Documente online.
Zona de administrare documente. Fisierele tale
Am uitat parola x Creaza cont nou
 HomeExploreaza
upload
Upload




RADIOVIZIOGRAFIA IN ENDODONTIE

medicina


Radioviziografia īn endodontie



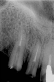
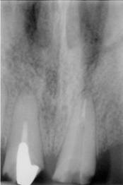
La nivelul lui 21 se observa obturatia de canal corect executata din punct de vedere radiologic. Clinic se constata obturarea canalului radicular cu ciment oxifosfat de zinc si fara con de gutaperca. Pe a doua radiografie se observa dezobturarea corecta a canalului radicular pt. realizarea unui DCR

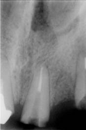
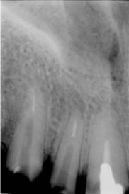
La nivelul lui 12 si 13 se observa obturatia de canal corect executata din punct de vedere radiologic. Clinic se constata obturarea canalelor radiculare cu ciment oxifosfat de zinc si fara con de gutaperca. Pe a doua radiografie se observa dezobturarea corecta a canalelor radiculare pt. realizarea unor DCR-uri.


Cazul 2: L.A., fem:


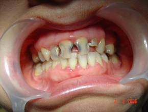
Initial clinic si radiologic se observa prezenta resturilor radiculare frontale superioare.

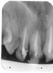
Radiografii retroalveolare la inceputul si la sfīrsitul tratamentului endodontic




Cazul dupa restaurarea functiei fizionomice.


Concluzii:


Examenul radiologic , ca metoda complementara de investigatie, este indispensabila īn diagnosticul si terapia afectiunilor endodontice.

Īn acest sens , cea mai de finete este radiografia retroalveolara care ne furnizeaza informatii precise.

Pentru stabilirea unui diagnostic complet si corect trebuie avute īn vedere atāt informatiile obtinute din examenul radiologic , cāt si cele furnizate de examenul clinic.

Expunerea pacientilor la radiatii X este redusa si nu rezulta deseuri chimice īn urma procesului de developare.

Īn cadrul tratamentelor endodontice se realizeaza o importanta econonie de timp , rezultatele radioviziografiei avāndu-le īn 2-3 secunde de la expunere

Imaginea radiologica va putea fi stocata īn memoria computerului de unde va putea fi usor de gasit , de prelucrat , de extras sau de multiplicat

Datorita dimensiunii reduse ( 2/3 cm ) a senzorului decāt a dimensiunii unui film obisnuit putem in cazul mai multor dinti trebuie realizate mai multe radioviziografii. Tot dimensiunii reduse a senzorului īn cazul unei edentatii temporare putem avea fals diagnostic de agenezie.

Tot datorita dimensiunii senzorului nu se pot efectua radiografii bitewing cu ajutorul radioviziografiei. Datorita grosimii senzorului ( mai mare decāt a filmului ) la persoanele cu reflex exagerat de voma nu se pot face radioviziografii la nivelul molarilor , īn special cei inferiori.

Dupa efectuarea tratamentului endodontic , investigatia radiologica ofera date asupra corectitudinii obturatei de canal , amplorii depasirii cu pasta de obturatie.

Īn cazul accidentelor : ace rupte , cai false ce pot surveni īn timpul tratamentului endodontic , examenul radiologic este strict necesar.

De asemenea este si cel mai important test de urmarit īn confirmarea si stabilirea rezultatelor obtinute īn timp.



Bibliografie:


Aldescu , C. : Radiologie pentru studenti si medici stomatologi , Editura Polirom , Iasi , 1998

Brad , S. : Diagnosticul radioimagistic dento-maxilar Editura Mirton , Timisoara , 2003 , pag. 25-26

Comarnic , G. : Algoritmul examenului radiologic īn tratamentul endodontic - lucrare de diploma 2003

Delage , G. : Importanta sistemelor de imagistica intraorala digitala īn reabilitarea orala complexa , Seminarul International de stomatologie " Reabilitare orala complexa " Iasi 18-20 mai 1998

Dentistry of the Lake : Basic Anatomy of the inside of a tooth www.dentistry-on-the-lake.com

Fildan , F. : Radiologie stomatologica . Patologie dento-maxilo-faciala , Editura Medicala Universitara "Iuliu Hatieganu" Cluj-Napoca 1999

Fildan , F. : Radiologie stomatologica - Notiuni de fizica si tehnica radiologica , Editura Medicala Universitara " Iuliu Hatieganu " Cluj-Napoca 1999.

Grancea , V. : Bazele radiologiei si imagisticii medicale , Editura medicala Amaltea , Bucuresti 1996

Radulescu , M. ; Popescu , V. : Radiologie stomatologica , Editura Medicala , Bucuresti 1985

Wenzel , A ; Moystad , A : Criterii de decizie īn alegerea radiografiei digitale , Dentomaxillofacial Radiology July 2001 , Pg. 197-202





Document Info


Accesari: 3926
Apreciat: hand-up

Comenteaza documentul:

Nu esti inregistrat
Trebuie sa fii utilizator inregistrat pentru a putea comenta


Creaza cont nou

A fost util?

Daca documentul a fost util si crezi ca merita
sa adaugi un link catre el la tine in site


in pagina web a site-ului tau.




eCoduri.com - coduri postale, contabile, CAEN sau bancare

Politica de confidentialitate | Termenii si conditii de utilizare




Copyright © Contact (SCRIGROUP Int. 2025 )