-se de 100 ori mai sensibil decat colorarea cu bromura de ethidiu (.).
Dintre testele de mai sus, pentru depistarea reagentilor, in cadrul programelor de control si eradicare a L.E.B., O.I.E. recomanda in primul rand, testele de imunodifuzie in gel de agar si ELISA.
Nu compoerta dificultati privind diagnosticul in forma tumorala, dar ridica probleme in localizarile interne si, mai ales, in formele incipiente de boala (Onet E. (1983) - virusuri si viroze la animale, Ed, dacia, Cluj Napoca). Este foarte important de asmenea de retinut faptul ca, cle mai multe bovine infectate nu prezinta nici un semn clinic de boala, doar 5% din numarul lor dezvolta limfosarcoame. Datorita acestui fapt este imposibil controlul bolii intr-un efectiv de animale doar prin extragerea din acesta a animalelor cu semne clinice ( Moga Manzat R. - coordonator (2005) - Boli virotice si prionice ale animalelor , Ed,. Brumar, Timisoara; Johnson R., Kaneene J.B. (1991) - Bovine leukemia virus, Part. II. Risk factors of transmission. Comp. Contin Educ Pract Vet., 13:681-690). Este importanta tinerea sub control a acestei boli, deoarece ea produce pagube mari prin scaderea productiei. Intr-un studiu efectuat pe efective de bovine infectate cu virusul LEB s-a observat scaderea productiei de lapte cu 2,5-3% si o mai mare receptivitate la unele boli (mamite, diaree, pneumonie), iar efectul asupra fertilitatii este minor (Moga Manzat R. - coordonator (2005) - Boli virotice si prionice ale animalelor , Ed,. Brumar, Timisoara).
Testul ELISA poate fi efectuata si pe probe de lapte sau pe probe de sange. Testul pe probe de sange este mult mai precis decat cel pe probe de lapte. Metoda se foloseste individual sau pe intregul efectiv. Aceasta este o metoda rapida foarte usor de efectuat, precisa si economica. Testul pe probe de lapte este mai putin precisa decat testul AGID (Vasiu C. (2003) - Viroze si boli prionice la animale, Ed. Nereamia Napocae, Cluj Napoca). Barna si col. (1997) arata ca ELISA reprezinta singurul test sensibil, specific si rapid care a fost adus la standardele europene (Vasiu C. (2003) - Viroze si boli prionice la animale, Ed. Nereamia Napocae, Cluj Napoca; Pop M., Cumpanasoiu C., Tarziu E., Olariu Jurca I., Linta P., Muntean P., Radu Gh. (2004) - valoarea unor metode de diagnostic folosite in combaterea LEB, Lucr. St. Med. Vet. Timisoara, XXXVII, 502-507). Aceasta tehnica a devenit atat de performanta prin trusa BLV-SP de generatia a III-a, avand o precizie de diagnostic de 100%. Testul imunoenzimatic ELISA nu este foosita frecvent datorita costurilor ridicate pe care le incumba. Se recomanda a fi efectuata ladeclansarea bolii, pentru stabilirea incidentei acesteia, precum si dupa cl de-al treilea examen serologic negativ la imunodifuzie (ID), pentru identificarea purtatorilor de anticorpi cu titru scazut care nu pot fi depistati prin imunodifuzie (Pop M., Cumpanasoiu C., Tarziu E., Olariu Jurca I., Linta P., Muntean P., Radu Gh. (2004) - valoarea unor metode de diagnostic folosite in combaterea LEB, Lucr. St. Med. Vet. Timisoara, XXXVII, 502-507).
Tehnica oficiala a OIE, recunoscuta de Comunitatea Europenaa si de majoritatea guvernelor, pentru testarea animalelor importate, pentru depistarea infectiei cu virusul LEB este Dubla difuziune in gel de agar. Aceasta are o sensibilitate de 98,5% si specificitate de 99,8% (Vasiu C. (2003) - Viroze si boli prionice la animale, Ed. Nereamia Napocae, Cluj Napoca, Johnson R., Kaneene J.B. (1991) - Bovine leukemia virus, Part. II. Risk factors of transmission. Comp. Contin Educ Pract Vet., 13:681-690, Blood D.C., Radostis O.M., Arundei J.H., Gay C.C. (1989) - Veterinary Medicine, 7th Edition, Bailliere Tindall, London, Philadelphia, Sydney, Tokyo, Toronto)
Tratament. Nu a fost elaborata nici o metoda de tratament
Imunoprofilaxie
Au existat incercari de preventie a bolii prin utilizarea unor vaccinuri inactivate, care s-au dovedit a fi protectoare fata de infectia de control, dar cercetarile nu au depasit faza experimentala ().
Combatere
Preventia bolii se face prin aplicarea stricta a masurilor profilactice nespecifice: respectarea tehnologiei, asigurarea perioadei de carantina, achizitionarea de animale doar din efective indemne, controale serologice periodice, controlul vectorilor hematofagi, aplicarea unor programe de selectie pentru rezistenta la boala etc.
Combaterea bolii este conditionata de prevalenta infectiei in efectiv, valoarea efectivului, existenta unei legislatii in vigoare in vederea despagubirii proprietarilor pentru animalele sacrificate in scop de eradicare a bolii.
In unele tari sunt in uz programe guvernamentale de eradicarea a bolii, dar in altele, fermierii individuali recurg la masuri aplicate in efectivele proprii doar pe baza testelor serologice efectuate. Virusul poate fi eliminat din efectiv daca se executa controale serologice periodice, la 2-3 luni interval. Durata perioadei de indemnizare a efectivelor este dependenta de prevalenta initiala a infectiei, dar de obicei un an este suficient. Daca prevalenta este prea ridicata, animalele seropozitive pot fi izolate de cele seronegative. Viteii proveniti de la mame seropozitive se reintroduc in efectivul de baza numai daca dau rezultat serologic negativ la varsta de 6 luni (.).
Aplicarea testului ELISA pe probe de lapte de colectura poate duce la identificarea efectivelor in care prevalenta infectiei este de sub 2,5% (..).
In unitatiile cu leucoza enzootica bovina confirmat se declara oficial boala si se instituie masuri de carantina de gradul III. In functie de examenele serologice si hematologice, fermele infectate cu leucoza se vor incadra cu una din urmatoarele categorii:
categoria A cu pana la 15% animale infectate;
categoria B cu pana la 15-40 % animale infectate;
categoria C cu peste 40% animale infectate.
In fermele de categoria A asanarea se face prin extractie. In cadrul categoriei B , asanarea se face prin concentrarea animalelor , reactionate negativ in ferme de categoria A, in care se aplica din nou asanarea prin extractie.
La categoria C cu peste 40% din animalele infectate, fermele devin centre de izolare. Asanarea acestora se face prin depopulare totala urmata de trei dezinfectii generale la interval de o luna. In acest interval se opreste reproductia si popularea fermelor cu animale din loturi indemne. In gospodariile populatiei toate taurinele din curtea in care s-a depistat boala vor fi dirijate la taiere sau ingrasatorii in maxim doua saptamani de la stabilirea diagnosticului. Pana la livrare se interzice scoaterea animalelor din curte.
Partea a II -a. Cercetari proprii
Scopul lucrarii
Leucoza enzootica bovina este o oncopatie produsa de un virus specific si reprezinta una din cele mai garave boli ale bovinelor. Importanta bolii rezida in pirderile produse prin scaderea productiilor de lapte si carne, prin sacrificarile de necesitate, prin cheltuielile cu profilaxia si combaterea si nu in ultimul ran, prin importanta sanitara.
Din aceste motive, in toate tarile in care boala a fost diagnosticata, sunt aplificate masuri drastice sanitare veterinare cu scopul de a preveni si combate aceasta boala. Ca urmare a masurilor aplicate, in unele tari europene boala a fost eradicata ().
|
Cod ISO |
State membre UE |
|
BE |
Belgia |
|
CZ |
Republica Ceha |
|
DK |
Danemarca |
|
DE |
Germania |
|
ES |
Spania |
|
FR |
Franta |
|
IE |
Irlanda |
|
CY |
Cipru |
|
LU |
Luxemburg |
|
NL |
Tarile de Jos |
|
AT |
Austria |
|
SI |
Slovenia |
|
SK |
Slovacia |
|
FI |
Finlanda |
|
SE |
Suedia |
|
UK |
Regatul Unit |
Fig. Tarile indemne la LEB, conform directivei UE
Luand in considerare pericolul real si potential al LEB, programele de profilaxie si combatere sunt coordonate de catre OIE si de catre seviciile sanitare veterinare ale Uniunii Europene. In acest context, in Romania, inca de la anceputul semnalarii primelor focare de LEB, au fost emise mai multe acte normative, care reglementeaza activitatea de profilaxie si combatere, precum si metodologia diagnosticului oficial, hematologic si serologic.
In ultimii ani pentru aprecierea evolutiei unor boli transmisibile, dar si netransmisibile, sunt utilizati indicatorii epidemiologici, acre furnizeaza date importante privind aparitia si mentinerea unor boli in populatiile de animale. In acelsi timp, acesti indicatori pot aprecia forta morbiditatii unor boli transmisibile, precum si existenta unor surse de infectie promare sau secundare.
Avand in vedere aspectele aratate anterior, pentru a aprecia evolutia LEB in populatia de bovine din 3 localitati din judetul Bihor, pe o perioada de 4 ani (intre 2004-2008), au fost colectate si prelucrate datele raportate de serviciul epidemiologic al judetului Bihor, catre Agentia Veterinara si pentru Siguranta Alimentelor si M.A.A.P.
Materiale si metode
Studiul epidemiologic a fost efectuat pe populatia bovina existenta in fermele particulare si in gospodariile populatiei din localitatiile Boiu,Ciumeghiu și Ghiorac, judetul Bihor. Pentru obtinerea datelor primare care se refera la perioada 2004-2008, am beneficiat de sprijinul biroului antiepizootic si al laboratorului LEB din cadrul DSVSA Bihor. Alaturi de datele primare au fost studiate si buletinele de analiza emise in urma examenelor de laborator, rezultatele sacrificarilor de control, rezultatele anchetelor epideiologice, palnurile de asanare, actele de dezinfectie si rezultatele testelor de sanitatie.
Mentionam ca in evidentele organelor saniatr veterinare amintite nu au existat date privind numarul animalelor bolnave cu semen clinice si nici date privind numarul animalelor moarte si sacrificate cu leziuni macroscopice specifice LEB.
Observatiile au fost efectuate in judetul Bihor, in 2 focare de leucoza enzootica bovina (LEB), aparute la bovinele din gospodariile populației, din localitatiile Boiu și Ciumeghiu, pe parcursul a 4 ani (fig. ..). Pentru detectarea anticorpilor specifici, necesare diagnosticarii LEB, s-a folosit examenul serologic si anume imunodifuzie in gel de agar. Boala a fost declarata oficial, in cazul in care unul sau mai multe animale au fost depistate pozitiv la testele serologice. Controlul acestei boli s-a realizat prin extragerea aniamelor infectate.
Fig. Harta judetului Bihor
Rezultate si discutii
Cercetarile efectuate se extind pe durata a 4 ani, in intervalul 2004-2008 si se refera la populatia bovina din gospodariile populatiei.
Aparitia LEB in interiorul focarelor studiate a fost corelata cu existenta acestei boli in aria supusa studiului. Boala a fost declarata oficial pe baza buletinelor de analiza emise de laboratorul sanitar veterinar din judetul Bihor, urmand apoi procedurile prevazute in legislatia actuala, privind controlul LEB.
Rezultate si discutii
Cercetarile efectuate se extind pe durata a 4 ani (intervalul 2004-2008) si se refera la populatia bovina din gospodariile populatiei.
Datele primare (preluate din situatiile raportarilor lunare ale medicului veterinar concesionar si ale biroului antiepizootic al judetului Bihor) au fost prelucrate si interpretate, iar rezultatele semnificative au fost retinute si sunt prezentate pe fiecare localitate in parte in tabelul 1 si in mai multe grafice.
Infectia LEB in localitatea Boiu
In perioada 2004-2008, in localitatea Boiu, numarul total de bovine a inregistrat urmatoarele valori: 301 in 2004, 296 in 2005, 298 in 2006, 302 in 2007 si 304 in 2008 (graficul 1)
Graficul 1. Evolutia efectivului de bovine in localitatea Boia in intervalul 2004-2008
De la bovinele din Boiu au fost recoltate probe de sange, in vedera diagnosticarii infectiei LEB, conform planului de supraveghere sanitara veterinara, o data pe an, exceptand anii 2005, 2006, 2007 si 2008, cand au fost recoltate probe atat primavara cat si toamna. In intervalul studiat s-au recoltat probe de sange astfel: 152 in 2004, 157 in 2005, 156 in 2006, 328 in 2007 si 163 in 2008. evolutia probelor certificate ca fiind pozitive a fost urmatoarea: 3 probe in 2004, 3 probe in 2005, 2 probe in 2006, nici o proba pozitiva in 2007 si 2008. Declararea oficiala a bolii a fost facuta pe data de 29.04.2004, iar stingerea focarului de LEB si ridicarea masurilor de carantina data de 5.12.2008 (graficul 2).

Graficul 2. Dinamica recoltarii probelor de sange de la bovinele din Boiu in intervalul 2004-2008
In graficul 3 este redata dinamica probelor pozitive si a numarului de curti contaminate. Trebuie remarcat faptul ca, boala in aceasta localitate a fost diagnosticata penru prima data in primavara anului 2004, cand au fost depistate 3 vaci pozitive, in doua curti contaminate, care ulterior au fost si eliminate, astfel ca in primavara anului 2007 nu au mai existat probe pozitive. In perioada de studiu, in localitatea Boiu, au evoluat astfel: 3 in 2004 (2 curti contaminate), 3 in 2005 (3 curti contaminate), 2 in 2006 (2 curti contaminate), iar in 2007 si 2008 nu au fost depistate bovine pozitive la LEB. Anterior datei de depistare a bovinelor pozitive la LEB, localitatea a fost indemna la aceasta boala.
Graficul 3. Dinamica probelor pozitive si a curtilor contaminate din localitatea Boiu in intervalul 2004-2008
Evoluția procentului de infectie este redata in graficul 4 si urmeaza aceeasi dinamica ca si cea a numarului de probe pozitive. La controlul serologic efectuat in primavara anului 2007 nu au mai fost depistate vaci pozitive.

Graficul 4. Evolutia procentului de infectie LEB in localitatea Boiu in intervalul 2004-2008
Infectia LEB in localitatea Ciumeghiu
In localitatea Ciumeghiu in perioada 2004-2008, numarul total de bovine s-a situat valoric intre 192-211, cu mici oscilatii de la an la an (graficul 5).
Graficul 5. Evoluția efectivului de bovine in localitatea Ciumeghiu
De la bovinele din Ciumeghiu au fost recoltate probe de sange, in vederea diagnosticarii infectiei LEB, in conformitate cu prevederile planului de supraveghere sanitara veterinara, o data pe an, cu exceptia anii ce au urmat depistarii bovinelor pozitive, intre 2006- 2008, cand s-a recoltat probe de doua ori pe an (graficul 6).
Graficul 6. Dinamica probelor de sange de la bovine din Ciomeghiu in intervalul 2004-2008
In graficul 7, sunt redate dinamica probelor pozitive si a numarului de curti contaminate. In localitatea Ciumeghiu, boala a fost diagnosticata pentru prima data in primavara anului 2005, cand au fost depistate 67 de vaci pozitive pentru LEB, in 34 de curti contaminate, care au si fost ulterior eliminate. La controlul din 2006, au mai fost depistate 7 probe pozitive, in 5 curti contaminate, care au fost eliminate. In 2007 au mai fost depistate 5 cazuri noi, iar in 2008 inca trei cazuri pozitive la LEB, repartizate in 4, respectiv 2 curti contaminate. Toate animalele depistate pozitiv au fost eliminate astfel: in 2005 - 54 de bovine; in 2006 - 17 bovine din care 11 din cele din anul anterior; in 2007 - 7 bovine, dintre care 2 din anul anterior, iar in 2008 - 2 bovine, ramanand un animal depistat pozitiv neeliminat.

Graficul 7. Dinamica probelor pozitive si a curtilor contaminate din localitatea Ciumeghiu,
in intervalul 2005-2008
Evolutia procentului de infectie LEB, este redata in graficul 8, avand urmatoarele oscilatii de a lungul perioadei de studiu: in anul 2005 - 42,30%, in anul 2006 - 4,60%, in anul 2007 - 3,40%, in timp ce in anul 2008 a fost de 1,92%. Se observa scaderea semnificativa a procentului de infectie in anul 2006, urmand apoi o scadere continua si constanta.
Graficul 8. Evolutia procentuluide infectie LEB in localitatea Ciumeghiu in intervalul 2005-2008
In toate focarele de boala declarate si studiate, prima masura de control a fost, recoltarea de probe de sange din fermele afectate, de la toate bovinele cu varsta de peste 6 luni si controlul serologic al probelor. Programarea recoltarii de sange s-a realizat in primavara, inainte de realizarea vaccinarii antipasteurelice. De asemenea recoltarea de sange a precedat tuberculinarea si alte actiuni imunoprofilactice.
Animalele bolnave, au fost extrase si izolate, astfel incat sa evite orice contact cu bovinele sanatoase din efectivele din ferme si din localitate. Laptele recoltat de la animalele infectate nu a fost depozitat in ferma de provenienta, urmand a fi folosita in hrana animalelor, dupa tratarea termica, cu aprobare speciala, in ratia animalelor supuse ingrasarii. Nu se pasuneaza bovine in apropierea perimetrului fermei infectate, fara a avea o permisiune speciala de la autoritatiilor veterinare care supraveagheaza focarele de boala. Vacile din gospodariile infectate, sub supraveghere sanitara veterinara au fost sacrificate in abator. Locul unde au stat animalele bolnave s-a curatat si s-a dezinfectat. Dezinfectatul folosit ea fost solutia de soda caustica calduta de 2% si solutia Virkon 4%. Instrumentele chirurgicale, obstetricale si zootehnice se sterilizeaza s-au dezinfectat. Dupa eliminarea animalelor bolnave, inainte de repopulare, toate grajdurile, echipamentele sau alte articole folosite la animale, s-au curatat si s-au dezinfectat, sub supravegherea oficiala a medicului veterinar. Pentru repopulare s-au folosit doar animale provenite din zone considerate indemne la LEB, de catre autoritatiile veterinare.
Boala se considera eradicata si masurile sanitar veterinare ridicate, dupa respectarea urmatoarelor conditii: animalele cu reactie pozitiva din fermele testateau fost batorizate sub supravegherea medicului veterinar, toate bovinele din ferme cu varsta de peste 6 luni au reactionat la testele serologice la 2 teste succesive, efectuate la interval de 6 luni, dupa ce au fost eliminate toate animalele infectate din efectiv, precum si toti descendentii, iar rezultatul anchetei epidemiologice sa fie negativa.
Concluzii
LEB a fost introdusa in interiorul focarelor prin intermediul insusirii animelelor cu aceasta boala din localitatiile invecinate, unde boala a fost diagnosticata. Localitațile Boiu și Ciumeghiu se invecineaza cu localitatea Avram Iancu, unde LEB a fost diagnosticat din 26.10.1999;
Asanarea LEB din cele doua focare (localitati) din judetul Bihor, a fost realizata prin proceduri de asanare partiala.
Programul de asanare, a fost conceput in conformitate cu normele sanitare in vigoare, initiate din anul 2004, in localitatea Boiu si respectiv din 2005 in localitatea Ciumeghiu;
Detectia anticorpilor specifici din LEB, s-a realizat prin examene serologice, folosind imunodifuzie in gel de agar, in cadrul laboratoarelor autorizate pentru LEB de la DSVSA Bihor;
Utilizarea testelor pentru examinarea serologica a probelor de sange, precum si urmarea unor masuri generale de combatere impotriva LEB, a contribuit la realizarea unui program de asanare corespunzator in aceasta boala.
Evaluarea masurilor de carantina si lichidarea focarelor de boala dupa controale serologice repetate la intervale regulate de timp;
In programul de asanare al LEB din focarele de boala (localitatile Boia si Ciumeghiu), un rol important au jucat urmatoarele conditii: individualizarea corecta a animalelor, eliminarea rapida din curtile infectate a noilor animale reactionate pozitiv, eliminand posibilitatea transferului de material patologic viral (lapte, sange) de la efectivele infectate la cele sanatoase si respectarea cu strictete a masurilor de igienizare si dezinfectie a locurilor populate cu animalele infectate.
De aceea, in localitatiile infectate din judetul Bihor - numarul mare de animale seropozitive se datoreaza mentinerii in viata a acestora ca urmare a intarzierii sacrificarii, folosirii la monta a animalelor infectate, pastrarii descendentilor proveniti din animale pozitive, iar in localitatiile indemne, cauza principala este generata de lipsa controlului circulatiei animalelor. La acesti factori se adauga nefinalizarea activitatii de identificare a animalelor. Aceste aspecte impun accelerarea actiunii de identificare si inregistrare a bovinelor, controlul circulatiei animalelor, in contextul supravegherii efectivelor de bovine prin teste serologice specifice si sensibile care sa releve numarul real de animale infectate.
Procesul de integrare europeana si de aliniere a legislatiei romanesti cu aquis-ul european privind problema leucozei enzootice bovine trebuie abordata in mod unitar, chiar daca din punct de vedere epidemiologic situatia despre incidenta cazurilor pozitive este diferita de la o zona la alta.
In ultimii ani, datorita efortului si perspicacitatii a foarte numeroase grupe de cercetare, s-a obtinut un imens material informational privind leucoza enzootica bovina. Asadar azi m-am orientat in gandirea mea medicala spre o ordonare sintetica in vederea imbogatirii arsenalului cunostintelor cu amanunte, pentru a ne bucura de toate mijloacele tehnice tot mai rafinate care ne permit sa solutionam problemele marunte medicale.
Bibliografie
Onet E. (1983) - virusuri si viroze la animale, Ed, dacia, Cluj Napoca
Moga Manzat R. - coordonator (2005) - Boli virotice si prionice ale animalelor , Ed,. Brumar, Timisoara
Johnson R., Kaneene J.B. (1991) - Bovine leukemia virus, Part. II. Risk factors of transmission. Comp. Contin Educ Pract Vet., 13:681-690
Vasiu C. (2003) - Viroze si boli prionice la animale, Ed. Nereamia Napocae, Cluj Napoca
Pop M., Cumpanasoiu C., Tarziu E., Olariu Jurca I., Linta P., Muntean P., Radu Gh. (2004) - valoarea unor metode de diagnostic folosite in combaterea LEB, Lucr. St. Med. Vet. Timisoara, XXXVII, 502-507.
Jurnalul Oficial al uniunii Europene - Decizia Comisiei din 18 aprilie 2006, de modificare a Deciziei 2003/467/CE privind declartia in conformitate cu care anumite regiuni din Italia sunt oficial indemne de tuberculoza si de leucoza enzootica bovina si declaratia in conformitate cu care Slovacia este oficial indemna de leucoza enzootica bovina, 03/vol.71/19.4.2006.
Tabel 2
Sinoptic privind evolutia LEB in localitatiile Boia, ciumeghiu si Ghiorac in intervalul 2004-2008
|
Anul |
Localitatea |
Total bovine |
Nr. Probe recoltate |
Probe negative |
Probe pozitive |
Nr. Curti |
% infectie |
|
Boiu | |||||||
|
Ciumeghiu |
| ||||||
|
Ghiorac | |||||||
|
Boiu | |||||||
|
Ciumeghiu | |||||||
|
Ghiorac | |||||||
|
Boiu | |||||||
|
Ciumeghiu | |||||||
|
Ghiorac | |||||||
|
Boiu | |||||||
|
Ciumeghiu | |||||||
|
Ghiorac | |||||||
|
Boiu | |||||||
|
Ciumeghiu | |||||||
|
Ghiorac |
Tabel 3
Localitați din județul Bihor, in care au fost depistate bovine pozitive la LEB in intervalul 1998-2008
|
Denumirea localitațiilor |
Nr. Bovine pozitive la LEB |
Denumirea localitațiilor |
Nr. Bovine pozitive la LEB |
|
Berechiu |
Misca | ||
|
Chisirid |
Calacea | ||
|
Avram Iancu |
Chislaz | ||
|
Sinicolaul Roman |
Les | ||
|
Roit |
Sinlazar | ||
|
Girisul de Criș |
Chiraleu | ||
|
Toboliu |
Livada | ||
|
Tarian |
Olcea | ||
|
Nojorid |
Paușa | ||
|
Biharia |
Ucuriș | ||
|
Ciuhoi |
Șuiug | ||
|
Cheresig |
Satu Nou | ||
|
Hodisel |
Cauaceu | ||
|
Tamașda |
Belfir | ||
|
Carasau |
Marginea | ||
|
Iteu Nou |
Tinca | ||
|
Boiu |
Ciumeghiu |
|