ESOFAG - boli aparute la radiologie
CARDIOSPASMUL
Este o stare de contractura a jonctiunii esogastrice care īntrerupe complet tranzitul. El este produs de un reflex local sau la distanta.
Portiunea terminala a esofagului este īngustata axial cu contururi netede. Esofagul supraiacent este dilatat uneori foarte mult. Umplerea se face de jos īn sus. Exista lichid de staza. Undele peristaltice sunt vii, frecvente dar ineficiente. Staza esofagiana dureaza 3-4 ore. Cardia se destinde la un moment dat producāndu-se evacuarea īntregului continut esofagian (legea totul sau nimic). Aceasta particularitate a evacuarii esofagului diferentiaza cardiospasmul de achalazie.
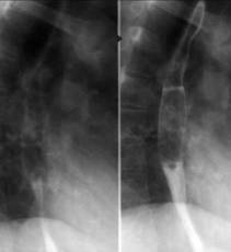
Cardiospasmul
Achalazie
ACHALAZIA
Achalazia este o stare de permanenta contractie a cardiei care produce dilatarea esofagului supraiacent. Stagnarea alimentelor la nivelul esofagului determina un proces inflamator al mucoasei cu lichid de staza. Aceasta poate produce o aspirare traheala a continutului esofagian, ceea ce induce modificari inflamatorii cronice de tip alveolar sau interstitial.
Imagistic la examenul cu bariu cardia apare mult īngustata cu contururi bine delimitate, netede, cu pliuri paralele, centreaza segmentul supraiacent. Esofagul toracic este dilatat īn grade variabile uneori foarte mult si depasind contururile mediastinului.
Concomitent esofagul se alungeste si se cudeaza. Undele peristaltice initial sunt frecvente, profunde, dar ineficiente. Evacuarea este lenta īn cantitate mica.
DIVERTICOLII ESOFAGIENI
Din punct de vedere al mecanismului de producere, distingem diverticoli de pulsiune si de tractiune.



Diverticolul Zenker reprezinta o forma particulara, fiind un diverticol de pulsiune localizat īn apropierea jonctiunii faringoesofagiene la nivelul peretelui posterior.Cānd este plin, comprima si īngusteaza lumenul esofagian.
Diverticolii din 1/3 medie sunt īn majoritatea de tractiune, sunt localizati īn regiunea hilara si se formeaza prin tractiunea esofagului de catre aderentele fibroase ganglionare. Īn apropiere, se pot evidentia ganglioni hilari calcificati.
Diverticolii din 1/3 inferioare sunt īn majoritate de pulsiune.
Imagistic diverticolul apare ca un plus de substanta ce iese din contur si este legat de esofag printr-un pedicol. El are o forma rotund-ovalara cānd mecanismul de formare este prin pulsiune sau triunghiulara cānd se formeaza prin tractiune. Este bine delimitat si are o structura omogena. Īn repletie, bariul poate ramāne īn punga diverticulara cāteva ore si, īmpreuna cu aerul, realizeaza un nivel hidroaeric.
TUMORILE BENIGNE ESOFAGIENE
Polipii esofagieni sunt rari
Leiomioamele, leiomiosarcoamele au origine īn stratul muscular si au o dezvoltare extraluminala predominanta putānd ajunge la dimensiuni apreciabile. Mucoasa esofagiana este intacta. Lumenul esofagian este īngustat.
Imagistic, tumorile benigne produc lacune bine delimitate cu peretele suplu care formeaza un unghi ascutit cu peretele esofagian normal. Pliurile esofagiene sunt prezente, suple si ocolesc masa tumorala. Tumorile dezvoltate īnafara peretelui produc lacune concave care īngusteaza excentric lumenul esofagian. Cele de dimensiuni mari formeaza o masa tumorala care depaseste mediastinul vizualizīndu-se pe radiografiile toracice.
TUMORI MALIGNE - CARCINOAMELE
Carcinoamele vegetante realizeaza o imagine lacunara cu contur neregulat avānd pinteni si semitonuri. Ele sunt situate pe un contur al esofagului. Peretele este rigid, pliurile mucoase sunt īntrerupte.
Cīnd tumora se extinde cuprinzānd īntreaga circumferinta, se produce stenoza
Carcinoamele infiltrative īngroasa peretele esofagian producānd o stenoza axiala, cu contururi netede, regulate rigide, fara unde peristaltice, pliuri infiltrate. Trecerea spre zona normala se face brusc, īn treapta.


ESOFAGITELE CAUSTICE
Ingestia accidentala sau voluntara de
substante caustice produce o inflamatie eroziva a peretelui
esofagian. Īn faza acuta, nu se recomanda explorarea imagistica.
Dupa aproximativ 6 luni, evolutia leziunii este completa,
procesele de fibroza si scleroza determinānd stenoza. Dupa
acest interval de timp, prin examinarea cu bariu se pot face aprecieri asupra
existentei, localizarii si gradului procesului de stenoza
Imagistic se observa o īngustare a lumenului esofagian. Zona de stenoza cuprinde un segment lung, localizat de obicei sub strāmtoarea aortica. De cele mai multe ori este asociata cu stenoza gastrica antrala. Alteori se pot forma stenoze multiple, etajate.
Esofagul supraiacent este dilatat, īn pīlnie.
ULCERUL ESOFAGIAN
Radiologic, se observa un plus de substanta de marime variabila, extins mai mult īn suprafata decāt īn profunzime. Pliurile mucoase sunt īngrosate, convergente. Spasmul produce o īngustare inconstanta a lumenului esofagian. Cu timpul, se produce fibroza parietala aspectul imagistic fiind similar celui descris anterior.
SCLERODERMIA
Īn sclerodermie esofagul este, la īnceput, dilatat moderat, lipsit de unde peristaltice, cardia, atona, permite producerea refluxului gastro -esofagian. Tranzitul esofagian este lent. Desi bariul tapeteaza o perioada lunga de timp peretii esofagieni, el trece fara dificultate prin cardie īn stomac. Īmpreuna cu aerul īnghitit, realizeaza imaginea de esofag de sticla.

|