IMAGISTICA LEZIUNILOR MUSCULARE TRAUMATICE
Muschiul este un sistem complex ce asociaza celule musculare (elemente contractile ) si un schelet fibros (armatura de sustinere care serveste si ca lama purtatoare de vase si nervi).Vasele sangune aluneca la nivelul perimuschiului, ceea ce explica frecventa hematoamelor in leziunile musculare traumatice. Muschii ce eservesc aparatul locomotor sunt constituiti dintr-un important schelet fibros (analogie cu scheletul fibros cu nervuri ale unei frunze
Exista 3 zone slabe, sediul qvasi totalitar al rupturilor aparatului musculo-tendinos: jonctiunea miotendinoasa, jonctiunea mio-aponevrotica la nivel centro-muscular si la jonctiunea mio-aponevrotica la nivelul aponevrozei peri musculare

Muschi si tendoane – zonele slabe ( cu rosu)
Clasificarea traumatismelor musculare dupa Rodineau:
Stadiul 0 : Atingere reversibila a fibrei musculare, fara interesarea tesutului conjunctiv de sustinere
Stadiul 1 : Atingere ireversibila a catorva fibre musculare, fara afectarea tesutului conjunctiv de sustinere
Stadiul 2 : Atingere ireversibila a unui numar redus de fibre musculare, cu afectarea tesutului conjunctiv de sutinere
Stadiul 3 : Atingere ireversibila de numeroase fibre musculare, cu atingerea tesutului conjunctiv de sustinere si formarea unui hematom intramuscular localizat
Stadiul 4 : Ruptura partiala sau totala a unui muschi
Corelatii eco anatomo-histologice in traumatismele musculare
Pentru traumatismele intrinseci, quasi totalitatea leziunilor isi au sediul la nivelul celor 3 zone slabe, sub forma de dezinsertie mio aponevrotica Numai leziunile care intereseaza tesutul conjunctiv de sustinere sunt visibile la ecografie (pornind din stadiul II al luiRodineau).
Importanta si frecventa hematoamelor sunt legate de atingerea lamelor purtatoare de vase si nervi ( prezenta unui hematom defineste stadiile III si IV a lui Rodineau).
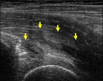
Ingrosare hiperecogema – stadiul 2 Rodineau

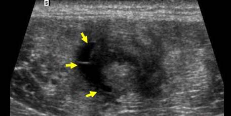
Stadiul III Rodineau – mica colectie lichidiana

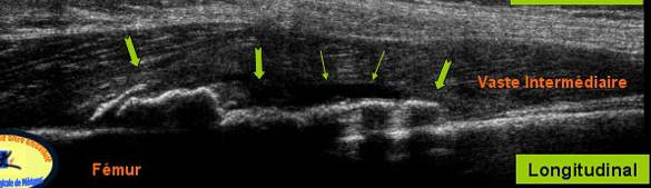
Stadiul IV Rodineau – ruptura la jonctiune mio tendinoasa
Muschi retractat flotant in colectie hematica
Aspectul lezional ecografic in functie de gravitate
Echivalentul stadiului II al lui Rodineau se caracterizeaza prin
Fie o ingrosare focalizata, hiper ecogena,
centrala, sau a aponevrozie peri musculare
Fie de o dezorganizare mio-arhitecturala, care este inlocuita de
o zona cel mai frecvent hiper-ecogena
heterogena. Cautarea leziunilor mici este favorizata de miscari de contractie musculara
Echivalentul stadiului al III-lea a lui Rodineau se caracterizeaza prin prezenta unei colectii hematice intra sau peri lezionale
Aceasta colectie poate avea o ecostructura lichida sau pseudo-solida, coresponzand unui hematom organizat
In acest caz, doppler-ul este interesant caci permite eliminarea unei formatiuni tisulare vascularizate care constituie principalul diagnostic diferential.
Echivalentul stadiului IV al lui Rodineau se caracterizeaza prin existenta unei rupturi sau unei dezinsertii musculo-aponevrotice complete cu,cel mai frecvent fascicol muscular retractat flotant intr-o cavitate hematica
Exista in aceste echivalente ale stadiului IV un caz particular, reprezentat de o ruptura osteotendinoasa (traumatismul spinei iliace antero-inferioare in leziunile dreptului femural la fotbalisti de exemplu
Stadiul IV Rodineau – ruptura la jonctiune mio tendinoasa
Muschi retractat flotant in colectie hematica
Aspectul lezional ecografic in functie de gravitate
Echivalentul stadiului II al lui Rodineau se caracterizeaza prin
Fie o ingrosare focalizata, hiper ecogena,
centrala, sau a aponevrozie peri musculare
Fie de o dezorganizare mio-arhitecturala, care este inlocuita de
o zona cel mai frecvent
hiper-ecogena heterogena. Cautarea leziunilor mici este favorizata de miscari de contractie musculara
Echivalentul stadiului al III-lea a lui Rodineau se caracterizeaza prin prezenta unei colectii hematice intra sau peri lezionale Aceasta colectie poate avea o ecostructura lichida sau pseudo-solida, coresponzand unui hematom organizat In acest caz, doppler-ul este interesant caci permite eliminarea unei formatiuni tisulare vascularizate care constituie principalul diagnostic diferential.
Echivalentul stadiului IV al lui Rodineau se caracterizeaza prin existenta unei rupturi sau unei dezinsertii musculo-aponevrotice complete cu,cel mai frecvent fascicol muscular retractat flotant intr-o cavitate hematica Exista in aceste echivalente ale stadiului IV un caz particular, reprezentat de o ruptura osteotendinoasa (traumatismul spinei iliace antero-inferioare in leziunile dreptului femural la fotbalisti de exemplu

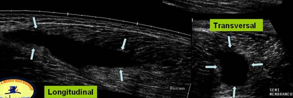
Antecedente de leziune a m. Ischio-gambieri cu persistenta unei jene la efort
Prezenta unei colectii fuziforme, bine delimitata, compresibila care va fi
Punctionata sub ghidaj ecografic
Problematica este diferita in functie de natura traumatismului
Daca in traumatismele extrinseci prin soc direct problema este in functie de sediul leziunii si nu de stadiul lezional. Este deci esentiala repérarea aonevrosei peri-musculare superficiale inaintea determarii sediului exact a lezionilor
- Sediul lezional extra-muscular, cu simpla infiltrare hematica a tesutului celulo-adipos sub-cutanat sau o veritabila decolaret, cu colectie sub-cutanata realizand un epansament de tip Morel I .
- Sediul lezional intra-muscular cu leziuni mergand de la un simplu edem la ruptura musculara mai mult sau mai putin intinsa cu cavitate sero-hematica
* Pentru traumatismele intrinseci prin depasirea capacitatilor sistemului musculo-tendinos la efort (principalii vizati sunt muschii bi-articulari), problematica este in functie de stadiul lezional in echivalenta cu la clasificarea lui Rodineau.

Infiltrare hematica in tesutul celular subcutanat

Epansament de tip Morel I

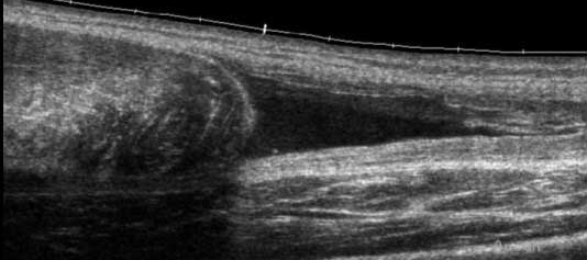
Contuzia muschiului pectineal
Ruptura musculara

Ruptura muschiului psoas
Stadiul II Rodineau

Colectie hematica
Stadiul III Rodineau
Ruptura musculara cu colectie hematica
Stadiul IV Rodineau
Ruptura musculara cu colectie hematica
Stadiul IV Rodineau
Implicatii terapeutice
Prima intrebare este
Care sunt detaliile previzibile de evolutie
Ecografia, confirmand prezenta unei leziuni anatomice si precizand sediul sau, extinderea si stadiul lezional, este de un real ajutor clinicianului pentru a prevedea timpul necesar pana la reluarea activitatii fizice. Trebuie insa subliniat ca criteriile de reluare a activitatilor fizice sunt clinice si nu ecografice. Ecografia isi are rolul in evolutiile nefavorabile, in cautarea complicatiilor. Pentru o cicatrizare de buna calitate, este imperativ necesara punctionarea, atunci cand este posibila, a hematomului intra musculaie caci el constituie principalul obstacol in fata cicatrizarii prin diastaza fibrelor musculare, de care este responsabila.
Ecografia trebuie sa precizeze, in fata unei colectii hematice, daca ea este punctionabila sau nu. O colectie este punctionabila daca ecostructura este lichidiana, necloazonata si depresibila sub sonda. In acest caz, punctia poate fi realizata sub ghidaj ecoscopic sau sub reperaj cutanat simplu.
Hematomul este principala cauza a complicatiilor; este responsabil de cicatrici fibroase , de calcificari intra-musculare sau de inchistari hematice. Aceste leziuni expun pacientul la recidive si sunt sursa unor importante modificari functionale.
O complicatie direct legata de ruptura aponevrozei peri musculare si usor de
diagnosticat ecografic este hernia musculara
In fine prin doppler, ecografia permite depistarea tromboflebitelor din cazurile cu evolutie defavorabila.


Cicatrice fibroasa a dreptului femural

Calcificare intramusculara post traumatica

Inchistare hematica post traumatica
Ruptura aponevrozei superficiale
Concluzii
In acidentele
musculare acute ecografia permite un diagnostic lezional precis.
Existenta unui hematom
intra-muscular lichidian necesita o punctie care va fi mai
usor de realizat prin ghidare ecografica
Criteriile de reluare a activitatilor fizice sunt numai cele clinice.
In cazurile cu evolutie nefavorabila, un nou bilant ecografic va trebui indicat pentru cautarea complicatiilor


Traumatism prin soc direct in urma cu 3 sapt.
Imagini calcare in muschi, superficial, departe de diafiza
femurala.
Persistenta unei mici componente lichidiene in contact cu
calcificarile


Masa hiperecogena, difuz delimitata,
Compresibila, in adductor, avand o
structura tubulara
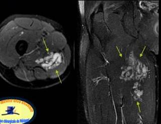
Corespondenta IRM
|