prezentare de caz - MULTIPLE LEZIUNI DE TIP IL ĪN ZONĂ DE GRANIŢĂ
REZUMAT
Prezentam cazul unui pacient cu multiple leziuni ocluzive ale vaselor precerebrale, care, īn timpul angiografiei prezinta deficit neurologic persistent, datorat unor leziuni de tip IL instalate īntr-o zona de granita.
ABSTRACT
We present the case of a patient with multiple cerebral occlusive vessel lesions. During the angiography the patient presented neurological symptoms and multiple lacunar infarcts in a watershed cerebral territory.
PREZENTAREA CAZULUI
Pacientul B.M. de 61 ani este cunoscut de multi ani cu HTA, DZ tip II, IRC prin nefropatie diabetica, a urmat intermitent tratamentul antihipertensiv si antidiabetic.
Cu aproximativ o luna
īnaintea sosirii īn sectia noastra, pacientul a fost internat in
sectia cardiologie pentru dispnee de efort, edeme 949f53j masive ale membrelor
inferioare. Prezenta valori ridicate ale TA. Examinarile ecocardiografice
au evidentiat stenoza aortica si insuficienta
mitrala. Dupa tratament cardiotonic, antihipertensiv, diuretic, a
pierdut īn greutate
La Institutul Inimii se practica examinari de laborator, ecocardiografie, EKG si test de efort, examen Doppler carotidian si al arterelor membrelor inferioare, angiografie carotidiana. Īn timpul angiografiei pacientul prezinta deficit motor pe hemicorpul stāng si este transferat īn sectia noastra. Concluzia internarii: HTA esentiala forma severa. Cardiopatie ischemica cronica silentioasa. Stenoza strānsa ACI stānga (80%), stenoza larga ACI dreapta (30-40%). Stenoza aortica degenerativa larga. Arteriopatie cronica obliteranta a membrelor inferioare stadiul I. Diabet zaharat tip II cu necesitati de insulina. Insuficienta renala cronica. Hemipareza stānga prin AVC ischemic īn teritoriul VB.
La internarea īn sectia noastra, pacientul prezinta: zgomote cardiace ritmice, bine batute, alura ventriculara 76/min. TA este 140/90 īn dreapta, 150/90 īn stānga. Īn focarul aortic se percepe un suflu sistolic gradul III, cu iradiere pe vasele gātului. Laterocervical se percep de asemenea sufluri: pe de-o parte cele propagate din focarul aortic, dar si sufluri locale.
Examenul neurologic: pacient constient, orientat temporo-spatial, cu paralizie faciala de tip central īn stānga, probe de pareza pozitive la nivelul membrelor stāngi. Pacientul poate umbla cu sprijin, poate face si miscari antirezistenta, dar cu forta musculara mult diminuata. Prezinta hipotonie la nivelul musculaturii membrelor stāngi. ROT sunt diminuate īn stānga. Semnul Babinski este prezent īn stānga. Nu prezinta tulburari de sensibilitate si coordonare.
Examinarile paraclinice arata un sindrom inflamator nespecific, anemie, hipercolesterolemie, retentie azotata importanta: VSH: 30/61, L 5 800/mm3, Ht 36 %, hemoglobina 9,7 mg %, glicemie 90 (120, 112) mg %, uree 150 mg %, creatinina 2,86 mg %, Na-157 mEq/l, K-= 4,1 mEq/l, TQ 71 %, T Howel 2` 36``. Examen de urina: A +++, puroi +, R Esbach-proteine 2g/l. Īn sediment apar: epitelii plate, 1-2 leucocite, 9-10 hematii decolorate, 4-5 cilindri granulosi, 2-3 cilindri hialini, 5-6 celule renale, rara flora bacteriana.
Nu se repeta EKG si examenul
Doppler care au fost efectuate
Examenul CT arata: focare milimetrice de hipodensitate spontana parietal si frontal drept īn vecinatatea coarnelor anterioare ale ventriculului drept. Sistemul ventricular este ectaziat, normal pozitionat. santurile corticale si vaile silviene sunt accentuate. Concluzii: Lacunarism cerebral. Atrofie cerebrala.
Evolutia pacientului este favorabila sub tratament antiagregant, antihipertensiv (cu betablocante, inhibitori de enzima de conversie, blocanti ai canalelor de calciu si diuretice) insulina, deficitul motor regreseaza. Dupa cāteva zile merge singur, persista doar probe de pareza discret pozitive īn stānga.
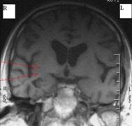
Examenul MRI cerebral efectuat peste doua saptamāni arata aceleasi zone milimetrice de hipointensitate īn T1 si hiperintensitate īn T2 īn substanta alba la nivelul lobulul temporal drept, imediat subcortical.
ARM arata la nivelul vaselor precerebrale:
stenoza strānsa la nivelul ACI stāngi
stenoza larga la nivelul ACI drepte
absenta AV stāngi.
Intracranian, ARM evidentiaza:
leziuni ATS multiple
absenta A1 dr
hipoplazia P1 bilateral
DISCUŢII:
Cazul este extrem de interesant prin instalarea unor IL multiple localizate grupat, īntr-o zona de granita īn conditiile scaderii debitului cerebral ca urmare a unui spasm vascular secundar angiografiei.
Pentru cazul īn discutie, schema functionala a poligonului Willis, vaselor care īl alimenteaza si localizarea leziunilor de tip IL este redata īn schema din fig 5
Pacientul prezinta afectarea a trei pediculi vasculari:
ocluzie AV stānga
stenoza strānsa ACI stānga
stenoza 40% ACI dreapta
De asemenea, poligonul nu este eficient:
A1 este absenta īn dreapta, fapt care determina ca ambele ACA sa fie alimentate de ACI stg, care prezinta stenoza strānsa.
Ambele P1 sunt hipoplazice, bilateral persista tipul fetal, cu originea ACP din ACI.
Prin existenta leziunilor ocluzive se realizeaza un debit sanguin cerebral redus. Anomaliile poligonului complica si mai mult: P1 hipoplazic bilateral, face ca si teritoriul ACP sa faca parte bilateral din teritoriul ACI. Pe de-alta parte, absenta A1 īn dreapta, face ca si teritoriul ACA dr sa fie arondat ACI stg, fara posibilitate de compensare stg-dr. astfel, ACI care prezinta stenoza strānsa are un teritoriul mult extins: īntregul emisfer stg, la care se adauga teritoriul ACA dr. Cu toate acestea, pacientul nu a avut nici un eveniment vascular pāna īn momentul angiografiei, cel mai probabil ca urmare a unui spasm vascular, complicatie frecventa a acestei examinari . [1],
Localizarea leziunilor de tip IL grupat, imediat subcortical īntr-o zona de granita si aparitia simptomatologiei īn timpul angiografiei sustin existenta unui mecanism hemodinamic. Desigur, acest mecanism este cel mai adesea la originea unor manifestari de tip AIT sau a unui infarct de granita. [2] Īn cazul nostru, nu s-a constituit un infarct de granita ci doar multiple IL īn aceeasi zona, dar aparitia lor are aceeasi semnificatie.
Mecanismul hemodinamic este recunoscut ca fiind un posibil mecanism al producerii IL, īn regiunea centrala a substantei albe emisferice, la limita teritoriului superficial si profund. [3,4,5,6,7] Īn cazul nostru, apar acest tip de leziuni la limita a doua teritorii vasculare, īntr-o zona de granita.
CONCLUZII
Spasmul vascular din timpul angiografiei determina scaderea debitului cerebral si, prin mecanism hemodinamic apar leziuni de tip IL īntr-o zona de granita, la limita a doua teritorii cerebrale.
Boutouyrie P, Laurent S- Remodelage des grosses et petit erteries dans l`hypertension arterielle, Sang Thrombose Vaisseaux 2004 (2): 81-89




|