FACULTATEA DE MEDICINA SI FARMACIE
CAVITATEA ORALA
IGIENA ORALA
CUPRINS
INGRIJIREA DINTILOR
ALBIREA DINTILOR
PERIEREA SI CURATAREA DINTILOR
INDEPARTAREA PIETREI DENTARA
FLUORUL
ALIMENTE
INGRIJIREA DINTILOR
Daca dorim ca dintii nostri sa reziste cat timp avem
nevoie de ei ,trebuie sa facem tot
posibilul pentru a evita cariile si afectiunile gingiilor.Ingrijirea
corecta a dintilor presupune o buna
igiena dentara si vizite regulate la dentist.
Stomatologia moderna face minuni cu dintii nostri cu ajutorul problemelor, coroanelor ,puntilor ,dintilor falsi ,ale aparatelor pentru indepartarea dintilor si a multor altor metode.Dar inainte de toate , dintii sunt responsabilitatea fiecaruia dintre noi.,daca dorim sa avem dinti sanatosi ,curati si frumosi, sa fim scutiti de dureri sau de afectiuni ale gingiilor sau alte probleme de acest gen,totlu depinde de noi .Pentru a face toate acestea eficient,trebuie sa intelegem structura dintilor si modul lor de crestere.Ca intotdeauna,prevenirea este preferabila (si mai putin costisitoare si dureroasa) vindecarii.
STRUCTURA DINTELUI
De-a lungul vietii,oamenii au doua randuri de dinti.prima dentitie cuprinde 20 de dinti ,,de lapte ,sau temporari-ei cad la varsta de 5-6 ani.Acestia sunt inlocuiti de 32 de dinti permanenti.Unor persoane nu le cresc toti dintii.la unele cele patru masele de minte situate in spatele celorlalte-cate una pe fiecare parte a maxilarului de sus si cate una pe fiecare parte a maxilarului de jos pot sa nu apara niciodata (cresc deasupra gingiei).
Fiecare dinte are doua parti principale :una este coroana,aflata la suprafata gingiei cealalta este radacina,in functie de tipul dintelui si pozitia acestuia in cavitatea bucala,un singur dinte poate avea de la una la trei radacini,acestea sunt infite in osul maxilarului.
Fiecare dinte are o cavitate in care se afla pulpa
acestuia,vasele de sange si nervii din
aceasta cavitate sunt legate de vasele de sange si nervi din osul maxilarului
prin intermediului unui canal ingust al radacinii.Gingiile sunt formate
dintr-un tesut epitelial,care este strans legat prin fibre de osul
maxilarului,formand un strat protector
la baza fiecarui dinte,acesta impiedica raspandirea infectiei din cavitatea
bucala in interiorul oaselor maxilarului, prin cavitatile dentare.
Dintele este un tesut viu, inervat de nervi si irigat de vase sangvine. Acesti nervi si vase ajung in centrul dintelui prin intermediul canalului dentar si formeaza pulpa, plasata in mijlocul dintelui si continuta intr-un tesut calcificat, dentina. Zona vizibila a dintelui, numita coroana, este acoperita de smalt, care constituie tesutul cel mai dur al organismului; radacina dintelui, partea implantata in maxilar, este inconjurata de cement, care asigura articularea cu osul prin intermediul filamentelor fine care formeaza ligamentul alveolodentar.
Diferite tipuri de dinti :se pot deosebi dintii din fata, incisivii si
caninii, si dintii posteriori, premolarii si molarii.
- Incisivii, in numar de 8, au o forma de lopata si permit transarea
alimentelor (taiere)
- Caninii, in numar de 4, ascutiti si robusti, sunt dintii cei mai lungi la
specia umana; situati la limita dintilor posteriori, ei rup in bucati
alimentele
- Premolarii, in numar de 8, primii dintre dintii posteriori, pot avea una sau
doua radacini si prezinta doua cuspide (protuberante situate la suprafata de
masticatie); ei participa la maruntirea alimentelor
- Molarii, in numar de 12, intre care patru sunt molarii de minte, au 2 sau 3
radacini si 4 sau 5 cuspide; ei joaca un rol esential in maruntirea
alimentelor.
DETERIORAREA DINTILOR
Dintii neingrijiti se acopera cu un strat de substanta lipicioasa, formata dintr-un amestec de resturi de mancare,saliva si germeni ,cum ar fi bacteriile.Acesta poarta numele de tartru.
Bacteriile din tartru se hranesc si se inmultesc cu zaharurile din alimente,in urma acestor procese,bacteriile elibereaza acid .Smaltul este foarte rezistent,insa sensibil la atacul substantelor chimice,acidul distruge smaltul,apoi dentina, pana cand patrunde in pulpa dintelui,acest proces duce la carii, iar daca pulpa dintelui este atinsa si nervii senzitivi ai acesteia se inflameaza,apare durerea.
Deteriorarea dintilor incepe de obicei in portiunile cele mai vulnerabile ale smaltului,fie intre dinti, unde tartrul este greu de indepartat,fie in partea interioara a fisurilor (mici crapaturi) din coroane.
Daca procesul de deteriorare continua, atacurile substantelor chimice si ale germenilor avanseaza ,prin pulpa dintelui si prin canalul radacinii,in osul maxilarului. Inflamatia care va urma,insotita de puroi si presiuni asupra osului,poarta numele de abces dentar.
Pe masura ce imbatranim, stratul exterior al smaltului dintilor se deterioreaza, acest proces scoate in evidenta stratul de dedesubt, numit dentina, care are o culoare usor galbuie, asa se poate explica ingalbenirea dintilor.
Pentru prevenirea acestei probleme, multe persoane recurg la tratamentele
pentru albirea dintilor, insa chiar si acestea nu va pot mentine in timp dintii
stralucitori daca nu aveti o igiena orala adecvata, in special atunci cand
consumati alimente care va pot pata dantura. Pentru a va ajuta sa le
identificati, expertii spun ca orice produs care poate pata un tricou din
bumbac poate face acelasi lucru si asupra danturii,asadar, acestia va recomanda
sa va periati dintii si sa va clatiti cu apa de fiecare data cand consumati
cafea, ceaiuri, bauturi carbogazoase inchise la culoare, bauturi energizante,
sucuri de fructe, vin rosu, afine si coacaze. Fumatul este, insa, principalul
factor pentru accelerarea ingalbenirii dintilor. Nicotina provoaca pete care patrund adanc in
smalt si care sunt foarte greu de scos numai
prin periere. Dentistii
avertizeaza ca petele pot deveni mai accentuate cu cat continuati sa
fumati,chiar si apa de gura poate duce la patarea dintilor, in special cele
care contin clorhexidina si cetylpyridinium. Exista si medicamente care pot
duce la decolorarea danturii, cum ar fi tetraciclina, antihistaminicele,
medicamentele antihipertensive si antipsihotice.
Pentru a avea zambetul
stralucitor, exista, insa, si unele alimente care va pot ajuta,telina, merele,
perele, morcovii si guma de mestecat produc multa saliva, care ajuta la
eliminarea petelor. Pentru a avea dintii albi, mai puteti achizitiona paste de
dinti, geluri sau lichide speciale pentru albire si se recomanda sa inlocuiti
periutele de dinti traditionale cu acelea electrice.
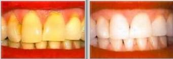
ALBIREA DINTILOR
In estetica dentara, albirea dintilor nu mai este de mult o procedura dificila sau rara, dimpotriva, chiar. Astazi, de la actori celebri si pana la oameni obisnuiti, toti vor sa aiba o dantura perfecta si apeleaza la serviciile stomatologului daca nu o pot obtine in mod natural.In zilele noastre, exista pe piata o multitudine de sisteme destinate albirii dintilor - printre ele se numara pastele de dinti speciale, gelurile, benzile sau agentii de albire obtinuti direct de la dentist.
Albirea dintilor este in principiu recomandata persoanelor care au dinti sanatosi - care nu au fost deci supusi multor tratamente - si gingii fara probleme. Hipersensibilitatea dentinara si dintii cu fluoroze sunt contraindicatii ale albirii dentare.
Ea nu este recomandata nici pacientilor cu explozii carioase. 'Candidatii' ideali sunt cei care vor sa scape de petele galbene de pe dantura. Cu toate acestea, procedura nu este indicata tuturor.
Metodele de albire:
Pasta de dinti
In general, aproape toate pastele de dinti indeparteaza petele de la suprafata, datorita particulelor abrazive pe care le contin. Pastele special dedicate albirii au in componenta niste substante chimice cu efect de slefuire blanda, ce ofera o eficienta ridicata in curatarea danturii. Pastele de dinti insa nu pot ajuta decat la eliminarea petelor superficiale, ele neavand puterea de a actiona in profunzime, in lipsa unui agent de albire. Produsele profesionale de albire, pe care ti le poate recomanda stomatologul, contin peroxid de hidrogen (o substanta cu efect de albire) si ajuta la eliminarea petelor aflate atat la suprafata dintilor, cat si in profunzime. Trebuie sa stii ca pastele de dinti nu fac decat sa indeparteze coloratiile extrinseci ale dintilor. Spre deosebire de ele, albirea profesionala, executata in cabinetul medicului stomatolog, poate schimba culoarea danturii cu de la 3 la 8 nuante.
Benzile si gelurile de albire
Gelurile pentru dinti ce pot fi procurate din supermarket sau magazine de cosmetica au in componenta peroxid si se aplica folosind o periuta. In general, ele se folosesc de 2 ori pe zi, timp de 14 zile. Totusi, trebuie citite instructiunile inainte de utilizare, deoarece fiecare are particularitatile sale. Exista, insa, si o albire prin geluri pe care o realizeaza pacientul acasa. Gelurile respective sunt date de catre medic in functie de sensibilitatea pacientului (exista mai multe concentratii: 10-16-35%). Ele se aplica in gutiere (conformatoare de plastic realizate in laborator pt fiecare pacient). Cu ajutorul acestor gutiere gelul sta in contact strans cu smaltul si nici nu irita gingia pt ca excesul se indeparteaza foarte usor. Perioada de aplicare este de 5 zile pt fiecare arcada de la 1,5 ore pana la 6 ore, in functie de concentratie. Benzile pentru dinti sunt foarte subtiri si adesea invizibile, fiind acoperite cu un strat de gel pe baza de peroxid. Ele se aplica, in general, de cate 2 ori pe zi (timp de 30 de minute), pe o perioada de 14 zile.
Albirea dintilor realizata de catre stomatolog
In ceea ce priveste albirea danturii realizata in cabinetul stomatologic, ea este recomandata ca fiind cea mai eficienta, rapida si sigura metoda de curatare a petelor nedorite. In cazul acestei proceduri, produsul de albire se aplica direct pe dinti. El este aplicat cu ajutorul unei surse de caldura, de lumina sau de laser. Lumina si/sau caldura accelereaza efectul de albire. Rezutatele se pot observa in maximum 60 de minute de la efectuarea tratamentului.
Prin folosirea luminii polarizate, este indeajuns o singura sedinta pentru rezultate foarte bune. Singura metoda care ofera o finalitate multumitoare chiar dupa prima sesiune de tratament este laserul. Cat timp dureaza efectele albirii? Poate sperai ca albirea sa fie permanenta - nu este asa, din pacate.
Iar pentru persoanele care isi 'expun' dintii fumatului excesiv
sau atacului unor alimente sau bauturi ce cauzeaza pete (precum Coca-Cola,
Pepsi, cafea), rezultatele incep sa paleasca in aproximativ 6-9 luni dupa
tratament. In cazul celor care se feresc de acesti dusmani ai danturii, albirea
poate fi pastrata timp de 12-18 luni. Gradul de albire variaza,
in mod evident, de la individ
la individ - fiind conditionat de factori ca starea danturii, natura petei,
tipul de sistem folosit la albire si timpul in care acest sistem a actionat.
PERIEREA SI CURATAREA DINTILOR
Exista mai multe metode de prevenire a carilor .Una este inlaturarea tartrului ,germenilor acidului si resturileor de mancare,prin perierea dintilor.Acestea este unul dintre cele mai importante aspecte ale igenei orale ,care este vitala pentru ingrijirea corecta a dintilor.
De ani de zile ,medicii stomatologi se contrazic cu privire la modul corect de periere a dintilor.In general ,periuta de dinti ar trebui sa indeparteze tartrul si resturile de mancare,de lagingie la parteasuperioara a dintilor,pentru ca acestea sa nu fie blocate intre gingii si dinti.Se recomanda si omiscare circulara aperiutei.Acestea trebuie sa curete toata suprafata dintilor inclusiv portiunile greu de atins dintre dintii alaturati.Se recomanda folosirea unei paste de dinti de calitate .Este ideal ca dintii sa fie periati dupa masa .Cele mai importante perieri se fac dimineata la prima ora si seara, inainte de culcare,aceasta actiune durand cel putin doua ,trei minute ,urmata eventual de clatire cu apa de gura .
Ata dentara este un fir ceruit care se tine intre degete si se strecoara intre dinti si pe suprafata acestora pentru a indeparta tartrul, resturile de mancare si alte impuritati .
Curatarea insotita de perierea dintilor
este benefica ,dar efectuata incorect face mai mult rau decat bine.La fel se
intampla si cu scobitorile dentare.Este bine sa cerem sfatul medicului stomatolog asupra folosirii periutei,atei
dentare si scobitorilor.
Dentistul poate sa ne trimita la persoana care se ocupa cu igiena bucala.Aceasta este special instruita pentru a da sfaturi referitoare la ingrijirea corecta a dintilor,la perierea si curatarea lor si in general ,la mentinerea sanatatii dintilor ,gingiilor si cavitatii bucale .Tabletele pentru inlaturarea tartrului pot fi folositoare-acestea coloreaza partile necuratate ale dintilor ,astfel incat putem observa zonele in care periuta nu poate patrunde.Aceste tablete pot fi cumparate de la farmacie.
INDEPARTAREA PIETREI DENTARE
Calcarul se poate depune pe dinti necuratati .Aceasta substanta este mai solida si mai rezistenta decat tartrul si nu poate fi indepartata prin simpla periere.Medicul stomatolog poate folosi un aparat special , cu ultrasunete in acest scop.Aparatul are un varf ascutit care efectueaza mii de vibratii pe secunda ,zdrobind calcarul in bucati minuscule . Dintii pot fi lustruiti ,iar suprafetele lor netede si stralucitoare vor fi mai usor de curatat prin periere normala.Multi oameni fac gresala de a se opune detartrajului. Unii cred ca indepartarea pietrei dentare atrage dupa sine slabirea danturii. In realitate, piatra indeparteaza gingia de pe dinte, dezgolindu-l. Deoarece tartrul retine resturile alimentare, periajul nu se poate face corect, iar igiena bucala este compromisa. Se mai pune intrebarea daca in afara dintilor naturali se poate depune tartru. Raspunsul este afirmativ. Daca igiena bucala este incorecta, piatra se poate depune si pe lucrarile protetice.
FLUORUL
O metoda de prevenire a cariilor este folosirea fluorului.In cantitati mici ,aceasta substanta chimica reduce carierea .Fluorul este incorporat in dintele in crestere si ,,intareste smaltul si dentina, facandu-le mai rezistente la atacurile acide.Acumularea unei cantutati adecvate de fluor in copilarie este importanta.
In multe zone , fluorul este adaugat in apa potabila locala, intr-o concentratie de aproximativ unu la un milion .Aceasta inseamna ca dintele primeste cantitatea adecvata de fluor atunci cand mancam sau bem .Printre alte metode se numara folosirea unei paste de dinti ce contine fluor ,care este recomandata de medici ,precum si tabletele cu fluor .Se pot cere informatii dentistului ,despre concentrarile de fluor din apa potabila cu care este aprovizionata localitatea fiecaruia.Fluorul este un element chimic din grupa 17 a sistemului periodic (dupa stilul vechi grupa a-VII-a principala sau VIIA), grupa halogenilor.
In stare elementara formeaza molecule compuse din doi atomi F2, care este singura legatura posibila dintre cei doi atomi. Este cel mai electronegativ dintre toate elemente
ALIMENTE
Un alt aspect important al igienei bucale corecte este sa fim atenti la ceea ce mancam si ce bem .Mancarurile dulci incurajeaza inmultirea germenilor si atacurile acide.Gustarile dulci si mesele principale mentin concentratia de zahar din gura, agravand lucrurile.
Pentru sanatatea dintilor , dar si pentru sanatatea tubului digestiv si al intregului organism , este recomandata , intre mese ,consumul de fructe,legume si alimente similare si nu dulciuri cum ar fi ciocolata.

BIBLIOGRAFIE
MORFOLOGIA CAVITATII ORALE (CURS)
INTERNET
|