![]() |
|
||||||||||||||
AFECŢIUNILE
GLANDELOR SUPRARENALE
Prof. Dr. IOANEL SINESCU
Dr. BOGDAN sERBĂNESCU
Conf. Dr. MIHAI HÂRZA, Dr. CRISTIAN SURCEL,
Dr. MIHAELA MIHAI
Anatomie
Fiziologie
A. Fiziologia corticosuprarenalei
B. Fiziologia medulosuprarenalei
I. Feocromocitomul
Introducere
Anatomie patologica
Diagnostic
Diagnostic paraclinic
Diagnostic diferential
Tratament
Forme clinice particulare de feocromocitom
a. Feocromocitomul vezicii urinare
b. Feocromocitomul la gravide
c. Feocromocitomul la copii
d. Feocromocitomul familial
e. Feocromocitomul extra-adrenal
f. Feocromocitomul malign
II. Tumori neuroblastice
III. Sindromul Cushing
Diagnostic clinic
Diagnostic paraclinic
Diagnostic diferential
Tratament
Forme clinice particulare
IV. Hiperaldosteronismul primar
Fiziopatologie
Anatomie patologica
Diagnostic clinic
Diagnostic paraclinic
Tratament
V. Mase suprarenaliene non-functionale
Adenoame adrenocorticale non-functionale
Mielolipomul
Tumorile chistice adrenale
Metastaze suprarenaliene
Chisturile suprarenaliene
VI. Tumori functionale - Carcinomul corticosuprarenalian
Anatomie patologica
Stadializare
Metode imagistice
Tratament
Boala Cushing si Sindromul Cushing
Hiperaldosteronismul primar
Feocromocitomul
1. Caile de abord
2. Tehnica exciziei
3. Suprarenalectomia laparoscopica - Abordul transperitoneal
4. Incizia supracostala
5. Incizia toraco-abdominala (CX)
6. Incizia anterioara (Chevron)
7. Abordul lateral al glandei suprarenale
8. Abordul anterior al glandei suprarenale
9. Suprarenalectomie asociata cu nefrectomie
10. Abordul posterior al glandei suprarenale
Bibliografie
Fig.1. Dispozitia anatomica vasculara
suprarenaliana normala.
Glomerulara este alcatuita din celule columnare mici, de 12-15 microni, cu citoplasma clara. Celulele sunt dispuse în gramezi sau arcade înconjurate de fibre reticulare si de o retea capilara sinusoida, amintind de glomerulii renali, de unde si numele zonei.
Fiziologie
A. Fiziologia corticosuprarenalei
Hormonii glucocorticoizi
Glucocorticoizii sunt hormoni sterolici cu actiuni predominant metabolice, dar având si importante efecte de tip antiinflamator, antiproliferativ si imunosupresor, efecte care motiveaza larga lor utilizare terapeutica.
Circulatia plasmatica si catabolismul glucocorticoizilor. Cortizolul, principalul hormon glucocorticoid, circula în sânge în majoritate legat de proteine (75-80% de transcor-tina si 15% de albumina) si numai 5-10% se afla liber în circulatie, fractiunea libera fiind biologic activa. Timpul de înjumatatire al cortizolului este de circa 70 de minute, cea mai mare cantitate de hormon fiind metabolizata la nivelul ficatului apoi conjugata si eliminata prin urina. O cantitate redusa de cortizol este excretat în urina sub forma nemodificata.
Dozarile metabolitilor urinari ai glucocorticoizilor si ale cortizolului liber urinar sunt utilizate pentru a evalua functia corticosuprarenalei.
Reglarea secretiei de glucocorticoizi. Depinde strict de ACTH atât în conditii bazale, cât si dupa stres. ACTH-ul se leaga pe receptorii membranari ai celulelor corticoadrenale si activeaza adenilatciclaza, marind concentratia de AMPc; acesta activeaza proteinkinaze care catalizeaza fosforilarea unor enzime cu rol în steroidogeneza.
Secretia de ACTH este reglata la rândul sau atât printr-un mecanism neurogen (prin intermediul CRH hipotalamic) cât si printr-un mecanism de feed-back negativ declansat de variatiile concentratiei plasmatice a glucocorticoizilor liberi (Hoffman, 1972). Prin modularea descarcarilor hipotalamice de CRH se realizeaza variatiile ciclului circadian al secretiei de ACTH si consecutiv de cortizol, precum si eliberarile provocate de diverse stresuri (trauma-tisme, interventii chirurgicale, expunere la frig, hipoglicemie etc.).
Mecanismul principal de mentinere a nivelului normal al cortizolului plasmatic este însa inhibitia prin feed-back exercitata de cortizol pe secretia de CRH hipotalamic si ACTH hipofizar.
Exista mai multe aspecte clinice importante legate de secretia de ACTH:
Efectele glucocorticoizilor. Principalele actiuni biologice ale glucocorticoizilor se exercita asupra metabolismului glucidic, lipidic si proteic. Cortizolul se leaga de receptorii citosolici specifici ai celulelor tinta, complexul hormon-receptor patrunzînd apoi în nucleu, unde activeaza anumite gene, stimulând sinteza unor proteine specifice.
Actionând asupra metabolismului glucidic, glucocorticoizii produc hiperglicemie prin stimularea gluconeogenezei hepatice si prin scaderea utilizarii periferice a glucozei. În metabolismul lipidic, glucocorticoizii intervin prin mobilizarea grasimilor din depozite si redistributie adipoasa în anumite zone cu topografie specifica (facio-tronculara).
Pe metabolismul proteic cortizolul are efecte catabolice, inhibând sinteza de ADN, ARN si proteine la nivelul muschilor, oaselor, tesutului conjunctiv si limfatic.
Ca urmare a acestor efecte catabolice, glucocorticoizii în exces determina hipotrofie musculara cu astenie fizica, scaderea masei osoase cu aparitia osteoporozei glucocorticoide, striuri tegumentare prin distrugerea proteinelor dermice si fragilitate capilara - prin distrugerea proteinelor din peretii vasculari - cu aparitia sindromului hemoragipar.
2. Hormonii mineralocorticoizi
Circulatia plasmatica si catabolismul mineralocorticoizilor. Aldosteronul plasmatic este legat în proportie scazuta de proteine transportoare (CBG si albumine). Circa 90% din aldosteronul circulant este metabolizat dupa primul pasaj hepatic si este excretat în urina si numai 1% este eliminat sub forma libera. Din cauza metabolismului accelerat, timpul de înjumatatire al aldosteronului este de doar 20 de minute.
Reglarea secretiei de mineralocorticoizi. Principalul mecanism care intervine în controlul secretiei de aldosteron este reprezentat de sistemul renina-angiotensina.
Fig.2. Schema reglarii secretiei de aldosteron.
Efectele mineralocorticoizilor. Mineralocorticoizii sunt hormoni steroizi care intervin în transportul ionilor la nivelul celulelor epiteliale renale, ale tractului gastrointestinal, glandelor salivare si sudoripare, având ca efect reabsorbtia sodiului, clorului si apei si pierderea potasiului, magneziului si ionilor de hidrogen.
Excesul de aldosteron determina crestere în greutate, hipertensiune arteriala, hipokaliemie si alcaloza metabolica.
În sinteza, factorii implicati în controlul sistemului renina-angiotensina-aldosteron sunt prezentati în figura urmatoare:

Fig.3. Factorii implicati în controlul sistemului renina-angiotensina-aldosteron.
B. Fiziologia medulosuprarenalei
Circulatia plasmatica si catabolismul catecolaminelor. Nivelurile plasmatice de epinefrina variaza în conditii bazale între 10-70 pg/ml si cresc usor în timpul fumatului si exercitiilor fizice si mai mult în cursul hipoglicemiei si în stres. Norepinefrina are valori bazale de 70-390 pg/ml, iar dopamina de 25-50 pg/ml. Inactivarea catecolaminelor circulante se face prin recaptare în butoanele sinaptice ale neuronilor postganglionari simpatici sau prin catabolizare extraneuronala în tesuturi. Catabolizarea include oximetilarea prin COMT, dezaminarea oxidativa prin MAO si conjugarea cu sulfat sau glucuronid si este urmata de excretia urinara a catecolaminelor si metabolitilor lor.
Reglarea secreției de catecolamine Stimularea sistemului nervos simpatic în timpul stresului (prin stimuli cum ar fi: frica, durerea, hemoragia) determina cresterea sintezei si eliberarii de catecolamine din medulosuprarenala, influxul nervos fiind inductor enzimatic pentru tirozinhidroxilaza - enzima "cheie" ce controleaza rata secretiei catecolaminelor. Hipoglicemia, frigul, hipoxia, inanitia duc, de asemenea, la descarcari de epinefrina si norepi-nefrina din medulosuprarenala.
Efectele catecolaminelor. Catecolaminele actioneaza asupra unui numar mare de tesuturi care contin receptori adrenergici a sau b. Acesti receptori sunt cuplati cu sisteme mesageriale secundare diferite, iar raspunsul unui tesut la adrenalina depinde de natura receptorilor adrenergici pe care îi poseda. Receptorii b sunt cuplati cu adenilatciclaza prin intermediul proteinei Gs cu actiune stimulatoare, iar ocuparea acestor receptori va duce la cresterea concentratiei intracelulare a AMPc. Receptorii a cuplati cu proteina Gi inhiba adenilatciclaza, iar efectele mediate de acesti receptori corespund unei scaderi a concen-tratiei AMPc. Ocuparea receptorilor a determina o crestere a concentratiei calciului intrace-lular, fie prin influx din spatiul extracelular, fie prin eliberare din depozite intracelulare (mediata de inozitol trifosfat).
Tabelul 1. Tipurile de receptori asupra carora actioneaza catecolaminele.
|
Receptori alfa adrenergici |
|
|||
|
Alfa 1 |
postsinaptici muschi neted vascular prostata ficat |
agonisti vasoconstrictie contractia fibrelor musculare netede de la nivelul prostatei glicogenoliza gluconeogeneza |
||
|
Alfa 2 |
presinaptici postsinaptici vene mari creier pancreas intestin adipocite |
inhiba eliberarea de norepinefrina agonisti venoconstrictie scade controlul simpatic inhiba secretia de insulina relaxare inhiba lipoliza |
||
|
Receptori beta adrenergici |
|
|
||
|
Beta 1 |
cord adipocite rinichi |
efect inotrop si cronotrop pozitiv lipoliza stimularea eliberarii de renina |
||
|
Beta 2 |
plamân muschi neted vascular muschi striat uter intestin |
bronhodilatatie vasodilatatie glicogenoliza relaxare relaxare |
||
|
Receptori dopaminergici |
|
|
||
|
DA 1 |
vascular |
vasodilatatie |
||
|
DA 2 |
presinaptic |
inhiba eliberarea de norepinefrina |
||
I. Feocromocitomul
Introducere
Anatomie patologica
Diagnostic
A. Explorari de laborator. Diagnosticul clinic de feocromocitom se bazeaza pe evaluarea subiectiva a semnelor si simptomelor. Confirmarea se face prin teste de laborator care, în general, sunt împartite în: teste biochimice si evaluari radiologice.
Tabelul 2. Efecte ale medicamentelor si interactiunea lor cu concentratia urinara a catecola-minelor si metabolitilor
|
Limita superioara a |
Efectul |
|
|
normalului la adult (mg/24 ore) |
Valoare fals crescuta |
Valoare fals scazuta |
|
Catecolamine Epinefrina 20 Norepinefrina 80 Dopamina 400 |
Catecolamine Medicamente continând catecolamine: - Isoprenolol - (Isoproterenol) - Levodopa - Labetalol - Tetracicline - Eritromicina - Clorpromazina - Chinina, chinidina - Oprirea rapida a clonidinei - Etanol |
Fenfluramina (doze mari) |
|
Metanefrine: Metanefrina 96 Normetanefrina 375 |
Catecolamine Medicamente continând catecolamine IMAO Benzodiazepine Oprirea rapida a chinidinei Estradiol |
Fenfluramina (doze mari) |
|
Ac. vanil-mandelic 7 mg/24 ore |
Catecolamine (crestere minora) Medicamente continând catecolamine Levodopa Acid nalidixic Oprirea rapida a catecolaminelor |
Clofibrat Disulfiram Etanol IMAO Fenfluramina |
B. Examene imagistice - localizare. Feocromocitomul poate aparea oriunde exista celule cromafine cu origine neuroectodermala.
Medulosuprarenala contine majoritatea acestor celule, 90% din feocromocitoame dezvoltându-se la acest nivel.
Pentru localizarea feocromocitomului se descriu trei procedee imagistice de electie:
|
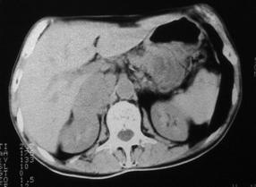
Fig.4. Feocromocitom suprarenalian stâng - aspect TC. |
|
Fig.5. Feocromocitom suprarenalian drept - aspect TC. |
Algoritmul de diagnostic al feocromocitomului (dupa Vaughan ED Jr, 1989).
Diagnostic diferential
eclampsie (toxemia gravidica)
carcinoid
hipoglicemie
mastocitoza
acrodinie
neuroblastom, ganglioneuroblastom
ganglioneurom
neurofibromatoza cu sau fara boala arteriala renala
carcinom adrenocortical
boli infectioase acute
cauze rare ale hipertensiunii paroxistice: hiperplazia medulosuprarenala, porfiria acuta, criza tabetica, intoxicatia cu plumb, encefalita, fibrosarcomul arterei pulmonare, hipersensibilitate portala, tetanos, sindromul Guillain-Barré.
Tratament
Tratamentul feocromocitomului consta în excizia chirurgicala a tumorii, în afara cazu-rilor când operatia este contraindicata sau sunt prezente metastaze.
Înainte de interventia chirurgicala se impune un tratament farmacologic specific.
Blocada adrenergica preoperatorie
Medicatia α-blocanta asociata cu o dieta bogata în sodiu ajuta la refacerea volumului plasmatic diminuat. Aceasta terapie previne sau scade riscul hipotensiunii asociate cu îndepartarea tumorala. Blocarea receptorilor α-adrenergici modereaza fluctuatiile presiunii sanguine din timpul inductiei anestezice sau al manevrelor intraoperatorii (Malhotra, 1995).
În ciuda unui tratament corect aplicat, nu poate fi eliminat total riscul unor crize hipertensive în timpul manipularii intraoperatorii a glandei.
Dintre medicamentele α-blocante frecvent utilizata este fenoxibenzamina în doze de 10 mg de 2 ori pe zi. La aceasta posologie se pot adauga 10 mg la fiecare 3 zile pâna la controlarea tensiunii arteriale. Uneori sunt necesare doze de 40-100 mg/zi.
Efectele adverse ale fenoxibenzaminei (ca de altfel ale tuturor agentilor α-blocanti) includ: hipotensiune posturala, tahicardie compensatorie, congestie nazala. Alfametilpara-tirozina (un inhibitor de tirozin-hidroxilaza) se recomanda în asociere cu fenoxi-benzamina sau propranololul în timpul pregatirii preanestezice pentru scaderea sintezei catecolami-nelor.
Prazosinul poate fi, de asemenea, folosit, dar are un timp de actiune mai scurt decât fenoxibenzamina. Este un blocant α-1-adrenergic postsinaptic. În cazul intolerantei la agenti α-blocanti, tensiunea arteriala poate fi controlata cu inhibitori ai enzimei de conversie cum ar fi captoprilul.
Tratamentul cu β-blocanti poate fi utilizat în cazul unei tahiaritmii sau al unei tahicardii (cu alura ventriculara mai mare de 110 batai/minut), dar nu trebuie instituit înaintea α-blocadei. Tratamentul β-blocant se începe cu propranolol în doza de 10 mg de 3 ori pe zi. Utilizarea β-blocantilor, fara o prealabila blocare a receptorilor α-adrenergici, poate determina vasoconstrictie, crize hipertensive, infarct miocardic sau accident vascular cere-bral.
Monitorizarea intraoperatorie si tehnica anestezica
Abordul chirurgical

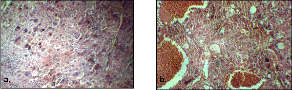
Fig.8. Feocromocitom suprarenalian (studii microscopice).
Forme clinice particulare de feocromocitom
a. Feocromocitomul vezicii urinare
Feocromocitomul vezicii urinare este întâlnit în circa 0,06% din tumorile vezicale, primul caz fiind raportat în 1953 de catre Zimmerman. Simptomele sunt similare celor ale tumorilor vezicale, cu hematurie macroscopica sau microscopica la care se asociaza palpi-tatii, cefalee sau chiar sincopa în timpul sau dupa mictiune.
Localizarea cea mai frecventa a feocromocitomului vezical este la nivelul domului vezicii urinare.
Diagnosticul se poate stabili prin cistoscopie, examene imagistice si biopsie.
Nivelurile de catecolamine urinare sunt crescute, dar nu pot stabili diagnosticul dife-rential cu alte localizari ale feocromocitomului. Daca se suspecteaza aceasta localizare, înainte de cistoscopie trebuie instituita blocada α-adrenergica.
Ca tratament se recomanda cistectomia partiala. Rata recidivei locale este cuprinsa între 10-20%, cu o incidenta a bolii metastatice de 5%.
b. Feocromocitomul la gravide
Au fost raportate în jur de 150 de cazuri de feocromocitom în timpul sarcinii, iar simptomele sunt similare cu cele din afara starii de gestatie. Aceste simptome sugereaza rar diagnosticul corect, deoarece ele mimeaza eclampsia si preeclampsia. Crizele hipertensive cu potential letal pot fi precipitate de anestezie, delivrenta, contractii uterine sau miscari fetale viguroase. Dintre tehnicile imagistice pot fi folosite ecografia, CT si RMN.
Ecografia este o metoda sigura, fara efecte nocive asupra fatului, dar nu este suficient de sensibila, în special daca exista tumori extrasuprarenaliene.
CT este o metoda de diagnostic cu o buna sensibilitate, dar expune fatul la radiatii si este folosita doar atunci când RMN nu este capabil sa localizeze tumora.
RMN furnizeaza imagini utile, fara a utiliza radiatii ionizante, dar este mai putin sensibil decât CT în diagnosticul tumorilor mai mici de 2 cm. RMN este utilizat în localizarea feocromocitomului ectopic la femeile gravide.
Tratamentul feocromocitomului la gravide este individualizat în functie de momentul diagnosticului si în raport cu vârsta sarcinii. În cazul diagnosticului precoce obiectivul tratamentului este primordial pentru supravietuirea materna. Daca diagnosticul este stabilit înainte de saptamâna a 24-a de sarcina, se indica explorare chirurgicala dupa o blocada α-adrenergica adecvata. Daca diagnosticul este stabilit dupa saptamâna a 24-a de gestatie, este necesara controlarea tensiunii arteriale pâna când operatia cezariana este posibila. Operatia cezariana trebuie urmata imediat de îndepartarea tumorii. Pentru scaderea tensiunii arteriale, se pot folosi fenoxibenzamina, prazosin si labetalol, la care nu au fost raportate efecte adverse, mai ales la administrari în a doua jumatate a sarcinii (totusi, în studii pe animale au fost raportate efecte mutagene ale fenoxibenzaminei).
Studiile retrospective asupra feocromocitomului în timpul sarcinii (Harper si colab.) au relevat o crestere a supravietuirii materne odata cu îmbunatatirea arsenalului terapeutic (înainte de 1969, mortalitatea materna era de 48%, ajungând la 17% între 1980-1987). Aceasta scadere subliniaza importanta unui diagnostic si al unui tratament precoce. Când tratamentul este stabilit ante partum, mortalitatea materna este de aproximativ 11%.
În cazul aparitiei unei hipertensiuni severe intermitente sau paroxistice la o gravida în prima jumatate a sarcinii, trebuie considerat ca posibil diagnostic si feocromocitomul.
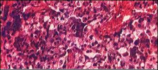
c. Feocromocitomul la copii
Fig.10. Feocromocitoame bilaterale multiple în cadrul sindromului MEN IIa
(piese operatorii).

Fig.11. Feocromocitoame bilaterale multiple, în cadrul sindromului MEN IIa
(studiu microscopic).
MEN IIb (sau MEN III) asociaza:
Fig.12. Feocromocitoame bilaterale multiple, în cadrul sindromului
MEN IIb (MEN
|
Fig.13. Feocromocitoame bilaterale multiple, în cadrul sindromului MEN IIb - pete pigmentare în regiunea inghinala. |

Fig.14. Feocromocitoame bilaterale multiple, în cadrul sindromului
MEN IIb (MEN
(piese operatorii).

Feocromocitom multiplu. a) aspect RMN; b) aspect CT; c) abordul chirurgical folosit
(incizie subcostala bilaterala prelungita spre apendicele xifoid); d,e) piese operatorii.
e. Feocromocitomul extra-adrenal (ectopic)
Dezvoltarea ectopica. În afara glandelor adrenale, în zone în care se gaseste tesut cromafin aberant, restant din creasta neurala (si care a fost recunoscuta de Morgagni la 1740), este apreciata la 10%. Localizarile mai frecvente extra-adrenale: hilul renal, sediul paravertebral retrocav si localizarile rare subdiafragmatice si inter-aortico-cave. Celulele ectopice se pot uneori reactiva dupa mai multi ani, la bolnavi care au suferit adrenalectomie bilaterala.



Fig.16. Feocromocitom extra-adrenal.
a) aspect CT; b) aspect intraoperator al piesei macroscopice; c) aspect microscopic.
f. Feocromocitomul malign
Supravegherea pe termen lung
II. Tumori neuroblastice
Tabelul 3. Clasificarea tumorilor neuroblasice.
|
Joshi (1992) |
Shimada (1984) |
INPC (1999) |
|
NB GNB (nodular) GNB (intermixt) GNB (borderline) GN |
TN saraca în stroma Stadiile 1, 2A, 2B si 4S (boala localizata) au un prognostic mai bun comparativ cu stadiile 3 si 4 (boala avansata). În functie de grad, vârsta (<1,5 ani, 1,5-5 ani si >5 ani) si MKI (mitosis karyorrhexis index) sunt definite subseturile cu histologie nefavorabila si cu histologie favorabila. Nivelul crescut de feritina serica se coreleaza cu un prognostic nefavorabil. Nivelul catecolaminelor si pattern-ul lor de secretie se coreleaza cu volumul si gradul tumoral. Tumorile hiperdiploide si triploide se asociaza cu o evolutie favorabila; tumorile diploide si tetraploide se coreleaza cu un prognostic întunecat. Amplificarea genei MYCN, deletii 1p si polizomii 17q se coreleaza cu un prognostic nefavorabil. Nivelul crescut al expresiei genei TRK-A se coreleaza cu o evolutie mai buna. |
carcinom pulmonar
carcinom pancreatic (incluzând carcinoidul)
timom
adenom benign bronsic
feocromocitom
carcinom medular tiroidian
carcinom hepatic
adenocarcinom de prostata
carcinom ovarian
carcinom nediferentiat mediastinal
cancer de sân
cancer paratiroidian
cancer esofagian
Diagnostic clinic
Este necesara diferentierea adevaratului sindrom Cushing de modificarile neuro-endocrine care pot mima clinic si uneori biochimic manifestarile acestui sindrom (Sinescu, 1998). Astfel, s-au observat modificari ale secretiei corticosuprarenaliene la aproape 80% din pacientii cu depresii majore. Aceste modificari pot aparea si în caz de alcoolism cronic.
Diagnostic paraclinic
A. Explorari de laborator
Atunci când un pacient este suspectat de sindrom Cushing, în primul rând trebuie demonstrata existenta sindromului, apoi trebuie identificata cauza.
Exista multe teste recomandate pentru diagnosticul sindromului Cushing. Dintre testele de screening se prefera dozarea cortizolului liber în urina din 24 de ore, care în mod normal este mai scazut de 80 de micrograme.
Valorile pot varia în functie de vârsta sau de caracteristicile laboratorului.
Daca cortizolul urinar liber are valori crescute, se administreaza o doza scazuta de dexametazona realizându-se testul la dexametazona (2 mg x 2).
Dexametazona este un glucocorticoid activ metabolic care inhiba secretia de ACTH si a glucocorticoizilor endogeni fara a afecta dozarea hormonilor endogeni în ser sau a metabolitilor lor în urina. Se administreaza dexametazona oral, în doza de 0,5 mg la 6 ore si se dozeaza glucocorticoizii (cortizol plasmatic si liber urinar, 17 OH CS urinari) înainte si dupa administrarea medicamentului.
Un raspuns normal, adica supresarea 17 OH CS urinari cu peste 50 % din valorile initiale sau ale cortizolului plasmatic sub 5 µg/dl si al celui urinar sub 20 µg/24 ore exclude diagnosticul de sindrom Cushing, diferentiind astfel formele de hipercorticism functional.
Alte determinari de laborator în sindromul Cushing
Pentru identificarea cauzei sindromului Cushing se pot folosi multiple teste, dar nici unul din acestea nu este întotdeauna definitoriu, diagnosticul putând fi dificil uneori.
Trei determinari sunt mai importante:
nivelul plasmatic de ACTH
supresia cu doze mari de dexametazona
testul la metyrapon.
|
Fig.17. Adenom suprarenalian - piesa operatorie. |
Diagnostic diferential
Diagnosticul diferential cuprinde toate cauzele care pot genera un exces de gluco-corticoizi circulanti, cea mai frecventa fiind administrarea iatrogena de glucocorticoizi.
Boala Cushing cuprinde majoritatea cauzelor noniatrogene. Aproximativ 95% dintre pacientii cu boala Cushing au tumori hipofizare detectabile. Sindromul Cushing poate fi cauzat si de o secretie ectopica de ACTH sau CRH din unele tumori. Majoritatea tumorilor suprarenaliene au o secretie autonoma de glucocorticoizi, acest lucru fiind util în diag-nosticul diferential al sindromului Cushing. Multe dintre tumori sunt unilateral, dar uneori pot aparea si tumori bilaterale. La majoritatea pacientilor sub 15 ani, cauza sindro-mului Cushing este reprezentata de carcinomul suprarenalian.
Tratament
Tratamentul cazurilor cu secretie ectopica de ACTH
Tratamentul bolii Cushing
Tratamentul sindromului Cushing tumoral
Forme clinice particulare
Sindromul Cushing în timpul sarcinii
Aproximativ 5-9% dintre cazurile descoperite în timpul sarcinii sunt ACTH- indepen-dente si 33% sunt ACTH-dependente.
În timpul evolutiei normale a sarcinii se produce o crestere a proteinei plasmatice care leaga cortizolul.
De asemenea, nivelul cortizolului urinar liber este ridicat.
Rezistenta la supresia cu dexametazona creste cu fiecare trimestru.
Studiile imagistice sunt contraindicate în timpul graviditatii, în special în primul trimestru.
Exista autori care au utilizat RMN pentru a identifica adenoamele hipofizare la paciente cu boala Cushing.
Prin îndepartarea chirurgicala a adenomului (în special în al doilea trimestru), se reduce atât morbiditatea materna cât si cea fetala.
Alternativ, s-a încercat tratamentul cu metyrapon sau adenomectomie trans-sfenoidala în cazul unei indicatii precise (Casson, 1987).
Datorita transferului transplacentar scazut al corticosteroizilor suprarenalieni, fetusul nu este afectat si, în majoritatea cazurilor, nu este necesar tratament de substitutie steroi-diana dupa nastere.
Totusi rata de prematuritate este crescuta.
IV. Hiperaldosteronismul primar
Deming si Luetscher (1950) au fost primii care au descris o entitate clinica caracte-rizata prin retinerea sodiului în organism. Trei ani mai târziu a fost identificat aldosteronul, iar apoi a fost descris (Conn, 1955) sindromul clinic al hiperaldosteronismului primar (sindromul Conn).
Sindromul Conn este definit ca o hipersecretie de aldosteron la un pacient hipertensiv fara edeme în prezenta unei activitati scazute a reninei plasmatice. Hiper-aldosteronismul primar trebuie suspectat la orice pacient hipertensiv cu hipokaliemie. Incidenta exacta a bolii nu este bine cunoscuta, fiind apreciata la circa 1% din pacientii hiper-tensivi. Raportul femei/barbati este de 2,5:1, iar aproximativ 75% dintre pacienti au vârsta cuprinsa între 30-50 de ani.
Fig.18. Fiziopatologia hiperaldosteronismului primar si secundar.
Diagnosticul clinic
Pacientii cu sindrom Conn prezinta urmatoarele simptome în ordinea frecventei:
La indivizii normali sau la pacientii cu hipertensiune esentiala, activitatea reninica plasmatica scade în timpul cresterii volumului sanguin, determinând diminuarea nivelului de aldosteron. La pacientii cu hiperaldosteronism primar, secretia de renina este suprimata înainte de încarcarea salina.
Astfel, expansiunea aditionala a volumului nu conduce la scaderea nivelului de aldosteron în aceleasi limite ca la subiectii normali sau la cei cu hipertensiune (Arteaga, 1985). Acest test consta în administrare orala de cortizon timp de 5 zile însotita de un regim hipersalin (peste 200 mEq/zi, timp de 3 zile).
Dozarea aldosteronului urinar pe 24 de ore la indivizii normali este mai mare de 10 μg, iar la pacientii cu hiperaldosteronism primar mai mare de 14 μg.
Dozarea metabolitilor cortizolului
În hiperaldosteronismul primar datorat unui adenom suprarenalian 18-hidroxi-cortizolul si 18-oxocortizolul sunt crescuti, ei fiind normali în hiperplazia adrenaliana non-adenomatoasa. Acest "pattern steroidian" reflecta pierderea functiei normale a zonelor suprarenalei (Blumenfeld, 1993).
Alte explorari folosite în diagnosticul hiperaldosteronismului:
dozarea aldosteronului de la nivelul venei suprarenaliene ramâne cel mai specific test folosit pentru localizarea productiei în exces de aldosteron. Este o metoda invaziva care se realizeaza prin cateterizarea venei suprarenale (cu dificultate mai mare pe partea dreapta datorita venei mai scurte si riscului traumatic local).
La pacientii cu adenom producator de aldosteron, concentratia aldosteronului este crescuta ipsilateral si scazuta controlateral. În cazul hiperaldosteronismului idiopatic se observa o crestere bilaterala a secretiei.
CT
si RMN pot identifica adenoame mai mici de 1 cm.
scintigrafia cu I-6-iodometil-19-norcoles-terol poate vizualiza glandele supra-renale dar interpretarile pot fi subiective, deoarece captarea radiotrasorului poate fi asimetrica chiar la subiectii normali.
|
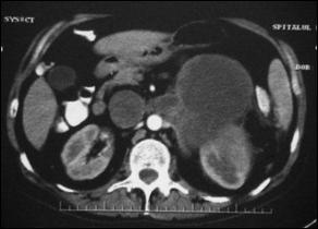
Fig.19. Adenom suprarenalian stâng secretant de aldosteron (sindrom Conn) - aspect TC. |
Fig.20. Algoritm de diagnostic si tratament în hiperaldosteronismul primar
(dupa Blumenfeld JD, 1994).
Tratament
V. Mase suprarenaliene non-functionale
Adenoame adrenocorticale non-funcționale
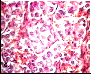
Este dificil de diferentiat, chiar prin examen anatomopatologic, adenomul de carci-nomul suprarenalian (Medeiros, 1992). Pot fi considerate adenoame toate masele suprare-naliene mari care nu se comporta biologic asemanator carcinoamelor. Totusi, exista cazuri când unele leziuni aparent benigne pot dezvolta metastaze. De aceea, se recomanda ablatia chirurgicala a oricarei formatiuni cu diametru mai mare de 5 cm.

. Adenom suprarenalian stâng nesecretant.
a) aspect TC; b). aspect microscopic oncocitar (HEx400).
flowcitometria poate demonstra caracterul aneuploid al celulelor în cazul carci-noamelor (Klein, 1995). Exista autori care au sugerat existenta în cazul carcinomului atât a caracteristicilor aneuploide cât si a celor diploide. Totusi, supravietuirea pe termen lung este legata mai mult de caracterul hipo- sau hiperdiploid decât de pattern-ul aneuploid (Haak, 1993)
diferentiere neuroendocrina (Haak, 1995)
mutatii ale p53 (Reincke, 1994)
studii imunohistochimice cu anticorpi monoclonali (Tartour, 1993).
Mielolipomul
Metastazele suprarenaliene
Tumorile secundare adrenale sunt mai frecvente decât cele primitive și sunt adesea diagnosticate în decadele VI-VIII de viața. În aprox. 50% din cazuri sunt bilateral, iar pacienții pot prezenta manifestari clinice de insuficiența adrenocorticala. Diagnosticul diferential între o leziune primara si una secundara este foarte important, putând fi realizat preoperator cu ajutorul examenelor CT sau RMN. 90% din tumorile metastatice adrenale sunt carcinoame metastatice (plamân, sân, stomac, esofag, pancreas/cai biliare, ficat, rinichi, ovar, colon, toroida, glanda suprarenala contralaterala), iar 18-25% dintre pacienții cu limfoame maligne prezinta afectare secundara a glandelor suprarenale. Alte tumori metastatice adrenale sunt reprezentate de melanomul malign, angiosarcomul, sarcomul Kaposi (la pacienții HIV pozi-tivi) și, foarte rar, leiomiosarcomul și tumora malign de teaca de nerv periferic (Ronald A, 2004; Lloyd RV, 2004).
|
Fig.23. Melanom malign pigmentat - aspect microscopic (HEx200). |
|
Fig.24. Metastaza de carcinom renal invaziv - aspect microscopic (HEx200). |


Fig.25. Metastaza suprarenaliana dreapta
masiva, cu punct de plecare bronhopulmonar - aspect TC. Fig.26. Voluminoasa metastaza suprarenaliana
stânga, cu tromboza extensiva de vena renala
stânga si vena cava inferioara - aspect TC.
Fig.27. Metastaza
suprarenaliana dreapta masiva, cu punct de plecare
bronhopulmonar - piesa operatorie.

Chisturile
suprarenaliene
Fig.28. Chist suprarenalian drept
- aspect TC.
Fig.29. Algoritmul de evaluare a formatiunilor suprarenaliene descoperite incidental
(dupa Darracott E. & Blumenfeld D., 1997).
VI. Tumori functionale - Carcinomul corticosuprarenalian
Tabelul 5. Criterii pentru diagnosticul carcinomului adrenocortical.
|
Criterii |
Hughes si col. |
Weiss |
Van Slooten si col. |
Aubert si colab. |
|
Aspecte histologice frecvente Tumori corticale suprarenaliene secretante de testosteron Tumori corticosuprarenaliene secretante de estrogeni Fig.33. Carcinom suprarenalian drept voluminos - aspect TC. |
Fig.34. Carcinom suprarenalian stâng voluminos. a) piesa operatorie; b) aspect TC.
Carcinomul suprarenalian la copii
Carcinomul cortical suprarenalian secretant de aldosteron
Tratament
Abrams HL, Siegelman S, Adams DF et al. - Computed tomography versus ultrasound of the adrenal gland: A prospective study. Radiology 1982;143:121.
Addison O -The Constitutional and Local Effects of Disease of the Suprarenal Capsules. London, Samuel Highley, 1855.
Angermeier KW, Montie JE - Perioperative complication of adrenal surgery. Urol Clin North Am 1989; 16:597-606.
Arteaga E, Klein R, Biglieri EG - Use of the saline infusion test to diagnose the cause of primary aldosteronism. Am J Med 1985; 78:722-727.
Bagshaw EKD - Hypokalemia carcinoma and Cushing's syndrome. Lancet 1966;2:284.
Belldegrun A - What to do about the incidentally found adrenal mass.World J.1989;7:117-120.
Besser GM, Edwards CRW - Cushing's syndrome. J Clin Endocrinol Metab 1972;1:451.
Bianchi H, Ferrari A - The arterial circulation of the left suprarenal gland. Surg. Radiol Anat 1991;13:113-116.
Blumenfeld JD - Hypertension and adrenal disorders.Curr Opin Nephrol Hypertens 1993;2:274-282.
Bravo EL - Pheochromocytoma: New concepts and future trends. Kidney Int 1991;40:544-556.
Bravo EL, Gifford RWJr - Pheochromocytoma: Diagnosis, localization and management. N Engl J. Med 1984;311:1298.
Brennam MF - Adrenocorticoid carcinoma. Cancer 1987;37:348.
Burch WM - Cushing'disease: A review. Intern Med 1985;145:1106.
Conn JW - Primary aldosteronism. J Lab Clin Med 1955b;45:661.
Dunick NR - Adrenal imaging: Current status. Am J Radiol 1990;154:927.
Ein SH, Shandling B, Wesson D, Filler RM - Recurent pheochromocytomas in children. J. Pediatr Surg 1990 ;25:1063-1065.
Glass AR, Zavadil AP, Halberg F et al. - Circadian rhytm of serum cortisol in Cushing's disease. J Clin Endocrinol Metab 1984;59:161.
Glenn F, Peterson RE, Mannix H Jr - Surgery of the Adrenal Glands. New York, Macmillan,1968.
Haak HR, Fleuren GJ - Neuroendocrine differetiation of adrenocortical tumors. Cancer 1995;75:860-864.
Hardy J - Transphenoidal hypophysectomy. J. Neurosurg 1971.
Higashihara E, Tanaka Y, Horie S - Laparoscopic adrenalectomy: The initial 3 cases. J Urol 1993; 149:973
Hinman FJR - Atlas of Urologic Surgery, second edition, 1998.
Hoffman DL, Mattox VL - Treatment of adrenal cortical carcinoma with o,p' DDD. Med Clin North Am 1972;50:994.
Horton R, Finck N - Diagnosis and localization in primary aldosteronism. Ann Intern Med 1972;76:885.
Howlet TA, Rees LH, Besser GM - Cushing's syndrome. J Clin Endocrinol Metab1985;14:911.
Hume TM - Pheochromocytoma in the adult and in the child. Am J Surg 1960;99:458.
Irvine WJ, Barnes EW - Adrenocortical insufficiency. J Clin Endocrinol Metab 1972;1:549.
Janus CL, Mendelson DS - Comparison of MRI and CT for Study of renal and perirenal masses. Crit Rev Diag Imaging 1991;32:69-118.
Johnstone FR - The suprarenal veins. Am J Surg 1957;94-615.
Larson C, Nordenskjold M - Multiple endocrine neoplasia .Cancer Surveys 1990;9 :703-723.
Libertino JA, Novick JE - Adrenal surgery. Urol Clin North Am 1989.
Lloyd RV, Kawashima A, Tischler AS - Adrenal soft tissue and germ cell tumors. In: Pathology and Genetics of Tumours of Endocrine Organs. Lyon, IARCPress, 2004; 172-173.
Lubat E, Weinreb JC - Magnetic resonance imaging of the kidney and adrenals. Top Magn Reson Imag 1990;2:17-36.
Mains RE, Eipper BA - Structure and biosynthesis of proadrenocorticotropin/endorphin and related peptides. Endocr Rev 1980;1:1.
Malhotue V - Anesthesia for renal and genitourinary surgery. New York, Mc Graw-Hill,1995.
Medeiros LJ, Weiss LM - New developments in the pathologic diagnosis of adrenal cortical neoplasms; A review Am J Clin Pathol 1992 ; 97:73-83.
Melby JC - Primary aldosteronism. Kidney Int 1984; 26:769-778.
Miller J, Crapo L - The biochemical analysis of hypercortisolism. Endocrinologist 1994;4:7-16.
Newhouse JH - MRI of the adrenal gland. Urol Radiol 1990;12:1.
Orth DM - Cushing's syndrome. N Engl J Med 1995: 332:791.
Player JE - Carcinoma of the adrenal cortex: Clinical description, diagnosis and treatment. Int Adv Surg Oncol 1984; 7:329.
Ronald A. Delellis, Shamlal Mangray - The Adrenal Glands. In: Sternberg's Diagnostic Surgical Pathology, edited by Mills SE, 4th Ed., Lippincott Williams and Wilkins, 2004, vol.1, chp.14:621-667.
Sasano H, Young WF, Chrousos GP et al. - Adrenal Cortical Adenoma. In: Pathology and Genetics of Tumours of Endocrine Organs. Lyon, IARCPress, 2004; 143-146.
Sinescu I, Gîngu C, Chibelean C, Hârza M, Plugaru G, serbanescu B M.E.N. II Syndromes. Congresul Asociatiei Central-Europene de Urologie, Budapesta, 6-9 septembrie 2001.
Sinescu I, Glück G, Angelescu E - Tumorile glandelor suprarenale. Congresul National de Urologie, Iasi, 30 sept. - 3 oct. 1998.
Sinescu I, Glück G, Angelescu E, Manu MA - Tumorile glandei suprarenale. Sesiunea stiintifica a Spitalului "Fundeni", 10 - 11 decembrie 1998.
Sinescu I, Hârza M, C Gîngu, B serbanescu, C Chibelean - Sindromul MEN II - feocromocitom bilateral. sedinta Societatii Române de Urologie, Filiala Bucuresti, 1997.
Sinescu I, Hârza M, Gîngu C, serbanescu B, Chibelean C - Sindromul MEN II. Sesiunea stiintifica - Zilele Institutului Clinic "Fundeni", 2001.
Sinescu I, Hârza M, Gîngu C, serbanescu B, Chibelean C, Voinea S - Extra-adrenal pheocrome tumours - diagnosis and treatment. ESU Central European Meeting, Bratislava, Slovacia, 17 - 20 octombrie 2002
Sinescu I, M Hârza, C Gîngu, B serbanescu, C Chibelean - Sindrom M.E.N. II - feocromocitom adrenal bilateral - prezentare de caz. Congresul National de Urologie, Sibiu, 22-25 Sept. 1999.
Sinescu I, M Hârza, C Gîngu, C Chibelean, B serbanescu - MEN II - Feocromocitom adrenal bilateral - prezentare de caz. Al doilea Congress balcanic de urologie, Macedonia, 25-27 Mai 2000.
Sinescu I, M Hârza, M Manu, C Gîngu, B serbanescu, C Chibelean, M Mihai - Tumori endocrin-inactive ale glandei suprarenale. Congresul National de Urologie, Sibiu, 22-25 Sept. 1999.
Sinescu I, M. Hârza, C. Gîngu, B. serbanescu, C. Chibelean - Feocromocitom suprarenalian bilateral - Sindrom MEN IIA si MEN IIB (MEN III). Al X-lea Congres al Societatii Române de Urologie, Bucuresti, 27-30 Septembrie 2000.
Smith MG, Byrne AJ - An Addisonian crisis complicating anesthesia. Anesthesia 1981;36:681.
Tank ES, Gelbard MK, Blank B - Familial pheochromocytomas. J Urol 1982;128:1013.
Thompson LDR, Young WF, Kawashima A et al. - Malignant adrenal phaechromocytoma. In: Pathology and Genetics of Tumours of Endocrine Organs. Lyon, IARCPress, 2004; 151-155.
Tischler AS, Kimura N, Lloyd RV et al. - Composite phaechromocytoma or paraganglioma. In: Pathology and Genetics of Tumours of Endocrine Organs. Lyon, IARCPress, 2004; 156-158.
Vaughan ED Jr, Carey RM - Adrenal Disorders. New York, Thieme Medical Publishers, 1989a.
Weiss LM, Bertagna X, Chrousos GP et al. - Adrenal Cortical Carcinoma. In: Pathology and Genetics of Tumours of Endocrine Organs. Lyon, IARCPress, 2004; 135-174.
Politica de confidentialitate |