RADIOLOGIA CLINICA A COLOANEI VERTEBRALE
A. Anomalii de dezvoltare ale coloanei vertebrale
a) Anomalii ale regiunii cranio-vertebrale
1. Occipitalizarea atlasului descrisa de Macalister reprezinta fuzionarea atlasului cu baza craniului, urmare a lipsei de segmentare si separare a ultimului sclerotom occipital in primele saptamani de viata fetala.
2. Vertebra occipitala - dezvoltarea occipitului incepe prin unirea primelor patru somite ale embrionului pentru a forma portiunea bazilara occipitala. Portiunea caudala a somitei a patra fuzioneaza apoi cu jumatatea craniala a primei somite cervicale. Afectarea fuzionarii normale ale segmentelor terminale ale bazei occipitalului conduce la ceea ce se numeste vertebra occipitala. Daca defectul de fuziune este anterior vorbim de 'condilul al treilea'; defectele laterale de fuziune sunt cunoscute sub denumirea de 'procese paramastoide sau epitransverse'.
3. Malformatia Arnold-Chiari – presupune o gaura occipitala largita, susceptibila la angajari cerebelo-bulbare.
4. Impresiunea bazilara (platibazia) – consta intr-o deformatie a bazei craniului caracterizata prin infundarea in cavitatea craniana a apofizei bazilare, maselor laterale ale atlasului si solzului occipitalului. Radiografic se remarca ascensiunea varfului odontoidei deasupra liniei bimastoidiene pe radiografia de fata, si deasupra liniei Chamberlain (dusa intre marginea posterioara a gaurii occipitale si palatul dur), pe radiografia de profil.
b) Anomalii ale regiunii cervicale
1. Agenezia arcului posterior al atlasului este o afectiune rara, fara simptomatologie clinica in afara cazurilor in care este asociata cu alte anomalii (sindromul Klippel - Feil). Se datoreste lipsei matricei cartilaginoase in care se dezvolta procesul de osificare.
2. Agenezia arcului anterior al atlasului este extrem de rar intalnita, fiind publicate in acest sens doar doua cazuri, in 1886 si in 1972.
|
|
|
Fig.92 – Bloc vertebral cervical congenital 414e46e |
3. Ossiculum terminale - portiunea cefalica a procesului odontoid se dezvolta dintr-un centru secundar de osificare ce apare in al doilea an si fuzioneaza la varsta de 10 - 12 ani. Uneori acest centru nu se uneste cu procesul subiacent persistand ca un os separat.
B. Traumatismele coloanei vertebrale
Fracturile coloanei vertebrale, de obicei, sunt consecinta unor traumatisme violente, leziunea fiind produsa in urma actiunii directe la care se adauga intotdeauna si interventia unor contracturi musculare reflexe. Cel mai frecvent, fracturile coloanei se produc prin actiunea indirecta a agentului traumatic care modifica curburile normale ale rahisului, printr-o miscare de hiperflexie, rotatie sau forfecare, combinate.

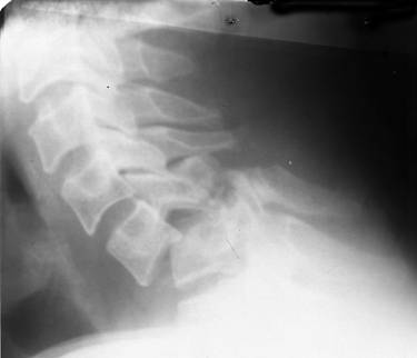
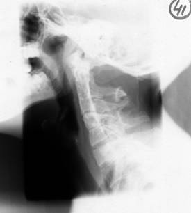
Fig. 93 – Fractura - luxatie cervicala
C) Afectiuni inflamatorii ale coloanei vertebrale
Acestea din urma, la randul lor sunt impartite in:
spondilite bacteriene, produse de stafilococ (90% din cazuri), streptococ, pneumococ, salmonella typhi, bacterium Coli, brucella, etc;
spondilite nebacteriene, produse in urma unei actinimicoze, blastomicoze, sporotricoze, lues, etc.
Spondilitele netuberculoase afecteaza cu preponderenta sexul masculin fiind mai frecvente intre 10-30 ani si respectiv 40-60 ani.
De cele mai multe ori osteomielita vertebrala se dezvolta prin difuzarea infectiei in organism pe cale hematogena, in cursul unei septicemii sau dintr-un focar situat la distanta, prin contiguitate, dupa o infectie intra sau paravertebrala.
Radiografic spondilita netuberculoasa se caracterizeaza prin evidentierea progresiva a urmatoarelor modificari:
mic focar de rarefactie dispus in vecinatatea platoului vertebral;
discreta reducere a inaltimii spatiului discal;
leziuni distructive ale platourilor vertebrale adiacente;
osteocondensare perilezionala;
reconstructie osoasa periferica sub forma osteofitelor ce ajung sa realizeze punti intervertebrale;
prabusirea, in grade variabile a discului intervertebral;
abcesul cald paravertebral apare uneori sub forma unei opacitati fusiforme.
Caracteristic spondilodiscitelor netuberculoase este modificarea rapida a imaginii radiografice in cursul evolutiei bolii. Radiografiile repetate la interval scurt (2-3 saptamani) adauga de fiecare data elemente noi imaginii precedente.
Modificarile de ax ale coloanei sunt practic absente.
Se descriu forme centrale (adevarata osteomielita) in care leziunile sunt situate in plin corp vertebral. Modificarile initiale constau intr-o rarefactie difuza cu stergerea conturului anterior si lateral al vertebrei, urmate de prabusirea corpului vertebral, cu cifoza consecutiva. Procesul distructiv vertebral conduce la constituirea de sechestre.
Osteomielita arcului vertebral este o entitate foarte rar intalnita, dar deosebit de grava deoarece prin evolutia focarului de infectie se ajunge, de obicei, la un abces peridural, adesea cu evolutie fatala.
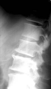
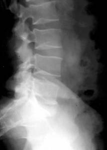
Tuberculoza vertebrala
Tuberculoza vertebrala (morbul lui Pott) reprezinta cea mai frecventa localizare a TBC la nivel osteoarticular, constituindu-se pe cale hematogena sau limfatica. Localizarea de predilectie o constituie coloana toracala si lombara.
Modificarile radiologice ale spondilodiscitei tuberculoase sunt:
foarte mici focare osteolitice in apropierea discului, adesea invizibile radiografic;
diminuarea inaltimii spatiului discal ce antreneaza modificari de ax ale coloanei vertebrale (cifoza sau scoliaza);
stergerea suprafetelor discale si structura neomogena a corpurilor vertebrale adiacente discului, cu zone de osteoliza imprecis delimitate; localizarea leziunilor distructive fata-n fata pe cele doua platouri vertebrale implicate realizeaza asa zisa imagine “in oglinda”;
deformarea si reducerea, uneori extrema, a inaltimii corpilor vertebrali cu modificari de ax ale coloanei (cifoza pottica), dislocari, luxatii;
abcesul rece (pottic) apare ca o opacitate uni sau bilaterala ce proemina lateral, omogena, bine delimitata, depasind apofizele transverse. Abcesele din regiunea toracala medie nu migreaza la distanta si stagneaza in spatiul costovertebral sau intercostal, putand eroda coastele. Abcesele toracolombare coboara uneori pe teaca psoasilor in regiunea lombara, astfel ca vor modifica (bomba) umbra psoasului. Abcesele din regiunea cervicala deplaseaza anterior traheea si esofagul;
modificari reconstructive sub forma liniilor de demarcatie, zone de ingrosare a structurii osoase ce delimiteaza leziunea si fac sa reapara conturul vertebral care se recalcifica;
tardiv apar punti osoase intervertebrale ce demonstreaza fuziunea dintre vertebre;
evolutia fara tratament duce la distrugeri importante ale corpurilor vertebrale, aparitia sechestrelor si mari modificari de statica.
3. Spondilita anchilozanta (maladia Bechterew, boala Pierre-Marie-Strumpell, spondilita rizomelica)
D. Leziuni degenerative ale coloanei vertebrale
|
|
|
|
|
|
|
|
E. Tumorile coloanei vertebrale
|
|
|
|
|
|