
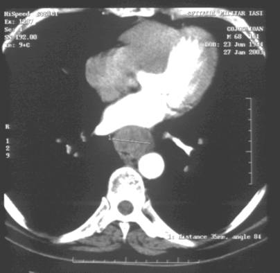
Figure 1. CT evaluation of a locally advanced
esophageal cancer
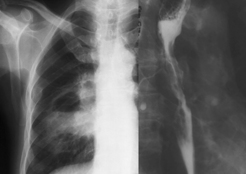
Figure 2. Plain thoracic X-Ray and esophagogram in a case with esophageal cancer associating aero-digestive fistula and pulmonary absce 222f56c ss.

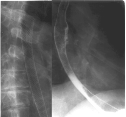
Figure 3. Malignant esophageal stenosis bridged with an endoscopically positioned plastic reinforced stent (Z-stent® - Wilson-Cook)

Figure 4. Malignant esophageal stenosis bridged with a metallic expandable stent (Ultraflex®- Boston Scientific)

Figure 5. Sex distribution in the group of patients with esophageal cancer

Figure 6. Pathological classification of patients with esophageal cancer

Figure 7.

Figure 8. Postoperative survival curve for patients in Group B

Figure 9. Comparative diagram showing length of hospital admission

Figure 10. Comparative diagram showing total costs for individual groups

|