![]() |
|
||||||||||||||
EMDOGAIN - UN PRODUS DE
REGENERARE TISULARĂ
În ultimii 25 de ani s-au înregistrat progrese remarcabile în tratamentul parodontopatiilor marginale mai ales în zona regenerarii parodontale si osoase, teorie sustinuta de ipoteza conform careia celulele progenitoare din ligamentele parodontale sunt capabile sa regenereze sistemul ligamentar de sustinere parodontala (Melcher - 1976).
Majoritatea tratamentelor care aveau la baza aceasta ipoteza foloseau membrane-bariera pentru regenerarea tisulara dirijata (guided tissue regeneration - GTR) cu rol de a selecta si spori anumite populatii celulare si de a stimula apozitia coronara de ligamente si de cement pe suprafetele radiculare denudate. Ulterior, utilizarea grefelor os 24524m1214y oase (autogrefe, alogrefe, xenogrefe) si a conditionarii suprafetei radiculare cu acid citric a adus noi evidente histologice în explicarea procesului de regenerare tisulara. Vindecarea plagilor parodontale dupa aceste procedee este de tipul noii insertii si nu prin regenerare parodontala (vezi tabel).
|
|
Definitia histologica |
|
Regenerarea |
Refacerea osului alveolar, a ligamentului parodontal si a cementului pe o suprafata radiculara patologica anterior |
|
Insertia noua |
Legatura tesutului conjunctiv sau epitelial de o suprafata radiculara ce si-a pierdut aparatul initial de sustinere; poate fi adeziune epiteliala si/sau adaptare conjunctivala si include cement nou |
|
Reatasarea/ Reinsertia |
Refacerea legaturii tesutului epitelial si conjuctiv cu suprafata radiculara si osul alveolar, dupa o incizie sau un traumatism |
Tipuri de vindecare ale plagilor parodontale
Au fost create apoi noi tratamente care sa stimuleze interactiunea dintre celule si dintre acestea si matricea extracelulara, interactiuni critice în regenerarea parodontala. Acestea au la baza utilizarea mediatorilor biologici obtinuti din tesuturi embrionare de la porcine din structura matricei smaltului (enamel matrix derivate - EMD) sau pe cale sintetica (factori de crestere si diferentiere recombinati).
Proteinele din
matricea extracelulara a smaltului
S-a demonstrat ca proteinele cu origine în teaca radiculara Hertwig au un rol crucial în formarea cementului radicular acelular din cursul dezvoltarii radacinii dentare. Aceste proteine accelereaza formarea de ligamente parodontale si os alveolar în cursul embriogenezei. De aceea, administrarea de astfel de proteine exogene care se regasesc si în matricea smaltului dentar, ar avea un efect terapeutic regenerativ.
Administrarea acestor EMD (enamel matrix derivate) (continute de EMDOGAIN) rezulta în formarea de:
90% amelogenine
proteine nonamelogenice (tuftelin)
proteine serice diverse
ameloblastina
amelin
Emdogain Gel este un material resorbabil care consta în proteine exogene din matricea smaltului premixate cu solutia vehicol (alginat de propilen glycol) aceasta combinatie asigurând efectul regenerativ.
Este utilizat ca un adjuvant în chirurgia parodontala pentru aplicatii topice pe suprafetele radiculare denudate în tratamentul parodontopatiilor moderate si severe (vezi anexa).
Se comercializeaza în seringi disponibile în 2 variante: 0,3 ml pentru defecte unice si 0,7 ml pentru defecte multiple, fiecare pachet urmând a fi folosit la un singur pacient.
Un dezavantaj al utilizarii Emdogain Gel este consistenta sa semifluida care nu previne înfundarea gingiei în defectul postoperator.
Emdogain
Gel TS este preferabil în defectele
osoase mari unde este necesar suport tisular aditional. Consta în 2
componente:particule de grefa osoasa sintetica (PerioGlas)
Tratamentul cu Emdogain Gel TS ofera un rezultat estetic superior prin reducerea pierderii înaltimii tesuturilor moi parodontale în timpul procesului regenerativ.
PrefGel este un gel conditionant cu pH neutru (EDTA 24% în gel de carboximetil celuloza) care îndeparteaza "smear layer"-ul restant pe suprafata radiculara dupa îndepartarea mecanica a tesutului de granulatie, placii bacteriene si a tartrului dentar, eliminarea acestui "smear layer" asigurând interactiunea si precipitarea EMD pe suprafata radiculara curata. Aceasta interactiune este vitala pentru regenerarea parodontala care include formarea de cement, ligamente parodontale cu fibre de colagen orientate functional si de os alveolar.
Utilizarea PrefGel asigura îndepartarea "smear layer"-ului si expunerea matricei colagenice a dentinei si cementului prin demineralizare selectiva si fara a afecta vitalitatea tesuturilor parodontale înconjuratoare.
Agentii demineralizanti care actioneaza la pH acid (acid citric, acid fosforic) îndeparteaza si ei "smear layer"-ul dar exista riscul ca acestia sa provoace necroza tesuturilor parodontale înconjuratoare si sa denatureze matricea colagenica.
Siguranta si eficacitate
Siguranta utilizarii EMD a fost probata clinic si imunologic. Nu s-au obiectivat reactii imunologice specifice la 4 saptamâni dupa aplicarea EMD si nici cresteri ale nivelului de anticorpi. Lipsa raspunsului imunologic este explicabila prin gradul înalt de asemanare dintre proteinele matricei smaltului de origine porcina si umana.
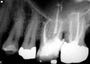
Eficacitatea: documentatia clinica s-a obtinut printr-o serie de studii realizate în SUA si Suedia. Pacientii au fost urmariti timp de 3 ani si au demonstrat îmbunatatiri atât clinice cât si radiologice semnificative la dintii tratati cu EMD în comparatie cu utilizarea chirurgiei parodontale ca unic mijloc terapeutic :
reducerea adâncimii pungilor parodontale
realizarea insertiei epiteliale
cresterea înaltimii si densitatii osului
anestezia ariei de interes prin:
infiltratie
anestezie tronculara periferica
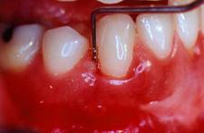
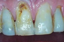
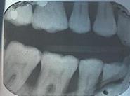
Caz clinic

Indicatii postoperatorii
Simptome
Scheme
Poze
Radiografii
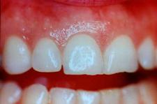
Sanatate parodontala
culoare roz coral
gingia este ferm atasata de dinte
lipsa sângerarii
aspect de "gravura punctata"








Gingivite
sângerare la periaj/sondare
gingie de culoare rosie, tumefiata, neteda, lucioasa, sensibila la palpare
halena
pungi parodontale false






ANUG

elefantiazis gingival
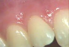
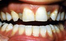
Parodontite usoare
sângerare gingivala mai pronuntata
gingia începe sa se detaseze fata de dinte
halena
pungi parodontale de 3-4 mm
demineralizare osoasa halistereza






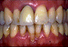
Parodontite moderate
dintii par alungiti datorita retractiei gingivale
pot apare abcese parodontale
halena
mobilitate dentara si diastemizare patologica
pungi parodontale de 4-6 mm
resorbtie osoasa





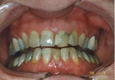
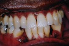
Parodontite severe
mobilitate dentara accentuata pâna la avulsia dintilor
migrari patologice
halena constanta
hiperestezie dentinara datorata denudarii radacinii
pungi parodontale > de 6 mm
resorbtie osoasa accentuata







parodontita juvenila

parodontita localizata








parodontita juvenila


Politica de confidentialitate |