ANATOMIA SI FIZIOLOGIA SANGELUI
Sangele este un lichid vital existent in corpul oamenilor precum si in cel al animalelor, care hraneste toate organele si tesuturile corpului si elimina substanțele nefolositoare sau reziduale din organism,de aici si denumirea de "raul vietii". Sangele īmpreuna cu limfa si lichidul interstițial formeaza mediul intern al organismului.El se caracterizeaza prin culoarea rosie,mirosul sau specific prin gustul sau sarat,printr-o slaba reactie (Ph) alcalina, 727s1813h este vascos si iriga toate organele si țesuturile.
PROPRIETATILE SANGELUI
Greutatea specifica(densitatea) a sangelui este la femei de 1057 iar la barbati de 1061. Densitatea separata a masei globulare este de 1097,iar a plasmei de 1027.La nou-nascut valorile sunt ceva mai crescute decat la adult.Componentele sīngelui cu importanța cea mai mare in determinarea valorii densitații sunt elementele figurate, eritrocitele in special, proteinele plasmatice si apa.Variațiile fiziologice determinate de sex si varsta (densitate mai mai mare la nou nascut si la barbat)se datoresc deci unui numar mai mare de globule rosii.Cresteri ale densitatii peste valorile normale se intīlnesc fiziologic la altitudine,in efort(datorita splenocontractiei), deshidratari prin transpirație ,iar patologic, īn diaree, voma, poliglobulii primare sau secundare si soc. Scaderi fiziologice ale densitatii sīngelui se semnalizeaza la gravide, dupa ingerari masive de lichide, iar patologice in anemii in hemoragii. Vīscozitatea (in raport cu apa)variaza in mod normal īntre 3,5 si 5,4.Vīscozitatea determina scurgerea laminara(in straturi)a sīngelui prin vase,cresterea vascozitatii peste anumite valori este un factor de īngreunare a circulației.Variațiile greutații specifice și a vascozitați sunt determinate de variația numarului de elemente figurate.Factorii care determina vīscozitatea sīngelui sunt:hematocritul(dependent de elemente figurate)si proteine plasmatice (in primul rīnd fibrinogenul si imunoglobulinele Ig G si Ig M).Vīscozitatea sīngelui variaza in funcție de o serie de parametrii fizici :
- temperatura ; vīscozitatea variaza invers proportional cu temperatura ; ca urmare vīscozitatea sīngelui in teritoriul cutanat expus la rece este mai mare decīt in vasele profunde ; simpla scufundare a bratului in apa la 4 grade Celsius crește valorile vīscozitații regionale de trei ori ; creșterea temperaturii, dimpotriva, determina scaderea vīscozitații sīngelui ;
- viteza de curgere a sīngelui - in condițiile vitezelor mari eritrocitele se dispun in lungul axului central al sensului de curgere si forța de frecare interna este minimala.Odata cu scaderea vitezei,tendința eritrocitelor de a ocupa axul curentului diminua,iar curgerea elementelor figurante īn ' suspensie' permite numeroase coliziuni intercelulare care cresc frecarea interna deci,vaīcozitatea ;
- diametrul vascular - īscozitatea relativa a sīngelui scade proporțional cu raza īn vasele cu calibru mai mic de 300 ; scaderi ale vīscozitații determina scaderi ale presiunii arteriale. In utilizarea de substituenți artificiali ai plasmei pentru refacerea volemiei și a presiunii arteriale, asigurarea unei vīscozitati normale a substituienților perfuzați este o condiție obligatorie.
Volumul sanguin(volemia) cantitatea de sīnge din organism reprezinta 7% din greutatea corpului. Aceasta īnseamna circa 5 litri de sīnge pentru un individ de 70 Kg. Volemia variaza īn condiții fiziologice, īn funcție de sex (este mai mare la barbați), vīrsta (scade cu īnaintarea īn vīrsta) , mediul geografic (este mai mare la locuitorii podisurilor inalte). Volumul normal de sīnge din corp se numește normovolemie și organismul sanatos are mecanisme specifice pentru menținerea ei. In unele stari patologice volumul total al sīngelui se schimba : scade (hipovolemie) ca īn cazuri de hemoragie , īn diferite forme de anemii, īn mixedem etc ; sau crește (hipervolemie) ca īn hipertiroidism, leucemie etc. In repaus o parte din masa sangvina a corpului stagneaza īn teritorii venoase și capilarele din ficat, splina și țesutul subcutanat . Acesta este volumul sangvin stagnant sau de rezerva, īn cantitate de 2 litri. Restul de 3 litri īl reprezinta volumul circulant. Raportul dintre volumul circulant și volumul stagnant nu este fix, ci variaza īn funcție de condițiile de existența. In cursul efortului fizic sau termoreglator are loc mobilizarea sīngelui de rezerva, crescīnd volumul circulant. Mentinerea volumului saqnvin īn limite constante, īn ciuda ingerari unor cantitați variabile de lichide, presupune existența unor mecanisme de reglare. Reglarea se face diferit pentru volumul plasmatic și pentru cel globular.
Reglarea volumului plasmatic. In reglarea volumului plasmatic intervin mecanisme reflexe și umorale, care influențiaza atīt procesele de filtrare și reabsorbție capilara, cīt și cele de excreție renala.
-mecanisme reflexe ; receptorii de volum(voloreceptorii) care inițiaza astfel de reflexe sunt situați, īn parte, īn atriu stang. Distensia atriului de catre volumul sangvin marit , determina stimularea receptorilor și o reducere reflexa a secreției de ADH din hipotalamus, cu eliminarea excesiva a apei prin rinichi și restabilirea volumului plasmatic. Volumul sangvin marit determina o anumita creștere a debitului cardiac și presiunii arteriale. Presiunea arteriala mai ridicata excita baroreceprtorii și provoaca un raspuns reflex similar cu cel inițiat de stimularea voloreceptorilor. Reflexele declanșate de voloreceptori , de obicei , readuc volumul sangvin la normal intr-o ora. Voloreceptorii īnsa se adapteaza complet la 1-3 zile de la instalarea modificari de volum și nu mai transmit semnale corectoare. De aici reiese ca receptorii pentru volum au importanța īn restabilirea volumului sangvin īn primele ore sau zile.
-mecanismele umorale. Pastrarea īntre limitele fiziologice a volumului plasmatic se face și prin intervenția hormonilor ADH, aldosteron, factorului natriuretic atrial ,precum și a proteinelor plasmatice.
Reglarea volumului globular. Volumul globular crește sau se reduce īn funcție de gradul de oxigenare a țesuturilor. Hipoxia (scaderea aportului de oxigen la nivelul țesuturilor) determina creșterea volumului globular. Scaderea volumului globular are loc cīnd nevoile īn oxigen ale țesuturilor diminua , cum se īntampla in hipotiroidism. Ori de cīte ori volumul globular scade , are loc o creștere a volumului plasmatic, care reface volumul sangvin.
Reacția sīngelui - conditii fiziologice pH plasmatic fiind īntre 7,35-7,40. Constanta de cea mai mare importanta pentru activitatea unor sisteme enzimatice reactia sanguina este mentinuta īn limite normale prin mecanisme complexe fizicochimice si fiziologice.
Culoarea rosie a sīngelui se datoreaza hemoglobinei din eritrocite. Culorea sīngelui poate varia īn condiții fiziologice sau patologice. Sīngele recoltat din artere (sīnge arterial) este de culoare roșu deschis(datorita oxihemoglobinei) iar sīngele recoltat din vene (sange venos) are culoare roșu īnchis (datorita hemoglobinei reduse)
Presiunea osmotica - īn orice soluție , apare o presiune statica suplimentara ce poate fi pusa īn evidența separīnd , printr-o membrana semipermeabila , solventul de soluția respectiva. Membrana semipermeabila permite trecerea solventului prin membrana spre compartimentul ocupat de soluția respectiva. Presiunea osmotica are rol important īn schimburile de substanțe dintre capilare si țesuturi. Masurarea presiunii osmotice se face cu osmometrul: un vas de sticla prevazut la o extremitate cu un tub capilar iar la cealalta extremitate cu o membrana semipermeabila ce permite trecerea apei și īmpiedica trecerea sarurilor. In osmometru se introduce plasma, iar aparatul se scufunda īn apa distilata. Apa este atrasa īn osmometru și urca pe tubul capilar proporțional cu presiunea osmotica. Presiunea osmotica reprezinta presiunea ce poate opri expansiunea lichidului, fiind egala īn plasma cu 6,7 atmosfere, adica cu 5300mm/Hg. Presiunea osmotica a sīngelui masoara 300 miliosmoli pe litru. Doua soluții cu aceeași presiune osmotica sunt izoosmotice. O soluție ce are presiunea osmotica mai mare decīt o soluție cu care se compara, este considerata hiperosmotica, iar cīnd are o presiune osmotica mai mica, hipoosmotica. Toate compartimentele lichidiene ale organismului au aceeași presine osmotica. O soluție izotonica are presiunea osmotica egala cu a lichedelor organismului. Cīnd presiunea osmotica depașește pe cea a lichidelor organismului se socotește drept hipertonica. Soluția hipotonica, se caracterizeaza printr-o presiune osmotica inferioara lichidelor organismelor. Celule organismului sunt adevarate osmometre datorita faptului ca membrana lor este semipermeabila. Cīnd presiunea osmotica crește sunt stimulați osmoreceptorii din hipotalamulul anterior și se declanșeaza secreția de ADH care reține apa și restabilește presiunea.
Presiunea coloidosmotica - este atribuita prezenței īn sīnge a substanțelor macromoleculare (proteine) . Proteinele plasmatice contribuie la presiunea osmotica abia cu 25mm/Hg. Valoarea scazuta a presiunii coloidosmotice se explica prin dimensiunile foarte mari ale proteinelor (greutatea moleculara a unor fractiuni este peste 1milion) și numarul redus de particole. Presiunea coloidosmotica joaca rol important īn procesul de schimb capilar. In zona ansei arteriale a capilarului, presiunea hidrostatica īmpinge apa cu substanțele micromoleculare īn interstițiu cu 35mm/Hg iar presiunea coloidosmotica de numai 25mm/Hg tinde sa rețina apa și substanțele micromoleculare īn vase. Presiunea hidrostatica fiind predominanta, apa și micromoleculele trec īn interstiții, proces numit ''transudare''. In capilarul venos presiunea coloidosmotica ramīne de 25mmHg, pe cīnd presiunea hidrostatica scade la 15mm/Hg, ceea ce face ca apa din lichidul interstițial sa fie resorbita īn capilare (edemele apar cīnd proteinemia scade sub 5,5g%).
Proprietațile de aparare ale sīngelui
Imunitatea
Prin componentele sale, sīngele indeplinește un rol foarte important și īn apararea organismului contra microorganismelor producatoare de boli. Datorita acțiunii sīngelui , organismul are o rezistența care impiedica īmbolnavirea. Aceasta stare de rezistența a organismului fața de acțiunea de infecție a microorganismelor patogene se numește imunitate, iar ramura biologiei care studiaza imunitatea se numește imunologie. Un microorganism patogen (bacterie ,virus) produce toxine care au acțiune nociva asupra organismului. Pentru a impiedica aceasta acțiune nociva, și, īn consecința, īmbolnavirea ,organismul trebuie sa actioneze atīt asupra microorganismului, cīt și asupra toxinelor produse de el. La aceasta acțiune a organismului contribuie leucocitele si anticorpii. Substanța eliberata de microorganism exercita o actiune de atracție asupra fagocitelor ; acestea parasesc vasele sanguine și se apropie de punctul de intrare a microorganismului. Mișcarea fagocitelor catre microorganism constituie un chemotactism pozitiv. Apoi fagocitele ingera și digera microorganismul. Daca fagocitele reușesc sa distruga microorganismele intrate īn corp, imbolnavirea nu se produce. Sunt īnsa cazuri īn care numarul microorganismelor invadatoare fiind mare, acestea reușesc sa omoare multe leucocite ; leucocitele moarte formeaza puroiul care este , in cele din urma, īndepartat tot prin actiunea fagocitelor. Daca fagocitele nu vor reuși sa distruga microorganismele invadatoare, se va declanșa boala.
Patrunzīnd in corpul omenesc, microorganismele se comporta ca antigene.In general, se numesc antigene acele corpuri care, intrīnd in organism, īl fac sa produca substanțe numite anticorpi, care intra īn reacție cu antigenele care le-au determinat, sau cu unele derivate ale acestora. Anticorpii sunt subsanțe proteice care apar in plasma numai īn prezența unui antigen și au acțiune specifica, adica acționeaza numai asupra antigenului care le-a provocat apariția. Ei se formeaza īn sistemul reticulohistiocitar și īn țesutul limfatic. La baza compoziției chimice a anticorpilor stau globulinele plasmatice. Dupa cum acționeaza , anticorpii se grupeaza:
- aglutinine care īmpiedica raspīndirea īn tot corpul a microorganismelor ;
- lizine, care distrug microorganismele;
- precipitine, care precipita substanțele proteice straine;
- antitoxine, care neutralizeaza toxinele produse de microorganisme;
- opsonine, care sensibilizeaza microorganismele fața de acțiunea fagocitelor.
Fagocitele și anticorpii joaca rolul principal īn asigurarea imunitații. Acțiunea lor nu se desfașoara izolat : anticorpii pregatesc stimuleaza, intr-o mare masura, acțiunea fagocitelor, prin sensibilizarea și slabirea microorganismului, facīnd, īn felul acesta, ca el sa fie mult mai ușor distrus de fagocite. Intre fagocite și anticorpi exista deosebiri care privesc felul cum īși desfașoara acțiunea. Fagocitele pot incorpora orice particula straina care a patruns īn corp sau chiar particule care au patruns īn corp (fragment de celule) ; ele au o acțiune nespecifica , pe cīnd acțiunea anticorpilor este strict specifica, cum s- a aratat mai sus. Pe langa fagocite și anticorpi, intervin īn asigurarea imunitații numeroase alte dispozitive, dintre care merita sa amintim, dispozitivele de bariera, cum sunt tegumentul cu anexele lui și diferite mucoase. Acestea au un rol foarte important īn impiedicarea intrarii microorganismelor, daca sunt intacte; fiecare leziune a lor reprezinta o poarta de intrare a microorganismelor īn corp. Si unele organe interne aparțin dispozitivelor de bariera ; așa este ficatul, cu rol foarte important īn apararea organismului. Toate aceste dispozitive de aparare funcționeaza coordonat și se gasesc sub controlul sistemului nervos central și īn special al scoarței cerebrale. Imunitatea poate prezenta aspecte foarte variate, īn general ea putīnd fi naturala sau artificiala
IMUNITATEA NATURALA -este nereceptivitatea oganismului fața de anumite boli , fara nici un fel de intervenție artificiala. Ea se poate prezenta sub doua forme: imunitate naturala innascuta și imunitatea naturala dobandita.
Imunitatea naturala innascuta se manifesta chiar din momentul nașterii. La nou-nascut , īn primele saptamīni de viata , imunitatea este realizata prin acțiunea anticorpilor care s- au format īn corpul mamei și au trecut, prin placenta , īn sīngele fatului. Mai tīrziu se declanșeaza mecanismul propriu de formare a anticorpilor. Imunitatea naturala innascuta se manifesta foarte diferit la organisme diferite ; de aceea receptivitatea fața de un anumit microorganism patogen este și ea diferita, dupa indivizi. Așa se explica de ce unii oameni se imbolnavesc de o anumita boala , iar alții nu.
Imunitatea naturala dobandita este imunitatea pe care organismul nu o are īn momentul nașterii, dar o capata dupa ce a suferit o infectare naturala cu un anumit microorganism patogen, adica , dupa ce a suferit de o anumita boala infecțioasa, organismul devine imun , nereceptiv pentru microorganismul care a produs aceasta boala. In acest caz, in timpul infectiei , sub acțiunea microorganismului patogen , se declanseaza mecanismele de aparare care previn o noua infecție. Imunitatea naturala dobandita sau imunitatea prin imbolnavire nu se manifesta pentru toate bolile infecțioase, iar durata ei este variabila, depinzīnd de caracterele individuale și de natura bolii. Sunt cazuri cīnd, pentru aceeași boala infectioasa , imunitatea dobīndita , se manifesta la unii indivizi (la care boala nu recidiveaza pentru toate bolile infectioase, iar durata ei este variabila, depinzīnd de caracterele individuale și de natura bolii. Sunt cazuri cīnd, pentru aceeasi boala infecțioasa , imunitatea dobīndita , se manifesta la unii indivizi (la care boala nu recidiveaza) și nu se manifesta la alți indivizi (la care boala recidiveaza , chiar de mai multe ori) ; tot astfel unele boli infecțioase, cum este scarlatina, dau imunitate dobīndita, pe cand altele, cum este gripa, nu dau imunitate dobīndita și de aceea recidiveaza.
IMUNITATEA ARTIFICIALA- este imunitatea care se realizeaza in mod artificial ,adica prin tratament medical.Dupa mecanismul prin care se realizeaza ea poate fi: imunitate activa și imunitate pasiva.
Imunitatea activa este imunitatea īn care organismul īsi produce singur mijloacele specifice de aparare , anticorpii, sub influența unui preparat introdus īn mod artificial. Introducerea acestui preparat īn corp se numește vaccinare sau imunizare activa. Preparatele folosite īn acest scop pot fi: vaccinul și anatoxina.
Vaccinul este un preparat format dintr-o cultura de microorganisme patogene, care introdus in corp funționeaza ca antigen și provoaca formarea anticorpilor specifici. Microorganismele pot fi omorīte sau slabite. Prin omorīrea sau slabirea, microorganismele și-au pierdut virulența, adica puterea de a produce toxina, și deci nu pot provoca starea de boala, dar īsi pastreaza proprietațile antigenice și stimuleaza organismul la formarea anticorpilor. Omorīrea sau atenuarea microorganismelor se poate face prin acțiunea unor agenți fizici (caldura, radiații ultraviolete) chimici(formol,alcool) sau biologic (bila,tesut nervos numita și toxoid este o toxina care și-a pierdut toxicitatea, dar și-a pastrat proprietatea de antigen; ea se prepara prin supunerea toxinelor la acțiunea unei substanțe chimice. Vaccinul și anatoxina funcționeaza ca antigene și stimuleaza organismul īn producerea anticorpilor, dar īn același timp, sunt stimulate și celelalte mecanisme care contribuie la asigurarea rezistenței organismului īmpotriva agenților patogeni. Vaccinarea este un mijloc de prevenire a īmbolnavirii organismlui și dau acestuia o imunitate de durata (īn unele cazuri de cīțiva ani)
Imunitatea pasiva este imunitatea care se obține prin introducerea īn corp a anticorpilor specifici gata formatați ; īn acest caz organismul nu folosește mijloacele specifice proprii, este pasiv. Pentru obținerea acestei forme de imunitate se folosește serul imun. Daca īn corpul omului au patruns sau au fost introduse microorganisme patogene, īn plasma apar anticorpi specifici. Serul care contine anticorpi se numește ser imun și poate fi folosit pentru vindecarea unei boli prin obținerea imunitații pasive. Serul imun se poate obține din sīngele oamenilor care au fost bolnavi de boli contagioase sau din sīngele unor mamifere (cal,iepure) care au fost infectate special ; serurile obținute din sīngele omului se numesc seruri omologe, iar cele obținute din sīngele mamiferelor se numesc seruri eterologe. Dupa acțiunea pe care o au, serurile pot fi : seruri antitoxice, care acționeaza asupra toxinelor, sau seruri antimicrobiene, care acționeaza asupra microorganismelor ; exista seruri cu acțiune mixta. Folosirea serurilor se face cu foarte mare atenție, īntrucīt ,in unele cazuri , prin introducerea serului se pot produce stari grave, cunoscute sub numele de reacțiile serului, care pot provoca chiar moartea. Imunitatea pasiva, care se obține cu ajutorul serului imun este, īn general de scurta durata. Ea variaza , dupa natura serului folosit, īntre 15 si 40 zile. Seroterapia se folosește mai mult cu scop curativ decīt preventiv. Imunitatea are o importanța covarșitoare pentru menținerea sanatații organismului.
FUNCTIILE SANGELUI
Transportul
de gaze - sāngele are rolul de a transporta gazele īmplicate īn procesul respirației.
De la nivelul plamānilor sāngele se īncarca cu oxigen (O2), pe care īl
transporta prin vasele de sānge la organe și țesuturi. Aici are
loc schimbul de gaze īntre tesuturi și sānge, oxigenul fiind transferat
catre țesuturi, iar dioxidul de carbon (CO2), rezultat din procesele
de ardere, trece īn sānge, urmānd a fi transportat la plamāni, unde va avea loc
un nou schimb de gaze.
Transportul de nutrienti, apa și produsii de catabolism - aceasta
funcție a sāngelui este de o importanța majora, īndeplinind
doua necesitați ale organismelor vii: nutriția și excreția.
De la nivelul zonei de absorție a tractului digestiv, sāngele se
īncarca cu nutrienți (ex: proteine, lipide, glucide, vitamine,
minerale etc.) și apa, pe care īi transporta cu ajutorul sistemului
circulator, la organe și țesuturi. Odata ajunși aici,
nutrienții și apa sunt transferați țesuturilor, iar
produșii reziduali rezultați din degradarea acestora, trec din țesuturi
īn sānge, prin intermediul caruia sunt transportați la rinichi, de
unde vor fi preluați de celulele specializate īn filtrare.
Transportul de molecule īn curs de
maturare - sāngele are rolul de a transporta substanțele īn curs de
maturare, de la un organ la altul, unde sufera modificari, pentru a putea
fi folosite īn procesele fiziologice. De exemplu parcursul vitaminei D, care
este produsa īn forma inactiva īn celulele tegumentare, de unde este
preluata de sānge și transportata la ficat, iar apoi la rinichi
pentru a putea fi transformata īn vitamina D activa. De aici vitamina
D activa este transportata de sānge īn intestinul subtire unde
ajuta la absorția calciului.
Transportul moleculelor cu rol īn
reglarea proceselor vitale - majoritatea proceselor din corpul uman sunt
reglate pe cale umorala, de catre hormoni. Pentru a ajunge de la organele, care
īi produc, pāna la organele ținta, hormonii sunt transportați prin
vasele sanguine, de catre sānge.
Reglarea pH-ului și menținerea
presiunii osmotice a mediului intern -sāngele conține substanțe
care ajuta la menținerea pH-ului īn limitele lui normale (7,35-7,40),
precum și substanțe care ajuta la menținerea īn limite
normale a presiunii osmotice a mediului intern.
Mentinerea temperaturii constante a corpului
- sāngele este implicat și īn procesele de termoreglare din organism.
Atunci cānd temperatura interna a corpului crește, sāngele preia o parte
din energia termica și o transporta la periferie, unde caldura
este eliminata īn mediul extern, iar īn situațiile īn care organismul
risca sa se raceasca prea mult, prin vasoconstricție
tegumentara, sāngele ajunge din ce īn ce mai puțin īn teritoriile
periferice ale corpului pentru a evita pierderea suplimentara a caldurii.
Protecție īmpotriva
substanțelor straine și agenților patogeni - unele
celule sanguine (leucocitele), precum și o serie de compusi biochimici din
sānge (anticorpii) constituie o importanța parte a sistemului
imunitar, protejānd organismul īmpotriva elementelor straine, precum microorganismele
si toxinele.
Formarea de coaguli - sāngele are
proprietatea de a se coagula īn locul unde un vas este lezat, astfel
prevenindu-se o eventuala pierdere excesiva de sānge. Deasemenea,
procesul de coagulare este primul pas din fenomenul de refacere al tesutului
Componentele sangelui
Sāngele tratat cu oxalat de sodiu 1% nu mai
coaguleaza.
Prin centrifugarea unei eprubete cu sānge incoagulabil timp de 15 la 3 000
t/minut se produce separarea sāngelui īn doua componente".
Elementele figurate ale sāngelui, situate la fundul eprubetei, se prezinta
ca un lichid foarte vāscos, de culoare rosie-īnchisa; Plasma sangvina, situata deasupra,
este un lichid mai putin vāscos, transparent, de culoare galben-citrin.
Elementele figurate ale sāngelui reprezinta 45% din volumul sangvin. Aceasta valoare poarta numele de hematocrit sau volum globular procentual. Hematocritul variaza cu sexul (mai mic la femei), cu vārsta (scade cu vārsta) sau īn functie de factori de mediu ambiant (caldura provocānd transpiratie duce la scaderea apei din sānge si cresterea valorilor hematocritu-lui) etc. Prin examenul microscopic al sāngelui se observa trei tipuri de elemente figurate:
- globulele rosii (hematii sau eritrocite);
- globulele albe (leucocitele)
- plachetele sangvine (trombocitele).
Pentru a studia elementele figurate se face un frotiu de sānge proaspat.
Se dezinfecteaza cu alcool pulpa degetului aratator si se
īnteapa cu un ac sterilizat. Īn momentul cānd apare o
picatura de sānge, aceasta se aplica pe o lama si se
īntinde īn strat subtire cu o lamela de sticla. Dupa
uscare, frotiul se examineaza la microscop. Frotiul poate fi conservat
prin fixare īn amestec de alcool-eter, īn parti egale.
Hematopoieza este procesul de
reīnnoire continua a elementelor figurate ale sāngelui. Exista cāte
o cale separata pentru fiecare din cele trei tipuri celulare principale
(eritropoieza pentru eritrocite, leucopoieza pentru leucocite si trombocitopoieza
pentru trombocite) iar la leucocite se descriu cai separate pentru
granulocite (granulocitopoieza) si pentru limfocite (limfopoieza).
Toate celulele sangvine au o origine comuna: celula stem pluripotentiala din maduva osoasa (celula
hematoformatoare primitiva).

Exista doua mari sectoare ale hematopoiezei: sectorul medular(mielopoieza), unde se formeaza eritrocitele, granulocitele și trombocitele, și sectorul limfatic(limfopoieza), unde se formeaza limfocitele și plasmocitele. Producția de celulele sanguine este adaptata permanent la necesitațile organismului; ea poate crește mult prin transformarea maduvei grasoase īn maduva hematopoietica.
ERITROCITELE hematiile-
globulele rosii) sunt celule fara nucleu, bogate īn hemoglobina,
un pigment de culoare rosie, cu rol īn transportul 02 si C02.
Numarul
lor este considerabil : un mm3 de sānge contine 4 500 000 hematii la
femeie si 5 000 000 la barbat. La copilul mic numarul
eritrocitelor este si mai mare (5 500 000-6 000 000/mm3), iar la
locuitorii podisurilor īnalte se īnregistreaza cifre de 8 000 000
globule rosii la 1 mm3. Numarul hematiilor poate creste temporar
prin golirea rezervelor de sānge (mai bogate īn hematii ca sāngele circulant).
Cresteri de lunga durata sunt poliglobulia de altitudine si
poliglobulia unor bolnavi de plamāni sau cu defecte congenitale ale inimii.
Scaderea numarului este consecinta unei distrugeri exagerate sau
a unei eritropoieze deficitare Forma si structura
hematiilor reprezinta adaptari morfologice la functia de
transport a gazelor. Privite din fata, hematiile apar ca discuri
rotunde sau usor ovalare cu centrul, de culoare mai deschisa si
periferia mai intens colorata galben-auriu. Acest aspect se datoreste
variatiei grosimii hematiei care la centru masoara 1,5 iar la
periferie, 2,5 µ Lipsa nucleului permite
o mai mare īncarcare cu Hb. In structura hematiei
se distinge o membrana lipoproteica. In interiorul hematiei se
afla o cantitate mare de hemoglobina(Hb). Hematia nu contine
organite celulare, nu este capabila de sinteza proteica
iar metabolismul sau este foarte redus, si, ca atare, hematia
consuma foarte putin oxigen.
ERITROPOIEZA Hematiile circulante reprezinta doar o
etapa din viata acestor elemente. Din momentul patrunderii īn
circulatie si pāna la disparitia lor trec aproximativ 120
zile (durata medie de viata a eritrocitelor). Desi traiesc
relativ putina vreme, numarul lor ramāne constant. Exista
un echilibru intre procesul de distrugere si cel de formare de noi
hematii. Sediul eritropoiezei este maduva rosie a oaselor, sediul
distrugerii este splina. Un organism adult are cam 1,5 kg maduva
rosie. Cantitatea ei variaza īn functie de nevoia de oxigen a
organismului.
Cānd aceste nevoi sunt reduse, o parte din maduva rosie intra īn
repaus, celulele se īncarca cu lipide si maduva rosie se
transforma īn maduva galbena. Spre batrānete,
maduva galbena sufera un proces de transformare fibroasa
si devine maduva cenusie. Daca apar conditii care
solicita eritropoieza (efort repetat, viata la altitudine) are loc un
proces invers, de transformare a maduvei galbene īn maduva
rosie si o sporire corespunzatoare a eritropoiezei. Intre
maduva rosie si cea galbena exista tot timpul
vietii un echilibru dinamic, controlat de sistemul reglator
neuro-endocrin.
Maduva cenusie nu mai poate fi recuperata pentru
hematopoieza. Eritropoieza se regleaza prin mecanisme
neuro-endocrine. Centrii eritropoiezei sunt situati īn diencefal, iar
excitantul principal este scaderea aprovizionarii cu oxigen a
acestor centri (hipoxia).
Hipoxia actioneaza si la nivelul rinichiului care secreta, īn aceste conditii, un factor eritropoietic. Acesta determina formarea īn organism a unui hormon eritropoietic numit eritropoietina ce actioneaza asupra celulei stern unipotente, eritroformatoare, determinānd cresterea numarului de hematii. Desfasurarea normala a eritropoiezei necesita asigurarea cu substante nutritive, vitamine (C, B6, B12 , acid folie) si Fe. Īn cazul unor deficite de aprovizionare apare anemia, cu toate ca sistemul de reglare a eritropoiezei functioneaza normal.
ROLUL HEMATIILOR
Hematiile joaca doua roluri esentiale
pentru organism: īn transportul 02 si C02 si īn mentinerea echilibrului acido-bazic.
HEMOLIZA Hematiile batrāne si uzate sunt distruse prin
hemoliza īn splina ("cimitirul hematiilor"), ficat, ganglioni
limfatici si maduva oaselor.
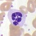
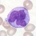
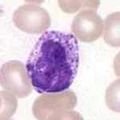
LEUCOCITELE
Globulele albe sunt elemente figurate ale sīngelui ce poseda nucleu.Numarul lor este in medie 5000/mm3. Aceasta valoare poate varia in condiții fiziologice si patologice.Creșterea numarului se numește leucocitoza,iar scaderea se numește leucopenie.Numarul leucocitelor poate varia in condiții normale cu 1-3mii de elemente pe mm3.Astfel,la un copil se intīlnesc 8-9 mii leucocite pe mm3,iar la batrīni se intīlnesc 3-5 mii leucocite pe mm3.In efort fizic avem leucocitoza,iar dupa un repaus prelungit,leucopenie.
Variațiile patologice sunt mult mai mari. In bolile infecțioase microbiene numarul leucocitelor poate crește pīna la 15-30 mii pe mm3,iar in unele forme de cancer (leucemii) numarul poate depași cateva sute de mii pe mm3, incīt sīngele capata o culoare albicioasa (sange alb). Exista mai multe tipuri care difera īntre ele ,atīt ca origine si morfologie, cīt și īn privința rolului īn organism. Exprimarea lor procentuala se numește formula leucocitara.In cadrul acestei formule deosebim leucocite cu nucleu unic (mononucleare)si leucocite cu nucleu fragmentat,polilobat (polinucleare).
Mononuclearele reprezinta 32%, iar polinuclearele reprezinta 68%din leucocite.Grupa mononuclearelor cupride limfocitele care reprezinta 25% si monocitele 7%.
Polinuclearele cuprind trei subgrupe celulare.Aceste celule se mai numesc si granulocite,dupa granulatiile ce se observa īn citoplasma lor.In funcție de afinitatea diferita a granulațiilor fața de coloranți, polinuclearele se īmpart :
- polinucleare neutrofile(65%). Granulațiile acestora se coloreaza bine cu coloranți neutri. Ele se mai numesc polimorfonucleare neutrofile(PMN).
- polinucleare eozinofile(2,5%). Au granulații ce se coloreaza cu coloranți acizi.
- polinucleare bazofile(0,5%). Au granulații cu afinitate pentru coloranți bazici.
Dimensiunile leucocitelor variaza intre 6-8microni pentru limfocitul mic si 20 microni in diametru pentru monocite si neutrofile.
Leucocitele prezinta o structura celulara completa. Au o membrana cu plasticitate remarcabila. Datorita ei leucocitele īntind prelungiri citoplasmatice (pseudopode) cu ajutorul carora devin mobile și se pot deplasa īn afara vaselor capilare(diapedeza) și pot īngloba microbi(microfagocitoza)sau resturi celulare(macrofagocitoza). Granulațiile polinuclearelor sunt mici saci si vezicule(lizozomi) pline cu enzime hidrolitice care participa la digestia corpului fagocitat. Tot in familia leucocitelor se includ si plasmocitele,celule provenite din limfocite,specializate in producția de anticorpi.
Leucopoieza-durata vietii leucocitelor variaza foarte mult de la 1-2 zile pentru polinuclearele neutrofile,pana la cītive ani pentru limfocitele dependente de timus(limfociteT).Sediul leucopoiezei este diferit in raport cu sistemul celulelor de care aparține leucocitul.Astfel,granulocitele si monocitele sunt produse la nivelul maduvei roșii a oaselor,īn timp ce limfopoeza are loc īn splina, timus,ganglionii limfatici,placile Payer din jejun-ileon.
Granulocitopoieza pornește tot de la celula stem pluripotenta care se afla și la originea hematiilor. Din aceasta se diferențiaza celula stem unipotenta. Prin procese de diferențiere și multiplicare se formeaza granulocitele si monocitele mature.
Limfopoieza. Limfocitele deriva din celula stem limfoformatoare, cu sediul in maduva roșie hematogena. Organismul produce doua tipuri de limfocite:limfocite "T" sau timodependente,si limfocite "B" sau bursodependente.Primele se dezvolta sub influența timusului, iar ultimele sub influența unor structuri echivalente cu bursa lui Fabricius de la pasari(maduva osoasa).La adult maduva roșie produce limfocite B,iar ganglionii limfatici si splina produc ambele tipuri.
Reglarea leucopoiezei se face prin mecanisme neumorale complexe. Centrii leucopoiezei sunt situați in hipotalamus.Activitatea acestor centri se intensifica atunci cīnd īn sīnge crește concentrația acizilor nucleici rezultați din distrugerea leucocitelor batrīne.In cazul patrunderii īn organism a unor agenți patogeni are loc,de asemenea,o stimulare prin antigene a leucopoiezei,urmata de creșterea peste normal a leucocitelor,fenomen numit leucocitoza.
Leucopoieza medulara se poate intensifica atīt sub influența stimililor nervoși plecați de la centrul de reglare,cīt și a unor substanțe chimice numite leucopoietine.Creșterea numarului de leucocite circulante poate avea loc și fara creșterea prealabila a leucopoiezei numai prin mobilizarea rezervorului medular de leucocite.Acest mecanism asigura un raspuns precoce al organismului fața de invazia agenților straini.
Rolul leucocitelor este complex si diferit, dupa tipul lor. Principala funcție a leucocitelor consta in participarea acestora la reacția de aparare a organismului.
Polinuclearele neutrofile au rol in fagocitoza agenților patogeni.Datorita vitezei de diapedeza și deplasarii rapide prin pseudopode,polinuclearele nu stau īn sīnge mai mult de cateva ore. Ele ajung primele la locul infecției unde fagociteaza microbii,distrugīndu-i. Datorita acestei acțiuni polinuclearele se numesc și microfage, numarul lor crește mult īn infecțiile acute. Ieșirea leucocitelor din vas este favorizata de īncetinirea curgerii la nivelul focarului inflamator(datorita vasodilatației) precum și alipirii acestora de endoteliul capilar, fenomen numit marginație. Marginația, diapedeza și deplasarea leucocitelor prin pseudopode spre focarul inflamator sunt favorizate de atracția leucocitelor de catre unele substanțe locale, fenomen cunoscut sub numele de chimiotactism pozitiv. Ajunse īn apropierea microbilor,neutrofilele emit pseudopode si cu ajutorul lor īi inglobeaza, formīnd vacuole citoplasmatice numite fagozomi. Ulterior, lizozomii neutrofilelor se contopesc cu fagozomul. In interiorul fago-lizozomului microbul este digerat sub acțiunea enzimelor lizozomale. Cīnd leucocitele fagociteaza un numar prea mare de microbi ele sufera efectele toxice ale unor substanțe eliberate de aceștia și mor. Amestecul de microbi, leucocite moarte și lichid exudat din vase formeaza puroiul.
Eozinofilele au rol in reacțiile alergice.Granulațiile lor conțin histamina.Numarul lor crește īn bolile parazitare si alergice.
Bazofilele au rol in coagularea sīngelui, prin intermediul unei substanțe anticoagulante numita heparina, conținuta īn granulații. Tot datorita heparinei, leucocitele bazofile au rol īn metabolismul lipidelor, heparina favorizīnd dizolvarea chilomicronilor și dispersia lor in particule fine, ce pot fi mai ușor utilizate de catre țesuturi.
Monocitele sunt leucocite capabile de fagocitoza, atīt direct, cīt și īn urma transformarii lor īn microfage, proces ce are loc dupa iesirea monocitelor din vase īn țesuturi.Monocitele și macrofagele formeaza un singur sistem celular care fagociteaza atīt microbi, cīt și, mai ales, resturile celulare (leucocite, hematii, etc) și prin aceasta contribuie la curațirea și vindecarea focarului inflamator.
Limfocitele au rol considerabil īn reacția de aparare specifica.
Clasele de limfocite
Deși asemanatoare ca morfologie, limfocitele reprezinta o populație celulara cu funcții individuale foarte diferențiate. Se descriu doua clase principale de limfocite, in raport cu modul īn care acestea participa la procesul de imunitate:
- limfocitele B , care participa la imunitatea umorala, mediata prin anticorpi;
- limfocitele T, care participa la imunitate prin mecanism celular. Morfologia limfocitelor T și B apare identica atīt la microscopul optic, cīt și la cel electronic. Denumirea de T sau B provine de la inițialele organelor limfoide centrale īn care se petrece "instructajul" diferentiat al limfocitelor. Exista doua asemenea organe limfoide centrale: timusul și bursa limfatica. Instructajul timic sau bursal al limfocitelor are loc in perioada fetala.Toate limfocitele se dezvolta dintr - o celula cap de serie mica, celula stem unipotenta limfopoietica. Dupa formare, o parte din limfocite se fixeaza īn timus, altele īn maduva hematogena (organ omolog cu bursa limfatica, prezenta numai la embrionul de pasari, și absența la fatul de mamifere). Aici are loc un proces de diferențiere și specializare a limfocitelor. In timus se vor forma limfocite T (timodependente) capabile sa lupte direct cu antigenele, iar īn maduva osoasa se vor forma limfocitele B (bursodependente), capabile sa lupte indirect cu antigenele prin secreția de anticorpi specifici. Dupa nastere limfocitele B, T migreaza din organele limfoide centrale īn ganglionii limfatici, unde vor genera limfocitele necesare apararii specifice a organismului.
Clonele limfocitare
In cursul limfopoiezei se diferentiaza zeci de milioane de familii limfocitare, numite clone: fiecare clona este specializata pentru recunoașterea unui singur antigen corespunzator ; s - au specializat pentru recunoașterea unui singur antigen tot atītea tipuri de limfocite T sau B, astfel ca la un anumit antigen reactioneaza și se multiplica numai grupul limfocitelor care recunosc antigenul și īl ataca direct (limfocitele T) sau fabrica īmpotriva lui anticorpi specifici (limfocite B). Un astfel de limfocit ultraspecializat formeaza, īmpreuna cu descendenții sai o clona celulara imuna.
Markerii limfocitari
Diferența dintre un limfocit T sau B, precum și dintre clonele limfocitare, se afla la nivelul membranei acestora. Celula T poseda markeri de suprafața ce funcționeaza ca receptori și permit diferențierea subclaselor de limfocite T și receptori: celule T au receptor antigen specific ce funcțineaza ca situs pentru recunoașterea antigenului. Celula B poseda ca markeri de suprafața un tip special de imunoglobuline (Ig M monomerica) ce funcționeaza ca situs pentru recunoașterea antigenului. Datorita acestor caracteristici limfocitele acționeaza numai cu antigenele corespunzatoare. Ddiferenta dintre un limfocit T sau B, precum si dintre clonele limfocitare se afla la nivelul membranei acestora. Īn structura membranei fiecarui limfocit se afla aproximativ 100 000 macromolecule de imuno-globuline (anticorpi), identice pentru aceeasi clona dar diferite de la o clona la alta, numite receptorii de antigen.
|
Eritrocite |
Granulocit neutrofil |
Granulocit eozinofil |
Granulocit bazofil |
|
Monocit |
|
|
|
TROMBOCITE - cele mai mici elemente solide ale sīngelui, au rolul important de a produce coagularea (inchegarea) sīngelui. In caz de hemoragie, prin leziuni ale vaselor sanguine, trombocitele se aduna īn gramezi și contribuie, pe langa alte mecanisme la formarea cheagului și īnchiderea ranii și deci la oprirea hemoragiei.
Valori normale
150 000-300 000/mm cubi.
Scaderi patologice
Scaderea trombocitelor sub 80 000- 100 000 pe 1 mm cub predispune la sīngerearea vaselor sanguine, chiar dupa leziuni foarte mici.De aceea, īnainte de orice operație, se recomanda numaratoarea trombocitelor.
Creșteri patologice
Createrea numarului de trombocite peste 400 000 poate predispune coagularea accentuata a sīngelui chiar īn interiorul corpului, impiedicīnd circulația īn vase, cu producerea de cheaguri, infarcte, tromboflebite, accidente vasculare cerebrale, etc
Plasma
Dupa īndepartarea elementelor figurate ale sāngelui, ramāne un lichid vāscos, galbui, numit plasma. Plasma reprezinta 55% din volumul sāngelui. Plasma sangvina contine apa (in proportie de peste 90%) īn care sunt dizolvate substanțe anorganice (īn special ioni) și substanțe organice (proteine, substanțe nutritive, produși de metabolism, hormoni, etc). Plasma sangvina din care au fost īndepartate proteinele de coagulare reprezinta serul.
Proprietatile plasmei sunt similare cu ale sāngelui, difera doar valorile si culoarea (plasma este incolora). Plasma este formata din apa (90%), care vehiculeaza celelalte componente și mijlocește schimburile de substanțe și reacții chimice; proteine (6,5 -8 g\100 ml)cu rol in asigurarea presiunii coloidosmotice, īn transportul unor substanțe ,apararea inimii ,cuagularea , precum și produși lor de degradare (uree, acid uric , creatinina) lipide (400-800mg\100ml) glucoza(īn jur de 200mg\100ml) saruri minerale (ai caror ioni au fiecare funcții specifice) alte substanțe (bilirubina, hormoni,vitamine,enzime)
Funcțiile plasmei
Rolul proteinelor
plasmatice
Albuminele rol de transport al unor substante
minerale (Cu, Ca, Fe), hormoni, pigmenti biliari, precum si rol īn
presiunea coloid-osmotica a sāngelui. Scaderea albuminelor compromite
schimburile de la nivelul capilarelor.
Globulinele au rol īn transportul
substantelor prin sānge, īn coagularea acestuia si contribuie,
alaturi de albumine, la presiunea omotica. Gamaglobulinele, numite
si imunoglobuline (Ig), sunt suportul chimic al anticorpilor.
Fibrinogenul are rol in coagularea
sāngelui, prin trecerea sa din starea solubila īntr-o retea
insolubila numita cheag de fibrina
|