RADIOGRAFIA ABDOMINALĂ SIMPLĂ
Prin radiografia simpla se pot pune în evidentă pneumoperitoneul, acumularea anormală de aer in tractul digestiv, prezenta unor mase abdominale, abcese intraabdominale, prezenta c 24424h714y alculilor radioopaci sau micsti, prezenta unor calcificări, a corpilor străini radioopaci.
PREZENŢA ANORMAL DE GAZ ÎN TRACTUL DIGESTIV
Sectoarele tubului digestiv care în mod normal contin aer sunt stomacul si colonul. Intestinul subtire nu contine aer. Acesta îl străbate amestecat cu alimentele. Uneori, la aerofagi sau la bolnavii imobilizati la pat, aerul poate fi prezent sub formă de bule sau coloană continuă care nu trebuie să depăsească 6 - 8 cm. La sugari, distributia aerului în tractul intestinal diferă de cea a adultului. După nastere, aerul înghitit se distribuie la întreg tractul intestinal. După 6 luni, odată cu alimentatia diversificată, distributia gazelor începe să semene cu cea a adultului.
OCLUZIA INTESTINULUI SUBŢIRE
În primele ore se observă aeroenterie care destinde intestinul, apoi se constată acumularea de lichid realizându-se clasicele imagini hidroaerice (4 - 6).
Ele sunt localizate în centrul abdomenului, au diametrul mare longitudinal si sunt dispuse etajat. Contururile neregulate datorita valvulelor conivente sunt mai bine vizibile în portiunea jejunală. Distensia ansei nu le aplatizează. La nivel ileal contururile anselor sunt netede.
OCLUZIA LA NIVELUL COLONULUI
aerocolie progresivă care se opreste la nivelul obstacolului. Dacă valva ileocecală este incompetentă apare aeroileie. Dilatarea peste 9 cm în diametru a cecului este susceptibilă de perforatie.
nivelele hidroaerice au localizare periferică si sunt foarte largi
INFARCTUL MEZENTERIC
aeroileie
aerocolie proximala
de multe ori, aerul este localizat exclusiv la nivelul intestinului subtire simulând ocluzia.
prezenta de aer în peretele intestinal
prezenta de aer în vena porta
angiografia mezenterica confirma existenta ocluziei, precizeaza localizarea si extinderea ei
CT poate pune în evidenta placute de aterom calcificate la nivelul AMS
modificarile Doppler sunt caracteristice
CALCIFICĂRILE ABDOMINALE
1. Calculi biliari, renali, pancreatici sau ai vezicii urinare
2. Calcificari intraabdominale:
- calcificari ale ganglionilor
- calcificari arteriale
- calcificarile venoase se mai numesc fleboliti.
- calcificari hepatice si splenice mici, rotunde, multiple, diseminate.
- enteroliti
- calcificarea glandelor suprarenal
- chiste calcificate
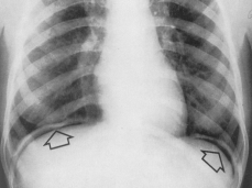
PNEUMOPERITONEUL prezenta aerului liber în cavitatea peritoneala.
Se evidentiaza pe radiografiile în pozitie verticala ca o zona transparenta semilunara, localizata sub una sau ambele cupole diafragmatice. Cantitatea de aer poate fi foarte mica aparând ca o linie discreta, curbliniara subdiafragmatica, sau foarte mare atingând o înaltime de 4-5 cm.


În radiografiile efectuate în decubit lateral stîng, imaginea trebuie cautata între fata laterala a ficatului si peretele costal, iar în cele efectuate în decubit dorsal cu raza orizontala si film lateral - periombilical sau între ansele intestinale care apar bine conturate de aerul dintre ele.
ABCESELE SUBDIAFRAGMATICE
- initial se observa o ascensiune a cupolei diafragmatice si hipomobilitatea ei
- inflamatia pleurei bazale cu formarea unei cantitati mici de lichid în sinusul costodiafragmatic (pleurezie prin simpatie)
- prezenta aerului sub forma unor zone de transparenta localizate deasupra lichidului creând imagine mixta hidroaerica.
CORPII STRĂINI RADIOOPACI
IMAGINI CU PLUS DE UMPLERE BARITATĂ
a) Diverticolul reprezinta o expansiune parietala formata din toate straturile peretelui organului afectat (diverticol congenital) sau numai din seroasa sau mucoasa (diverticol câstigat). Diverticolii pot fi organici (congenitali si câstigati) sau functionali. Diverticolii câstigati pot fi de pulsiune, tractiune sau functionali. Diverticolii de pulsiune au forma rotund - ovalara, contur net, baza de implantare mica, de obicei fiind pediculati ; la nivelul pedicolului se pot vedea pliurile de mucoasa care se continua în diverticol. Pot fi unici sau multipli, afectând un organ sau mai multe, constituind în acest caz diverticuloza. Diverticolii de tractiune au o forma triunghiulara sau conica. Conturul lor este neregulat, cu o baza mare de implantare. Diverticolii functionali se datoresc unor tulburari de inervatie, cu slabirea musculaturii peretelui. Când presiunea intacavitara creste, apare radiologic o proeminenta diverticulara ; acesti diverticoli sunt de obicei multipli si dispar la antispastice.
b) Nisa reprezinta imaginea bariului care a patruns într-o ulceratie a peretelui unui segment al tubului digestiv; poate apare sub doua aspecte dupa cum este proiectata fata de fascicolul de raze - din profil sau din fata. Imaginea de plus de umplere care depaseste conturul segmentului când ulceratia parietala este proiectata tangential corespunde aspectului de profil al nisei. Când ulceratia este proiectata ortograd, aspectul este de opacitate rotunda si corespunde imaginii nisei de fata. Nisa, ca expresie radiologica a ulceratiei, poate fi benigna sau maligna.
NIsA BENIGNĂ este frecventa la nivelul stomacului si al bulbului duodenal, dar o putem întâlni si la esofag sau intestin. Caracterele radiologice ale nisei benigne sunt urmatoarele:
n nisa benigna proemina din conturul organului;
n este frecvent pediculata;
n contururi nete, de obicei regulate ;
n în jurul nisei exista o imagine lacunara regulata, data de edemul periulceros. La nisa de fata, edemul apare ca o zona clara, inelara, realizând imaginea de cocarda;
n pliurile de mucoasa converg catre nisa si se pot urmari pâna aproape de marginea nisei
n dupa tratament antiulceros, nisa trebuie sa se remita complet.
La examenul unei nisei trebuie sa precizam localizarea, forma, dimensiunile, modul de opacifiere (omogen sau neomogen) si aspectul mucoasei din jurul nisei.
NIsA MALIGNĂ este expresia radiologica a cancerului ulcerat. Ea are unele caractere care permit numai rareori, diferentierea de o nisa benigna. Nisa maligna nu proemina din conturul organului, este de obicei mare, fundul nisei poate fi rectiliniu, bombat, în platou sau neregulat. Nisa poate fi situata în acelasi plan cu profilul conturului, ori sub acesta (nisa încastrata) sau sa fie situata într-un defect de umplere (nisa în lacuna). În jurul nisei maligne se poate constata prezenta unor imagini lacunare, pliurile mucoasei din jur sunt rigide, nu dispar la compresiune si se opresc la distanta de nisa. Tratamentul de proba nu reduce dimensiunile nisei.
IMAGINI CU MINUS DE UMPLERE BARITATĂ = imagini lacunare sau defecte de umplere (polipi, miom, fibrom, papilom; cancer vegetant; gastrita lacunara; resturi alimentare; corpii straini)
LACUNA BENIGNĂ se caracterizeaza prin urmatoarele aspecte :
n forma geometrica bine precizata (rotunda, ovala);
n contururi regulate, nete
n pliuri neîntrerupte, împinse sau deviate ;
n conturul organului afectat este pastrat, cu peristaltica prezenta ;
n evolutia imaginii este lenta si nu afecteaza starea generala a pacientului
Exista posibilitatea ca unele tumori benigne sa degenereze malign.
LACUNA MALIGNĂ corespunde formei vegetante a cancerului; forma sa este variabila, conturul policiclic, neregulat, sters. La periferia lacunei se constata imaginea de semiton, care trebuie tradusa radiologic printr-o zona de tonalitate intermediara între cea a partilor moi si a opacitatii bariului înconjurator; ea se datoreste stratului mai subtire de bariu între peretele sanatos si cel din jurul tumorii. Pliurile de mucoasa, întrerupte la distanta de lacuna, sunt rigide, dezorientate si nu dispar la compresiune. Semnele descrise se amplifica rapid de la un examen la altul, iar starea bolnavului este afectata profund.
|