CARDIAC - radiologie


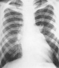
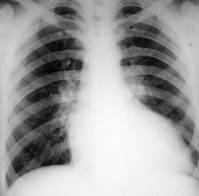
Imaginea radiologica a cordului si vaselor mari în pozitia posteroanterioara este aceea a unei opacitati de forma triunghiulara cu baza pe diafragm si vârful în sus. Marginile opacitatii cardiovasculare sunt reprezentate de trei arcuri în partea stânga, doua arcuri în partea dreapta, delimitate între ele prin depresiuni care sunt însemnate cu litere: D - pentru marginea dreapta, 656k105g S - pentru imaginea stânga.
Marginea dreapta a cordului este constituita din doua arcuri:
- arcul inferior drept format de atriul drept, este convex si situat la o distanta dubla de linia mediana fata de cel superior
arcul superior, convex - format de butonul aortic
arcul mijlociu, concav - format în cele 2/3 superioare de artera pulmonara, iar în 1/3 inferioara de urechiusa stânga
arcul inferior, convex - format de ventricolul stâng.
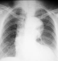
Cordul verticalizat - se întâlneste la astenici, are axul longitudinal aproape vertical, vârful cordului apropiat de liania mediana, arcul inferior stâng si drept simetrice, limita între arcurile marginii stângi stearsa.
Cordul orizontalizat - se întâlneste la obezi. Axul longiudinal al cordului este orizontalizat, cordul este culcat pe diafragm si se desfasoara în sens transversal spre stânga.
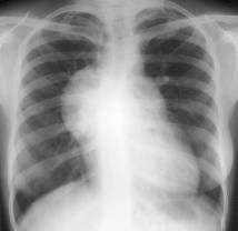
HIPERTROFIA VS
rotunjirea arcului inferior stâng cu pulsatii ample la acest nivel
accentuarea butonului aortic datorita aportului sanguin crescut
DILATAŢIA VS
alungirea arcului inferior stâng cu marirea diametrului transversal
scaderea pulsatiilor la acest nivel
accentuarea butonului aortic
configuratie aortica tipica
STENOZA MITRALĂ
- micsorarea butonului aortic - datorita reducerii debitului sanguin în aorta, a rotatiei cordului spre stânga si dilatarii arterei pulmonare
- rectitudinea sau bombarea arcului mijlociu - dilatarea arterei pulmonare
- micsorarea arcului inferior stâng
- dilatarea AS Prin examinarea esofagului cu pasta baritata se poate aprecia mai bine aceasta micsorare în grade variabile a spatiului retrocardiac (gradul I - amprenta a atriului pe conturul anterior al esofagului; gradul II - împingerea esofagului pâna la coloana vertebrala; gradul III - esofagul este împins posterior, dincolo de fata anterioara a corpilor vertebrali). Uneori atriul stâng apare în interiorul siluetei cardiace constituind conturul dublu concentric.


- hiluri de staza
- modificari în parenchim: transudatele alveolare determina aparitia de opacittati cu localizare mediopulmonara si bazala de intensitate slaba.
INSUFICIENŢA MITRALĂ
- marirea ventricolului stâng - se realizeaza la început în sens anteroposterior, fiind evidentiata prin aprecierea unghiului de disparitia a vârfului
- AS dilatat si dilatarea moderata a arterei pulmonare duce la aplatizarea golfului cardiac. La fiecare sistola ventriculara, atriul stâng sufera o expansiune si comprima esofagul aflat în vecinatate, astfel încât la o examinare cu pasta baritata aceasta regurgiteaza - constituind "semnul regurgitatiei sistolice".
Decompensarea prin insuficienta cordului drept este evidentiata prin marirea si deplasarea spre dreapta a inimii însotita de ameliorarea stazei pulmonare. Trebuie amintita aici si notiunea de insuficienta mitrala functionala - aceasta reprezinta o dilatare a inelului valvular produsa de diferite afectiuni - de obicei aortice - în care apare aspectul de mitralizare al afectiunii de baza.
INSUFICIENŢA AORTICĂ
- largirea pedicolului vascular prin dilatarea aortei ascendente si accentuarea importanta a butonului aortic
marirea arcului inferior stâng prin hipertrofia si dilatarea ventricolului stâng
adâncirea arcului mijlociu
La examenul radioscopic, se evidentiaza pulsatii ample la nivelul arcului inferior stâng, a aortei ascendente si butonului aortic.
STENOZA AORTICĂ
Apectul radiologic este caracterizat printr-o largire a pedicolului vascular, prin dilatarea aortei ascendente, micsorarea butonului aortic, care prezinta pulsatii mici si hipertrofia si dilatarea ventricolului stâng.


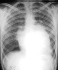
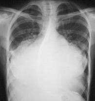
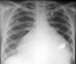
REVĂRSATUL PERICARDIC
De la 300-500 ml se evidentiaza radiologic. Umbra cardiaca este marita bilateral, mai ales spre stânga, având un aspect triunghiular. Cele doua margini ale opacitatii cardiace se indeparteaza, descriind arcuri mari convexe spre diafragm. Raportul cardio-toracic e inversat. Uneori, în interiorul acestei mase opace se distinge o opacitate mai intensa, care reprezinta opacitatea cordului, realizându-se în felul acesta un contur dublu.

SIMFIZA PERICARDICĂ
ANEVRISMELE AORTEI reprezinta dilatatii localizate ale aortei. Ele pot avea diferite forme: sacciforme, fusiforme, etc. Cel mai frecvent, sunt situate pe aorta ascendenta. Radiologic, apar ca o opacitate de forma ovala, de marime variabila, care face corp comun cu aorta, fiind situata în partea dreapta a opacitatii mediastinale în cazul situatiei pe aorta ascendenta si în partea stânga si posterior, atunci când sunt situate pe aorta descendenta.
Conturul opacitatii este, în mod obisnuit, net, uneori este sters, neregulat în cazul unor reactii inflamatorii de vecinatate; opacitatea este omogenna, pulsatila; mai târziu din cauza organizarii fibroase a cheagurilor si depunerii de saruri minerale, opacitatea devine neomogena si nepulsatila.
|