Documente online.
Zona de administrare documente. Fisierele tale
Am uitat parola x Creaza cont nou
 HomeExploreaza
upload
Upload




CONSIDERATII MORFOFUNCTIONALE ASUPRA COMPORTAMENTULUI STROMEI CONJUNCTIVE IN CADRUL PROGRESIEI TUMORALE A CARCINOMULUI DE COL UTERIN

medicina


CONSIDERAŢII MORFOFUNCŢIONALE ASUPRA COMPORTAMENTULUI STROMEI CONJUNCTIVE ÎN CADRUL PROGRESIEI TUMORALE A CARCINOMULUI DE COL UTERIN

REZUMAT




Reactia inflamatoare din interstitiul tumorilor maligne prezinta o intensitate si extensie variate în functie de forma histologica si vârsta tumorii. Ea precede si însoteste îndeaproape invazia tesutului conjunctiv de catre celulele tumorale, transformându-se mai rapid sau mai încet în tesut de granulatie si apoi în tesut conjunctiv. Reactia inflamatorie din interstitiul tumorii maligne, într-un anumit moment al bolii, în loc de a se opune proliferarii tumorale, începe sa o sustina, vasele tesutului de granulatie transfo 717i88h rmându-se si contribuind la formarea stromei tumorale. Invadat de cancer, tesutul conjunctiv al organismului reactioneaza la început, dar fiind învins, sufera legea muritorului si reactia inflamatoare antitumorala devine punctul de plecare pentru formarea stromei nutritive a tumorii.


OBIECTIVE


Am ales sa studiem carcinomul colulului uterin deoarece prin localizarea sa care îl face usor abordabil si susceptibil recunoasterii într-o faza incipienta, de multe ori intraepiteliala, se preteaza prin excelenta urmaririi reactiei care se produce în tesutul conjunctiv subjacent în urma patrunderii celulelor tumorale. Am studiat anatomopatologic si imunohistologic raporturile care se stabilesc între celulele canceroase si tesutul conjunctiv, reactia acestui tesut contra invaziei si fenomenele care permit supravietuirea si diseminarea acestor celule.


Material si metoda


Au fost examinate microscopic si imunomicroscopic în IOCN biopsii cervicale si piese de histerectomie provenite de la 100 de bolnave între 34 si 73 de ani cu diagnosticul de carcinom de col uterin, câte 20 cazuri din fiecare stadiu evolutiv: LGSIL, HGSIL, carcinom intraepitelial, microinvaziv si respectiv invaziv. În cazul pieselor de histerectomie au fost examinati si nodulii limfatici din parametre. Piesele au fost fixate în formol neutru 10% sau amestec Herovici. Dupa deshidratare si clarifiere, piesele au fost incluse în parafina. Sectiunile au fost colorate cu hematoxilina-eozina, tricrom van Gieson pentru fibre colagene, Hotchkiss-Mac Manus PAS pentru mucopolizaharide neutre, verede metil-pironina Brachet-Kurnick pentru acizi nucleici, Spicer-Balogh cu albastru de alcian-safranina pentru mastocite si impregnatie argentica Gomori pentru fibre reticulare. Pentru precizarea neoangiogenezei, infectiei HPV, markerilor de proliferare celulara sau a naturii componentelor celulare ale reactiei inflamatoare peritumorale s-au aplicat metode imunohistochimice.

Numarul de celule pozitive pentru majoritatea anticorpilor utilizati a fost evaluat semicantitativ astfel: negativ (-), în cazul absentei de celule pozitive, pozitiv (+) si redus (+/-).

0 = imunoreactie negativa

+ = între 10% si 40% din nucleii celulelor tumorale pozitivi

++ = între 40 si 70% din nucleii celulelor tumorale pozitivi

+++ = mai mult de 70% din nucleii celulelor tumorale pozitivi.


REZULTATE


Progresia multistadiala a neoplaziei cervicale si reactia stromei conjunctive au fost cu usurinta urmarita prin coloratii specifice:



 


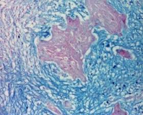
Figura 2: Carcinom cervical microinvaziv timpuriu.

Placarde de celule tumorale înconjurate de fibre colagene tinere fuxin-negative.

Tricrom van Gieson x 100


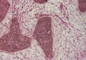
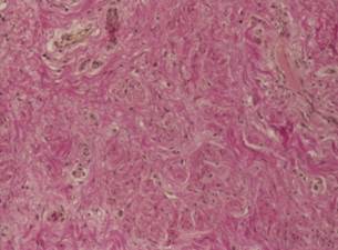
Figura 3: Carcinom cervical invaziv, reactie stromala evidenta, fibre colagene groase,

HE x 100


Evaluarea semicantitativa pe care am efectuat-o lotului intrat în studiu demonstreaza intensificarea maturarii fibrelor colagene ce devin fuxinofile, în special în cazul formelor invazive de carcinom scuamos al colului uterin.

Figura 4: Virajul fibrelor colagene

Figura 5: Carcinom microinvaziv. Placardele tumorale sunt inconjurate

de fibre nefuxinofile amestecate cu fibre mature fuxinofile.

Tricrom van Gieson, 100x

Ulterior, pentru ca tumora constituita sa dezvolte potential metastatic si letal, este necesar ca aceasta sa-si organizeze si sa-si întretina propria retea vasculara - proces denumit angiogeneza tumorala. Apreciind semicantitati la cele 60 de paciente modul de formare al neovascularizatiei putem observa cu usurinta ca proportional cu progresia bolii se intensifica si retelele vaselor de neoformatie asa cum este ilustrat si în graficul urmator



Figura 6: Evaluarea semicantitativa a neoangiogenezei tumorale

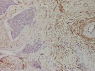
Figura 7: Carcinom invaziv. Importanta neogeneza vasculara în

interstitiul placardelor tumorale. Imunoreactie pentru CD 3l, x 40

Nu s-a evidentiat o corelatie semnificativa statistic între microdensitatea vasculara MVD, nediferentiat pe criteriul tipului de vas (mature, intermediare, imature), si stadiul de boala pentru pacientele stadializate CIS, CMI si CI.

Figura 8: Corelarea tipului de vase cu stadiul bolii

Comparând valorile medii MVD, nediferentiate pe tipuri de vase pentru cele trei stadii analizate: CIS, CMI si CI, s-au constatat diferente mici ale acestora. Aceste valori nu au indicat criterii de departajare evidente pentru cele trei stadii de boala, mai ales pentru stadiile CIS si CMI, pentru care diferenta a fost si mai mica, respectiv de o unitate. Nu s-au constatat diferente semnificative între limitele maxime ale numarului de vase/câmp în raport cu stadializarea, indicând astfel particularitatile genetice deosebite ale fiecarui pacient.

Reactia inflamatorie apreciata semicantitativ a fost de intensitate maxima în cazul carcinomului microinvaziv, probabil si în legatura strânsa cu realizarea swichului angiogenic.

Figura 9: Evaluarea semicantitativa a reactiilor inflamatorii peritumorale


CONCLUZII


Studiul asupra a 100 cazuri de carcinom cervical în diferite stadii evolutive: intraepitelial, microinvaziv si larg invaziv a permis obtinerea unor observatii interesante asupra raporturilor care se stabilesc între celulele neoplazice si tesutul conjunctiv invadat, dintre care unele cu semificatie practica.

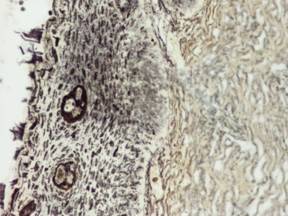
  1. Stadiul intraepitelial al carcinomului implica existenta continuitatii membranei bazale. În astfel de cazuri un fenomen timpuriu de invazie poate fi relevat de prezenta printre celulele epiteliale a mici muguri vasculari, formati dintr-un singur rând de celule endoteliale, evidentiati prin impregnare argentica sau anticorpi anti-colagen IV: prezenta acestora sugereaza posibilitatea existentei metastazelor si ridica problema histerectomiei. Încercarea tesutului conjuctiv de a bara patrunderea celulelor tumorale prin formarea în jurul lor a unor noi membrane bazale constituite predominant de colagen IV nu are succes, întrucât astfel de structuri, prezente în stadiul microinvaziv, dispar în formele mai avansate.
  2. In jurul tesutului tumoral exista constant o reactie inflamatorie, foarte probabil expresia unei reactii imune antitumorale. Ea este prezenta în formele intraepiteliale, dar mai exprimata în formele microinvazive.
  3. Prezenta constanta a angiogenezei tumorale, a unei proliferari de vase capilare în interstitiul tumoral, înca din faza microinvaziva, bine pusa în evidenta prin examinari imunohistologice, subliniaza importanta acestui fenomen în diseminarea cancerului
  4. În aprecierea stadiului de raspandire al celulelor canceroase în tesutul conjunctiv este importanta aprecierea histochimica a fibrelor colagene din jurul acelor celule. Prezenta exclusiva de fibre tinere negative la fuxina exprima un stadiu timpuriu de invazie, în timp ce aparitia progresiva, apoi predominanta a fibrelor fuxinofile exprima forme avansate de invazie, posibil metastazante.

BIBLIOGRAFIE SELECTIVA


1. Corbu S. - Contributii la studiul corelatiilor morfofunctionale între tesuturile conjunctive si procesele tumorale, Universitatea din Oradea, 2007

2. Folkman J. - Angiogenesis research: from laboratory to clinic. Forum, 1999: 9: 59-62.

3. Raica M., Cimpean M. - Celula endoteliala: tinta pentru terapia antiangiogenica, Simp. Nat. Morf. Norm .Pat., Craiova, 2004.

4. Risca R., Munteanu S. - Cancerul sferei genitale feminine în vol.6 Cancerul - oncologie comparata, Colectia Enciclopedia Oncologica, Cluj-Napoca, 1981, 107-147.

5. Simu G., Chiricuta I. - Aspecte particulare ale raportului epiteliu/mezenchim la nivelul colului uterin. Morf. Norm. Pat., 1973, 10, 247-253.

6. Simu G. si colab - Anatomie patologica Vol. I+II, Ed. Universitatii din Oradea, 1999.





Document Info


Accesari: 3674
Apreciat: hand-up

Comenteaza documentul:

Nu esti inregistrat
Trebuie sa fii utilizator inregistrat pentru a putea comenta


Creaza cont nou

A fost util?

Daca documentul a fost util si crezi ca merita
sa adaugi un link catre el la tine in site


in pagina web a site-ului tau.




eCoduri.com - coduri postale, contabile, CAEN sau bancare

Politica de confidentialitate | Termenii si conditii de utilizare




Copyright © Contact (SCRIGROUP Int. 2025 )