LIETUVOS VETERINARIJOS AKADEMIJA
VETERINARIJOS FAKULTETAS
NEUŽKREČIAMŲJŲ LIGŲ KATEDRA
DAŽNIAUSIAI PASITAIKANČIOS ARKLIŲ GALŪNIŲ RENTGENO PATOLOGIJOS
1. ĮVADAS
„Arklių galūnių patologijos tokios dažnos yra todėl, kad žmogus arklį dažnai verčia daryti tai, kam jis nėra prisitaikęs“ (Black J., 2004).
Įvairios žirgų varžybos - ypač stiprus, galūnes veikiantis, stresinis faktorius. Dresuojant tokius arklius, jų kūno svorio centras perkeliamas šiek tiek į užpakalinę dalį nei tai įprasta. Atliekant šuolį, svorio centras stipriai pasislenka į kaudalinę pusę, tokiu būdu gyvuliui leidžiantis visas kūno svoris tenka priekinėms galūnėms. Taip pat galūnių patologijų vystymąsi įtakoja staigiai atliekami manevrai, ypač šoninės krypties.
Praktikoje, pastebėjus gyvulio elgsenos pakitimus, pirmiausia yra atliekamas klinikinis tyrimas. Jo metu gali būti nustatyta tiksli ar įtariama ligos diagnozė. Tačiau vien klinikinio tyrimo duomenimis nustatant diagnozę remiamasi retai. Dažniausiai taip pat atliekamas ir rentgenologinis tyrimas, ypač įtariant galūnių pažeidimus.
Vaizdinės priemonės diagnostikoje užima vis daugiau vietos. Ortopedijoje šis tyrimas taikomas bene dažniausiai, diagnozuojant galūnių patologijas. Dažniausiai naudojamas paprastasis radiologinis tyrimas, tačiau vis labiau populiarėja kseroradiografinis, skaitmeninis bei kompiuterinis rentgenologinis tyrimai. Jų metu gaunami rezultatai yra aiškesni ir tikslesni, o tai leidžia geriau diagnozuoti bei prognozuoti patologijos progresavimą.
Atsiradus šlubavimui, pirmiausia yra įtariami galūnių pažeidimai, bet yra atvejų, kai atlikus pilną rentgenologinį tyrimą, pakitimai nėra randami. Tada reikia turėti omenyje, kad šlubavimą gali sukelti ir tiesiogiai su galūnėmis nesusijusios patologijos:
w Odos;
w Nervų sistemos;
w Netinkami pakinktai;
w Pats raitelis (King C., 2001).
Tai parodo, jog ligos diagnozavimo procese labai svarbus kompleksinis tyrimas.
Darbo tikslas: nustatyti ir įvertinti dažniausiai pasitaikančias arklių galūnių patologijas.
Darbo uždaviniai:
w Įvertinti radiologinio tyrimo svarbą ligos diagnozavimo procese.
w Nustatyti nestandartinių projekcijų rentgenogramų teikiamą naudą.
w Atlikti osteochondritis dissecans, galūnių kaulų lūžių, kremzlių kaulėjimo bei antkaulio patologijų apžvalgą, remiantis rentgenogramomis.
2. LITERATŪROS APŽVALGA
2.1 Radiografinis kanopos tyrimas
Šlubavimas – viena iš dažniausių praktikoje pasitaikančių problemų. Nepriklausomai nuo to, ar galūnė pažeista tiesiogiai ar ne, pasireiškia šis klinikinis požymis, nes tai yra pirmoji arklio organizmo apsauginė reakcija (Redden R.F., 2003).
Pastebėjus pakitusią gyvūno eiseną, bėgseną, galūnės turi būti ištirtos kompleksiškai, t.y. taikant klinikinį ir radiologinį tyrimo metodus. Atliekant klinikinį tyrimą, įvertinamas galūnės funcionavimas, skausmingumas, skausmo lokalizacija, išorinių audinių pakitimai. Taikant radiologinį tyrimo metodą, nustatomi plika akimi nematomi kaulų ir minkštųjų audinių pažeidimai.
Tačiau, analizuojant rentgenogramas, dažnai minkštiesiems audiniams, esantiems kanopos kapsulėje, yra skiriama per mažai dėmesio. Tiksliam audinių įvertinimui trukdo juos supanti kanopos kapsulė, kuri sunkiai praleidžia rentgeno spindulius be to minkštųjų audinių yra mažas kontrastingumas.
Pavyzdžiui, trečiasis pirštakaulis yra apsuptas minkštųjų audinių. Jų būklė ir vientisumas yra svarbūs galūnės funcionavimui. Jei šis vientisumas yra pažeidžiamas, neišvengiama galūnės disfunkcija. Nustatyta, jog kiekvieno arklio kanopos kapsulėje esantys minkštieji audiniai yra pažeisti, tik skirtingu laipsniu, todėl jų įvertinimas yra svarbi rentgenologinio tyrimo dalis (Redden R.F., 2003).
2.1.1. Rentgenologiniai matmenys
Dermos ir rago plotis gali būti išmatuotas, panaudojant kanopos ir pado sieneles. Nustatant dorsalinės kanopos sienos išorinį paviršių yra naudojama bario pasta, kuria tepamas kanopos paviršius, pradedant nuo proksimalinio paviršiaus ir leidžiantis žemyn (2 pav.). Apatinį pavir 333h77d šių apriboja pasaga ar pakeliamasis blokas. Padarius rengenogramą, išmatuojami atstumai (1 pav.).
1 pav. Vaizdas, leidžiantis tiksliai išmatuoti reikalingus rentgenologinius matmenis (Redden R.F., 2003)

2 pav Minkštųjų audinių rentgenogramai atlikti, kanopos pakeliama nuo žemės (Redden R.F., 2003)
Pado gylis paprastai matuojamas trečiojo pirštakaulio distaliniame gale arba jo viršūnėje (1 pav). Sveikos kanopos pado gylis yra mažiausiai 15 mm. Venografiniais tyrimais nustatyta, kad jei pado gylis yra mažesnis, tai iššaukia klinikinius požymius. Normaliam vystymuisi, pado dermos speneliams reikia 10 mm tarpo tarp trečiojo pirštakaulio palmarinio paviršiaus ir raginio sluoksnio, kad ten tilpų kraujagyslės ir, mažiausiai 5 mm tarpo nuo pado rago, kad pado derma būtų apsaugota. Arklių, kurių pado gylis nesiekia 15 mm, venogramose matomi sulinkę, suspausti speneliai arba jų iš viso nėra. Ši deformacija ar suspaudimas slopina pado augimą, sukelia silpno, plono pado rago formavimąsi (Redden R.F., 2003) .
Dorsalinės rago-lapelių zonos plotis – tai atstumas tarp trečiojo pirštakaulio dorsalinio paviršiaus ir išorinės dorsalinės kanopos sienos (matuojama su liniuote, statmenai trečiojo pirštakaulio dorsaliniam paviršiui) (1 pav). Dorsalinės rago-lapelių zonos plotis gali būti matuojamas bet kurioje trečiojo pirštakaulio dorsalinio paviršiaus vietoje, tačiau dažniausiai matuojama šiek tiek žemiau proc.extensor ir netoli trečiojo pirštakaulio distalinės viršūnės (Redden R.F., 2003).
Suaugusio gyvulio kanopos proksimalinio matmens rodiklis gali būti didesnis nei distalinis.
Šios zonos plotis pas Kvorterių, grynakraujų ir kitų lengvųjų veislių arklius siekia 15-16 mm, pas klasikinių veislių arklius, zonos plotis yra apie 20 mm. Šiltakraujų veislių arklių zonos plotis priklauso nuo kanopos dydžio, tačiau daugeliu atvejų, zonos plotis yra panašus kaip ir lengvųjų arklių veislių (Redden R.F., 2003).
Dorsalinės rago-lapelių zonos plotis svarbus, nes ji veikia dermą, lemia kanopos sienos storumą.
Laminitas ir baltosios linijos liga, tai dvi patologinės būklės, kurių metu dorsalinė rago-lapelių zona platėja. Proceso metu viena iš kanopos sienų slenka žemyn - iš proksimalinės į distalinę dalį (t.y., zona platėja ne į proksimalinę, bet į distalinę pusę) (Redden R.F., 2003).
Toks vertinimas, kai naudojamas palmarinio kampo matmens rodiklis (3b pav.), suteikia galimybę nustatyti trečiojo pirštakaulio poslinkį (Redden R.F., 2003).
Kai kurių autorių teigimu, tradicinis metodas, naudojamas nustatant ir vertinant trečiojo pirštakaulio rotaciją yra netikslus ir klaidingas. Nes kanopos kapsulė gali būti formuota kalvio, kad būtų sumažinta rotacija. Brėžiant linijas išilgai netaisyklingos kanopos sienos bei netaisyklingu trečiojo pirštakaulio paviršiumi – vertinimas yra labai subjektyvus, nes siena gali būti pakitusi dėl augimo ar ligų poveikio (3 pav.).
Kai dorsalinė rago-lapelių zona yra išplatėjusi, zonų pločio vertinimas įgauna diagnostinę bei prognostinę reikšmę. Pavyzdžiui, lapelių zona išplatėja laminito atveju (3b pav.), tuo tarpu rago zona platėja, pasireiškus baltosios linijos ligai (3a pav.). Tačiau tiksliam rago zonos pločio nustatymui būtina, kad išorinis dorsalinis kanopos sienos paviršius būtų aiškiai matomas rentgenogramoje (Redden R.F., 2003).

3 pav. a) Baltosios linijos liga. b) Lėtinis laminitas. (Redden R.F., 2003).
Redden, R.F. Clinical and Radiographic Examination of the Equine Foot. In: (Ed.), 49th Annual Convention of the American Association of Equine Practitioners, 2003 - New Orleans, LA, USA. Ithaca: International Veterinary Information Service (www.ivis.org), 2003; Document No. P0625.1103.(Accessed: 1 Jan 2008).
Atstumas tarp vainikinės ir tiesiamosios ataugų - tai vertikalus atstumas tarp proksimaliausio išorinės kanopos sienos taško (iš kart po vainikiniu raiščiu) ir trečiojo pirštakaulio proc.extensor viršaus (1 pav.).
Esant sveikai kanopai, šis rodiklis svyruoja 0-15 mm ribose. Tai svarbu nustatant trečiojo pirštakaulio poslinkį, siekiant ligą diagnozuoti dar neklinikinėje stadijoje ar pačioje jos pradžioje (Redden R.F., 2003).
Palmarinio kampo dydis gali būti išmatuotas dviem būdais: kanopos kapsulės-žemės ir žemės atžvilgiu. Pirmasis metodas mažiau rodo pasagos sukeltą mechaninį poveikį, o daugiau informuoja apie minkštųjų audinių vientisumą kulno srityje, ypač pirštų pagalvėlėje. Antrasis būdas rodo pasagos mechaninį poveikį kanopai.
Daugumos sveikų pėdų su stipriu kulnu ir tvirtomis pirštų pagalvėlėmis, palmarinis kampas yra teigiamas. Tai reiškia, kad trečiojo pirštakaulio sparnai yra aukštesni nei viršūnė (4b pav.).
Kampo dydis taip pat priklauso nuo arklio veislės. Veislių, kurioms būdingos statesnės kanopos, palmarinis kampas yra didesnis. Kaustymas taip pat įtakoja palmarinio kampo dydį, į tai turi būti atkreiptas dėmesys atliekant matavimus (Redden R.F., 2003).
Didelis palmarinis kampas (lyginant su tai veislei būdingu palmarinio kampo dydžiu) gali būti laminito ar kitų patologijų atveju. Neigiamas palmarinis kampas rodo, jog trečiojo pirštakaulio sparnai yra žemiau nei jos viršūnė bei rodo minkštųjų audinių vientisumo pažeidimą kulno srityje (Redden R.F., 2003).

4 pav. a) Neigiamas 6º palmarinis kampas. b) Matoma rago-lapelių zona bei teigiamas 6º palmarinis kampas (Redden R.F., 2003)
2.1.2. Kokybinis rentgenogramos įvertinimas
Minkštųjų audinių kokybiškam įvertinimui reikalinga aukštos kokybės rentgenograma, kurioje būtų matomi audinių tankio skirtumai. Pavyzdžiui, sveikoje kanopoje audinių tankumas taip pat skiriasi: laminarinės dermos, dorsalinės kanopos sienos vidinio rago sluoksio ir kt. Tiriant pažeistą galūnę yra svarbus minkštųjų audinių zonos, aplink trečiąjį pirštakaulį, įvertinimas, nes edema, audinių perkrova, uždegiminio eksudato ar dujų kaupimasis keičia audinių tankumą.
Norint surinkti bei tinkamai išanalizuoti visą rentgenogramoje matomą informaciją, taip pat reikia turėti klinikinio tyrimo rezultatus, atsižvelgti į gyvulio veislę, amžių, laikymo aplinką ir jo eksploataciją (Redden R.F., 2003).
2.1.3. Reikalavimai ekspozicijai
Trečiasis pirštakaulis skiriasi nuo kitų kanopos kaulų, nes jį supa tankus raginis kevalas, kurio sustorėjimas ir skysčių kaupimasis, keičia rentgenologinį vaizdą tų audinių ir struktūrų, kurios yra po juo. Dar vienas faktas, į kurį turi būti atkreipiamas dėmesys darant rentgenogramą, tai trečiojo pirštakaulio forma; šio kaulo storumas ir jo tankumas kinta. Žvelgiant iš proksimalinės dalies į distalinę, kaulas ploniausias yra palmarinėje/plantarinėje dalyje. Tai dažna patologijų vieta, ši vieta dažnai būna mažiau rentgenokontrastiška (Redden R.F., 2003).
Varlės kaulo ir gretimų struktūrų vaizdavimas rentgenogramoje taip pat nėra paprastas. Nes minėtus elementus iš trijų pusių supa trečiasis pirštakaulis. Reikia turėti omenyje, jog struktūros taip pat gali dengti viena kitą. Todėl darant rentgenogramą, paprastai daromos kelios projekcijos, kad būtų galima įvertinti atskirų galūnės dalių būklę ir pažeidimus (Redden R.F., 2003).
Bet kokiam rentgenologiniam vaizdui optimalus ekspozicijos dydis priklauso nuo rentgeno aparato, ekrano, juostų, procesorių bei kt., taip pat nuo kanopos masės, dominančios struktūros bei jos savybių.
Paprastai ekspocijos dydis skirstomas į silpną, vidutinį ir stiprų. Silpna ekspozicija yra naudojama nekaulinėms struktūroms, pvz., ragas, derma, palmarinis trečiojo pirštakaulio kraštas (5a pav.). Tinkamai pritaikyta silpna ekspozicija gali išryškinti tankumo skirtumus kanopos sienoje, o tai leidžia skirti laminarinės dermos ir keratinizuoto kanopos sienos sluoksnius. Silpna ekspozicija taip pat naudojama, kai pakitimai yra ieškomi trečiojo pirštakaulio palmariniame krašte, projekcijoje darytoje 65o kampu, dorsopalmarine kryptimi (5b pav.) (Redden R.F., 2003).
Vidutinė ar stipri ekspozicijos yra naudojamos kaulinėms struktūroms išryškinti. Šio dydžio ekspozicija naudojama mažesnio tankumo struktūroms tirti: trečiojo pirštakaulio kūnas, sąnariniai paviršiai; stipri – persidengiančioms struktūroms, kaulams, pač varlės kaului (Redden R.F., 2003).

5 pav. a) rentgenograma, gauta, taikant silpną ekspoziciją. Aiškiai matomi minkštieji audiniai. Matomas varlės kaulo. b) 65º dorsopalmarinės projekcijos rentgenograma, padaryta taikant labai silpną ekspoziciją. Išryškinami cistiniai pažeidimai bei suplonėjęs kraštas (Redden R.F., 2003).
Redden, R.F. Clinical and Radiographic Examination of the Equine Foot. In: (Ed.), 49th Annual Convention of the American Association of Equine Practitioners, 2003 - New Orleans, LA, USA. Ithaca: International Veterinary Information Service (www.ivis.org), 2003; Document No. P0625.1103.(Accessed: 1 Jan 2008).
2.2. Nestandartinių projekcijų radiogramos
Standartinės radiografinės projekcijos, reikalingos anatominei kaulų topografijai bei patologijoms įvertinti, jau pakankamai detaliai aprašytos. Tačiau kai kuriose situacijose standartinių projekcijų vaizdas yra nepakankamai išsamus, kad būtų nustatyta tiksli diagnozė ar atlikta diferencinė diagnostika (Hogan P.M., 1997).
Todėl Hogan siūlo nestandartines projekcijas, taikomas tiriant galūnes.
Pėda. Standartinė projekcija yra 65o dorsopalmarinė (plantarinė), lateromedialinė. Autorius siūlo 65o laipsnių įžambią dorsopalmarinę projekciją. Lateralinė ir medialinė įžambios projekcijos yra taikomos, vertinant paminos kaulo ribas, įstriža palmarinė – sąnarinius paviršius bei bendrą pėdos struktūrą.
Darant tokią projekciją spinduliai yra pakeliami 65o ir nukreipiami lateraliai ar medialiai 30-45o laipsnių kampu. Galūnė statoma ant pakylos. Rentgeno aparatas dedamas ant žemės prieš arklį, spinduliai nukreipiami į kanopos vainiką.
Varlės kaului tirti naudojamos standartinės projekcijos – 45o ir 65o dorsopalmarinė, medialinė, tangentinė. Nestandartinės – 65o įžambios projekcijos. Lateralinės ir medialinės įžambios projekcijos naudojamos, nustatant varlės kaulų sparnų enteziopatiją.
Šepetėliai. Standartinės projekcijos – dorsopalmarinė, lateromedialinė, sulenkta lateromedialinė, įstrižos projekcijos. Nestandartinės – 125o dorsopalmarinė, sulenkta dorsopalmarinė, 45-60o įstrižos pakeltos, palmarinė tangentinė (sesamoidiniai kaulai), lateromedialinė tangentinė.
Distalinė paminos kaulo (trečiasis pirštakaulis) sritis yra dažna patologijų vieta, tačiau tai nėra dažnai diagnozuojama naudojant vien tik standartinę radiologinę techniką. 125o dorsopalmarinė ir sulenkta dorsopalmarinė projekcijos suteikia tikslesnį vaizdą ir geriau matomi degeneraciniai procesai. Taip pat tai naudinga, nustatant palmarinių paviršių pakitimus, kurie yra dažnai susiję su gumburiniais lūžiais.
125o dorsopalmarinis vaizdas gaunamas galūnę pakeliant ant pakylos ir aparatą statant distaliai į šepetėlių sąnarį (6a pav.). Ekspozicija turi būti padidinta, kad būtų galima tiksliai įvertinti esančius pakitimus palmariniuose paviršiuose. Nes dažnai būna taip, kad sesamoidiniai kaulai uždengia sąnario ertmę (Hogan P.M., 1997).
Hogan teigimu dar informatyvesnis vaizdas gaunamas iš sulenktos dorsopalmarinės projekcijos (6b pav.). Darant šią projekciją, proksimaliniai sesamoidiniai kaulai yra pakeliami virš sąnarinio paviršiaus ir tokiu būdu galima įvertinti gumburų paviršius. Toks vaizdas gaunamas sulenkiant šepetėlių sąnarį ir koją patraukiant į priekį. Spinduliai nukreipiami 125o dorsopalmarine kryptimi (Hogan P.M., 1997).
a)
b) 
6 pav. a) 125° dorsopalmarinė projekcija palmarinei distalinei pėdos daliai įvertinti. b) Sulenkta dorsopalmarinė projekcija palmarinei distalinei pėdos daliai įvertinti (Hogan P.M., 1997)
Proksimalinių sesamoidinių kaulų basiliariniai ir abaksialiniai lūžiai, osteochondriniai fragmentai palmariniame proksimalinės falangos paviršiuje, gali būti nustatyti naudojant 45-60o įstrižas projekcijas. Kasetė yra dedama kaip ir standartinės radiologinės technikos atveju, spinduliai nukreipiami 20-40o ir atitinkamai pakeliami.
Papildomai yra dvi tangentinės projekcijos, kurios naudingos vertinant proksimalinių sesamoidinių kaulų struktūrą. Palmaroproksimalinė-palmarodistalinė projekcija yra daroma, vertinant kiekvieno sesamoidinio kaulo abaksialinį paviršių bei nustatant aksialinius lūžius sesamoidinėje srityje (7a pav.) (Hogan P.M., 1997).
Galūnė yra statoma ant kasetės. Spinduliai centruojami tarp sesamoidinių kaulų ir kreipiami statmenai žemei. Jei reikia įvertinti tik abaksialinius paviršius, pvz., nustatant sąnarinį lūžį, kasetė yra dedama lateraliai ar medialiai, aparatas pakeliamas 65o ir spinduliai kreipiami distaline kryptimi (7b pav.).
Riešo sąnario standartinis vaizdas – dorsopalmarinė, lateromedialinė, sulenkta lateromedialinė, tangentinė, įstrižos projekcijos. Nestandartinės – tangentinė (distalinė stipinkaulio dalis). Tangentiniai riešo sąnario vaizdai gali būti naudingi nustatant, kuriame osteochondrialiniame tarpe yra pažeidimas.
a)
b) 
7 pav. a) Tangentinė kulkšnies projekcija vertinant proksimalinius sesamoidinius kaulus. b) Lateromedialinė tangentinė projekcijavertinant proksimalinių sesamoidinių kaulų abaksialinius paviršius (Hogan P.M., 1997)
Horizontalus distalinės stipinkaulio dalies vaizdas gali būti gaunamas galūnę sulenkus ir šiek tiek patraukus atgal taip, kad stipinkaulis ir plaštaka išliktų statmeni žemei (8a pav.). Spinduliai yra nukreipiami distaliai, 65o kampu. Kad gauti proksimalinės srities vaizdą, riešas yra visiškai sulenkiamas, plaštaka turi būti lygiagreti žemei. Spinduliai nukreipiami horizontaliai, 45o kampu. (8b pav.).
a)
b) 
8 pav. a) Riešo sąnario padėtis (tangentinei projekcijai), vertinant distalinę stipinkaulio dalį. b) Riešo sąnario padėtis (tangentinei projekcijai), vertinant proksimalinius riešo kaulus (Hogan P.M., 1997)
Kulno sanario vertinimo standartinės projekcijos yra: dorsoplantarinė, lateromedialinė, įstrižos projekcijos. Nestandartinės – sulenkta lateromedialinė, plantarinė tangentinė (kulnakaulis). Sulenkta lateromedialinė projekcija naudinga vertinant pažeidimus, susijusius su šokikaulio plantariniu paviršiumi ir kulnakaulio dorsaliniu paviršiumi. Kasetė yra dedama medialiai, laisva ranka sulenkiama galūnė, spaudžiant kanopą. Spinduliai kreipiami lygiagrečiai padui, reikia išvengti galūnės judėjimo, t.y., atitraukimo ar pritraukimo (Hogan P.M., 1997).
Plantarinis tangentinis vaizdas leidžia pilnai įvertinti kulnakaulio medialinio ir lateralinio gumburų būklę (9a pav.). Galūnė yra visiškai sulenkiama kartu su padu, lygiagrečiai žemei. Kasetė dedama priešais kulnakaulį, spinduliai nukreipiami vertikaliai ir kranialiai. Vaizdas naudingas, esant kulnakaulio bukai traumai (Hogan P.M., 1997).
Kelio sąnario standartas yra – kaudokranialinis, lateromedialinis, įstrižas lateromedialinis vaizdai. Nestandartiniai – sulenktas lateromedialinis, tangentinis (kelio girnelė). Sulenkta lateromedialinė projekcija retai suteikia daugiau informacijos nei standartinė įstriža lateromedialinė, bet tai gali būti naudinga osteochondrozės atveju, nes ji paveikia medialinį šlaunikaulio gumburą. Tokia projekcija leidžia matyti visą gumburą. Tokiai projekcijai išgauti reikalingas papildomas asistentas, kuris sulenktų galūnę. Kasetė yra dedama medialiai ir spinduliai nukreipiami lygiagrečiai šlaunikauliui.
Kelio girnelės pažeidimams vertinti naudojamas tangentinis vaizdas. Tai informatyvu, vertinant šlaunikaulio sąnarinius paviršius ir distalinius skridinio kraštus (9b pav.). Galūnė sulenkiama pilnai, kasetė dedama priešais blauzdikaulį ir atitraukiama kranialiai tiek, kad vaizdas apimtų kelio girnelę, spinduliai nukreipiami vertikaliai ir šiek tiek kaudaliai (Hogan P.M., 1997).
a)
b) 
9 pav. a) Kulnakaulio tangentinė projekcija. b) Kelio girnelės tangentinė projekcija.
2.3. Osteochondritis dissecans
Liga, būdinga visų veislių arkliams. Ji pasireiškia pakitusios kremzlės fragmento atitrūkimu, kuris sukelia uždegimą ir vėliau – sąnario ištinimą, skausmingumą, artritą (Byron C.R., 2005).
Procesas paveikia sąnario kremzlę bei pokremzlinį kaulą (10 pav.). Dažniausiai pažeidžiami keli sąnariai ir tik retais atvejais osteochondritis dissecans (OCD) pažeidžia tik vieną sąnarį (McIlwraith C.W., 2003).
Retai yra pažeidžiami kulkšnies ir kelio-girnelės arba peties ir kelio sąnariai tuo pačiu metu ir pas vieną gyvulį (McIlwraith C.W., 2003).
Ligos priežastys yra kelios:
w greitas augimas;
w mityba - ypač jei racione yra labai daug energijos ir nesubalansuotas mineralinių medžiagų kiekis;
w paveldimumas;
w hormonų balanso sutrikimas vystymosi metu;
w kai kurios mechaninės traumos (Byron C.R., 2005).
Ligos metu sąnarys ištinsta, ypač jauniems, treniruojamiems arkliams. Šlubavimo laipsnis būna gana įvairus. Dažniausiai pažeidžiami kulkšnies, kelio-girnelės, šepetukų sąnariai, rečiau peties. OCD dažniausiai pasireiškia simetriškai. Vyresnio amžiaus arkliams liga gali būti besimptomė. Tokiu atveju liga nustatoma darant rentgenogramą dėl kitų priežasčių.
Diagnozuojant ligą, būtinas rūpestingas sąnario ištyrimas, šlubavimo tipo nustatymas, rentgenogramos išanalizavimas. Jos yra daromos keliomis kryptimis, kad būtų pastebėti net mažiausi pakitę ar atitrūkę kremzlės fragmentai. Paprastai daromos abiejų galūnių rentgenogramos (Byron C.R., 2005).
a)
b)
c) 
10 pav. a) Sąnario vaizdas iš priekio; b) Sąnario vaizdas iš užpakalio c) Rentgenograma (Byron C.R., 2005).
Kelio-girnelės sąnarį OCD pažeidžia gana dažnai, ypač grynakraujams arkliams - beveik 60% atvejų liga nustatoma iki vienerių metų amžiaus. Kuo jaunesniam gyvuliui atsiranda ligos klinikiniai požymiai, tuo labiau būna pažeisti sąnariai. Ligos pradžia būna staigi, sąnarys patinsta, gyvulys pradeda šlubuoti. Sunkiau sergantiems gali atsirasti „triušio šuolis“. Ligos pasireiškimui įtakos turi ir arklių veislė (12 pav.).
Šio sąnario pažeidimo atveju dažnai anamnezėje būna faktas, kad neseniai buvo padidintas fizinis krūvis.
Atsargiai palpuojant tokį sąnarį, galima apčiuopti
atitrūkusius fragmentus arba sąnarinio paviršiaus nelygumus (11 pav.).
Ligos simetriškumas šiuo atveju siekia 50% (McIlwraith C.W., 2003).
11 pav. Ligos pasireiškimo dažnumas kelio-girnelės sąnaryje amžiaus atžvilgiu (McIlwraith C.W., 2003).
12 pav. Ligos pasireiškimo dažnumas kelio-girnelės sąnaryje veislės atžvilgiu (McIlwraith C.W., 2003).
Rentgenograma lateromedialine projekcija suteikia daugiausia informacijos apie atskilusių fragmentų dydį, lokalizaciją, kitus, atsiradusius pažeidimus. Dažniausiai atskilę fragmentai randami šlaunikaulio lateralinio skridinio krašte. Defekto vietoje gali būti randami laisvieji kūneliai (visiškai atskilę fragmentai) ar dalinė kalcifikacija. Pažeista šlaunikaulio dalis pradeda liestis su kelio girnele ir ją traumuoja. OCD atveju kelio girnelės pažeidimas retai kada būna pirminis. Kelio-girnelės sąnario OCD atveju, visiškai pasveiksta apie 64%. Daugiau pasveiksta arkliai, kurių sąnarių pažeidimai buvo mažesni ir, kurie buvo vyresnio amžiaus (McIlwraith C.W., 2003).
Kulkšnies sąnario OCD, pasitaiko taip pat dažnai. Stipriausiai pažeidžiamos proksimalinė bei kranialinė sąnario dalys, ypač blauzdikaulio vidurinė dalis. Pažeidimai gali vystytis išilgai skridinio (lateralinis pažeidžiamas labiau nei medialinis) ir medialiniame blauzdikaulio plaktukėlyje. Liga dažna tarp klasikinių veislių arklių, tačiau pasitaiko.
Ligos atveju šlubavimas nėra specifinis požymis. Sąnarys patinsta, ypač medialinėje sąnario dalyje. Liga lenktyniniams žirgams pasireiškia dvejų metų amžiaus, nelenktyniaujantiems – vienerių, prieš pradedant juos treniruoti.
Rentgenogramoje didžiausias dėmesys kreipiamas į intermedialinę blauzdikaulio dalį bei medialinį blauzdikaulio plaktukėlį. Pažeidimai nustatomi pakitusiam fragmentui esant dar vietoje ar - paviršiaus nelygumai skridinyje bei plaktukėlyje. Šiuo atveju rentgenograma nėra pakankamas metodas diagnozei nustatyti. Tyrimai rodo, jog įtariant OCD ir darant operaciją, rasti pakitimai nebuvo matomi rengenogramoje (McIlwraith C.W., 2003).
1 lentelė. Atlikus tyrimą su 318 arklių, kuriems diagnozuotas kulkšnies sąnario OCD, nustatytos dažniausiai ligos pažeidžiamos vietos (McIlwraith C.W., 2003):
|
Atvejų skaičius |
Pažeidimų lokalizacija |
|
Distalinė blauzdikaulio vidurinė dalis |
|
|
Kulnakaulio lateralinis skridinys |
|
|
Blauzdikaulio medialinis plaktukėlis |
|
|
Blauzdikaulio vidurinė dalis + kulnakaulio lateralinis skridinys |
|
|
Blauzdikaulio vidurinė dalis + plaktukėliai |
|
|
Kulnakaulio vidurinė dalis + medialinis skridinys |
|
|
Kulnakaulio medialinis skridinys |
|
|
Kulnakaulio lateralinis skridinys + blauzdikaulio medialinis plaktukėlis |
|
|
Kulnakaulio medialinis ir lateralinis skridiniai |
Šepetėlių sąnario OCD pasireiškia trimis formomis:
fragmentacija ir paviršiaus nelygumai, atsirandantys plaštakos ar pėdos dorsalinėje pusėje sagitalinėje plokštumoje ir gumburuose;
proksimalinės pirmojo pirštakaulio ar čiurnikaulio palmarinės-plantarinės dalies fragmentacija;
plaštakos kaulų gumburų palmarinės dalies OCD, atsirandantis lenktyniniams žirgams traumos atveju (McIlwraith C.W., 2003).
Šiuo atveju sąnario lenkimo testai dažniausiai yra teigiami. Šlubavimas gali būti arba ne. Pažeistas sąnarys patinsta. Rengenogramoje vaizdas gali būti labai įvairus:
I tipo OCD – sąnarys sagitalinėje plokštumoje atrodo suplotas;
II tipo OCD – suplojimo vietoje matosi pakitę fragmentai;
III tipo OCD – suplojimo vietoje yra/nėra pakitusių fragmentų, tačiau matomi laivi kūneliai.
Peties sąnario OCD – liga, labiausiai išsekinanti gyvulį. Pažeidžiami dideli sąnario plotai, didelė antrinių ligų rizika. Liga nustatoma vienerių metų amžiaus arkliams ar jaunesniems. Pasireiškia šlubavimas visomis keturiomis galūnėmis, jo laipsnis gana įvairus. Tai trunka ilgą laiką, galima pastebėti atrofavusius raumenis. Pakinta gyvulio eisena, galūnės tampa tiesios, atrodo šleivos.
Rengenogramoje matomi petikaulio galvutės įlinkimai, dantytumas. Dažnai nustatomi cistiniai pažeidimai glenoidalinėje mentės ertmėje (McIlwraith C.W., 2003).
Kulno sąnario OCD (13 pav.) pasireiškia keliose skirtingose sąnario vietose: blauzdikaulio intermedialinėje keteroje, kulno distaliniame lateraliniame skridinyje, rečiau – blauzdikaulio plaktukėliuose ir kulno medialiniame skridinyje (Ross M.W., Dyson S.J., 2003, Bramlage L.R., 2006).
Liga dažniau pasireiškia patinams nei patelėms (2:1).
Diagnozuojant ligą, daromos 4 standartinės kulno sąnario rentgenogramos. Tai: dorsoplantarinė, lateromedialinė ir 2 įstrižos projekcijos. Iš jų dorsolateralinė ar dorsoplantarinė mediolateralinė įstrižos projekcijos suteikia daugiausiai informacijos (Ross M.W., Dyson S., 2003, Bramlage L.R., 2006).
a)
b) 
13 pav. a) Medialinė įstriža kulnakaulio projekcija. b) Lateralinė kulnakaulio projekcija (cal.vet.upenn.edu ).
Sergant OCD, atskilę pakitusios kremzlės fragmentai pėdos pirštų sąnaryje gali būti keturių tipų:
I. atsiranda, fragmentui atitrūkus nuo proksimalinės falangos pakilumos;
II. atsiranda, atitrūkus pakitusiam kremzlės fragmentui nuo proksimalinės falangos medialinio ar lateralinio sparno;
III. atsiranda, atitrūkus pakitusios kremzlės fragmentui nuo proksimalinio sesamoidinio kaulo pamato
IV. tai yra kauliniai kūneliai, netelpantys sąnario ertmėje (Ross M.W., Dyson S.J., 2003).
Diagnozavus OCD rekomenduojama nustatyti atitrūkusių kremzlės fragmentų tipą, kad galima būtų įvertinti ligos eigą, sunkumą, taikyti tinkamą gydymą (Ross M.W., Dyson S.J., 2003).
Pirmojo tipo atitrūkę fragmentai paprastai ramybės ar nedidelio krūvio metu klinikinių ligos požymių nesukelia, jie išryškėja didelio krūvio metu, pakintant gyvulio bėgsenai. Suleidus anestetikų į pažeistą sąnarį, klinikiniai požymiai išnyksta. Šio tipo atskilę fragmentai nežaloja sąnarinių paviršių.
Ross teigimu, klinikiniai požymiai pasireiškia, kulkšniai esant maksimaliai sulenktai. Sulenkus sąnarį, fragmentas atsiduria tarp proksimalinio sesamoidinio kaulo ir proksimalinio pirštakaulio. Tokia padėtis gyvuliui sukelia diskomfortą ir skausmą. Pirmojo tipo atskilę fragmentai paprastai yra dideli, retai sukelia ryškų šlubavimą, tačiau dažnai sukelia estetinę užpakalinė galūnės pirštų sąnarių deformaciją.
Visų keturių tipų fragmentai matomi rentgenogramoje, atliktoje standartine lateraline ar medialine projekcija. Aiškų ertmės, esančios tarp proksimalinio sesamoidinio kaulo ir proksimalinio pirštakaulio vaizdą sukuria speciali lateromedialinė įstrižinė projekcija, kai spindulių pluoštas nukreipiamas žemyn 15 laipsnių (Ross M.W., Dyson S.J., 2003).
2.4. Kaulų lūžiai
Kaulo lūžis, tai kaulo vientisumo praradimas, kuris matomas rentgenogramoje kaip viena ar kelios šviesesnės linijos.
Geriausia, kai lūžio linijos nustatomos ne vienos krypties rentgenogramoje, tai padeda išsamiau įvertinti esamą situaciją. Tačiau tai nevisada pavyksta, ypač esant nepilniems ir nedislokuotiems lūžiams. Siekiant maksimalaus aiškumo, rentgeno spinduliai turėtų eiti statmenai lūžio linijai.
Įskilimo atveju gali prireikti daugelio projekcijų, kurios skiriasi tik 5 laipsniais. Esant pilnam lūžiui to paties gali reikti, norint tiksliai įvertinti lūžio formą.
Kai kurių lūžių standartinėmis projekcijomis diagnozuoti nepavyksta, paprastai tada rentgenogramos daromos įstrižomis projekcijomis.
2.4.1. Alkūninės ataugos lūžiai
Dažniausia lūžio priežastis būna spyris ar kritimas, sukeliantis staigią patologinio proceso pradžią ir sunkų šlubavimą. Dauguma lūžių būna daugybiniai, krepitacija nėra būdinga.
Atliekant rentgenologinį tyrimą, daromos mediolateralinės, kraniokaudalinės projekcijų rentgenogramos. Tokiu atveju išvengiama lūžio deformacijos bei taip galima įvertinti kitus kaulo pažeidimus (Ross M.W., Dyson S.J., 2003)
Alkūninės ataugos lūžiai gali būti suskirstyti į penkias grupes:
nesubrendusių arklių lūžiai, apimantys augimo zoną ir metafizę. Šiai grupei taip pat priklauso nesąnariniai lūžiai, apimantys tik augimo zoną bei Salter-Harris tipo sąnariniai lūžiai, apimantys alkūninę ataugą ir skridinio vagą;
paprasti sąnariniai lūžiai, apimantys skridinio vidurinę vagą;
nesąnariniai lūžiai, apimantys proksimalinę metafizės dalį;
daugybiniai sąnariniai lūžiai;
lūžiai, apimantys distalinę alkūnkaulio kūno dalį, besitęsiantys proksimaline kryptimi ir įeinantys į distalinę nesąnarinę skridinio vagos dalį (Ross M.W., Dyson S.J., 2003)
2.4.2. Petikaulio ir mentės lūžiai
Petikaulio stresiniai lūžiai dažnai nustatomi jauniems, treniruojamiems grynaveisliams žirgams. Dažniausia lūžio lokalizacija yra proksimokaudalinė dalis ir distalinė kranialinė bei kaudalinė petikaulio dalys. Vienpusis šlubavimas paprastai pradžioje yra ryškesnis ir sunkesnis.
Šiuo atveju radiologinis tyrimas nėra toks jautrus kaip kitų lūžių atvejais. Kai kuriems arkliams naujo kaulo formavimasis gali būti nustatomas proksimalinės epifizės kaudalinėje dalyje, kartais su padidėjusia pokremzlinio ar naujo kaulo tamsuma distalinės metafizės kranialinėje dalyje (Ross M.W., Dyson S.J., 2003)
Mentės antsąnarinio gumburėlio lūžis yra dažnas pažeidimas, esant susidūrimui ar kritimui. Lūžiai gali būti paprastieji, daugybiniai, apimantys tik antsąnarinį gumburėlį, be sąnario komponentų. Pažeidimo atveju šlubavimas pasireiškia staiga, sunkumo laipsnis įvairuoja nuo vidutinio iki sunkaus. Savaitės bėgyje gyvulys gali atrodyti sveikstantis, tačiau šlubavimas išlieka (Ross M.W., Dyson S.J., 2003)
Diagnozei patvirtinti atliekamas rentgenologinis tyrimas. Lūžio fragmentai dažnai būna dislokuoti kraniodistaline kryptimi, tą sąlygoja raumens biceps brachii traukimo jėga. Tyrimo metu turi būti atidžiai įvertintas lūžis, nes jei į jį įtraukti sąnariniai elementai, tai blogina pasveikimo prognozę (Ross M.W., Dyson S.J., 2003)
Mentės kaulo kūno lūžių dažna priežastis - kritimas šokant per užtvarą. Pilni lūžiai sukelia stiprų šlubavimą, stiprų minkštųjų audinių patinimą. Diagnozės nustatymas pagrįsta klinikinio ir rentgenologinio tyrimo rezultatais. Radiologinis tyrimas ypač reikalingas esant nepilniems lūžiams (Ross M.W., Dyson S.J., 2003)
2.4.3. Kelio girnelės lūžiai
Išorinė trauma yra dažniausia kelio girnelės lūžio priežastis. Kai kurių plėštinių lūžių priežastimi gali būti keturgalvio raumens dalių kontrakcija. Dauguma atvejų, lūžis įvyksta tiesioginės traumos pasekoje. Tai gali būti spyris, smūgis į užtvarą sulenktu kelio-girnelės sąnariu šokant. Jei traumuojamas sulenktas sąnarys, kelio girnelė yra fiksuojama prieš šlaunikaulio skridinį, tokioje padėtyje esanti kelio girnelė labai lengvai lūžta (Ross M.W., Dyson S.J., 2003)
Kelio girnelės medialinės dalies sagitalinis lūžis yra dažniausiai pasitaikantis. Paprastai tai būna sąnarinis lūžis ir jo fragmentai pažeidžia didelę aplinkinę sritį, į kurią įeina ir medialinis kelio girnelės raištis bei parapateliarinė kremzlė. Kartu su lūžiu gali pasireikšti ir kelio girnelės pamato fragmentacija.
Nesąnariniai lūžiai dažniau nustatomi esant silpnai kranialinių fragmentų dislokacijai. Pilni horizontalūs lūžiai – sunkus pažeidimas, nes yra stipriai įtempiami tiesiamieji raumenys ir susikuria stipri atitraukiamoji jėga. Pilni sagitaliniai lūžiai mažiau pavojingi, nes atitraukiamoji jėga yra silpnesnė (Ross M.W., Dyson S.J., 2003)
Diagnozės patvirtinimui ir lūžio įvertinimui atliekama kranioproksimalinė-kraniodistalinė projekcijos, nes šiuo atveju lateralinė projekcija reikalingos informacijos nesuteikia. Sunkiai sužeisti gyvuliai yra sunkiai nulaikomi reikalingoje pozoje, todėl gali reikti taikyti analgeziją. Kartais gali reikti taikyti ir bendrąją narkozę (Ross M.W., Dyson S.J., 2003)
2.4.4. Kanopos varlės kaulo lūžiai
Dažniausiai pasitaiko šiek tiek įstrižas sagitalinis lūžis bei medialinis ar lateralinis per vidurio liniją. Y formos ir kitokie lūžiai yra retesni. Varlės kaulas dažniau lūžta priekinėse galūnėse nei užpakalinėse. Lūžio priežastimi daugiausiai būna trauma, pasitaiko atvejų kai tikslios lūžio priežasties nustatyti nepavyksta. Užpakalinių galūnių varlės kaulai dažnai lūžta, arkliui spardant sieną.
Šlubavimas paprastai būna stiprus pažeidimo pradžioje. Tačiau kartais šlubavimas gali būti mažiau ryškus, o tiriant tokį gyvulį, gali būti randamas senas varlės kaulo lūžis.
Arklys gali nenoriai stovėti visu svoriu ant pažeistos galūnės. Pakinta pirštų pulso amplitudė - ji padidėja. Varlės kaulo srities perkusija būna skausminga. Šlubavimas būna stipresnis tik atsiradus lūžiui ir pasireiškia gyvuliui darant posūkį (Ross M.W., Dyson S.J., 2003).
Lūžio diagnozei patvirtinti yra atliekamas radiologinis galūnės tyrimas. Daugumą lūžių galima nustatyti atlikus dorsoproksimalinę-palmarodistalinę įstrižą rentgenogramą.
Jei kyla abejonių, atliekama rentgenografija dorsopalmarine ir palmaroproksimaline-palmarodistaline įstriža projekcija (14 pav.). Palmaroproksimalinė-palmarodistalinė įstriža projekcija naudinga įtariant daugybinius ar dislokuotus lūžius (Ross M.W., Dyson S.J., 2003).
Daugybinis lūžis Paprastasis lūžis

Netaisyklingas
lūžis Varlės
kaulų sparno lūžis

14 pav. Dažniausiai pasitaikantys varlės kaulo lūžiai (Turner T.A, 1999).
2.4.5. Proksimalinių pirštakaulių lūžiai
Šių kaulų lūžiai svarbūs šlubavimo etiologijoje. Į šiuos lūžius polinkį turi lenktyniniai žirgai.
Žirgams, kuriems yra pilnas kaulo lūžis, pasireiškia ryškus šlubavimas ir galūnės patinimas bei deformacija. Esant nepilnam lūžiui, šlubavimas gali būti vos pastebimas. Tokiu atveju reikalingas išsamus klinikinis bei radiologinis tyrimas. Jei lūžis yra trumpas ir nepilnas, paprastai reikia kelių rentgenogramų, kad būtų nustatytas tankio pakitimas ir kaluso formavimasis (Ross M.W., Dyson S.J., 2003, Zert Z.et all., 2007)
Proksimalinių pirštakaulių lūžiai gali būti:
w Trumpi ir ilgi nepilni;
w Paprasti pilni;
w Daugybiniai;
w Dorsaliniai frontaliniai;
w Proksimaliniai palmariniai/plantariniai plėštiniai, susiję su kolateraliniais raiščiais (Ross M.W., Dyson S.J., 2003)
Nepilni proksimalinių pirštakaulių lūžiai dažniausiai pasitaiko lenktyniniams žirgams. Šepetėlio sąnario patinimas ir srities skausmingumas yra dažniausi klinikiniai lūžio požymiai. Dauguma lūžių yra lengvai diagnozuojami radiologinio tyrimo metu, bet kai kuriais atvejais turi būti atliekamos dorsopalmarinės/plantarinės projekcijos rentgenogramos. Papildomose rentgenogramose po 7-10 dienų po lūžio paprastai išryškėja net ir neryškios lūžio ribos, dėl osteoklastinės rezorbcijos (Ross M.W., Dyson S.J., 2003)
Sagitaliniai proksimalinių pirštakaulių lūžių atveju dažniausiai atsiranda sagitaliniai įtrūkimai, platėjantys nuo sagitalinio griovelio. Arkliams, kuriems yra ilgas ar dislokuotas sagitalinis bei daugybinis lūžiai, patinimo ir skausmo požymiai išreikšti neryškiai. Šlubavimo laipsnis, esant trumpiems, nepilniems sagitaliniams lūžiams bei klinikiniai požymiai labai įvairūs: kai kurie arkliai nesugeba pernešti savo svorio, kiti šlubuoja labai nežymiai.
Proksimalinių pirštakaulių sagitaliniai lūžiai aiškiai matomi rentgenogramose, jei yra kelių centimetrų atstumu nuo sąnarinio paviršiaus, tačiau trumpi, nepilni lūžiai labai dažnai nėra diagnozuojami, ypač jei radiologinė technika nėra pakankamai aukštos kokybės (Ross M.W., Dyson S.J., 2003, Zert Z.et all., 2007)
Jei po lūžio atsiradimo praėjusios 10 dienų, lateralinėje projekcijoje yra matomi aiškūs antkaulio pakitimai distalinėje kaulo dalyje. Pradžioje šie struktūriniai skirtumai nėra ryškūs, tačiau kelių savaičių bėgyje jie vis ryškėja ir aiškiai matomas naujo kaulinio audinio formavimasis (Ross M.W., Dyson S.J., 2003)
Lūžiai dažniau nustatomi klasikinių veislių arkliams nei grynakraujams ir dažnai keliose galūnėse. Net esant trumpiems ir nežymiems lūžiams, gali pasireikšti netikėtai stiprus šlubavimas (Ross M.W., Dyson S.J., 2003)
2.4.6. Proksimalinių sesamoidinių kaulų lūžiai
Proksimaliniai sesamoidiniai kaulai yra svarbūs prilaikomojo aparato elemetai, jie prilaiko šepetėlių sąnarius. Jų lūžiai sukelia karščiavimą, patinimą ir skausmingumą, lenkiant ar tiesiogiai spaudžiant patologinio proceso apimtą sritį, pasireiškia ryškus šlubavimas pernešant kūno svorį.
Šių kaulų lūžiai sudaro apie 22% visų kitų lūžių ir dažniausiai baigiasi gyvulio eutanazija. Dažna lūžių priežastis ya labai įtemptos treniruotės (Siakalis K., Diakakis N., Desiris A., 2004).
Lūžiai gali būti:
w apikaliniai – sudaro apie 30% visų lūžių, pasitaikančių lenktyniniams žirgams, tačiau pasitaiko visų veislių atstovams. Kaulų pažeidimus sukelia skirtingų jėgų veikimas į tą patį kaulą. Jauniems klasikinių veislių žirgams šio tipo lūžiai dešinėje užpakalinėje galūnėje nustatomi dažniau.
w abaksialiniai – tai plėštiniai pažeidimai apimantys pakabinamąjį raištį, esantį abaksialiniame paviršiuje.
w pamatiniai – pasitaiko visiems sportiniams žirgams (15, 16 pav.).
metafiziniai – gali pasitaikyti visiems arkliams, tačiau dažnesni lenktyniniams žirgams. Tyrimais nustatyta, jog grynakraujų veislių žirgams dažniau pažeidžiami priekinės galūnės medialiniai kaulai, klasikinių veislių atstovams – užpakalinės galūnės lateraliniai kaulai (Ross M.W., Dyson S.J., 2003)
w Aksialiniai – paprastai jie nustatomi kartu su dislokuotais trečiojo plaštakos/pėdos kaulo lateralinių krumplio lūžiais. Radiografiškai jie randami tik dorsopalmarine projekcija, tačiau tokiais atvejais sunku įvertinti lūžio gylį. Kai kurie lūžiai apima gilius, pusapvalios formos sąnarinio paviršiaus plotus, ir daugiausiai būna plėštiniai.
w Jaunų kumeliukų kaulų lūžiai – jie gali būti apikaliniai, abaksialiniai, metafizės ir pamatiniai. Dažniausiai kaulų lūžiai įvyksta ganyklose, tačiau dėl labai neryškių klinikinių požymių (retai pasitaiko neryškus šlubavimas), lieka nediagnozuoti. To priežastis yra ta, jog paprastai pažeidžiamas tik vienas iš kaulų ir pakabinamasis aparatas funkcionuoja pilnavertiškai. Dažniausiai lūžiai nustatomi dviejų mėnesių amžiaus kumeliukams (Ross M.W., Dyson S.J., 2003)
Esant kvalifikuotam radiologui, rentgenoramose galima nustatyti mažiau mineralizuotas vietas buvusio lūžio vietose. Lūžio vietoje formuojasi kaulinė jungtis ir jei buvo kaulų dislokacija, ilgainiui gali padidėti proksimalinis sesamoidinis kaulas. Padidėję sesamoidiniai kaulai paprastai nustatomi dvejų metų amžiaus žirgams, atliekant rentgenogramas prieš pardavimą ar pirkimą (Ross M.W., Dyson S.J., 2003)
Diagnozuojant proksimalinių sesamoidinių kaulų lūžius, reikalinga aukštos kokybės rentgenologinė įranga ir kvalifikuoti specialistai.
Paprastai rentgenogamoje galima nustatyti padidėjusį pažeistų kaulų tankumą, kuris yra susijęs su įtemptų treniruočių krūviu ir kalcio bei fosforo apykaitos sustiprėjimu (Siakalis K., Diakakis N., Desiris A., 2004).
Apikaliniai, metafizės, pamatiniai kaulų lūžiai diagnozuojami taikant stadartines radiologines projekcijas. Abaksialiniai lūžiai dažnai lieka nediagnozuoti, jie geriausiai yra matomi lateralinėje proksimalinėje-medialinėje distalinėje ar medialinėje proksimalinėje distalinėje įstrižoje projekcijose. Aksialiniai lūžiai dažnai yra susiję su dislokuotais trečiojo plaštakos/pėdos kaulo krumplio lūžiais. Diagnostikai reikalingas ryškus dorsopalmarinis vaizdas. Metafizės lūžiai dažnai yra pleišto formos, turi daugybinio lūžio fragmentų abaksialiniame krašte (Ross M.W., Dyson S.J., 2003)
![]()
15 pav. Sulenkta lateromedialinė rentgenograma plaštakos pirštų sąnarys. Dislokuotas pamatinis lūžis. (Ross M.W., Dyson S.J., 2003)
![]()

16 pav. Lateromedialinis plaštakos pirštų sąnario vaizdas. Pamatinis lūžis (Ross M.W., Dyson S.J., 2003)
2.4.7. Trečiojo plaštakos kaulo lūžiai
Krumpliniai lūžiai yra svarbiausias šepetėlio sąnario lūžiai, apimantys ir plaštakos trečiojo kaulo krumplius. Šios rūšies lūžiai išskirtinai pasitaiko tik lenktyniniams žirgams ir dažniausiai tiems, kurie bėga greičio varžybose. Lūžio atveju šlubavimo sunkumo laipsnis paprastai nekoreliuoja su kaulo dislokacijos laipsniu. Daugelis arklių, kuriems yra nepilnas lūžis, šlubuoja ryškiau, nei esant pilnam dislokuotam lūžiui.
Paprastai tokie lūžiai nesunkiai diagnozuojami radiologinio tyrimo pagalba. Dorsopalmarinė projekcija turi būti sucentruota virš krumplio ir spindulių pluoštas nukreipiamas 15-20 laipsnių žemyn. Jei spinduliai yra per daug horizontalūs, distalinis plaštakos trečiojo kaulo sąnarinis paviršius, tampa neaiškus.
Pažeidimai taip pat gali būti nediagnozuojami esant nepakankamai ekspozicijai. Dažniausiai lūžiai apima lateralinį krumplį ir aiškiai platėja į lateralinę pusę. Kai kurie iš jų tęsiasi vos 1-2 cm proksimaline kryptimi nuo sąnario paviršiaus, o tai gana sunku nustatyti iš rentgenogramos. Lateralinio krumplio lūžiai retai būna spiraliniai ar tęsiasi į diafizės vidurį. Medialinio krumplio lūžiai, paprastai tęsiasi į diafizę, būna spiraliniai ar turi Y formą diafizės viduryje (Ross M.W., Dyson S.J., 2003)
Nepilnų, išilginių nuovargio lūžių atvejais dažniausiai pažeidžiama medialinė kaulo dalis, taip pat metafizė, proksimalinė diafizė, kartais į lūžį įtraukiamas riešo-plaštakos sąnarys.
Lūžiai pasitaiko jauniems arkliams, tačiau gali būti ir subrendusiems. Predisponuojančiu faktoriumi laikomas padidintas fizinis krūvis ar darbo intesyvumas.
Proksimalinės plaštakos dalies dorsopalmarinė projekcija, gali parodyti trečiojo plaštakos kaulo medialinės dalies sklerozę. Kitos projekcijos pažeidimų neparodo. Kai kuriais atvejais net ir esant lūžiui rentgenogramose pakitimai nėra matomi (Ross M.W., Dyson S.J., 2003)
Distalinės metafizės dalies skersiniai stresiniai lūžiai nėra dažni. Jie vadinami stresiniais, nes rentgenogramose matomi endostiniai ir periostiniai kalusai. Esat lūžiui, šlubavimas pasireiškia iškart po darbo, gali būti unilateralinis ar bilateralinis (Ross M.W., Dyson S.J., 2003)
Diagnozuojant šios rūšies lūžius daromos dorsopalmarinė, dorsolateralinė-palmaromedialinė įstriža, dorsomedialinė-palmarolateralinė įstriža ir lateromedialinė šepetėlių sąnarių projekcijos. Sulenkta lateromedialinė projekcija taip pat rekomenduojama, nes tai pakelia proksimalinį sesamoidinį kaulą virš trečiojo plaštakos kaulo, o tai leidžia geriau įvertinti esančius pažeidimus (Ross M.W., Dyson S.J., 2003)
Dorsomedialiniai sąnariniai lūžiai dažniau nustatomi 2-4 metų amžiaus ristūnams. Pradžioje šlubavimas ryškus, pažeista sritis skausminga. Diagnozė yra paremta rentgenologinio tyrimo rezultatais. Lūžiai geriausiai matomi dorsolateraline-palmaromedialine įstriža projekcija. Paprastai lūžis yra nedislokuotas, nepilnas (Ross M.W., Dyson S.J., 2003)
Plėštiniai lūžiai dažniausiai pasitaiko jauniems lenktyniniams žirgams ir yra susiję su pakabinamojo raiščio pažeidimu. Pradžioje šlubavimas būna ryškus ir vidutinio ar sunkaus laipsnio, dažniau lūžiai yra vienpusiai.
Plėštiniai lūžiai geriausiai diagnozuojami rentgenologinio tyrimo pagrindu, atliekant dorsopalmarinę ar šiek tiek įstrižą dorsopalmarinę projekciją ir lateromedialinę ar sulenktą lateromedialinę projekciją (Ross M.W., Dyson S.J., 2003)
2.4.8. Antrojo ir ketvirtojo plaštakos kaulų lūžiai
Juos gali sukelti tiesioginė išorinė trauma ar vidinės jėgos. Jei lūžį sukėlė vidinė trauma, pasireiškia vidutinio stiprumo šlubavimas, patinsta minkštieji audiniai. Pažeistos gali būti viena ar abi galūnės. Rentgenologinio tyrimo metu turi būti ištirti plaštakos kaulai ir proksimalinis sesamoidinis kaulas, nes pažeidimai gali būti abiejose vietose. Vertinant lūžį, reikia nustatyti jo dislokacijos laipsnį, pobūdį, kaluso buvimą. Tai svarbūs faktoriai, kurių pagrindu yra suformuojama prognozė (Ross M.W., Dyson S.J., 2003)
Jei lūžio priežastis yra išorinė trauma, jie gali būti paprastieji, daugybiniai, uždari bei atviri.
Patologinio proceso pradžioje šlubavimas yra ryškus, susijęs su minkštųjų audinių patinimu, pažeistos srities temperatūros pakilimu, skausmingumu.
Atliekant rentgenologinį tyrimą labai svarbu nustatyti lūžio tipą, tikslią poziciją. Jei lūžis lėtinis ar susijęs su atvira žaizda, turi būti įvertinta infekcinio osteito rizika (Ross M.W., Dyson S.J., 2003)
2.4.9. Distalinių kulno kaulų lūžiai
Dažniausiai lūžta centrinis ir trečiasis kulno kaulai, šie lūžiai daugiausiai nustatomi klasikinių veislių arkliams, grynakraujams, tačiau gali pasitaikyti ir kitų veislių atstovams. Pažeidimo atveju šlubavimas silpnėja 1-2 poilsio savaičių bėgyje, bet grąžinus gyvulį prie įprasto fizinio krūvio, šlubavimas atsinaujina.
Diagnozuojama rentgenogramų pagalba. Tačiau kai kuriais atvejais lūžio gali nesimatyti, jis išryškėja tik po 10 dienų, kai įvyksta lūžio linijos demineralizacija. Daugelį lūžių galima diagnozuoti iš lateromedialinės rentgenogramos, bet jei standartinių projekcijų rentgenogrmose pažeidimų nenustatoma, naudojamos įstrižos projekcijos, įskaitant ir 25 laipsnių lateralinę-dorsomedialinę įstrižą projekciją (Ross M.W., Dyson S.J., 2003)
Todėl, esant įtarimui, jog gali būti centrinio ar trečiojo kulno kaulų lūžiai, paprastai daromos įstrižos projekcijos rentgenogramos (17 pav.). Daugybiniai lūžiai yra dažniausiai pasitaikantys, bet gana sunkiai diagnozuojami rentgenologiškai (Ross M.W., Dyson S.J., 2003)

17 pav. Plantarinis 25 laipsnių lateralinis-dorsomedialinis
įstrižas vaizdas. Pilnas sagitalinis centrinio kulno kaulo lūžis (Ross M.W., Dyson S.J., 2003)
2.5. Trečiojo pirštakaulio kremzlių kaulėjimas
Dažnai pasitaiko darbiniams arkliams, rečiau poniams ir grynakraujams arkliams. Kaulėjimas gali prasidėti bet kuriame amžiuje. Sunkiųjų veislių arkliams, tai prasideda apie septintus gyvenimo metus, kremzlės visiškai sukaulėja apie 12-15 metus. Kaulėjimas yra paveldimas (Verschooten F., Waerebeek B., Verbeek J., 2006, www.merckvetmanual.com).
Pats kaulėjimo procesas nėra skausmingas ir šlubavimo nesukelia, jis paprastai atsiranda prasidėjus kaulėjančios kremzlės uždegimui. Atlikus tyrimus, kremzlių kaulėjimas nustatytas 75% tirtų arklių ir tik 10-14% iš jų pasireiškė šlubavimas.
Didelė masė ir sunkus darbas predisponuoja kremzlių kaulėjimą. Proceso metu yra pažeidžiamas kanopos mechanizmas, iššaukiantis šlubavimo pradžią. Visiškai sukaulėjus kremzlėms, šlubavimas išnyksta.
Kremzlių trauma, netinkamas kaustymas, kanopos vystymosi sutrikimai, didina smūgio jėgą į galūnę ir tai gali sukelti kaulėjimo pradžią (18, 19 pav.) (Ross M.W., Dyson S.J., 2003, Verschooten F., Waerebeek B., Verbeek J., 2006).
Kaulėjimas dažniausiai pasireiškia bilateraliai. Paprastai vienoje galūnėje kaulėja viena kremzlė, rečiau – abi (4 lentelė). Lateralinės kremzlės kaulėjimas pasireiškia 3,3 karto dažniau, nei lateralinės (Verschooten F., Waerebeek B., Verbeek J., 2006).
Atlikus tyrimus, jauniausias arklys, kuriam buvo nustatytas kremzlių kaulėjimas, buvo devynių mėnesių amžiaus (Verschooten F., Waerebeek B., Verbeek J., 2006).
Kremzlių kaulėjimas gali prasidėti dėl kontakto su paminos kaulu ir iš tos vietos progresuoti proksimaliai. Tačiau daug dažniau susidaro atskiri kaulėjimo židiniai, kurie ilgainiui didėja proksimaline ar distaline kryptimis. Beveik niekada nesukaulėja proksimaliausia ir kaudaliausia kremzlės dalis pas šiltakraujus ir darbinius arklius (Verschooten F., Waerebeek B., Verbeek J., 2006).
Amžiaus atžvilgiu (2, 3 lentelės), vėliau kaulėjimas prasideda pas šiltakraujus arklius (Verschooten F., Waerebeek B., Verbeek J., 2006). Tyrimais nustatyta,kad dažniau kremzlė kaulėja pas kumeles (Ross M.W., Dyson S.J., 2003).
2 lentelė. Kremzlių kaulėjimo pasireiškimas amžiaus atžvilgiu, tiriant šiltakraujus arklius (Verschooten F., Waerebeek B., Verbeek J., 2006).
|
Amžius |
Patinai |
Kastratai |
Patelės |
Procentinė išraiška |
|
>15 |
3 lentelė. Kremzlių kaulėjimo pasireiškimas amžiaus atžvilgiu, tiriant darbinius arklius (Verschooten F., Waerebeek B., Verbeek J., 2006).
|
Amžius |
Patinai |
Kastratai |
Patelės |
Procentinė išraiška |
|
>15 |
4 lentelė. Kaulėjimo dažnumas atskirose kremzlėse procentine išraiška (Verschooten F., Waerebeek B., Verbeek J., 2006).
|
Bilateralinis |
Unilateralinis |
Lateralinė kremzlė |
Medialinė kremzlė |
|
|
Šiltakraujai arkliai | ||||
|
Darbiniai arkliai |
a)
b) 
18 pav. a) Įstrižos projekcijos rentgenograma, vaizduojanti žymų kolateralinės kremzlės sukaulėjimą. b) Priekinės-užpakalinės projekcijos rentgenograma vaizduojanti kaulo „pentinus“ išilgai varlės kaulo sparnų (cal.vet.upenn.edu).
a)
b) 
19 pav a)Vidutino laipsnio kolateralinės kremzlės sukaulėjimas. b) Priekinės-užpakalinės projekcijos rentgenograma vaizduojanti žymų kolateralinės kremzlės sukaulėjimą bei pasireiškusius degeneracinius pokyčius, kurie apėmę proksimalų pirštų sąnarį. (cal.vet.upenn.edu).
2.6. Antkaulio ligos
2.6.1. Antkaulio patinimas
Tai yra periostito forma. Pažeidimai dažniausiai yra bilateraliniai ir vystosi dorsaliniame trečiojo pirštakaulio distalinės epifizės antkaulio paviršiuje. Procesas apima ir šepetėlio sąnario kapsulę, taip pat gali būti įtraukta pirmojo pirštakaulio proksimalinė dalis.
Priežastys – pasikartojanti trauma, sunkiai treniruojant jaunus arklius, ypač grynakraujus. Esant pažeidimui, gyvulio eisena tampa trumpa ir banguota. Šepetėlio sąnario palpacija ir lenkimas sukelia skausmą.
Pirmose ligos stadijose tiriant rentgenologiškai pakitimų (naujo kaulo formavimosi židiniai) gali ir nesimatyti, paprastai tokia būsena vadinama „žaliasis patinimas“ vėliau, nustatoma šepetėlio sąnario enteziopatija. Besiformuojantis kaulas ar pentinas gali atitrūkti ir tapti „sąnario pele“ (www.merckvetmanual.com).
2.6.2. Čiurnos sąnario osteoartritas
Tai pirštakaulių periostitas, kuris veda prie egzostozių formavimosi. Ydinga kanopos forma, netaisyklingas kaustymas ar pasikartojantis galūnės sukrėtimas sunkaus darbo ant kieto grindinio metu, taip pat traumos atveju pasireiškusi infekcija yra pagrindinės ligos priežastys.
Lengvųjų veislių arkliams ligos pagrindinė priežastis būna raiščių ištempimas ir sausgyslių įsiterpimas į čiurnos sritį.
Jauniems, greitai augantiems arkliams, tai gali būti osteochondrozės sindromo dalimi.
Ligos eigoje, pasireiškia charakteringas požymis – varpo formos iškilimas čiurnos srityje. Dėl periostito šlubavimas pasireiškia iš karto po pažeidimo. Prasidėjus kaulo proliferacijai ir jei nėra pažeisti sąnariniai paviršiai, šlubavimas gali išnykti. Tačiau, jei sąnariniai paviršiai yra pažeisti, šlubavimas persistuoja ir ilgainiui gali išsivystyti ankilozė (www.merckvetmanual.com).
Ligos eigoje atsiradę pakitimai yra skirstomi į aukštuosius (21 pav.) (čiurnos sąnario sritis) ir žemuosius (trečiojo pirštakaulio sąnario sritis). Jie gali abūti sąnariniai ar priesąnariniai (20b pav.). Šioms rūšims diferencijuoti reikalingas radiologinis tyrimas. Liga gali pažeisti visas galūnes, bet dažniau – priekines ir bet kokio amžiaus arkliams (www.ponyclubvic.org).
Kvorteriams ligos atsiradimą predisponuoja rotacinės jėgos, veikiančios apatinę galūnių dalį, arkliui staigiai stabdant ar darant posūkį.
Diagnozuojant ligą, atliekamos įstrižų projekcijų rentgenogramos, nes tik taip matomas geriausias ir aiškiausias sąnario vaizdas (Eastman T.G., 2006).
a)
b) 
20 pav. a) Dešiniosios pusės pažeidimas (www.merckvetmanual.com); b) Priesąnariniis pažeidimas www.ponyclubvic.org
21 pav. Čiurnos sąnario pažeidimas (Briggs K., 2003)
Sąnarinių pažeidimų atveju rentgenogramoje matomi aiškūs degeneraciniai procesai sąnaryje: dalinis ar pilnas sąnario ertmės susiaurėjimas, naujo kaulo formavimasis (osteofitai), padidėjęs pokremzlinio kaulo rentgenologinis tankumas (sklerozė) ar pokremzlinio kaulo erozijos (lizė) (Habegger S., 2000).
Esant priesąnariniams pažeidimams, rentgenogramoje matomas naujo kaulo formavimasis ne sąnario ribose, ant pažeistų struktūrų (Habegger S., 2000).
Dažniausiai yra pažeidžiamos priekinės galūnės ir abi vienu metu (Habegger S., 2000).
2.6.3. Plaštakos/pėdos kaulų periostitas
Dažniausiai nustatomas grynaveisliams, 2-3 metų arkliams priekinėse galūnėse (22 pav.). Tokie gyvuliai paprastai treniruojami lenktynėms, liga žymiai rečiau pasireiškia klasikinėms veislėms ir Kvorteriams.
Patologijos atsiradimas siejamas su intensyviomis treniruotėmis, ypač jauniems arkliams. Tyrimais nustatyta, jog pirmus 8 mėnesius gyvulius treniruojant ant kieto grindinio, pažeidimai atsiranda 66% arklių (Katayama Y. et all., 2001).
Pažeidimas sukuria stiprią tempimo jėgą, ypač pratimų metu, kur reikalingas didelis greitis. Patologinio proceso metu atsiranda mikrolūžiai (stresiniai lūžiai). Tokia būklė gali progresuoti net iki išilginių nepilnų lūžių atsiradimo.
Lengvais ligos atvejais,
formuojasi poantkaulinė hematoma. Pažeista sritis būna skausminga,
patinus, pakilusi vietinė temperatūra, ypač pažeisto kaulo
kranialinis paviršius.
Paprastai gyvulys iš karto apšlumba, žingsnis tampa trumpas, atliekant pratimus šlubavimas stiprėja (www.merckvetmanual.com).
Tiriant rentgenologiškai, dažniausiai pažeidimai būna nustatomi vienoje pusėje. Taip pat matosi antkaulio proliferacijos požymiai. Šios ligos atveju, ypač naudingas yra mikroradiologinis tyrimas (Katayama Y. et all., 2001).
22 pav. Plaštakos kaulų periostitas (www.merckvetmanual.com).
3. MEDŽIAGOS IR METODAI
Tyrimas atliktas 2006-2007 metais. Tyrimui buvo pasirinkti arkliai, kuriuos buvo ruošiamasi pirkti ar parduoti ir tuo tikslu buvo daromos kontrolinės galūnių rentgenogramos. Tiriamąją grupę sudarė penkiašdešimt arklių.
Paprastai, vienam arkliui, daroma 10 galūnių rentgenogramų: 2 iš priekio, 2 priekinių galūnių pirštakaulių lateralinės, 2 užpakalinių galūnių pirštakaulių lateralinės bei 4 kulno sąnario (2 projekcijos 70o ir dvi – 130o kampu).
Iškilus neaiškumams ar įtariant specifinius pažeidimus, gali būti atliekamos papildomų projekcijų rentgenogramos, priklausomai nuo pažeidimo lokalizacijos. Tokiu atveju yra įtraukiamos ir įstrižosios projekcijos, o tai leidžia skirtingais kampais, kurių dydis skiriasi tik keliais laipsniais, tiksliai įvertinti OCD lokalizaciją, fragmento dydį, formą, padarytą žalą audiniams.
Visos analizuojamos rentgenogramos buvo suskirstytos į keturias grupes pagal sąnario vaizdavimą jose, tai:
kanopos sąnario;
apynagės sanario;
čiurnos sąnario;
kulno sąnario.
Analizuojant turimas rentgenogramas taip pat buvo naudojami specialūs ekranai, skirti rentgeno nuotraukų įvertinimui. Vertinant nuotraukas, ypač esant nepakankamam apšvietimui, didėja tikimybė, kad bus nepastebėti sąnaryje atsiradę pakitimai, kurie pradinėse stadijose ar esant netipiškai ligos formai, yra sunkiai atskiriami, ir matomi kaip įvairaus dydžio, formos šešėliai.
Tiriant nuotraukas, didžiausias dėmesys buvo kreipiamas į osteochondrinių nuolaužų buvimą, jų lokalizaciją. Radus buvo įvertintas ligos sunkumo laipsnis. Taip pat ligos pasireiškimas atskiruose sąnariuose.
Bet kuris arklys turi 20-50 % tikimybę, kad kažkuriuo gyvenimo periodu jam sąnariuose atsiras osteochondritiniai pakitimai, todėl šis kontrolinis tyrimas prieš keičiantis gyvulio savininkui, svarbus tolesnei arklio sveikatos būklei, eksploatacijai bei kitiems tikslams, kuriems gyvulys bus panaudotas.
4. TYRIMO REZULTATAI
Osteochondritas (OCD) gali atsirasti nuo per didelio krūvio, o dažnai jauniems arkliams net nepradėjus treniruotis, tiesiog lakstant laukuose.
Kaip nurodyta 27 paveiksle, kanopos sąnario OCD pasireiškė 12 % dažnumu. Buvo tirtos rentgenogramos tiek priekinių, tiek užpakalininių galūnių kanopų.
Priekinių galūnių kanopose OCD nustatytas 5 gyvuliams, tuo tarpu užpakalinėse – vienam. 23 pav. paveiksle pavaizduotas OCD pasireiškimo dažnumas, lyginant užpakalinių bei priekinių galūnių kairę ir dešinę puses.

23 pav. OCD pasireiškimo dažnumas, lyginant skirtingų galūnių kanopas.

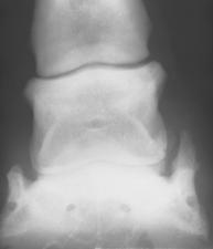
24 pav. Kanopos sąnario rentgenograma.
Apynagės sanario OCD analizuojamose rentgenogramose buvo nustatytas rečiausiai, tik – 6 proc. gyvulių (27 pav.). Ir visi OCD atvejai pasireiškė užpakalinėse galūnėse, kairėje - 50 proc. dažniau nei dešinėje pusėje.
Čiurnos sąnario rentgenogramose tiek dešinėje, tiek kairėje pusėje OCD pasireiškė tokiu pat dažnumu – po aštuonis atvejus. Osteochondrinių atplaišų dydis sąnariuose svyravo nuo žirnio iki pupos dydžio.
Dažniausiai pažeidimai buvo lokalizuoti dorsaliai čiurnos sąnario, plantariniame paviršiuje, rečiau – palmariniame paviršiuje. Dviem atvejais buvo nustatyti įtrūkimai sąnario sagitalinėje kameroje.
Taip pat dviems arkliams buvo diagnozuotas abiejų čiurnos sąnarių, panašaus sunkumo laipsnio OCD.
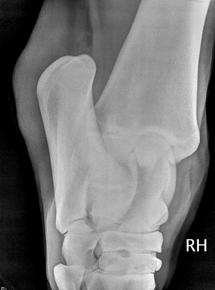
![]()

25 pav. Kairėje – sveikas čiurnos sąnarys, dešinėje – sąnarys, pažeistas OCD.
Analizuojant OCD pasireiškimą kulno sąnaryje, atvejų dažnumas kairėje ir dešinėje pusėse gana ženkliai skyrėsi. Kairės pusės pažeidimai buvo nustatyti 14 atvejų, kai tuo tarpu dešiniosios – 7, t.y., kairės pusės kulno sąnario osteochondritiniai pažeidimai nustatyti du kartus dažniau.
Tyrimui buvo surinktos rentgenogramos, kuriose atliktos kulno sąnario projekcijos 45-70o, 110-120o kryptimis. Kulno sanaryje OCD fragmentų dydis svyravo nuo pipiro iki vyšnios dydžio. Tai buvo pastebima tiek 47-70o, tiek 110-120o projekcijose. Osteochondritiniai fragmentai kulno sąnaryje buvo matomi kaip atplaišos nelygiais kontūrais, taip pat buvo rasti nelygūs sąnariniai paviršiai.

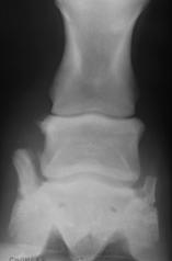
26 pav. Kulno sąnario rentgenograma
Literatūros duomenimis (Bramlage L.R., 2006), kulno sanario OCD du kartus dažniau serga patinai. Kadangi šio tyrimo metu tiriamų gyvulių lytis nebuvo žinoma, todėl ligos pasireiškimas lyties atžvilgiu nebuvo nustatytas.
Rentgenogramose osteochondritinės atplaišos ne visada buvo matomos aiškiai, septyniose rentgenogramose nustatyti įvairaus dydžio bei formos izoliuoti arba neizoliuoti šešėliai. Tokiais atvejais, OCD galima tik įtarti. Norint tiksliai nustatyti diagnozę yra reikalingos papildomų projekcijų rentgenogramos, kurios šio tyrimo metu nebuvo įtrauktos į analizuojamųjų rentgenogramų tarpą. Buvo remtasi tik tomis rentgenogramomis, kurios standartinėje procedūroje yra atliekamos, norint pirkti ar parduoti arklį.
Apibendrinus tyrimo rezultatus, nustatyta, jog esant osteochondritiniams pažeidimams sąnariuose, dažniausiai jie vystosi čiurnos ir kulno sąnariuose (27 pav.).
OCD pasireiškimas čiurnos ir kanopos sąnariuose beveik nesiskyrė (skirtumas buvo 2 proc.). Tuo tarpu rečiausiai OCD buvo nustatytas apynagės sąnaryje – 6 proc. Tai galėjo įtakoti netinkamas kaulinio audinio formavimasis, taip pat intensyviai vykstant kaulėjimo procesui, atsiradęs mineralinių medžiagų trūkumas, per didelis krūvis ar staigus jo padidinimas.

27 pav. OCD pasireiškimo dažnumas atskiruose sąnariuose, %.
Toks gana nevienodas OCD pasireiškimas skirtinguose sąnariuose gali būti įtakotas daugelio faktorių:
w veislės genetinio polinkio;
w individualių gyvulio savybių;
w šėrimo bei laikymo sąlygų;
w darbo krūvio paskirstymo, arkliui augant bei kt.
Tačiau šiuo atveju OCD pasireiškimo dažnumą lemiantys faktoriai nebuvo vertinti, tyrimo pagrindą sudarė atsitiktinai parinktos įvairių veislių, amžiaus, lyties individų galūnių rentgenogramos, skirtos galūnių įvertinimui keičiantis savininkui.
Įvertinus visas rentgenogramas, nustatyta, jog dažniausiai diagnozuotas lengvo laipsnio OCD (3 pav). Kadangi gyvulius buvo ruošiamasi pirkti/parduoti, galima teigti, jog gyvuliai kliniškai buvo sveiki arba ligos požymiai buvo labai neryškūs.
4 proc. atvejų nustatytas sunkus OCD laipsnis, kurio pasireiškimo klinikinė išraiška turėjo gana žymiai įtakoti gyvulio elgseną.

28 pav. OCD sunkumo laipsnis
Tyrimo metu iš viso buvo išanalizuota 900 rentgenogramų. Skirtingų sąnarių rentgeno nuotraukose OCD skaičius skyrėsi. Kaip rodo 29 pav. pateikti duomenys, kulno sąnario rentgenogramų (kuriose nustatytas OCD) buvo daugiausiai – 28,8 %, šiek tiek mažiau – 26,8 % buvo čiurnos sąnario rentgenogramų, kuriose rasti osteochondriniai pažeidimai.

29 pav. Rentgenogramos, kuriose buvo nustatytas OCD
5. APTARIMAS IR IŠVADOS
Vaizdinės priemonės diagnostikoje užima vis daugiau vietos. Arklių ortopedijoje šis tyrimas taikomas bene dažniausiai, diagnozuojant galūnių patologijas.
Rentgenologinio tyrimo metu gaunami rezultatai yra aiškesni ir tikslesni nei atliekant tik klinikinį ar funkcinį tyrimus, o tai leidžia geriau diagnozuoti bei prognozuoti patologijos progresavimą.
Kad tiksliai įvertinti rentgenogramą bei suformuluoti tikslia diagnozę, reikia ne tik nustatyti tikslią lokalizacijos vietą audinių atžvilgiu, tačiau taip pat svarbūs yra duomenys apie audinių pažeidimus, proliferacinius procesus bei kitus faktorius, įtakojančius prognozės sudarymą bei gydymo efektyvumą.
Tam dažniausiai yra nustatomi standartiniai galūnių matmenys, beveik visada taikomi apatinių galūnių dalių pažeidimų atvejais: dermos ir rago plotis, pado gylis, rago-lapelių zonos plotis ir kt. Rentgenogramos kokybė palengvina arba pasunkina tikslios diagnozės nustatymą.
Sportinių bei darbinių gyvulių tarpe, galūnių patologijų dažnusmas yra skirtingas. Tai įtakoja šėrimo bei laikymo kokybė. Paprastai sportiniams žirgams yra suteikiamos optimalios laikymo bei šėrimo sąlygos, o tai leidžia tinkamai formuotis kauliniam audiniui. Tačiau sporto varžybose gyvuliams tenka atlikti pratimus, kuriems jie nėra visiškai fiziologiškai prisitaikę, todėl traumų tikimybė yra dažnesnė.
Tuo tarpu darbinių arklių tarpe, dažniausiai galūnių pažeidimai atsiranda, netinkamai subalansavus racioną, ilgai dirbant be poilsio ir kt.
Tačiau abiem atvejais, didelę reikšmę galūnių patologijų pasireiškimui turi individualios gyvulio savybės bei paveldimumo faktorius.
Rentgenologinis tyrimas padeda ne tik diagnozuoti jau kliniškai pasireikšusias patologijas, bet ir slaptajame jų periodu, kai simptomų dar nėra. Tai gali būti panaudojama veislininkystėje, ypač jei nustatomas genetinis polinkis tam tikrai ligai.
Dažniausiai pasireiškiantys galūnių pažeidimai yra osteochonditis dissecans, kaulų lūžiai, kolateralinių kremzlių kaulėjimas, antkaulio patologijos. Jų sukeliami pažeidimai, eiga ir prognozė priklauso nuo ligos diagnozavimo efektyvumo, veterinarijos gydytojo skirtų gydymo priemonių, rekomendacijų taikymas.
Išvados
Radiologinis tyrimas, taikomas su kitais tyrimais kompleksiškai, žymiai palengvina ligos diagnozavimo procesą.
Nestandartinių projekcijų rentgenogramos leidžia tiksliai nustatyti patologijos židinio vietą, kai to negalima padaryti naudojant standartines projekcijas.
Priklausomai nuo ligos sunkumo laipsnio, progresavimo, patologinio proceso lokalizacijos, rentgenogramos padeda įvertinti tolesnę ligos eigą, pagal jau pažeistus aplinkinius audinius.
Osteochondritiniams pažeidimams sąnariuose, dažniausiai jie vystosi čiurnos ir kulno sąnariuose, atitinkamai 40 ir 42%.
Iš 900 analizuotų rentgenogramų, dažniausiai OCD nustatytas kulno ir čiurnos sąnarių rentgeno nuotraukose, atitinkamai 18,6 ir 18,9 %. Tuo tarpu apynagės ir kanopos sąnarių rentgenogramose OCD rastas rečiau, atitinkamai 10,0 ir 13,8 %.
6. NAUDOTA LITERATŪRA
|