METODE DE EXPLORARE RADIOIMAGISTICĂ
Dispunem astazi de o mare varietate de metode de explorare radioimagistice pe care este necesar sa le selectam si sa le ierarhizam dupa anumite criterii.
Orice examinare radiologica trebuie precedata de un examen clinic competent care sa stabileasca diagnosticul prezumtiv. Īn functie de boala si de bolnav, radiologul alege metoda de explorare radiologica cea mai potrivita.
Metodele de explorare radiologica sunt curente si speciale, metode simple si metode cu substanta de contrast.
2.1.1 METODE DE EXPLORARE RADIOLOGICĂ FĂRĂ SUBSTANŢĂ DE CONTRAST
RADIOSCOPIA
Radioscopia este metoda radiologica cea mai simpla, rapida si ieftina. Ea consta īn examinarea la ecranul aparatului Roentgen a imaginilor pe care le formeaza fascicolul de raze X dupa ce a traversat o anumita regiune anatomica si se bazeaza pe urmatoarele proprietati ale razelor X: propagare īn linie dreapta, penetrabilitate, absorbtie inegala si fluorescenta.
Radioscopia ne furnizeaza date importante asupra aspectului morfologic (de ansamblu, raporturile, mobilitatea, punctele dureroase ale organelor) si functional, disociaza imaginile.
Radioscopia trebuie efectuata sistematic dupa un anumit plan īncepānd cu examenul de ansamblu, continuānd cu examenul pe regiuni, succesiv si simetric īn diferite incidente. Ea trebuie sa aiba o durata scurta pentru a iradia cāt mai putin bolnavul si examinatorul.
AVANTAJELE RADIOSCOPIEI
- Este o metoda ieftina;
- Permite examinarea aspectului morfologic si functional al organelor;
- Permite disocierea imaginilor prin posibilitatea examinarii bolnavului īn mai multe incidente.
DEZAVANTAJELE RADIOSCOPIEI
- Nu identifica leziunile mici (sub 5-6 mm);
- Este o metoda subiectiva;
- Nu se obtine un document pentru controlul ulterior;
- Iradiaza mult bolnavul si examinatorul.
RADIOSCOPIA CU AMPLIFICATOR DE IMAGINE sI TELEVIZIUNE
Progresele realizate īn domeniul electronicii au dus la cresterea calitatii acestei metode de examinare atāt prin aportul informational cāt si printr-o serie de alte avantaje:
- reduce doza de radiatii cu aproape 50%, asigurānd protectia ideala a bolnavului si medicului
- mareste gradul de luminozitate a ecranului de 3.000 pāna la 6.000 ori fata de radioscopia obisnuita
- realizeaza imagini care pot fi analizate si interpretate la lumina zilei
- evidentiaza leziuni mici
- imaginea poate fi transmisa la distanta de ecran pe aparate de televiziune aflate īn alte īncaperi
- imaginea poate fi īnregistrata pe film radiografic sau banda magnetica cu posibilitatea redarii ei ulterioare
Amplificatorul de imagine este format dintr-un tub electronic care prezinta vid īn interior si este dotat cu doua ecrane: ecranul primar situat la intrarea īn tub - este format dintr-un ecran fluorescent 151j98b care transforma fotonii X īn fotoni luminosi si un strat fotoelectric care transforma fotonii luminosi īn electroni.

Fig. 9 Amplificatorul de imagine
Acestia sunt accelerati īntr-un cāmp electric de 15-25 KV si focalizati spre ecranul secundar care are dimensiuni mai mici, dar un efect luminos cu mult mai mare. Ecranul anodic fosforescent formeaza o imagine mai mica decāt sectiunea regiunii examinate, care apoi este reflectata pe o oglinda de unde va fi transmisa pe ecranul de televiziune, la o camera fotografica (ampliofotografie) sau īnregistrata pe film.
Dezvoltarea electronicii a dus la electromecanizarea manoperelor de examinare cu telecomanda, care permite o examinare la distanta, īn afara īncaperii īn care se afla bolnavul.
RADIOGRAFIA
Radiografia este metoda de explorare radiologica care se bazeaza pe proprietatea razelor X de a impresiona emulsia filmelor radiografice pe care le face capabile dupa developare sa redea imaginea obiectului strabatut de fascicolul de raze X.
IMAGINEA RADIOGRAFICĂ
Emulsia fotografica expusa la fotoni X se impresioneaza si prin developare se īnegreste. Īn acest fel filmul radiografic poate evidentia imaginea latenta continuta de fasicolul de electroni emergent din corpul traversat, īnegrindu-se īn zonele īn care radiatiile ajung fara sa fie absorbite si ramānānd mai transparenta īn acele parti īn care se proiecteaza formatii care au absorbit īn īntregime sau īn masura mai mare fotonii incidenti. Deci emulsia fotografica se impresioneaza si prin developare devine cu atāt mai īntunecata cu cāt sunt mai radiotransparente formatiile materiale traversate de fascicolul de radiatii.
Imaginea radiografica este negativul imaginii radioscopice deoarece elementele opace pentru razele X apar luminoase (albe) pe radiografii īn timp ce elementele transparente dau o imagine īntunecata. Astfel la nivelul toracelui plamānii datorita continutului lor aeric retin īntr-o masura mica radiatiile - deoarece aerul si gazele au un coeficient de atenuare redus, datorita densitatii lor mici vor apare pe radiografie ca imagini mai īntunecate separate īntre ele de imaginea alba radioopaca a opacitatii mediastinale.
Pentru organele abdominale contrastul este mai putin evident: sunt vizibile imaginile ficatului, a rinichilor si a splinei, datorita īn special relativei radiotransparente a unui strat subtire adipos care īnconjoara aceste viscere (tesutul adipos prezinta un coeficient de atenuare inferior altor parti moi).
Ansele intestinale si stomacul nu sunt vizibile daca sunt goale; daca ele contin o cantitate oarecare de gaz capata o radiotransparenta relativa, absorbind īntr-o masura mai mica fotonii X si devenind vizibile segmente mai mult sau mai putin īntinse ale mulajului cavitatilor lor.
Pentru a face vizibile radiologic, indirect, cavitatile naturale ale organismului se poate recurge la umplerea acestora cu substante cu un numar atomic mai mare care astfel sunt radioopace, acestea constituind asa-zisele substante de contrast artificiale radioopace. De asemenea, se pot utiliza si substante de contrast radiotransparente, umplānd aceleasi cavitati reale sau virtuale cu aer sau cu alte gaze.
Avantajele radiografiei: este o metoda obiectiva, reprezinta un document care sa se poata compara cu alte imagini, poate pune īn evidenta leziunile mici chiar de cātiva milimetri, iradierea bolnavului este mai mica.
Dezavantaje: este mai costisitoare decāt radioscopia, necesita numeroase filme pentru a putea urmari functia unor organe.
FILMUL RADIOGRAFIC
Filmul radiografic este alcatuit dintr-un suport central de celuloza acetil acetata, de 0,15-0,25 mm sau dintr-un poliester. De o parte si de alta a acestui strat urmeza: un strat adeziv, emulsie fotosensibila (formata din bromura de argint īnglobata īn gelatina), un strat protector.
Filmele radiografice au diferite dimensiuni: 13/18, 18/24, 24/30, 30/40, 35/35 si 15/40, iar pentru radiografiile dentare 3/4 cm. Ele sunt pastrate īn cutii bine īnchise, ferite de actiunea luminii.
CASETELE
Pentru efectuarea radiografiilor se utilizeaza casetele metalice care confera filmului protectia īmpotriva luminii si īl mentine īntr-un singur plan.
Caseta contine doua folii sau ecrane īntaritoare impregnate cu saruri fosforescente (Wolframat de Calciu, Sulfura de Yitrium sau Titan) cu pamānturi rare (Gadolinium) care au proprietatea de a emite lumina si dupa ce actiunea razelor X a īncetat impresionānd filmul radiografic pe fata corespunzatoare.
CAMERA OBSCURĂ
Dupa expunerea la raze X a filmului radiografic acesta este prelucrat la lumina rosie sau verde filtrata. Se scoate din caseta, se fixeaza pe o rama, apoi se introduce succesiv īn tancurile de developare. Revelatorul contine substante reducatoare metol si hidrochinona care descompun sarurile de argint impresionate de razele X īn granule de argint metalic, negre. Sarurile de argint nereduse sunt īndepartate de hiposulfitul de sodiu continut īn fixator. Īn final filmul este bine spalat īntr-un bazin cu apa curenta si se usuca natural sau īn dulapuri speciale.
Developarea filmului poate fi facuta si cu ajutorul aparatelor automate īntr-un timp foarte scurt (1-3 minute) la lumina zilei.Astazi exista aparate cu magazii de clisee, transport mecanic, expunere automata, developare automata, cu laser, etc.
Īn continuare filmul este introdus īn camera pentru transformarea si ameliorarea imaginilor:
- copii de pe radiografii cu corectarea contrastului
- transformarea (substractia) electronica sau fotografica cu imagini alb-negru sau color
- īnregistrare pe CD, banda optica, etc
Ameliorarea calitatii imaginii se poate efectua prin radiografia marita direct sau prin procedee fotografice sau citirea cu lupa sau la video-viewer.
Dispozitivele electronice sau optice care amelioreaza calitatea imaginii (Logetron) efectueaza sustractia structurii de cercetat, armonizeaza si permit densimetria diferitelor elemente de pe film.
Sustractia - operatia prin care se īntaresc structurile de cercetat. Sustractia digitala din memoria electronica a computerului reprezinta tratarea imaginii prin sustractie punct cu punct a diferitelor elemente ale imaginii.
Armonizarea - accentueaza detaliile si scade contrastul de fond prin atenuarea structurilor grosolane.
Densimetria - efectuata cu celule fotoelectrice da relatii asupra gradului de mineralizare a osului, raportul sānge/aer īn tesutul pulmonar.
Radiografia īn culori - are ca scop obtinerea de imagini mai frumoase si mai bogate īn detalii de structura.
TELERADIOGRAFIA
O radiografie obisnuita se face de la distanta de 80 cm - 1 m. Distanta focar - film de 2 m este considerata distanta la care razele X sunt paralele, obtināndu-se o imagine aproape reala ca forma, dimensiuni si detalii structurale.
RADIOGRAFIA CU RAZE DURE SAU CU SUPRAVOLTAJ
Acest tip de radiografie se efectueaza cu 110 -150 KV si este utilizata pentru studiul structurii unor imagini complexe. Astfel putem identifica printr-o opacitate lichidiana un proces patologic al parenchimului pulmonar (de exemplu: putem identifica o tumora de parenchim mascata pe radiografia standard de o pleurezie), putem identifica cu usurinta vasele pulmonare, brosiile, ganglionii.
RADIOGRAFIA CU DUBLĂ EXPUNERE
Consta īn efectuarea a doua expuneri succesive pe acelasi film. Este utilizata pentru studiul mobilitatii coastelor si diafragmului prin aprecierea gradului lor de deplasare īn inspir si expir.
DIGRAFIA
Este o varianta a radiografiei cu dubla expunere. Digrafia necesita utilizarea unei grile de plumb asezata longitudinal care se interpune īntre bolnav si film. Se efectueaza o prima expunere īn inspir, apoi se deplaseaza grila lateral, acoperindu-se fāsiile expuse si apoi se efectueaza o a doua expunere īn expir profund.
POLIRADIOGRAFIA
Poliradiografia este utilizata pentru aprecierea miscarilor unui organ (de exemplu: a peristaltismului gastric) si consta īn efectuarea mai multor expuneri pe acelasi film.
SERIOGRAFIA
Īn situatia īn care trebuie sa se studieze diversele aspecte ale unui organ īn miscare sau diferitele faze ale aceluiasi fenomen care se succed īn mod rapid, exista dispozitive speciale numite seriografe care permit sa se efectueze pe aceeasi pelicula doua sau mai multe radiografii la intervale de timp mai mult sau mai putin scurte.
Seriografia este utilizata īn mod curent pentru examenul tractului gastro-intestinal si efectuarea acestor seriografii este de regula īnsotita de observarea radioscopica care alege momentul cel mai potrivit pentru expunerea radiografica, realizānd asa-zisele radiografii tintite.
Pentru alte examinari care privesc studiul unor fenomene care se produc īn intervale de timp foarte scurte, cum ar fi de exemplu opacifierea unui teritoriu arterial sau a cavitatilor cardiace prin injectarea unei substante de contrast opaca īn fluxul sanguin circulant, se utilizeaza seriografe automate care permit obtinerea de multiple radiografii īn serie cu intervale scurte de timp ce pot ajunge pāna la 6 imagini/secunda.
RADIOFOTOGRAFIA MEDICALĂ
Radiofotografia medicala este o metoda de investigatie radiologica care consta īn fotografierea imaginii obtinuta la ecranul de radioscopie, pe filme de 7/7 cm sau 10/10 cm.
Aparatul pentru radiofotografie prezinta montat īn fata ecranului o piramida īn vārful careia se adapteaza un aparat fotografic (camera Odelka bazata pe principiul oglinzilor concave).
Filmele obtinute sunt examinate cu lupa sau la un aparat de proiectie.
Metoda este foarte utila pentru depistarea afectiunilor toracice si cardiace cu extensie īn mase: tbc, silicoza, cancer bronhopulmonar, malformatii cardiace, valvulopatii, etc.
AMPLIFOTOGRAFIA
Consta īn efectuarea de fotografii a imaginii radiologice la amplificatorul de imagine.
STEREORADIOGRAFIA
Stereoradiografia este o metoda radiologica care permite obtinerea de imagini īn relief. Tehnica consta īn efectuarea a doua radiografii succesive īn aceeasi incidenta deplasānd tubul transversal 65 mm (distanta interpupilara). Radiografiile sunt examinate simultan cu un aparat optic special.
TOMOGRAFIA
TOMOGRAFIA LINIARĂ
Tomografia, stratigrafia sau planigrafia este o metoda prin care se realizeaza reprezentarea radiografica a unui singur strat din grosimea corpului examinat, pe cāt posibil degajat de suprapunerea imaginilor straturilor suprapuse din alte planuri.
Metoda se bazeaza pe utilizarea unui dispozitiv care permite imprimarea unei miscari a tubului radiogen si a filmului radiografic īn timpul expunerii, corpul de radiografiat ramānānd nemiscat. Miscarea tubului se efectueaza pe un arc de cerc ( baleaj de 20, 40, 60 grade) al carui centru de rotatie este situat la nivelul stratului care urmeaza sa fie tomografiat. Prin aceasta metoda, straturile care sunt situate īn planul axei de miscare se proiecteaza īn timpul expunerii īn acelasi punct pe pelicula radiografica, pe cānd imaginile straturilor situate deasupra si dedesubtul planului interesat se proiecteaza īn permanenta īn puncte diferite, ceea ce face ca imaginile lor sa se stearga producānd o voalare difuza mai mult sau mai putin estompata. Aplicatiile practice ale tomografiei sunt numeroase. Astfel, la torace, eventualele cavitati parenchimatoase din masa unei condensari care nu sunt vizibile deoarece sunt acoperite de opacitatea situata anterior si posterior constituie cea mai larga utilizare. Alte utilizari ale tomografiei privesc studiul regiunii petromastoidiene pentru urechea mijlocie si interna, a laringelui, unele examinari ale aparatului urinar precum si īn alte cazuri de patologie osoasa.
Tomografia poate fi efectuata cu film unic īn caseta simpla sau poate fi simultana cu mai multe filme situate paralel la anumite distante de 0,5 -1 cm, corespunzatoare straturilor de tesuturi care sunt radiografiate cu o singura expunere.
Tomografia poate fi efectuata īn plan frontal, sagital.
Cu toate ca tomografia conventionala constituie īnca un examen complementar valoros al investigatiei radiologice īn diferite conditii patologice, ea este īn prezent depasita de tomografia axiala computerizata care va fi discutata īn continuare.
ZONOGRAFIA
Este o tomografie efectuata cu un unghi de baleaj mic 3-6 grade obtināndu-se īn acest fel imaginea unui strat de cātiva cm grosime.
TOMOGRAFIA AXIALĂ COMPUTERIZATĂ ( T.A.C.)
Tomografia axiala computerizata ( T.A.C.) denumita īn terminologia anglo-saxona Computed Tomography (C.T. scan) si īn literatura franceza Tomodensitometrie, este o metoda de investigatie care desi se bazeaza pe utilizarea razelor X nu produce o imagine directa prin fascicolul emergent ci prin intermediul unor foarte numeroase masuratori dozimetrice cu prelucrarea matematica a datelor culese. Ea construieste prin calcul imaginea radiologica a unui strat traversal al corpului examinat.
Metoda a fost realizata īn anul 1973 de inginerul englez Gotfray Hounsfield care a prezentat primele sale rezultate obtinute prin aceasta metoda a examenului craniului si a creierului. Ulterior tehnologia aparaturii a progresat īn mod rapid si a permis explorarea īntregului corp fiind prezentat īntr-o continua evolutie.
Grosimea unui strat examinat prin aceasta metoda poate varia īntre 1-10 mm īn raport cu aparatura utilizata si cu tehnica aleasa. Principiul acestei metode este urmatorul:

Fig 10 Principiul tomografiei computerizate
Din fascicolul de fotoni X emis de un tub radiogen este utilizat numai un mic manunchi de radiatii centrale care traversānd perpendicular axa longitudinala a corpului examinat ajunge la un detector adica un dozimetru care masoara doza emergenta si o transforma īntr-o valoare numerica proportionala cu coeficientul de atenuare medie a tesuturilor explorate. Astfel computerul memoreaza un numar mare de valori, divizeaza stratul explorat īn numeroase suprafete cu sectiune patrata. Pentru fiecare din microvolumele realizate de aceste masuratori computerul este capabil sa aprecieze coeficientul de atenuare si sa determine o valoare numerica de radioopacitate sau radiotransparenta.
Imaginea reconstruita geometric de calculator este transmisa pe un monitor si pe o memorie cu disc dau banda magnetica. Astfel examinatorul are posibilitatea sa studieze pe un monitor de televiziune imaginea construita de calculator care este constituita din puncte mai īntunecate la nivelul structurilor mai radiotransparente si din puncte mai luminoase la nivelul structurilor mai radioopace.
T.A.C.-ul īn comparatie cu radiografia traditionala permite evidentierea unor structuri a caror diferenta de radioopacitate fata de tesuturile īnnvecinate este atāt de redusa īncāt ea nu poate sa fie evidentiata prin examene radiologice traditionale. De fapt acesta este avantajul care a revolutionat īn ultimii ani multe capitole ale radiodiagnosticului conventional facānd īn o serie de cazuri inutila utilizarea substantelor de contrast artificiale.
PANTOMOGRAFIA
Pantomografia este o metoda de explorare radiologica prin care se obtine o imagine panoramica a īntregii danturi.
Fascicolul de raze X este selectat printr-o fanta si orientat spre arcadele dentare strabatānd o alta fanta si impresionānd filmul radiografic. Bolnavul si filmul se rotesc īn sens invers. Iradierea este minima numai la nivelul arcadelor dentare.
ROENTGENCINEMATOGRAFIA
Roentgencinematografia se realizeaza filmānd ecranul īntaritorului de imagine. Aceasta metoda permite obtinerea de secvente cinematografice cu o frecventa pāna la 100 fotograme/secunda care este utilizata de obicei īn radiologia cardiologica mai ales pentru studiul arterelor coronare sau ale cavitatilor cardiace.
Īnregistrarea pe banda magnetica a imaginilor radioscopice transmise īn circuitul de televiziune īnchisa simplifica procedeul, deoarece exclude developarea filmului facānd deci posibila reproducerea imediata a īnregistrarii; totusi imaginile īnregistrate prin aceasta metoda sunt de o calitate inferioara celor obtinute prin roentgencinematografie, ele fiind mai mult īn examenul radiologic al tractului gastro-intestinal.
XERORADIOGRAFIA
Xeroradiografia este o metoda de investigatie care se bazeaza pe proprietatea razelor X de a produce variatii de rezistenta electrica a unor cristale semiconductoare. Imaginea ei nu necesita reproducerea fotografica, ea se obtine prin prelucrare xerox. Se utilizeaza o placa de aluminiu acoperita de un strat de seleniu (reprezinta suportul si rezervorul de īncarcare electrica pozitiva).
Regiunea de studiat strabatuta de fascicolul de raze X realizeaza pe placa de seleniu o imagine latenta care devine evidenta dupa aplicarea unei pudre de transfer formata din particule īncarcate electronegativ care se depun īn functie de sarcina electrica a placii. Aceasta imagine este apoi transferata pe o foaie de hārtie.
TERMOGRAFIA MEDICALĂ
La nivelul pielii se proiecteaza radiatiile termice infrarosii emise de tesuturi si organe. Ele pot fi captate printr-un sistem optic, transformate īn semnale elecrice si amplificate electronic. Īn continuare se realizeaza transferul semnalului electric īn lumina care se īnregistreaza pe ecranul fluoroscopic sau pe un film polaroid.
Portiunile calde produc imagini albe iar cele reci, negre.
Termografia este foarte utila īn dermatologie, vasculopatii, exploararea tumorilor maligne, procese reumatismale.
ULTRASONOGRAFIA
Ultrasonografia este o metoda importanta de investigatie introdusa relativ recent īn practica medicala. Se bazeaza pe utilizarea ultrasunetelor care sunt reflectate sub forma de ecouri īn functie de proprietatile mecanice ale tesuturilor solide si lichide, proportional cu rezintenta la patrundere (impedanta a fiecarui organ).
Ultrasunetele sunt folosite īn doua scopuri importante: pentru realizarea de imagini sectionale si pentru masurarea vitezelor de curgere a sāngelui.
Tehnica imagistica ultrasonogarfica este numita ultrasonografie. Cel mai uzual tip de tehnica de masurare a vitezei de curgere este numit Doppler ultrasonic,iar metoda sonografie Doppler.
Ultrasunetele sunt unde mecanice, care au la baza oscilatiile particulelor materiei. De aceea ele nu exita īn vid si au o lungime de unda peste 18000 Hz. Cele mai utilizate game de frecvente se situeaza īntre 2-10MHz (1MHz = 1milion Hz).
Formarea ultrasunetelor - se bazeaza pe efectul piezoelectric: daca la extremitatile unui cristal de cuart se aplica o diferenta de potential electric acesta se deformeaza. Vibratiile mecanice ale cristalului de cuart, la rāndul lor produc diferente de potential.
Ultrasunetele se formeaza si sunt receptionate la nivelul transducerului. Initial se utiliza cristalul de cuart. Astazi īn locul cristalului de cuart sunt utlizate ceramici sintetice (zirconat de Pb, titanat de Ba) sau mase plastice (florura de poliviniliden) care produc la o singura stimulare numai 2-3 oscilatii, ceea ce permite o rezolutie mai buna a imaginii.
Transducerul are doua functii: de emitator de ultrasunete care sunt pulsatorii. Un puls are durata de o μ/s si este transmis de 1000ori/s. Īn tipul ramas 999/1000 transducerul actioneaza ca receptor.
Transducerul poate fi: liniar sau sectorial (mecanic, convex).
Īn functie de frecventa distingem transducer de 2, 3, 5, 6, 7, 10, 30MHz.
Usurinta cu care se propaga ultrasunetele printr-un tesut depinde de masa particulei (care determina densitatea tesutului) si de fortele elastice care leaga particulele īntre ele. Viteza de propagare a ultrasunetelor prin tesuturi este determinata de elasticitatea tesutului. Densitatea si elasticitatea unui tesut detemina independenta acustica (rezistenta) Z=pxc, p=densitate, c=viteza de propagare a sunetului prin tesut. Cu cāt diferenta de impedanta acustica este mai mare cu atāt mai puternica va fi reflectarea. Īntre gaz si un tesut moale exista o diferenta de impedanta acustica foarte mare. De aceea la aplicare transducerului pe piele este necesara utilizarea unui gel pentru a elimina aerul care ar fi oprit propagarea ultrasunetlor. La fel īntre os si tesuturi moi impedanta acustica este mare, oasele restrictionānd utilizarea ultrasunetelor.
Ultrasunetele emise se propaga īn mediul biologic. Īn corpul uman propagarea ultrasunetelor se face liniar si sufera fenomene de reflexie, refractie, dispersie si difractie.
De aemenea energia sonora este preluata de particulele din mediul de propagere si reflectie-difuzie, astfel energia fascicolului incident se pierde treptat prin absorbtie. Suma pierderilor de energie prin absorbtie, difuzie determina atenuarea.
Īntālnind īn calea lor diferite interfete, ultrasunetele se reflecta sub forma de ecouri. Acestea sunt receptionate de cristale, determina vibratii ale acestuia si produc diferente de potential electric.
Informatia ecografica poate fi reprezentata īn mai multe moduri:
Fiecare ecou care se īntoarce la transductor genereaza un semnal electric a cariu putere (amplitudine) este determinata de puterea ecoului. Transformarea semnalului electric īntr-o imagine ce apare pe un monitor se bazeaza pe viteza relativ constanta de propagare a ultrasunetelor prin tesuturi. Prin masurarea timpului de la transmisia ultrasonica si pāna la receptia ecoului poate fi estimata adāncimea pāna la care au patruns ultrasunetele. Pe parcursul perioadei de "ascultare" care urmeza emisiei fiecarui puls ultrasonic, se īnregistreaza ecouri provenite de la adāncimi diferite. Datorita atenuarii ultrasunetelor īn tesuturi, ecourile provenite de la structurile cele mai īndepartate vor fi cele mai slabe. Acest lucru este compensat prin amplificarea semnalelor electrice generate de ecourile īntārziate. Cu cāt ecoul ajunge mai tārziu cu atāt este mai mare amplificarea aplicata cu ajutorul asa numitor gainere, compensarea cāstigului de timp sau controlul cāstigului de timp (TGC - time gain control).
Cea mai simpla afisare a ecourilor īnregistrate este asa numita afisare īn mod A (modul amplitudine). Īn acest mod, ecourile provenite de la diferite adāncimi sunt prezentate ca vārfuri pe o linie orizontala care indica adāncimea (sau timpul). Primul ecou īnregistrat dupa transmiterea pulsului ultrasonic este cel din stānga iar ecourile īnregistrate mai tārziu se gasesc īn partea dreapta a liniei. Puterea ecoului determina amplitudinea sau īnaltimea fiecarui vārf si de aici modul A. Modul A permite doar afisarea unidimensionala a modificarilor de impedanta acustica dealungul fascicolului de ultrasunete si este foarte putin utilizat.
Modului A i se pot atasa si o componenta dinamica utilizānd un mod alternativ, modul M (M - miscare) sau modul TM (miscare īn timp). Īn cazul acesta axa adāncimii este orientata vertical pe monitor. Divresele ecouri nu sunt prezentate ca variatii de-a lungul liniei ci mai repede ca puncte care au stralucire (luminozitate) īn functie de puterea ecoului. Aceste puncte stralucitoare se deplaseaza pe ecran producānd curbe luminoase care indica schimbarea īn timp a pozitiei structurilor reflectate. Curbele de pe monitor sunt actualizate de fiecare data cānd punctele ating extremitatea din dreapta ale acestuia. Curbele din modul M ofera informatii foarte detaliate despre comportamentul īn miscare a structurilor reflectante de-a lungul facicolului de ultrasunete, iar metoda a fost īn mod deosebit folosita īn cardiologie pentru a arata modul de miscare ale valvelor cardiace.
Īn modul B (stralucire) ecourile sunt prezentate pe un ecran ca puncte luminoase, stralucirea fiecariu punct fiind determinata de puterea ecoului. Modul B ofera imagini bidimensionale īn sectiune, ale anatomiei omului.
Īn zilele de īnceput ale ultrasonografiei piata era dominata de scannere care produceau imagini statice. Astazi, acstea au fost īnlociute cu sannere īn timp real. Traductorii utilizati pentru aceasta din urma au īn componenta elementele formate din cristale de dimensiuni mici, aranjate fata īn fata. Folosind diverse tehnici, un fascicol īngust de ultrasunete liniar sau sectorial, scaneaza sau baleaza corpul pacientului, iar pentru fiecare pozitie (linie de scanare) sunt īnregistrate ecourile produse de fascicol. O pozitie a liniei de scanare poate corespunde pozitiei unui singur element format din cristale. Ecourile provenite de la toate liniile de scanare creaza o imagine de forma dreptunghiulara sau sub forma de sector. Imaginea este dinamica si poate arata fenomene cum sunt miscarile respiratorii, pulsatiile vaselor, contractiile cardiace si miscarile fetale. Transductorul este conectat la aparatul de ultrasunete printr-un cablu flexibil care permite pozitionarea lui īn orice pozitie.
Scannerele moderne utilizeaza tehnici digitale. Semnalele electrice analogice care sunt generate īn cristalul transductorului de catre ecouri sunt digitalizate, fiind creata o matrice digitala a imaginii pe baza puterii semnalului. La imaginea finala prezentata pe monitor, pixelii primesc tonuri de gri īn functie de numarul corespunzator īn matricea digitala.
Sistemul Doppler
Masurarea vitezei de curgere a sāngelui folosind ultrasunetele se bazeaza pe fenomenul general prin care frecventa unei unde este dependenta de viteza relativa dintre emitatorul si receptorul acesteia. Acesta este efectul Doppler care este aplicabil la orice fel de unda, atāt electromagnetica (lumina) cāt si mecanica (ultrasunete).
La sonografia Doppler a vaselor sangvine, īn corp este transmis un fascicol īngust de ultrasunete ce provine dintr-un traductor Doppler. Daca fascicolul de ultrasunete intersecteaza un vas de sānge sau cordul, hematiile vor reflecta o mica parte din ultrasunete. Daca hematiile se deplaseaza spre traductorul Doppler, ecourile reflectate vor avea o frcventa mai īnalta decāt cele emise de traductor, iar atunci cānd se deplaseaza īn sens contrar, frecventa va fi mai mica decāt cea a ultrasunetelor emise.
Īn principiu exista doua modalitati de transmitere si receptie a ultrasunetelor īn aplicatiile Doppler: modul unda continua (CW) si modul Doppler pulsator (PD). Īn cazul modului unda continua, traductorul Doppler are duoa cristale separate, un cristal transmite continuu iar celalalt receptioneaza continuu ecourile. Acest concept permite masurarea vitezelor foarte mari. Vitezele sunt masurate simultan pentru o gama larga de adāncimi si nu este posibila masurarea selectiva a vitezelor de la o anumita adāncime prestabilita. Īn cazul modului Doppler pulsator unul si acelasi cristal realizeaza atāt transmisia cāt si receptia ultrasunetelor. Ultrasunetele sunt transmise sub forma de pulsuri, ecourile fiind īnregistrate īn timpul de asteptare dintre doua pulsuri succesive. Intervalul de timp dintre transmisia si receptia ecoului determina adāncimea la care sunt masurate vitezele de curgere ale unor volume foarte mici (volum esantion) de-a lungul fascicolului de ultrasunete dat. Vitezele maxime ce pot fi masurate sunt considerabil mai mici decāt cele ce pot fi masurate īn modul unda continua.
Cele mai uzuale aparate Doppler utilizate sunt asa numitele scannere duplex care combina ultrasonografia īn timp real si sonografia Doppler pulsatoare. La scanarea duplex directia fascicolului Doppler este suprapusa pe imaginea īn mod B iar dimensiunea si pozitia volumului esantion de-a lungul fascicolului poate fi selectata cu ajutorul unor markeri electronici. Atunci cānd un cursor electronic este pozitionat manual, paralel cu directia de curgere a sāngelui se realizeaza masurarea automata a unghiului Doppler si se afiseaza viteza reala de curgere. Daca se masoara aria sectiunii poate fi calculata si debitul sāngelui.
O dezvoltare ulterioara a scanarii duplex este Doppler-ul color. Pe o imagine īn timp real, īn mod B, se suprapun culori pentru a indica prezenta unui curent sangvin. Ţesuturile stationare sunt afisate īn tonuri de gri iar vasele īn culori (tonuri de albastru, rosu, galben, verde) īn functie de viteza medie relativa si directia de curgere. Imaginile codificate color ofera o imagine de ansamblu foarte buna asupra diferitelor vase si directii de curgere existente dar informatiile cantitative oferite cu ajutorul acestei metode sunt mai putin precise decāt din cele doua metode prezentate anterior. Astfel Dopplerul color este īntotdeauna combinat cu ecografia Doppler pulsatoare iar imaginile color servesc ca un foarte bun ghid pentru plasarea esantionului de volum pentru metoda Doppler pulsatoare.
IMAGISTICA PRIN REZONANŢĂ MAGNETICĂ NUCLEARĂ
IRM constituie o metoda de investigatie care se bazeaza pe fenomenul fizic al rotatiei protonilor de H īn jurul axului propriu care se numeste spin.
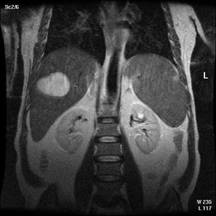
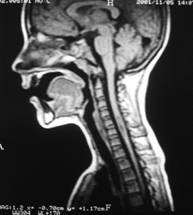
Īn stare de repaus protonii de H din corpul omenesc sunt orientati anarhic. Daca īi supunem unui cāmp magnetic static intens care actioneaza din afara corpului la o temperatura joasa, ei se aliniaza cu axul lor paralel sau antiparalel cu directia cāmpului magnetic. Sub actiunea unui alt cāmp exterior protonii īsi pierd orientarea si alinierea revenind la pozitia lor initiala de echilibru, trec printr-o faza de tangaj care consta īntr-o miscare de rotatie analoga miscarii unui titirez īn timpul careia emit un semnal de rezonanta receptionat de bobinele detectoare. Amplitudinea semnalului receptionat este proportionala cu numarul de nuclei din proba. Protonii de H care se vad mai bine sunt cei legati de apa si grasimi. Aceste doua medii dense īn protoni apar albe, osul (15 % apa) apare negru ca si plamānul. Fluidele īn miscare avānd protonii īn miscare au semnale foarte slabe.(jos-imagini rezonanta magnetica-abdomen, respectiv coloana cervicala)


Semnalele si imaginea sunt receptionate de un oscilograf catodic. Programarea datelor de tratament al informatiilor īn computer se face ca si la CT.
Alte informatii sunt obtinute prin determinarea timpului de relaxare care caracterizeaza transferul de energie īntre nuclei si mediul īnconjurator si timpul de relaxare spin-spin care caracterizeaza schimbul de energie īntre nuclei.
TOMOGRAFIA PRIN EMISIE DE POZITRONI
Unele componente ale materiei vii O, C, N, prin bombardarea cu particole accelerate de ciclotron pot fi aduse īn starea de izotopi radioactivi. Iau nastere astfel izotopi radioactivi artificiali care au proprietatea de a emite pozitroni o perioada foarte scurta de timp. Īntālnind electroni ei produc 2 radiatii electromagnetice ( 2 fotoni ) care se propaga liniar īn directii opuse. Un sistem de detectori, cāte doi la fiecare capat de ax se activeaza cānd sunt loviti simultan de fotoni si īnregistreza radiatii. Un ordinator īnregistreaza numarul de atomi emitatori, densitatea lor, situatia si durata emisiei. Datele obtinute apar pe un ecran si sunt īnregistrate pe computer.
EXPLORĂRILE DIGITALE
Achizitionarea imaginilor digitale consta īn convertirea imaginii īn date numerice, numit sistem analog digital si readucerea pe ecran printr-un convertitor digital analog a imaginii digitale memorate pe calculator.
Rezolutia imaginii este limitata la un numar de puncte, date orizontale si verticale. Cu cāt sunt mai multe puncte, imaginea este mai clara.
Imaginea este definita printr-un numar de nuante de gri.
Angiografia digitala se bazeaza pe fenomenul de substractie numerica. Ea permite injectarea unei cantitati mici de substanta de contrast īn vena, fara a fi necesare injectarile prin sonde intraabdominale.
Īn ultimul timp asistam la o dezvoltare vertiginoasa a aparaturii medicale creatoare de imagini, o adevarata imagotehnologie pentru care termenul cel mai potrivit pare a fi acela de imagistica medicala.
Imagistica medicala cuprinde:
a) imagistica radiologica care utilizeaza raze X, Gama, tomografia computerizata, tomografia cu emisie de pozitroni, medicina nucleara, radioscopia televizata, radiografia digitala, angiografia cu substractia digitala, RMN.
b) imagistica fara radiatii ionizante, endoscopia, camerele video atasate la microscopie, termografie, etc.
Īncepānd din 1976 a fost introdusa o subspecialitate a radiologiei - radiologia interventionala care utilizeaza si perfectioneaza diferite tehnici de diagnostic si terapie: colangiografia transparieto-hepatica ERCP - dilatarile arteriale transluminale, extractii de calculi, introducere de stenturi, etc.
Aparitia unor asmenea tehnici īn imagistica medicala pune problema stabilirii unui algoritm īn utilizarea lor, pe care īl face radiologul īn functie de boala si bolnav.
2.1.2 METODE DE EXPLORARE RADIOLOGICĂ CU SUBSTANŢE DE CONTRAST
Radioscopia, radiografia si tomografia axiala computerizata permit evidentierea unor organe si formatii patologice a caror grosime si coeficient de atenuare realizeaza un contrast natural cu tesuturile din jur. Acest contrast poate fi marit sau chiar creat cānd el nu exista prin intermediul asa-ziselor substante de contrast artificiale. Acestea sunt constituite din elemente sau compusi cu o greutate specifica diferita a tesuturilor examinate si care intrānd īn spatii virtuale sau īn cavitati naturale realizeaza un mulaj si produc imagini de o opacitate corespunzatoare īn cazul substantelor de contrast radioopace sau de o transparenta majora īn cazul substantelor de contrast radiotransparente sau gazoase.
Contrastul prin opacitate poate fi marit chiar si īn unele organe sau tesuturi prin injectarea substantei de contrast īn circulatie. Prin aceasta metoda se pot evidentia īn primul rānd ramificatiile vasculare opacifiate si apoi organele sau tesuturile prin distributia sāngelui opacifiat īn teritoriul arteriolo-capilar al acestor structuri.
Substantele de contrast desi nu sunt produse medicamentoase īn sensul strict al cuvāntului deoarece nu produc nici un efect terapeutic, ele trebuie sa fie cunoascute de toti medicii practicieni pentru ca īn recomandarea utilizarii lor īn vederea efectuarii unor examene radiologice cu substanta de contrast sa fie cunoscute riscurile la care poate fi expus bolnavul si sa fie apreciat beneficiul ce poate fi obtinut īn urma acestor examinari proportional cu riscul care-l comporta.
ISTORIC
Primele īncercari de utilizare a unor substante de contrast artificiale au īnceput īnca din secolul trecut dar numai īn 1910 a fost propusa utilizarea sulfatului de bariu pentru examenul radiologic al aparatului digestiv. Īn 1912 Sicard si Forestier introduc utilizarea uleiului iodat pentru explorarea canalului rahidian. Aceasta substanta a fost utilizata apoi īn opacifierea arborelui bronsic (bronhografia), a traiectelor fistuloase (fistulografia), a cavitatii uterine (histerosalpingografia) si īn alte scopuri. Īn prezent substantele de contrast iodate liposolubile sunt utilizate īn special pentru realizarea limfografiilor si a sialografiilor.
Īn ce priveste vizualizarea cailor excretorii urinare ea īncepe din 1906 cānd Voelber si Von Lichtenberg au obtinut opacifierea retrograda a ureterului si cavitatilor pieloureterale cu suspensii coloidale de metale grele; urografia obtinuta prin injectarea intravenoasa a unor substante care sunt eliminate prin rinichi si care opacifiaza īn acest fel urina, vizualizānd astfel caile excretorii, a fost introdusa īn practica īn 1928 de Binz si Rath. Un proces remarcabil īn aceasta metoda a fost obtinuta īn 1953-1954 prin realizarea unor substante de contrast hidrosolubile tri-iodate care prezinta un contrast superior si o tolerabilitate mai buna. Aceste substante servesc si la opacifierea cavitatilor cardiace si a sistemului vascular periferic.
Opacifierea cailor biliare se obtine prin utilizarea unor compusi care sunt eliminati de catre celula hepatica odata cu bila produsa de aceasta. Dupa utilizarea unei serii de asemenea substante a caror eficienta era moderata s-a obtinut un progres decisiv īn acest domeniu abia īn anul 1952 odata cu preparatele unor substante de contrast tri-iodate, administrabile pe cale orala fara toxicitate, īn dozele necesare si cu un contrast ridicat. Un an mai tārziu a fost realizata si o substanta de contrast injectabila care secretata odata cu bila dupa 15-30 minute de la injectare opacifiaza suficient, pentru a fi evidentiate canalele biliare si coledocul, pentru ca dupa o ora sa fie evidentiata si vezicula biliara.
Recent au fost introduse substante de contrast nonionice care sunt mai bine tolerate de organism, avānd o osmolaritate mai redusa (Ultravist, Iopamiro, Omnipaq, etc.)
Din punct de vedere al comportamentului distingem substante de contrast pozitive si substante de contrast negative.
Substantele de contrast radiotransparente sunt constituite din gaze (aer, oxigen, bioxid de carbon, protoxid de azot) si ele sunt utilizate pentru realizarea unui contrast negativ artificial īn organele cavitare (stomac, colon, cai excretorii urinare) sau īn cavitatile naturale reale sau virtuale (ventricoli cerebrali, cavitati articulare, cavitatea peritoneala, mediastin sau spatiu retroperitoneal).
Substanta de contrast cea mai frecvent utilizata este aerul atmosferic, īn locul caruia multi practicieni prefera oxigenul pentru o presupusa solubilitate mai buna īn sānge si o absorbtie mai rapida. Īn realitate si cu acest gaz se pot produce embolii cānd el este injectat din greseala direct īntr-un vas. Din aceste motive este preferabil utilizarea protoxidului de carbon care are o solubilitate de aproximativ 20 de ori mai mare decāt oxigenul īn sānge.
Investigatiile cele mai frecvente efectuate cu substante de contrast radiotransparente sunt: pneumoencefalografia, pneumoperitoneul, retropneumoperitoneul, pneumomediastinul, investigatia tubului digestiv.
Uneori pot fi asociate ambele tipuri de substante de contrast realizāndu-se examinari complexe cum ar fi pneumoginecografia asociata cu histerosalpingografia, examenul radiologic īn dublu contrast al stomacului, colonului, vezicii urinare sau al cavitatilor articulare.
FENOMENELE DE INTOLERANŢĂ, REACŢII ADVERSE sI INCIDENTELE PRODUSE DE SUBSTANŢELE DE CONTRAST IODATE
Fenomenele de intoleranta care pot apare īn urma utilizarii substantelor de contrast iodate sunt de regula usoare si dispar spontan. Aceste fenomene pot fi digestive (caldura abdominala, greata, varsaturi), respiratorii (prurit nazal, stranut, tuse, senzatie de constrictie laringiana), nervoase (senzatie de neliniste, cefalee, tulburari vizuale). Aceste manifestari nu necesita īn general nici o terapie speciala si dispar de regula chiar īn timpul injectarii substantei de contrast; unele manifestari cutanate (urticaria localizata) dispar 5-10 minute mai tārziu.
Mai rar, manifestarile de intoleranta grave, pot fi si mortale. Ele sunt cutanate (urticarie gigantiforma, eritrodermie generalizata, crize astmatice, edem pulmonar acut, edem al glotei), nervoase (convulsii, coma), digestive (dureri abdominale acute, varsaturi incoercibile), cardiovasculare (colaps, stop cardiac). Manifestarile de intoleranta respiratorii si cardiovasculare grave apar de regula chiar īn cursul injectarii, uneori dupa introducerea unor cantitati minime de substanta de contrast la īnceputul injectarii. Este stabilit faptul ca fenonemele de intoleranta, īn special cele mai grave nu sunt legate de cantitatea de substanta de contrast injectata sau de viteza de injectare. Metodele de testare preventiva a sensibilitatii la substantele de contrast (conjunctivale, intradermice, etc.) s-au dovedit a fi inutile si ele au fost definitiv abandonate. Īn ce priveste testul intravenos el poate constitui uneori īn sine cauza unui fenomen de intoleranta chiar grav. Īn consecinta se poate afirma ca fenomenele de intoleranta a substantei de contrast, inclusiv cele mai grave, sunt absolut imprevizibile. Avānd īn vedere faptul ca utilizarea substantei de contrast poate expune īntotdeauna bolnavul la anume risc trebuie ca examinarile radiologice care se bazeaza pe utilizarea unor asemenea substante sa fie indicate numai atunci cānd ele sunt absolut indispensabile si nu pot fi īnlocuite cu alte metode. Se pare ca singura contraindicatie a utilizarii substantelor de contrast este lipsa unor indicatii corecte la investigatia respectiva. Īn cazurile īn care este absolut necesara efectuarea unor asmenea investigatii la persoanele care au antecedente de manifestari alergice, de insuficienta hepato-renala sau cardiaca sau cānd examinarile au un risc ridicat ca īn coronarografie, angiocardiopneumografie, etc., este recomandabila colaborarea cu un medic reanimator iar examinarea sa fie efectuata numai in laboratoare dotate corespunzator cu mijloace de rezolvare a respectivelor complicatii.
Īn cazul īn care reactia adversa se produce este necesar:
- īntreruperea administrarii de substanta de contrast
- punctionarea, cateterizarea unei vene cu ajutorul unei flexule si instalarea perfuziei
- administrarea de hemisuccinat de hidrocortizon īn doze variabile īntre 100 - 1000 mg
- administarea de antihistaminice
- tratament simptomatic (noradrenalina, diazepam, calciu)
- solicitarea serviciului de ATI, īn cazul īn care cu mijloacele mai sus mentionate nu se obtin rezultate.
|