|
|
|
Legatura intre tipurile de diabet, complicatii si hemoglobina glicozilata |
|
|
|
Bucuresti, 2007 |
CAPITOLUL I - Generalitati
I.1. INTRODUCERE
Pancreasul endocrin este format din aproximativ un million de aglomerari celulare, numite insulele Langerhans. Embriologic vorbind, originea acestor insule este endodermala si se formeaza alaturi de sistemul tubuloductal pancreatic. Prima evidentiere a formarii insulelor se poate observa la foetusul uman in lunile 9-11.
Exista mai multe tipuri de celule la nivelul acestor insule si anume patru tipuri majore si doua minore. Diferentierea lor se face pe baza proprietatilor de a se colora specific la actiunea imunoperoxidazei, ultrastructurii granulelor din componenta lor si prin continutul hormonal.
Tipul beta reprezinta 68% din totalul populatiei de insule celulare, ele produc insulin, asa cum va fi detaliat in continuare. Granulele intracelulare ce contin insulin prezinta o matrice cristalizata cu un profil spatial dreptunghiular, inconjurat de un halou.
Diabetul zaharat reprezinta o afectiune cronica a metabolismelor proteic, glucidic si lipidic. Un raspuns deficitar sau ineficient al secretiei de insulin, care se translateaza in perturbarea utilizarii carbohidratilor (glucozei), este caracteristica de baza a diabetului zaharat, cu hiperglicemie consecutive. Aproximativ 3% din populatia lumii, semnificand 100 de milioane de oameni, sufera de aceasta boala.
I.2. CLASIFICARE SI INCIDENTA
In orice caz, cele mai comune si importante forme de diabet zaharat apar ca urmare a afectiunilor primare ale
sistemului de semnalizare celula
apartinand insulelor- insulina. Acestea pot fi impartite in doua variante
comune (tipul I si II) care difera prin patternul constituirii sale, raspunsul
insulinic si originea lor, si mai putin comun prin defecte specific ale
celulelor beta (
Tipul I de diabet, de asemenea denumit si diabet zaharat insulino-dependent (IDDM), denumit anterior ca "juvenile-onset diabet", diabet juvenil, cu aparitie la copil, reprezinta aproximativ 10% din toate cauzele de diabet primar.
Restul de 80-90% din restul pacientilor prezinta asa-numitul diabet de tip II, de asemeni denumit diabet zaharat insulin-independent (NIDDM), cunoscut anterior ca "adult-onset diabet", diabet ce se instaleaza la adult.
Al treilea grup important, denumit "maturity-onset diabetes of the young" (MODY), diabetul juvenil de tip adult.
Tabelul urmator prezinta aceste tipuri:
Tabelul 1. Tipuri de diabet zaharat*
|
Diabet primar |
Tipul I (IDDM) |
|
|
Tipul II (NIDDM) |
|
|
Defecte genetice ale functiei celulelor beta (incluzand MODY, diabetul juvenil de tip adult): cromozom 2, HNF** 4alfa (MODY1); cromozom 7, glucokinaza (MODY2); cromozom 12, HNF 1alfa (MODY3); ADN mitocondrial; alte defecte genetice. |
|
Diabet secundar |
Cauza infectioasa: v. rujeolei; citomegalovirus. |
|
|
Endocrinopatii: tumori ale suprarenalei; tumori ale glandei pituitare, etc. |
|
|
Medicamente: corticosteroizi; pentamidina; Vacor. |
|
|
Alte defecte genetice: Sindrom Down. |
|
|
Diabet zaharat gestational. |
**HNF - hepatocyte nuclear factor.
*Modificat din "Report of the Executive Committee on the Diagnosis of Diabetes Mellitus", Diabetic Care 20:1183-1197, 1997.
Ar trebui mentionat faptul ca, desi tipurile majore de diabet au mecanisme patogenice diferite, complicatiile pe termen lung ale vaselor de sange, rinichilor, ochilor si nervilor sunt aceleasi si reprezinta cauza majora de morbiditate si mortalitate incriminate in diabetul zaharat. Diabetul afecteaza estimative 13 milioane din populatia SUA, desi doar o jumatate din acestia sunt diagnosticati clinic; reprezinta a saptea cauza de mortalitate pe teritoriul SUA. Prevalenta diabetului creste cu varsta, aproximativ 50% din pacienti au o varsta peste 55 de ani.
I.3. PATOGENEZA
Patogeneza celor doua tipuri va fi discutata separate, dar mai intai sa recapitulam cateva informatii in legatura cu metabolismul normal al insulinei, din moment ce multe aspect ale eliberarii si actiunii insulinei sunt importante in contextul patogenezei.
I.3.1. FIZIOLOGIA NORMALA A INSULINEI
Cel mai important trigger al sintezei si eliberarii de insulina este glucoza. O crestere a nivelului glucozei sangvine cauzeaza "uptake-ul" de glucoza in celulele beta, facilitat de o proteina transportoare, insulino-independenta, GLUT-2. Acest proces va implica si o eliberare imediata de insulina, probabil aceea care este inmagazinata in granulele celulelor beta. Daca stimulul secretor persista, cuplat cu invervatie colinergica normala, un raspuns prelungit va aparea, implicand o sinteza activa a insulinei. Alti agenti, incluzand hormoni intestinali si aminoacizi specifici (Leucina si Arginina), ca si sulfonil-ureea, stimuleaza eliberarea de insulina, dar nu si sinteza ei.
Insulina este un hormon major anabolizant. Este necesar pentru:
transport transmembranar al glucozei si aminoacizilor;
formarea glicogenului in ficat si muschi scheletici;
conversia glucozei la trigliceride;
sinteza acizilor nucleici;
sinteza proteica.
Functia sa metabolica principala este cresterea ratei de transport al glucozei in anumite celule din organism. Acestea sunt celule musculare striate (inculzand celule miocardice), fibroblasti, celule adipoase, reprezentand insumate, aproximativ 2/3 din greutatea totala a corpului.
Aditional acestor efecte metabolice, insulina si factorii de crestere insulin-like (IGF) inintiaza sinteza AND in diferite celule si stimuleaza cresterea si diferentierea lor.
Insulina interactioneaza cu celulele-tinta prin legarea de receptorul insulinic; asadar numarul si functia sa sunt importante in coordonarea actiunii insulinei. Receptorul insulinic este compus din doua subunitati glicoproteice, alfa si beta, ce prezinta activitate tirozin-kinazica, prin domeniul citosolic al subunitatii beta.
Legarea de ligand initiaza o cascada de raspunsuri intracelulare, incluzand aici si activarea sintezei ADN si proteice si activarea de asemenea a cailor metabolice anabolizante si inhibarea celor catabolizante. Unul din efectele inintiale ale insulinei in tesuturile-tinta implica translocarea transportorului pentru glucoza (GLUT) din aparatul Golgi catre membrana plasmatica, asadar facilitand "uptake-ul" celular de glucoza.
Exista diverse forme de GLUT, care difera prin distributia la nivelul tisular, afinitatea pentru glucoza si sensibilitatea la stimularea insulinica. GLUT-4, prezent in muschii striati si tesutul adipos este un transportor major reglat de insulina. Pe de alta parte, GLUT-2 prezent in hepatocite si celule beta din pancreas este insulino-independent si faciliteaza echilibrul rapid intre glucoza din compartimentele extracelulare si intracelulare.
Asadar, daca tesuturile utilizeaza GLUT-4 pentru a extrage glucoza din sange, GLUT-2 serveste in primul rand ca un "controller" in bucla de feed-back insulina-glucoza-insulina.
O caracteristica singulara a diabetului zaharat este afectarea tolerantei la glucoza. Aceasta poate fi verificata prin testul de toleranta la glucoza orala (TTGO), unde este masurat nivelul glucozei sangvine de la minute la ore, dupa administrarea unei doze de glucoza oral.
La indivizii normali, glicemia creste modest si un raspuns pancreatic prin insulina asigura o intoarcere rapida la normoglicemie in aproximativ o ora. In schimb, la diabetici si la cei aflati in stadiul preclinic de diabet, glicemia creste la nivele anormale pentru o perioada mult mai lunga.
Dupa cum vom descoperi, aceasta poate sa rezulte ca urmare a unei lipse absolute de eliberare a insulinei din insulele pancreatice, un raspuns anorma 12212q169m l al tesuturilor la insulina, sau ambele. De notat este faptul ca screeningul prin TTGO indica o prevalenta pentru diabetul preclinic (in principal de tip II) asemanatoare cu cea pentru diagnosticul clinic - in jur de 3%.
I.3.2.PATOGENEZA DIABETULUI ZAHARAT DE TIP I
Aceasta forma de diabet rezulta printr-o severa si absoluta lipsa de insulina cauzata de o reducere a masei de celule beta. Tipul I de diabet de obicei se dezvolta in copilarie si devine manifest si sever la pubertate. Pacientii au nevoie de insulina pentru a supravietui, asadar se explica si termenul de IDDM. Fara insulina ei dezvolta complicatii metabolice severe cum ar fi cetoacidoza si coma.
Trei mecanisme conexe sunt responsabile pentru distructia insulelor celulare: susceptibilitate genetica, autoimunitate si efectul mediului.
Susceptibilitatea genetica. Tipul I de diabet zaharat apare cel mai frecvent la persoanele din Nordul Europei. Boala este mai putin comuna in alte grupuri rasiale, incluzand populatia de culoare, americanii nativi, asiaticii.
Diabetul poate fi doar in interiorul unei familii, aproximativ 6% din copii cu ruda de prim ordin avand diabet tip I, dezvolta si ei diabet. In ce priveste gemenii monozigoti s-a demonstrat ca riscul ca ambii sa fie afectati este de 70%, de la nastere la varsta de 35 de ani. Faptul ca acest procent nu este 100% se datoreaza penetrantei incomplete a testelor genetice de susceptibilitate sau unui rol aditional al factorilor de mediu.
Cel putin una din genele susceptibile pentru tipul I de diabet rezida in regiunile care codifica pentru antigene MHC II de pe cromozomul 6p21 (HLA-D). HLA-D contine trei clase de gene (DP, DQ sau DR), moleculele de HLA II sunt polimorfe si fiecare prezinta numeroase alele. Aproape 95% din pacientii albi cu tipul I de diabet zaharat au fie HLA-DR3 sau HLA-DR4, fie ambele, pe candin populatia generala prevalenta acestor antigene este de doar 45%.
Exista inca o asociere si mai puternica cu anumite alele (precum DQB1*0302), care sunt in dezechilibru de linkage cu genele HLA-DR. De notat ca descoperirea faptului ca lanturile beta ale peptidului HLA-DQ cu diferente la nivelul aminoacizilor din regiunile apropiate de regiunea antigen-binding (de legare a antigenului) a moleculei pare a afecta riscul pentru diabet de tip I la populatia alba.
Se considera ca variatiile genetice ale moleculei HLA II pot altera recunoasterea realizata de TCR (T-cell-Receptor - receptorul pentru celulele T), ori poate modifica prezentarea antigenului deoarece variatiior la nivelul regiunii de legare a antigenului.
Deci, genele pentru moleculele HLA II pot afecta gradul de responsivitate imuna la un autoantigen adresat celulelor beta pancreatice, sau un autoantigen adresat celulelor beta poate fi prezentat intr-o maniera care declanseaza o reactie imunologica anormala.
In afara de influenta genelor legate de HLA, analiza genomului uman a revelat alte 20 de regiuni cromozomiale independente asociate cu predispozitia de a face boala. Acestea include 11p15 (regiunea genica pentru insulina) si regiunile ce codifica loci pentru glucokinaza si peptidele TCR.
Acestea insa adunate reprezinta doar 10% din riscul genetic cumulat. Evaluarea acestora si a altor gene ramane problema deschisa pe viitor.
Autoimunitate. Desi instalarea diabetului de tip I este rapida, aceasta boala de fapt rezulta dintr-un atac autoimun cronic asupra celulelor beta care uzual se mentine mai multi ani pana boala devine evidenta. Manifestarile clasice ale bolii (hiperglicemie si cetoacidoza) apar tarziu in cursul ei, dupa ce mai mult de 90% din celule au fost distruse. Importanta autoimunitatii este subliniata de urmatoarele:
Un infiltrat inflamator bogat in limfocite este observat in insulele pacientilor cu diabet recent si la modele pe animale cu diabet autoimun. Infiltratul ("insulitis") consista din limfocite T CD8+ in principal, plus un numar variabil de celule T CD4+ si macrofage. Celulele T CD4+ de la animale cu boala autoimuna pot transmite diabetul la animale normale, asadar stabilind importanta autoimunitatii celulare T in tipul I de diabet.
"Insulitis" (inflitratul inflamator insulinic) este asociata cu cresterea expresiei moleculelor clasei MHC I sau clasei MHC II din celulele beta. Oricum, expresia unei clase aberante de MHC II nu este o cauza absoluta pentru diabet. Aceasta expresie aberanta este mediata in parte de citokine produse local (IFN-gamma, interferon gamma), produsi ai celulelor T activate.
Dereglarea metabolica a unei citokine care induce producerea de IFN-gamma declanseaza dezvoltarea diabetului la un cobai testat. Oricare ar fi anormalitatea MHC II nu se stie clar daca este o cauza sau o consecinta a inflitratului.
70-80% din pacientii cu tipul I de diabet au autoanticorpi impotriva antigenelor insulare precum decarboxilaza acidului glutamic (GAD) "islet autoantigen 2" (IA-2, o fosfataza tirozinica), insulina si gangliozidele. Este neclar daca acesti autoanticorpi participa la distrugerea celulelor beta.
Studii recente pe modele de animale implica GAD-reactiva a celulelor T in patogeneza diabetului de tip I, sugerand ca anticorpii GAD-reactivi sunt formati dupa actiunea mediata de celulele T asupra insulelor beta.
Oricare ar fi originea, autoanticorpii GAD pot fi detectati doar cu mult dupa ce s-au instalat simptomele bolii. Mai mult, prezenta simultana a GAD, IA-2 si a anticorpilor la insulina prezina aproape 100% risc de a dezvolta dieabet clinic manifest in 5 ani. Aproximativ 10% din cei care au tipul I diabet, au de asemenea si alte boli autoimune organo-specifice precum boala Graves, boala Addison si tiroidita.
Rezumand, exista multe dovezi care arata implicarea autoimunitatii si imunitatii mediate de o injurie ca drept cauze a pierderii celulelor beta in diabet tip I. Terapiile imunosupresive au ameliorat diabetul de tip I la animale de experienta ai si la copii cu diabet declansat de novo.
Factorii de mediu. Presupunand ca susceptibilitatea genetica predispune la distructia autoimuna a celulelor beta, care este atunci triggerul reactiei autoimune? Desi raspunsul nu este cunoscut in majoritatea cazurilor, exista totusi dovezi ca factorii de mediu sunt implicati.
Copii finlandezi au un risc de 60 pana la 70 de ori mare de a dezvolta diabet tip I fata de copii coreeni. In statele din nordul SUA a existat po triplare a incidentei tipului I la copiii sub 15 ani, de la sfarsitul anilor '60. In trei studii facute in Japonia, Israel si Canada, emigrantii au prezentat un risc pentru diabet tip I mai apropiat de al celor din tara de destinatie fata de tara natala.
Alti factori. Virusurile. Studii epidemiologice au sugerat actiunea virusurilor. Trendurile de sezon ce deseori corespund prevalentei crescute a infectiilor virale comune au fost remarcate in diagnosticul unor noi cazuri, precum asocierea dintre virusurile coxsackie grup B si boala pancreatica, incluzand diabetul.
Alte infectii virale implicate sunt rubeola, rujeola, citomegalovirus, varicela si mononucleoza infectioasa. Desi multe virusuri au tropism pentru celulele beta, injuria indusa direct de catre virus este rareori suficient de severa pentru a cauza diabetul zaharat.
Diferite scenarii au fost propuse pentru rolul virusurilor. Unul este faptul ca virusurile creeaza injurie moderata a celulelor beta, urmata de o reactie autoimuna impotriva antigenelor anterior sechestrate in celulele beta alterate la persoanele cu susceptibiliate legata de moleculele HLA.
Tipul I de diabet ar putea fi deci rezultatul unor infectii virale relativ comune, intarziat de perioada lunga de latenta necesara pentru pierderea progresiva a celulelor beta prin mecanism autoimun si dependent de efectele adaugate ale backgroundului genetic, in paricular al clasei de molecule HLA II.
Altul ar putea fi acela ca un raspuns imun se dezvolta impotriva unei proteine virale ce imparte aceeasi secventa proteica cu o celula beta pancreatica ("mimetism molecular"). De exemplu, o secventa de 6 aminoacizi este comuna insulelor celulare GAD si complexului replicativ P2-C al virusului Coxsackie B4.
Cross-overul imunologic catre self ar putea aparea prin activarea indusa de virus a unor limfocite preexistente autoreactive sau prin transpunerea unui raspuns imunologic de catre un neoantigen viral.
In fine, o clasa de gene endogene retrovirale a fost identificata recent in insulele beta, care serveste de asemeni ca superantigen. Daca este virusul trigger, factor precipitant sau simplu un marker pentru diabetic nu se stie.
Altii. Expunerea antigenica poate proveni din alte surse. Desi subiectul este controversat, a fost raportat faptul ca acei copiii care au baut produse din lapte de vaca mai inainte de primele patru luni de viata au un risc de 1.5 ori mai mare de a dezvolta diabet tip I fata de cei care nu beau; fenomenul se datoreaza probabil unui mecanism de cross-reactivitate antigenica legat de laptele de vaca.
La om, pantamidina, un medicament folosit pentru tratamentul infectiilor parazitare, a fost ocazional asociata cu declansarea rapida a diabetului, si cazuri de diabet au fost de asemenea raportate dupa ingestia accidentala sau suicidara de Vacor, un produs farmacologic utilizat ca otrava de sobolani. Aceste chimicale actioneaza fie pe celulele insulare direct fie ca trigger al unei reactii autoimune distructive.
Tabelul 2. Tipul I vs tipul II diabet zaharat
|
|
Tipul I (IDMM) |
Tipul II (NIDDM) |
|
Clinic |
Onset < 20 ani |
Onset > 30 ani |
|
|
Greutate normala |
Obezitate |
|
|
Insulinemie scazuta |
Insulinemie normala sau crescuta |
|
|
Anticorpi anti-celule insulare |
Fara anticorpi |
|
|
Cetoacidoza majoritar |
Cetoacidoza rar |
|
Genetica |
50% concordanta in studiile pe gemeni |
90-100% concordanta |
|
|
Asociere cu HLA-D |
Fara asociere |
|
Patogeneza |
Autoimuna, mecanism imunopatogenic |
Rezistenta la insulina |
|
|
Deficit sever de insulina |
Deficit relativ de insulina |
|
Celule insulare |
Infiltrat inflamator |
Fara infiltrat |
|
|
Atrofie marcata sau fibroza |
Atrofie in focar sau depozite de amiloid |
|
|
Depletie severa de celule beta |
Depletie moderata |
I.3.3.PATOGENEZA DIABETULUI ZAHARAT DE TIP II
Desi s-au facut multe studii in ultimi ani, patogeneza diabetului de tip II ramane o enigma. Nu exista nici o dovada ca mecanisme autoimune sunt implicate. Stilul de viata desigur are un rol, devenind evident cand se considera obezitatea. Ca niciodata, factorii genetici sunt chiar mai importanti ca in tipul I de diabet. In ce priveste studiile pe gemeeni monozigoti, rata este de 60-80%. La cei cu rude de gradul intai cu diabet tip II (si la gemeni dizigoti) riscul de a dezvolta boala este 20-40%, versus 5 pana la 7% in populatia generala (a se vedea tabelul 2 pentru comparatie intre cele doua tipuri de diabet).
Spre deosebire de diabetul de tip I, boala nu are legatura cu genele HLA. Mai degraba studiile epidemiologice arata ca tipul II apare ca rezultat al unei colectii de defecte genetice multiple sau polimorfe, fiecare contribuind cu un procent la riscul predispozant si modificat de factorii de mediu.
Cele doua defecte metabolice ce caracterizeaza tipul II diabet sunt: o perturbare a secretiei de insulina de catre celulele insulare si un raspuns scazut al tesuturilor periferice de a reactiona la insulina (rezistenta la insulina). Care primeaza dintre cele doua este o problema in continuare dezbatuta.
Perturbarea secretiei de insulina
Devreme in cursul bolii de tip II, secretia de insulina apare normala si nivelele de insulina din plasma nu sunt reduse. Oricum, mai tarziu, patternul normal pulsatil, oscilant al secretiei de insulina este pierdut si prima faza rapida de secretie a insulinei controlata de glucoza este pierduta.
Per total, acestea si alte observatii sugereaz disturbari ale celulelor beta in ce priveste raspunsul la hiperglicemie devreme in diabetul II, mai degraba fata de deficientele in sinteza insulinei per se.
Tardiv, in cursul diabetului de tip II, o deficienta scazuta catre moderata apare, mai putin severa fata de cea din tipul I. Cauza acesteia este incomplet cunoscuta, dar distrugerea ireversibila a celulelor beta apare. Spre deosebire de tipul I, nu exista dovezi care sa ateste distructie a celulelor insulare mediate viral sau imunologic.
Dupa unii autori, toate celulele somatice ale indivizilor predispusi, incluzand pe cele beta pancreatice, sunt genetic vulnerabile la injurie, ducand la un turnover celular accelerat si imbatranire preamatura, pentru ca in final sa apara o modesta reducere a masei de celule beta. Hiperglicemia cronica poate sa epuizeze abilitatea celuleor beta de a mai raspunde (din nefericire, aceasta este denumita "toxicitate la glucoza"), ca o consecinta a stimularii sustinute a celulelor insulare.
Rezistenta la insulina
Desi deficitul de insulina apare tardiv in evolutia diabetului de tip II, nu este de suficienta importanta ca sa explice disturbarile metabolice. Mai degraba, responsivitatea scazuta a tesuturilor periferice (rezistenta la insulina) este un factor major in dezvoltarea diabetului de tip II.
Trebuie mentionat ca rezistenta la insulina este un fenomen complex care nu este restrictionat la sindromul diabetic. In obezitate ca si in gestatie (diabet gestational), sensibilitatea la insulina a tesuturilor tinta descreste (chiar si in absenta diabetului), si nivelele serice de insulina pot fi crescute compensator la rezistenta.
Bazele moleculare ale acestei rezistente nu sunt clarificate pana azi. Poate exista o descrestere a numarului de receptori insulinici, si mai important, semnalizarea la nivelul intregului proces este ineficienta.
Dupa cum mentionam anterior, legarea insulinei de receptor duce la translocarea GLUT catre membrana celulara, care in schimb faciliteaza uptakeul celular de glucoza. Se crede ca sinteza scazuta si translocarea GLUT in muschi si celula adipoasa este incriminata in rezistenta la insulina observata la obezi precum si la diabetul de tip II.
Alte defecte de semnalizare post-receptor au fost descrise de asemenea. Dintr-un punct anume fiziologic vorbind, rezistenta la insulina, oricare ar fi mecanismul ei, are ca rezultat: inabilitatea insulinei circulante de a coordona metabolismul gucozei, o hiperglicemie persistenta si asadar, o stimulare prelungita a celulelor beta observata la acesti pacienti.
Un studiu asupra prevalentei diabetului in functie
de greutate (in dreapta procentajele corespunzatoare)
Obezitatea
Catabolismul grasimilor intra-abdominale elibereaza acizi grasi liberi (AGL) catre ficat si devine deci relativ rezistenta la efectele modulante ale insulinei (ceea ce nu se intampla in cazul tesutlui subcutant). Desi obezitatea de tip abdominal si rezistenta la insulina pot fi o expresie ce coincide unui al treilea factor necunoscut, posibilitatea ca ei sa fie cauzal corelati ar trebui considerata.
Indivizii obezi fara diabet pot de asemenea sa prezinte rezistenta la insulina si hiperinsulinemie, iar o mica proportie dezvolta diabet tip II. E clar ca atunci cand obezii cu diabet de tip II sunt comparati cu cei de aceeasi greutate, dar non-diabetici, insulinemia la diabeticii obezi e aproximativ aceeasi cu cea de la cei non-diabetici dar obezi, sugerand deci un deficit relativ de insulina.
Din fericire, pentru cei mai multi obezi diabetici, scaderea in greutate (si exercitiul fizic) pot inversa toleranta scazuta la glucoza, in special la inceputul aparitiei bolii.
Amilina (Amylin)
Descoperirile recente se focuseaza de asemeni pe rolul amilinei in patogeneza diabetului de tip II. Acest peptid compus din 37 de aminoacizi este in mod normal produs de celulele beta, corelat cu sinteza si secretia de insulina ca raspuns la ingestia de alimente.
La pacientii cu diabet de tip II, amilina tinde sa se acumuleze in spatiile sinusoidale din afara celulelor beta, in contact strans cu membranele lor celulare, eventual prezentand caracterele de tinctorialitate ale amilodului. Este necunoscut daca depozitarea amilinei contribuie la disturbarea sensibilitatii glucozei a celulelor beta, notata devreme in diabetul de tip II sau este un rezultat al malfunctiei celulelor beta.
Rezumand, diabetul de tip II este o afectiune multifactoriala, complexa implicand eliberare deficitara de insulina, care duce la deficienta relativa de insulina si lipsa de sensibilitate a tesuturilor periferice.
Rezistenta la insulina, frecvent asociata cu obezitatea, produce un stress excesiv pe celulele beta, care isi pot pierde functia in fata unei nevoi sustinute a starii de hiperinsulinism. Factorii genetici sunt implicati in mod definitiv, dar cum actioneaza ei in acest puzzle urias ramane un mister.
I.4.DEFECTELE GENETICE ALE FUNCTIEI CELULEOR BETA
Diabetul juvenil de tip adult (MODY)
Un procent de 2 pana la 5% din pacientii diabetici nu se incadreaza clar in nici unul din cele doua fenotipuri ale diabetului si pot fi confundate. Din cauza ca un deficit secretor de nsulina apare si fara pierderea de celule beta, familiile afecatate au fost studiate intens in speranta aflarii unor mecanisme intrinseci ale diabetului de tip II. S-a demonstrat asadar ca MODY se datoreaza unor defecte genetice heterogene, caracterizate prin:
transmitere autozomal dominanta cand e un defect monogenic, cu penetranta crescuta;
instalare devreme, de obicei inaitne de varsta de 25 de ani, in opozitie cu aparitia dupa 40 la diabetul de tip II;
disfunctie a celuleor beta, greutate normala, lipsa anticorpilor GAD si o lipsa a sindromului de rezistenta la insulina.
Patru defecte genetice distincte au fost identificate pana acum. Unele sunt caracterizate de un defect secretor insulinic sever la insulelor beta (MODY1 si MODY3), pe cand altele (MODY2) au in tabloul lor hiperglicemie cronica usoara datorata responsivitatii scazute a celulelor beta la glucoza.
Una din forme (MODY1) este cauzata de mutatii ale genei pentru HNF-4alfa (factor de transcriptie al nucleului hepatocitar) de pe cromozomul 20, un membru al superfamiliei de receptori hormonali steroidici/tiroidieni si de o crestere a expresiei HNF-1alfa.
MODY2 se datoreaza mutatiilor genei pentru glucokinaza de pe cromozomul 7.
Mutatii ale genei pentru HNF-1alfa de pe cromozomul 12q sunt asociate cu MODY3. HNF-1alfa este un factor de transcriptie ce functioneaza ca slab activator al genei pentru insulina.
Mutatiile punctiforme ale ADNului mitocondrial de asemenea sunt asociate cu diabetul si surditatea.
Mecanismele prin care aceste mutatii de la nivelul genelor duc la o forma de diabet autozomal dominanta nu sunt cunoscute dar se presupune implicarea unui metabolism anormal al insulinei.
CAPITOLUL II - Complicatiile diabetului zaharat
II.1.PATOGENEZA COMPLICATIILOR DIABETULUI
In trecut multi clinicieni considerau tipul II ca forma minora de diabet zaharat comparativ cu tipul I, fiindca acestia dintai prezinta un profil al metabolismului glucozei afectat in mica masura si pentru faptul ca poate fi tratat satisfacator prin medicamente administrate oral si exercitiu fizic, mai degraba decat cu insulina. Asadar, un control strict al glicemiei nu a fost considerat un punct forte al terapiei. In orice caz, pacientii cu tipul II prezinta acelasi tablou al complicatiilor pe termen lung, specifice diabetului de tip I, aici incluzand microangiopatia si complicatiile neurologice si o crestere semnificativa a riscului de complicatii macroangiopatice. Trialuri recente demonstreaza ca un control glicemic pronuntat la pacientii cu diabet tip II reduce rata complicatiilor microangiopatice, de asemenea si a celor macroangiopatice.
Complicatiile asociate diabetului - pierderea vederii, insuficienta renala acuta necesitand transplant renal sau dializa, amputatiile, infarctele, congestia cerebrala, morbiditatea si mortalitatea prematura - cauzeaza un stress permanent pacientului si dezmint opinia conform careia diabetul tip II este o forma usoara.
Din cauza instalarii silentioase a tipului II la multi pacienti, pana la 50% din indivizi au deja complicatii la diagnosticare. In plus, comorbiditatile asociate, precum hipertensiunea si dislipidemia, cresc mult riscul de boala cardivasculara. Si, deoarece diabetul de tip II reprezinta un procent de peste 90% din totalul afectiunilor diabetice din Statele Unite, tratamentul bolii si complicatiile ei reprezinta o amenintare asupra sanatatii noastre, ce va continua sa creasca odata cu imbatranirea populatiei.
In aceasta sectiune vom trata aspectele descoperirii, prevenirii si tratamentului complicatiilor de lunga durata ale diabetului (retinopatie, nefropatie si neuropatie), precum si macroangiopatice (coronare, cerbrovasculare si periferice), care acompaniaza diabetul de tip II. Cazuri clinice care ilustreaza un diagnostic corect, prevenirea si tratamentul complicatiilor sunt de asemenea prezentate.
Tabelul 4. Complicatiile cronice associate cu tipul II de diabet zaharat
Boli vasculare
o macroangiopatie
ateroscleroza coronariana accelerata
boala vasculara periferica accelerata
o microangiopatie
retinopatie
neuropatie
Sindroame neuropatice si rezultatele lor
o neuropatie motorie si senzoriala
polineuropatie simetrica, bilaterala
durere
deformari ale piciorului
ulceratii
neuropatie unica
amitrofie diabetica
casexie neuropatica
o neuropatie somatica
gastropareza
diaree diabetica
vezica neurogena
disfunctie sexuala
hipotensiune ortostatica
Boli mixte - vasculare si neuropatice
o ulcerele la nivelul piciorului
o ulcere de gamba
II.2.OPTIMIZAREA CONTROLULUI GLICEMIC AL TIPULUI II DIABET
O puternica asociere intre hiperglicemie si riscul microangiopatiei a rezultat din studiile proiectate sa evalueze daca un control eficient al glucozei intarzie dezvoltarea retinopatiei, nefropatiei si neuropatiei la pacientii cu oricare din cele doua tipuri de diabet. In diabetul de tip II exista dovezi care sustin rolul hiperglicemiei in dezvoltarea complicatiilor diabetice microangiopatice, dovezi legate de sdudiul Kumamoto si apoi confirmate in UKPDS (Studii Prospective ale Diabetului din Marea Britanie, SPDMB). UKPDS a evaluat efectele controlului intensiv al glicemiei cu sulfoniluree, metformina sau insulina si tratamentul cu terapie nutritionala, mai putin intensiva, versus tratamentul conventional in ce priveste riscul complicatiilor micro si macroangiopatice la pacientii recent diagnosticati cu diabetul de tip II.
De peste 10 ani, hemoglobina glicozilata A1c (AIC) cu o medie de 7% in grupul cu tratament intensiv comparativ cu celalalt conventional tratat, de 7.9%. nu au fost diferente in ce priveste valorile AIC printre pacientii intamplator selectati din cele doua loturi. Comparativ cu terapia mai putin intensiva, cea intensiva a resdus riscul cu 12% pentru orice efect tardiv al diabetului. Cea mai mare parte a acestor beneficii s-a datorat unei reduceri cu pana la 25% a riscului de boala microangiopatica, incluzand aici si fotocoagularea retiniana redusa din tratament. Aceste date sprijina efectele benefice ale terapiei antihiperglicemice la nivelul prevenirii bolii microangiopatice, in concordanta cu fiziopatologia hiperglicemiei.
Controlul glicemiei la un nivel mult mai bun a redus de asemenea incidenta complicatiilor In UKPDS. A existat o reducere de 16% a riscului de infarct miocardic (IM), si al mortii subite, dar mortalitatea legata de diabet si mortalitatea datorata altor cauze nu au diferit in ce priveste loturile intensiv si conventional tratate.
II.3.BOALA MACROANGIOPATICA ACCELERATA
La pacientii cu diabet, ateroscleroza implicand vasele coronare, cerebrale si periferice apare foarte devreme si cu o frecventa mai mare decat la cei fara diabet si este responsabila pentru un procent de 80% din mortalitatea la adultii cu diabet. Asadar, clinicianul trebuie sa fie atent la semnele si simptomele aterosclerozei accentuate printre pacientii cu diabet.
Screeningul vaselor coronare ar trebui luat in calcul odata cu simptomele cardiace, de asemenea un EKG de repaus anormal, dovezile ce sustin o boala ocluziva pe carotida, un stil de viata sedentar, varsta peste 35 de ani si propunerea de a incepe un program de exercitii; si alti doi factori de risc importanti ca dislipidemia, hipertensiunea, fumatul, istoric familial de boala coronariana ischemica prematura (sub 55 de ani la barbat si sub 65 la femei cu rude de grad I diabetice), plus micro si macroalbumniuria.
Detectarea inainte de vreme a complicatiilor diabetului e cruciala intrucat un tratament corespunzator poate fi introdus inainte sa apara starea de morbiditate sau chiar mortalitatea. Desi multi pacienti cu diabet au simptome de boala coronara, cerebrala si vasculara asemanatoarea cu cei fara diabet, clinicianul trebuie sa aiba grija ca neuropatia si alti factori pot influenta simptomele pacientului cu diabet. Cel putin o treime din pacientii cu diabet si BCI nu au simptome atipice de angina, cum ar fi dispneea sau chiar durerea toracica, asta in contextul efortului. In plus, manifestarile cerebrale ale hipoglicemiei pot mima atacurile ischemice tranzitorii si simptomele de neuropatie ar trebui distinse in acest caz de cele insotitoare ale claudicatiei intermitente.
II.4.DIABETUL CA RISC DE BOALA CARDIOVASCULARA
Studiile au aratat ca pacientii cu diabet zaharat au mult mai multe complicatii cardiovasculare fata de cei non-diabetici.
In Statele Unite de exemplu, cei cu diabet reprezinta de doua pana la patru ori mai multi din populatia bolnava cardiovascular fata de cei fara diabet. Riscul de infarct miocardic la subiectii cu diabet este echivalent cu acela al subiectilor care deja au suferit un infarct. Cel mai important, riscul relativ de boala cardiovasculra la femeile cu diabet de tip II este de trei pana la patru ori mai mare fata de cele ce nu au diabet. Mai mult, femeile cu diabet si complicatia ei cardiovasculra apar a fi supuse unui risc in plus, subliniind nevoia de a supraveghea aceasta parte din populatie cu atentie.
Tipul II de diabet este un factor de risc independent pentru boala macroangiopatica. Comorbiditati asociate precum hipertensiunea, dislipidemia, hipercoagulabilitatea si obezitatea sunt si ele factori de risc in plus. Patternul obezitatii este important, cu grasime distribuita abdominal asociata cu dislipidemie, hipertensiune si cu o prevalenta crescuta de boala cardiovasculara, independenta de obezitate. Alti factori de risc descoperiti la populatia fara diabet cum ar fi fumatul si lipsa de exercitiu se adauga la fel si la populatia cu diabet de tip II. In final, insuficienta renala, retinopatia, neuropatia somatica cardiaca si microalbuminuria sunt markeri aditionali ce cresc riscul de boala cardiovasculara.
II.4.1.IMPORTANTA MODIFICARII FACTORILOR DE RISC VASCULARI
Schimbarea stilului de viata, incluzand aici reducerea greutatii si exerctiul pentru a slabi la pacientii obezi cu diabet de tip II poate reprezenta terapia cea mai rentabila si sigura si ar trebui inclusa in schemele de tratament. Reducerea cu succes a greutatii printr-o dieta controlata imbunatateste profilul alterat al lipidelor, intoleranta la glucoza, hipertensiunea si, desigur, obezitatea.
Exista dovezi de necontestat ca hipertensiunea ca urmare a diabetului creste riscul de boala macroangiopatica, boala cardiovasculara si moarte. Analizele epidemiologice arata ca nivelele de tensiune arteriala ce depasesc 115/75 mmHg sunt asociate cu modificari cardiovasculare importante si mortalitate la pacientii cu diabet.
Controlul hipertensiunii la indivizii cu diabet reduce dezvoltarea si progresia bolii coronariene ischemice, infarctului si nefropatiei. Asadar, tratamenul antihipertensiv trebuie sa fie bine controlat.
Tabelul 5. Targetul TA la diabetici
|
|
Tensiune sistolica |
Tensiune diastolica |
|
Scopul terapiei |
<130 |
<80 |
|
Terapie comportamentala singular (maxim 3 luni) apoi tratament farmacologic |
|
|
|
Terapie comportamentala insotita de la inceput de tratament farmacologic |
>140 |
>90 |
In ce priveste managementul dislipdemiei, tabelul urmator prezinta targetul pentru profilul lipidelor la diabetici. De stiut e ca la diabetul de tip II, o prevalenta crescuta a anormalitatilor lipidelor contribuie la ateroscleroza accelerata. Obezitatea asociata desigur agraveaza tabloul sumbru, de altfel.
Tabelul 6. Tinta pentru nivelele de lipoproteine la aduti cu diabet
|
|
Lipide |
|
Colesterol LDL |
<100 mg/dl (<2.6 mmol/L) |
|
Colesterol HDL |
>40 mg/dl (>1.1 mmol/L) la sexul masculin, >50 mg/dl (>1.3 mmol/L) la sexul feminin |
|
Trigliceride (TG)* |
<150 mg/dl (<1.7 mmol/L) |
*dupa criteriile NCE/ATP III, se sugereaza o valoare de >200 mg/dl, cu colesterolul non-HDL ramanand a fi utilizat. Tinta este de aproximativ 130 mg/dl.
II.4.2.TRATAMENTUL BOLII CARDIOVASCULARE
Cercetarile clinice care au examinat eficacitatea interventilor dupa ce manifestarile clinice au aparut, au exclus deseori pacientii diabetici. In orice caz, experienta clinica a limitat numarul acestora la tipul II sugerand eficacitate similara tratamentelor chirurgicale si medicale cardiace, cerebrale si periferice la nivel arterial pentru pacientii non-diabetici. Studiile au demonstrat ca tratamentele se pot aplica eficace si la diabetici, spre exemplu bypassul coronarian, desi diabeticul are mortalitate crescuta fata de non-diabetic, are aceleasi indicatii si reusita de tratament la ambele populatii de pacienti.
II.5.RETINOPATIA DIABETICA
Importanta evaluarii frecvente si a detectiei rapide si a aplicarii tratamentului precoce a tulburarilor de vedere asociate diabeticilor au ilustrat urmatoarele probleme:
aproximativ 5000 de noi cazuri de orbire corelate cu diabetul sunt raportate la fiecare an in Statele Unite, prezentand diabetul ca fiind noua cauza ce duce la orbire printre adultii cu varste intre 20 si 74 de ani.
>60% din pacientii cu diabet tip II au anumite grade de retinopatie dupa 20 de ani de la diagnosticare. In aceeasi idee, aproximativ toti pacientii cu diabet de tip I prezinta retinopatie
Pana la 21% din pacientii cu diabet tip II au retinopatie la diagnostic
Pierderea vederii asociata cu retinopatie proliferativa si edeme maculare poate fi redusa cu pana la 50% prin fotocoagulare cu laser, daca este identificata la timp
Terapia cu aspirina nu previne retinopatia sau cresterea riscului de hemoragii.
Ca si in tipul I de diabet, dezvoltarea si intretinerea progresiei retinopatiei in tipul II este dependent de timp si asociat cu nivele glicemice crescute. Mentinand glicemia in limite normale previne definitiv sau intarzie instalarea retinopatiei. Tensiune arteriala crescuta este un factor de risc pentru dezvoltarea edemului macular si este asociat cu prezenta unei retinopatii proliferative. Scaderea tensiunii arteriale descreste progresia retinopatiei. Incercarile de a normaliza nivelul glicemiei si al tensiunii, in special prin tratamente cu risc scazut precum terapie nutritiva si exerctiu sunt binevenite. Desi relativ putini oameni cu diabet de tip II versus diabet I dezvolta retinopatie proliferativa, edemul macular poate fi comun. In plus fata de retinopatie, pacientii cu diabet de tip II dezvolta cataracta mai frecvent si la varste precoce fata de cei fara diabet.
Retinopatia diabetica nu cauzeaza probleme vizuale clinic observabile pana cand nu ajunge intr-un stadiu avansat, de obicei fie proliferativ fie cu edem macular prezent.
Managementul bolii este satisfacator cand interventia este realizata inainte de o aparitie a simptomelor vizuale. Asadar, examinare oftalmoscopica recenta de un optometrist sau oftalmologist cu experienta in diagnosticul retinopatiei diabetice este de importanta cruciala.
Frecventa tulburarilor vizuale asociate diabetului fac ca educarea pacientului sa fie cruciala. Tabelul urmator prezinta aceste puncte asociate tabloului de informare privind retinopatia:
Informarea pacientilor recent diagnosticati ca pierderea vederii este o posibilitate si ca ei trebuie sa raporteze simptome vizuale imediat.
Instructia pacientului inm ce priveste relatiile cu hiperglicemia, hipertensiunea si retinopatia diabetica, focusandu-se pe factorii de control pentru prezervarea vederii.
Informarea pacientului in legatura cu examenul fundului de ochi annual, examinat de un optometrist sau oftalmologist, pentru ca retinopatia poate sa se dezvolte fara simptome evidente si sa se agraveze rapid.
Informarea pacientului in legatura cu procedurile de salvare a vederii precum fotocoagularea, disponibila pentru retinopatii severe non-proliferative si proliferative, precum si edem macular.
Informarea pacientului ca exercitiile izometrice ce cresc presiunea intraoculara pot agrava retinopatia proliferativa.
Indreptarea catre programe si campanii de informare si servicii pentru pacientii cu tulburari de vedere si orbire.
II.5.1.STADIILE RETINOPATIEI DIABETICE
Exista mai multe stadii ale retinopatiei diabetice. Stadiul de retinopatie diabetica non-proliferativa este cel precoce caracterizat de microanevrisme si puncte hemoragice intraretiniene. Cei mai multi pacienti cu diabet de tip II de lunga durata dezvolta de obicei asa ceva, dar in multe cazuri ele nu progreseaza si nu au efecte asupra acuitatii vizuale.
Urmatorul stadiu este cel de retinopatie severa non-proliferativa, care reprezinta cazurile dintai care avanseaza si se prezinta sub forma de exsudate moi care sunt de fapt infarcte ischemice ale straturilor intimale retiniene.
Retinopatia proliferativa reprezinta cel mai serios stadiu care ameninta vederea in mod major din cauza ca vasele de sange sunt strangulate de contractia vitrosului. Pacientii care au hemoragie retiniana grava prezinta o pierdere rapida si fara durere a vederii. Proliferarea tesutului fibros care apare dupa evenimentul ischemic poate duce la dezlipire de retina o data cu contractia tesutului fibros.
Indicatiile pentru un control urgent si prezentare la medic oftalmolog sunt listate in tabelul de mai jos:
Tabelul 7. Indicatii pentru prezentarea la medic oftalmolog a pacientilor diabetici tip II
|
Pacientii cu risc crescut - prezentare imediata! Formare de vase de neoformatie ce acopera mai mult de o treime din aria vizuala Hemoragie a vitrosului sau preretiniana cu orice alta neovascularizare, in particular pe discul optic Edem macular |
|
Pacientii simptomatici Vedere incetosata ce persista mai mult de 1-2 zile, neasociata cu schimbari ale glicemiei Pierdere brusca a vederii la unul sau ambii ochi Puncte negre, lumini orbitoare in campul vizual |
|
Pacienti asimptomatici Examinare anuala Exudate langa macula Orice caracteristica proliferativa sau non-proliferativa Sarcina II.5.2.TRATAMENTUL RETINOPATIEI Tratamenul oftalmologic al retinopatiei diabetice depinde de stadiul in care se afla boala. Nu exista acceptiune dupa care se poate trata retinopatia non-proliferativa in afara controlului imbunatatit al glicemiei si tensiuni arteriale. Fotocoagularea panretiniana este considerat tratament de electie pentru pacientii ce au retinopatie proliferativa cu risc crescut, si poate reduce riscul de pierdere severa a vederii cu aproape 60%. Fotocoagularea incetineste pierderea progresiva a vederii la pacientii cu edem macular cu 50%. Fotocoagularea e folosita pentru a opri aparitia vaselor de neoformatie inainte ca hemoragiile recurente in vitros sa produca daune ireversibile. Uneori fotocoagularea este folosita pentru a trata ochiul cu retinopatie proliferativa inainte ca acele caracteristici de risc sa fi aparut. Oricum, riscul fotocoagularii este ca decat un singur ochi sa fie tratat, tratamentul celuilalt ochi este recomandat decat in in cazul in care apar trasaturile ce confirma un risc crescut. Daca dezlipirea de retina este mare si hemoragia masiva in vitros apare, vitrectomia stransa poate fi folosita pentru a scoate vitrosul sangerand si tesutul fibros. In timpul procedurii lichid clar este infuzat pentru a inlocui vitrosul si tractiunea de retina este rezolvata. Aceasta procedura este eficienta in cam 50-60% din cazuri. II.6.BOALA RENALA DIABETICA Nefropatia diabetica apare la 20-405 din cazurile cu diabet si este cauza ce duce la boala renala terminala. Mai mult de 40% din cazurile de boala renala terminala recent descoperite se datoreaza diabetului. Incidenta sa este de patru ori mai mare la americanii africani side sase ori mai mare la cei nativi fata de populatia generala cu diabet. Frecventa bolii renale corelata cu diabetul face ca informarea pacientului sa fie cruciala. Tabelul 8 prezinta punctele de prim ordin din aceasta campanie. II.6.1.PREZENTAREA CLINICA A NEFROPATIEI Dezvoltarea nefropatiei este asimptomatica si detectarea ei se bazeaza pe screeningul de laborator. Cursul nefropatiei diabetice la tipul II de diabet nu este la fel de stereotip ca cel din tipul I, si totusi nefropatia tinde sa progreseze prin aceleasi stadii definite. Primul semn al dezvoltarii nefropatiei este aparitia unei microalbuminurii persistente (>30 mg albumina/24h). Daca microalbuminuria prezinta acelasi risc pentru dezvoltarea unei nefropatii clinice in tipul II, ca si tipul I ramane de vazut. Odata cu progresia nefropatiei, proteinuria "clinica", apare, cel mai adesea in acelasi sens cu hipertensiunea. Eventual se dezvolta proteinurie tipica sindromului nefrotic, urmata de scaderea functiei glomerulare cu cresterea creatininei serice, pana cand stadiul terminal survine. Optimizarea controlului glicemiei intarzie nefropatia. Teste de urina annual sunt singurele care pot detecta instalarea silentioasa a bolii renale diabetice. Testarea tensiunii arteriale periodica e vitala pentru ca hipertensiunea netratata conduce la boala renala si accelereaza progresia celei deja instalate. Tratarea efectiva a hipertensiunii cu medicatie, scadere ponderala, restrictie de sodiu care ajuta la prevenirea sau incetinirea progresiei bolii renale diabetice. Pacientii cu diabet au risc crescut de infectii urinare. Informarea pacientilor in legatura cu simptomele care apar este importanta. Daca sunt semne de nefropatie ce apare, trebuie explicat cursul bolii si optiunile de tratament cu dializa si transplant renal. II.6.2.CONDITII CARE INFLUENTEAZA FUNCTIA RENALA La pacientii cu diabet, diferite conditii fie precipita dezvoltarea nefropatiei, fie o exacerbeaza atunci cand e prezenta. Hipertensiunea poate precipita instalarea sau poate accelera aparitia insuficientei renale, sau ambele. Pacientii cu diabet care dezvolta nefropatie au si hipertensiune. Vezica neurogena poate predispune pacientii la retentie urinara acuta sau nefropatie persistenta obstructiva. In ambele cazuri, insuficienta renala poate fi accelerata. Cand infectia si obstructia urinara apar impreuna, riscul de pielonefrita si necroza papilara creste, si aceasta poate duce la o scaderea a functiei renale. Medicamente nefrotoxice precum AINS, abuz cronic de analgezice si substanta de contrast folosita in studiile de radiografie au fost asociate cu o incidenta crescuta si accelerare a insuficientei renale la pacientii diabetici. Aceste medicamente trebuiesc evitate si radiografiile facute cu masura sau gasite alternative.
II.6.3.TRATAMENTUL NEFROPATIEI Ar fi de mentionat aici ca pentru a intarzia boala renala la pacientii diabetici, hipertensiunea trebuie tratata eficient si rapid, daca insoteste boala diabetica. Inhibitorii de enzima de conversie (IEC) sunt medicamente eficiente in acest caz. In tipul I s-a aratat ca IEC au produs o scadere a progresiei micro si macroalbuminuriei si a ratei de filtrare glomerulare afectata. La cei cu diabet de tip II, IEC ca si alte medicamente din aceasta clasa reduc riscul la fel ca in boala de tip I. blocantii canalelor de calciu cum e dihidropiridina utilitzate pentru controlul tensiunii arteriale pot fi asociate la terapia cu IEC. Insa exista complicatii si la aceste medicamente care trebuiesc luate in considerare. II.7.PICIORUL DIABETIC Mai mult de 50% din amputatiile nontraumatice din U.S apar la indivizii cu diabet si s-a estimat ca peste 50% din aceste amputatii pot fi prevenite daca exista o anume grija. Asadar, clinicianul si pacientul care sunt constienti in legatura cu prevenirea, detectarea precoce si tratamentul prompt al piciorului diabetic pot avea un impact hotarator in ce priveste aceasta complicatie. II.7.1.CAUZE ALE PICIORULUI DIABETIC Leziunile piciorului asociate cu diabetul zaharat sunt rezultatul polineuropatiei, bolii arteriale periferice, infectiilor supraadaugate, sau si mai des, datorita combinatiei acestora. De obicei, leziunea la nivelul piciorului incepe la piciorul care este insensibil, deformat si/sau inshemic. Asemenea conditii sunt susceptibile unui traumatism, care poate duce la formarea de calus, ulcerare, infectie si gangrena. La cei mai multi pacienti cu diabet care au leziuni ale piciorului, primul eveniment fiziopatologic este aparitia insensibilitatii piciorului secundar polineuropatiei. Pierdera sensibilitatii este de cele mai multe ori, dar nu mereu, insotita de pierderea sensibilitatii vibratile si a reflexelor la acest nivel. Uneori, neuropatia diabetica este acompaniata si inrautatita de alte tipuri de neuropatie, cel mai comun alcoolica sau uremica periferica. In plus fata de insensibilitate, neuropatia poate in cele din urma conduce la un picior deformat secundar scaderii in lungime a piciorului prin contractura, care duce la o mobilitate scazuta a degetelor, anormalitate in ce priveste greutatea, calusul si dezvoltarea deformarilor in "deget de ciocan". Combinatia dintre deformare si insensibilitate care modifica raprortul distributiei greutatii poate duce la aparitia de ulcere de picior. Neuropatia provoaca de asemenea scaderea sudoratiei si aparitia pielii uscate. Daca este lasat netrat, pielea astfel deformata poate duce la aparitia de infectii si ulceratii. Ulcerele neuropatice la pacientii cu diabet pot fi greu de detectat uneori datorita faptului ca sunt nedureroase. Artropatia Charcot sau neuroartropatia este o complicatie nerecunoscuta a neuropatiei diabetice care poate duce la deformari ale piciorului. Apare de obicei in prezenta unei circulatii adecvate. Este caracterizata de o dezintegrare si dezorganizarea a oaselor la nivelul gambei si piciorului si poate fi precipitata de traume minime. Recunoasterea precoce si tratamentul corespunzatorpot reduce deformarile substantial. Infectia este o problema frecvent asociata cu ulcerele neuropatice si neuropatice. Sunt studii care arata ca bacteriile gram pozitive domina. In tabelul urmator sunt mentionate informativ, notiunile pe care pacientul trebuie sa il stie in legatura cu piciorul diabetic: Taierea unghiilor si inspectarea piciorului in fiecare zi pentru preveni taieri, zgarieri. Spalarea regulata cu cu apa calduta si sapun moale urmat de uscare este esential. Utilizarea agentilor de inmuiere cum e lanolina este necesar. A se evita inmuierea prelungita a piciorului, chimicale puternice ca saruri de Epsom sau ioduri si chirurgie empirica. Caldura, frigul, pantofii noi, sosetele care strang, si probabil cel mai important lipsa grijii sunt hazarde potentiale care trebuiesc precizate pacientului, in mod special la cei cu neuropatie periferica. II.7.2.TRATAMENTUL
PICIORULUI DIABETIC SI PROBLEMELOR ASOCIATE Ranile usoare neifectate pot fi tratate cu antiseptice neiritante in solutie, schimbarea hainelor in fiecare zi si odinha. Probleme serioase, precum deformari, leziuni, infectii, osteomielita sunt mai bine de vazut de catre un medic specialist in problema piciorului diabetic. Ulcerele infectate de picior de regula necesita antibiotice intravenoase, odihna la pat cu ridicarea piciorului si debridare chirurgicala. Reducerea presiunii plantare utilizand instrumente speciale si dispozitive accelereaza vindecarea. II.8.BOLILE NEUROPATICE Neuropatiile diabetice sunt printre cele mai comune si perplexe complicatii ale diabetului zaharat. Neuropatia are o clasa larga de manifestari la diabetici, si terminologia descriptiva si clasificarea sunt de asemenea variate, cauzand confuzie printre clinicieni. O dizertatie completa asupra neuropatiei nu este scopul scrierii de fata. In schimb, cateva aspecte importante despre diagnostic si tratament vor fi studiate. II.8.1.POLINEUROPATIA Polineuropatia debuteaza ca o disfunctie motorie si senzoriala asimptomatica a nervilor periferici. Este simetrica si initial extremitatile distale sunt sunt implicate. Prezenta neuropatiei se leaga de durata diabetului si gradul de hiperglicemie. La persoanele cu diabet de tip II, polineuropatia poate fi prezenta la diagnostic. Neuropatia dureroasa a fost identificata si asociata in special cu retinopatia si nefropatia. Exista desigur stadii in progresia afectiunii, de la stadiul asimptomatic pana la disparitia reflexelor si a sensibilitatii, insotite de durere. II.8.2.NEUROPATII SOMATICE |
|
Functia autonomica redusa a nervilor poate cauza o varietate interesanta de simptome. Clinc, aceste neuropatii tind sa apara in cursul tardiv al diabetului. Printre ele se nuamra gastroparezele, diareea diabetica, constipatia, vezica neurogena, reflexe cardiovasculare reduse si hipotensiune ortostatica, disfunctie sexuala la barbat si dispareunie la femeie. II.8.2.1.GASTROPAREZA Gastropareza severa, simptomatica nu este comuna la persoanele cu diabet de tip II. Oricum, cand este prezenta, pacientii cu gastropareza pot experimenta satietate precoce, voma, disconfort abdominal si fluctuatii ale nivelului glicemiei postprandial secundare intarzierii golirii stomacului si retentiei gastrice. Alte anormalitati gastrointestinale superioare trebuiesc excluse inainte de a pune un diagnostic de gastropareza. Studiile pe golirea gastrica trebuiesc facute pentru a confirma diagnosticul, dar pot sa nu se coreleze cu diagnosticul. In orice caz, hiperglicemia importanta poate temporar intarzia golirea gastrica, asa ca un control glicemic in timpul analizelor e benefic a fi monitorizat. Metoclopramida a fost deseori utila pentru a trata aceasta afectiune. Eritromicina si nortriptilina imbunatatesc golirea gastrica si prezinta beneficii pentru unii pacienti. Domperidona este un medicament inca in teste, care s-a aratat a fi eficient. II.8.2.2.DIAREE DIABETICA Pasajul frecvent al materiilor fecale, in special dupa mese luate noaptea, marcheaza faza acuta a acestei afectiuni. Diareea diabetica tinde sa fie intermitenta si poate alterna cu constipatia. Difenioxilat, loperamida si clonidina au fost folosite efectiv in tratament. Unii pacienti raspund la tratamentul cu antibiotice de spectru larg cum e tetraciclina. La cazurile rezistente octreotidul administrat parenteral poate fi util. II.8.2.3.VEZICA NEUROGENA Este caracterizata printr-un pattern de incontinenta si poate duce la retentie urinara. Demonstrarea cistometrica a anormalitatilor si a volumului rezidual crescut este necesara pentru diagnostic. Pacientul cu retentie urinara crescuta poate avea nevoie intermitent de cateter. Interventia chirurgicala este rareori necesara daca pacientul nu raspunde la tratament conservator, din cauza retentiei urinare cronice ce poate duce la infectie. II.8.2.4.REFLEXE CARDIOVASCULRE SCAZUTE Hipotensiunea ortostatica si rata crescuta a batailor inimii poate aparea cand neuropatia somatica afecteaza reflexele cardiace. Clonidina este utilizata curent pentru a trata aceasta conditie. Midodina este un agent nou care s-a dovedit a fi benefic de asemenea. II.8.2.5.DISFUNCTIA SEXUALA LA BARBAT Asociata cu diabetul si se prezinta ca o pierdere a erectilitatii. In cele mai multe cazuri insa libidoul si functia ejaculatorie nu sunt pierdute, desi ejacularea retrograda poate fi o consecinta. II.8.3.DIAGNOSTICUL SI TRATAMENTUL NEUROPATIEI Diagnosticul neuropatiei diabetice se face uneori cu usurinta pe baza unei evaluari clinice fara prea multe teste. Diabeticii pot avea neuropatie fara legatura cu boala diabetica. Cand simptomele nu sunt concludente si in functie de durata diabetului si complicatii, alte cauze ar trebui excuse. Exista putine dovezi ca o terapie medicamentoasa este utila in prevenirea sau vindecarea neuropatiei diabetice. Tratamentul cu medicatie antidepresiva triciclica cum ar fi nortriptilina sau medicamente anticonvulsivante precum carbamazepina ar putea fi folositoare la unii pacienti. Metodele de terapie fizica ar putea fi si ele utile. Poate fi necesara si o evaluare a durerii, clinic vorbind. |
|
|
CAPITOLUL III - Hemoglobina glicozilata si relevanta ei clinica in diabetul zaharat
III.1. HEMOGLOBINA GLICOZILATA PENTRU MONITORIZAREA CONTROLULUI GLICEMIEI SI MANAGEMENTUL CLINIC AL DIABETULUI
Pentru aproape 50 de ani, de cand s-a instituit terapia cu insulina, au fost propuse terapii pe baza de medicamente sau clasice care au prezentat dovezi cum ca o scadere a complicatiilor si o intarziere a lor pot fi realizate printr-o scadere a glicemiei la normal. Dovezi experimentale si studii recente care implica infuzii de insulina si monitorizare glicemie realizate de pacient acasa au raportat imbunatatirea parametrilor asociati cu complicatiile microangiopatice. Dovada ca glicemia aproape de normal previne dezvoltarea complicatiilor e inca in studiu.
Oricum, intr-un mic studiu cu pacienti alesi intamplatori realizat la Paris, pacientii cu diabet controlat eficient au prezentat un procent mai mic al aparitiei retinopatiei. Totusi, exista credinta conform careia un control bun sau foarte bun, atunci cand poate fi realizat, este benefic.
O problema majora a studiilor recente nu a adus suficiente caracteristici pentru a defini un control "bun". criteriile initiale de a controla glicemia constau in principal in testarea urinei la 24 de ore, pentru a masura glicozuria si teste de masurare a glicemiei sporadice.
Glicozuria a reprezentat instrumentul principal pentru controlul glicemiei. Masurarea glicozuriei, oricum, sunt la o calitate buna si pot sa nu se coreleze cu glicemia testata simultan. O noua metida, numita, testul hemoglobinei glicozilate este considerat a fi o unealta mai buna pentru controlul glucozei si metabolismului ei.
O serie de studii facute in ultima parte a anilor '70 si unele facute mai recent au confirmat utilitatea masurarii Hb A1c, Hb A1, sau Ghb ca o monitorizare eficienta a glucozei la pacientii cu diabet tip I si tip II.
A fost demonstrat in 1976 de catre Koening si co. faptul ca atunci cand pacientii cu diabet de tip I au fost adusi sub control la spital, a trebuit 8-12 saptamani ca hemogobina glicozilata sa revina la normal. Mai mult, conceptul ca Hb A1c poate singura reflecta glucoza sangvina a fost certificat. Relatia temporala dintre scaderea concentratiei Hb A1c si un metabolism al carbohidratilor imbunatatit a fost evidentiata.
III.2. HEMOGLOBINA GLICOZILATA: UN MARKER GENETIC SAU UN INDEX AL CONTROLULUI METABOLIC
Recent dupa descoperirea Hb A1c si cresterea ei la pacientii cu diabet zaharat, doua explicatii au fost aduse cu privire la ea. Poate reprezenta un metabolism distorsionat sau poate fi o componenta genetica a sindromului diabetic. Pentru a afla daca o crestere a Hb A1c este datorata unei anormalitati genetice sau mostenita, un studiu pe gemeni monozigoti concordant si discordant pentru diabet a fost initiat de Tattersal si co.
Valorile medii pentru proportia Hb A1c la gemenii din testul discordant au diferit semnificativ la cei doi membrii ai perechii respective. La gemenii concordanti cu tipul I de diabet, nu au existat diferente marcate intre membrii perechii, in ce priveste concentratia Hb A1c . patru perechi de gemeni identici concordanti pentru tipul II diabet au prezentat o medie scazuta a valorii pentru Hb A1c, dar nu si diferente mari per pereche. Asadar, apare cert faptul ca nivele crescute de hemoglobina glicozilata nu au baza genetica directa dar este incadrata ca o manifestare metabolica anormala a diabetului.
Numeroase studii realizate de atunci (ultima citare, vezi mai sus) au sugerat faptul ca Hb glicozilata la diabetici este o problema dobandita datorata dereglarii metabolismului carbohidratilor.
III.3. DESCOPERIREA DIABETULUI
Hemoglobina de tip A 1c a fost propusa ca a fi integrata la masurarea glicemiei plasmatice pe timpul celor doua luni dinaintea masurarii. Asadar, serveste ca un instrument de evaluare pe termen lung a controlului glicemiei la diabetici. A fost propus de catre o serie de cercetatori faptul ca masurarea Hb A 1c poate servi ca un marker sensibil si convenabil pentru diagnosticul diabetului si asadeci inlocuieste testul de toleranta la glucoza (TTGO).
Multe studii conduse in sensul stabilirii unei relatii intre Hb A 1c si TTGO au esuat.
Este evident ca o crestere a hemoglobinei glicozilate implica diabet sau toleranta scazuta la carbohidrati. Insa acest test nu este suficient de sensibil pentru a detecta toate cazurile de modificare a tolerantei.
III.4. HEMOGLOBINA GLICOZILATA SI SECHELELE DIABETULUI
Pacientii diabetici sufera din timp in timp complicatii ce ameninta viata datorita modificarilor micro si macroangiopatice, neuropatiei, retinopatiei si nefropatiei. Baza biochimica a dezvoltarii unor asemenea complicatii este necunoscuta. Mai mult, se pare ca exista o controversa intre a stabili o relatie intre controlul glicemiei si aparitia complicatiilor. Hemoglobina glicozilata poate fi utilizata ca un index metabolic pentru diabet, si metabolismul glucidic poate fi controlat ideal in aceasta maniera.
Se crede ca un mare numar de complicatii ale diabetului apar ca urmare a ingrosarii membranei bazale a capilarelor. Schimbarile biochimice care duc la aceasta nu sunt complet cunoscute. Desi este posibil ca sa apara de la o crestere a cantitatii de glicoproteine. S-a sugerat ca s-ar putea utiliza hemoglobina glicozilata pentru a monitoriza schimbarile membranei bazale, din moment ce are acelasi mecanism de formare.
Terapia cu insulina care a normalizat nivelul glicemiei la caine a redus sansa de a dezvolta retinopatie, pe cand terapiile care nu sunt efective sunt asociate cu cataracta si retinopatie. Dupa studii, s-a remarcat ca pacientii cu Hb A1c scazuta au prezentat si o scadere a ingrosarii membranei bazale.
Interesant de observat, pacientii cu concentratiile de Hb A1c mentinute la un nivel crescut au prezentat ingrosarea membranei bazale. Diverse studii realizate au demonstrat asociere intre Hb A1c si alte complicatii in special macro si microangiopatice, studiate mai mult la pacientii cu diabet de tip I. In capitolul V se vor dezvolta aceste aspecte.
III.5. GLICOZILAREA NON-ENZIMATICA SI FUNCTIA HEMATIILOR IN DIABETUL ZAHARAT
2,3-DPG, difosfogliceratul, reprezinta un component ce joaca un rol important in reglarea schimbului de oxigen la nivel de hematie. Nivele crescute de 2.3-DPG scad afinitatea pentru oxigen, crescand eliberarea sa catre tesuturi. Hemoglobina Hb A1c prezinta o afinitate crescuta pentru oxigen independent de 2,3-DPG. Aceasta hemoglobina minora va fi saturata in procent de 50% la presiuni partiale la care Hb A0 a cedat cea mai mare parte din oxigen. Nu exista dovada ca nivelele de 2,3-DPG difera la diabetic fata de normal.
Ditzel si asociatii au evaluat asociatia dintre afinitatea oxigenului la celulele cu 2,3-DPG si Hb A1c la copii cu diabet non-acidotic. In ciuda faptului ca la acestia s-a observat o crestere a concentratiei hemoglobinei, eritrocitele lor contineau mai mult 2,3-DPG fata de normal.
Aceasta crestere care nu a fost insotita de o crestere a p50, este probabil datorata prezentei de cantitati crescute de hemoglobina, Hb A1c, cu afinitate pentru oxigen crescuta. O crestere a 2,3-DPG si a Hb compenseaza prezenta unei hemoglobine cu afinitate pentru oxigen crescuta.
Bownlee si Cerami au prezentat ca anormalitatile hematologice ale diabetului.
Eritrocitele se transforma la diabetici. Agregarea crescuta a fost observata si acest fenomen apare ca urmare a unei cresteri a proteinelor plasmatice mai degraba decat schimbare morfologica a eritrocitului. Acest fenomen poate juca un rol important in ceea ce priveste patogeneza sechelelor micorangiopatice.
Desi agregarea anormala a hematiilor se coreleaza cu un nivel crescut al hemoglobinei glicozilate, nu este clar ce rol joaca in patogeneza bolii microvasculare. Se sugereaza o etiologie metabolica (a se vedea sindromul metabolic: hiperglicemie, obezitate, hipertensiune). Miller si colaboratorii au aratat o crestere a glicozilarii non-enzimatice a proteinelor eritrocitare la diabetic. Peterson si co. au demostrat ca diabetici au o supravietuire a eritrocitelor moderat scazuta.
Glicozilarea non-enzimatica a proteinelor membranare poate contribui la lipsa plasticitatii eritrocitare si a supravietuirii.
CAPITOLUL IV - Noutati in domeniul diabetului zaharat
Int J Med Sci. 2007 Mai 31;4(3):159-63.
Baum K Votteler T Schiab J
Desi este demonstrat ca exercitiul fizic este benefic pentru persoanele care au diabet zaharat tip II, doar o parte mica din pacienti chiar prezinta avantaje de pe urma acestei terapii. In ultimii zece ani, exercitiile bazate pe vibratie (vibration exercise, VE) au fost considerate ca fiind masura efectiva de a preveni atrofia musculara si osteoporoza, cu o micsorare per total a timpului total de exercitiu.
Din nefericire, se cunoaste foarte putin in legatura cu efectele metabolice ale VE. In studiul facut de acesti cercetatori, s-a comparat VE cu influenta exercitiului de forta si extense, existand si un grup de control al glicemiei la pacientii cu tip II diabet zaharat. 40 de adulti insulino-independenti au participat la acest test. Concentratia glucozei a jeun, un test TTGO si hemoglobina Hb A1c, forta maximala izometrica a muschiului cvadriceps si anduranta au fost evaluate la timpul 0 si apoi la 12 saptamani de la exercitiu cu trei sesiuni per saptamana. Principalele concluzii sunt:
Aria de sub curba, semnificand suprafata si concentratia maximala a glucozei la testul TTGO au fost reduse in lotul ce a efectuat VE si in celalalt la fel
Hb A1c tinde sa scada la datele masurate la t 0 la grupul cu VE pe cand la celalat grup creste.
Se sugereaza astfel ca exercitiile bazate pe vibratii pot fi o unealta eficienta si consumatoare de mai putin timp in ce priveste imbunatatirea controlului glicemic la pacientii cu diabet tip II.
J Clin Invest. 2007 Mai;117(5):1219-22.
Brem H Tomic-Canic M
Ulcerele piciorului diabetic, o cauza ce duce la amputare, afecteaza aproximativ 15% din diabetic. O serie de multiple mecanisme, incluzand scaderea raspunsului celular si a factorilor de crestere, duce la o circulatie periferica diminuata si o scaderea a angiogenezei locale, toate contribuind astfel la o lipsa a vindecarii la persoanele cu ulcer de picior diabetic.
Asadar, acest grup de cercetatori a identificat o noua potentiala tinta in ce priveste terapia interventionala a vindecarii leziunilor ce insotesc diabetul.
Singapore Med J. 2006 Aug;47(8):712-5.
Singh NP Garg S Kumar S Gulati S
Desi paraliziile isolate ale nervilor craniene sunt deseori asociate cu diabetul zaharat, polineuropatia este rara. Se prezinta un caz al unui pacient de 48 de ani, de sex masculin, cunoscut diabetic, care prezenta paralizie faciala, piciorul cazut, aton, si oftalmoplegie la ochiul stang. Diagnosticul diferential initial a inclus polineuropatie diabetica, tromboza septica de sinus cavernos, si sindrom Tolosa Hunt. Rezonanta magnetica nucleara (RMN) sunt calea de investigatie a acestui sindrom.
Pacientul avea dupa patru saptamani de tratament cu steroizi o completa si remarcabila rezolutie a oftalmoplegiei, cu repetate RMN, care aratau acest lucru.
Braz J Med Biol Res. 2006 Aug;39(8):1033-9.
Boelter MC Gross JL Canani LH Costa LA Lisboa HR Três GS Lavinsky J Azevedo MJ
Retinopatia diabetic este una din cauzele care duc la orbire la indivizii adulti. Pacientii diabetici cu proteinurie sau aceia care sunt dializati prezinta forme severe de retinopatie diabetic, dar asocierea retinopatiei cu nefropatia diabetic nu a fost inca total stabilita.
Un studiu pe 1214 diabetici tip II pentru a determina daca microalbuminuria este asociata cu retinopatia proliferativa diabetica a fost realizat. Pacientii erau evaluati direct sau indirect prin oftalmoscopie si grupati conform cu prezenta sau nu a retinopatiei diabetice proliferative. Dupa multiple analize bazate pe regresie, nefropatia diabetica (p value=0.001), utilizarea insulinei si durata diabetului au prezentat asociere cu retinopatia proliferativa diabetica; iar indicele de masa corporala (IMC) nu a prezentat asociere cu aceastea dintai. Atunci cand au fost exclusi pacientii cu macroabuminurie si cei ce efectuau dializa, microalbuminuria a ramas asociata cu retinopatia diabetica proliferativa.
Asadar, la pacientii cu tipul II de diabet zaharat ce prezinta retinopatie proliferativa s-a observat o afectare renala, incluzand albuminurie in limitele microalbuminuriei. Asadar, toti pacientii cu retinopatie proliferativa ca urmarea a diabetului, trebuie sa efectueze o evaluare a functiei renale incluzand masurarea albuminuriei.
Am Fam Physician. 2006 Sep 15;74(6):971-8.
Havas S Donner T
Controlul eficient al nivelului glucozei plasmatice si al riscului de boala cardiovasculara (hipertensiune, hipercolesterolemie) pot reduce substantial incidenta complicatiilor macro si microangiopatice implicate in patogenia diabetului. Clinicianul are un rol important in educarea pacientului care trebuie sa inteleaga ca schimbarea stilului de viata poate reduce riscul acestor complicatii.
|
Recomandari clinice (tipul I diabet) |
Rating* (a se vedea legenda) |
Referinte |
Observatii |
|
Adoptarea unor strategii multiple pentru a preveni complicatiile diabetului de tip I |
A |
|
Mortalitate redusa prin scaderea tensiunii arteriale si lipidemiei |
|
Exercitiu regulat |
B |
|
Studii de cohorta |
|
Testarea glicemiei frecvent si in momente critice |
A |
|
Trialuri controlate randomizate |
|
Utilizarea unei insuline cu actiune lunga si rapida pe zi inainte de fiecare masa |
C |
|
Hipoglicemie |
|
Invatarea simptomelor si semnelor hipoglicemiei si cum sa fie tratate |
C |
|
|
*A=consistenta, evidenta de calitate superioara orientata asupra pacientului
B=limitata, inconsistenta
C=practica uzuala, orientata asupra bolii
Pentru referinte a se vedea siteul: https://www.aafp.org/afp/20060915/971.html
CAPITOLUL V - Studii clinice
V.1. INTRODUCERE
De-a lungul timpului s-au desfasurat numeroase trialuri si studii care au prezentat importanta HbA1c in studiul evolutiei diabetului zaharat si descoperirii sale incipiente inca din faza incipienta. De asemenea numeroase astfel de studii s-au axat si pe corelarea acestei masuratori cu aparitia complicatiilor diabetului. Un control intensiv al bolii diabetice implica obligatoriu studierea metabolismului glucidic si aceasta se poate realiza cel mai usor prin masurarea hemoglobinei glicozilate.
In ceea ce urmeaza voi face o serie de referiri la studii precedente, in capitolul urmator iar apoi voi prezenta cele doua studii realizate, primul din ele referindu-se la o analiza a HbA1c si relatiilor cu diabetul si varsta, iar cel de-al doilea o analiza a HbA1c raportata la complicatiile diabetului, atingand astfel in mod practic cele doua puncte din titlul lucrarii mele.
Dar mai intai sa facem cateva precizari in legatura cu partea practica a HbA1c. in 1994 IFCC (International Federation of Clinical Chemistry- Federatia Internationala de Biochimie clinica) a stabilit organizarea unui grup de studiu pentru standardizarea HbA1c cu dorinta de a dezvolta un sistem de referinta pentru masurarea HbA1c.
Puncte de baza ale acestui grup de studiu
Definirea moleculei heterogene de HbA1c
HbA1c a fost definita ca un produs stabil aditionat glucozei la capatul N-terminal al Valinei de la nivelul lanturilor β ale Hb.
Prepararea HbA0 si HbA1c in stare pura
Au fost preparate produse standard HbA1c si HbA0, pentru calibrarea aparatelor.
Dezvoltarea unei metode de referinta de inalt nivel
S-a dezoltat o metoda cu trei etape:
Hb rezultata in urma centrifugarii si lizarii eritrocitelor este clivata in peptide de catre endoproteinaza Glu-C, o enzima proteolitica specifica
Hexapeptidele glicozilate si non-glicozilate ale lantului β ce au rezultat sunt apoi separate prin RP-HPLC (de faza inversa)
Hexapeptidele glicozilate si non-glicozilate sunt masurate prin spectrometrie de masa sau prin electroforeza in capilar cu detectie UV.
Stabilirea unei retele de laborator de referinta
O retea de referinta a laboratoarelor IFCC a fost stabilita. Fiecare laborator de referinta utilizeaza una sau ambele metode de referinta aprobate de IFCC.
Performanta acestor laboratoare este masurata bianual.
Ce este totusi intr-un numar?
HbA1c pe internet:
Peste un million de linkuri!


V.2. STUDII CORELATE
Studii prospective, pe termen lung au aratat ca nivelele de HbA1c se coreleaza direct cu riscul de a dezvolta sau chiar cu progresia in timp a complicatiilor diabetice. Trialurile si studiile sunt prezentate mai jos:
The Diabetes Control and Complications Trial (DCCT) - (1983-1993) - pentru tipul I
The Epidemiology of Diabetes Interventions and Complications (EDIC) - (1994-2002) - ce a continuat DCCT
United Kingdom Prospective Diabetes Study (UKPDS) - (1977-1997) - pentru tipul II
Semnele de intrebare DCCT
Complicatiile vasculare ale diabetului sunt corelate cu un control glicemic bun?
(studiu asupra masurarii glicemiei si hemoglobinei glicozilate)
Un tratament intensiv al diabetului poate scadea aparitia complicatiilor pe termen lung?
(studiu si comparare a tratamentului intensiv/conventional)
Graficul de mai jos arata practic un raspuns la cea de-a doua intrebare. Pe grafic linia cu verde reprezinta studiul cu tratament conventional iar cea portocalie cel cu tratament intensiv.
Ce se observa? Dupa primele luni de tratament intensiv apare o scadere neta a valorii HbA1c de la un varf de 9 pana aproape de 7%.
In timp pe parcursul celor 10 ani studiati s-a observat ca valoarea hemoglobinei glicozilate la cei tratati conventional se mentine la valoarea ridicata de 9%, cu scaderi sau cresteri relative spre 10%, ceea ce evident creste rata aparitiei complicatiilor. In schimb tratamentul intensiv a mentinut in platou valorile hemoglobinei glicozilate la o valoare de aproximativ 7%. Graficul vorbeste de la sine.

DCCT: glicemia si HbA1c
|
|
Intensiv |
Conventional |
|
Glicemia (mg/dL) |
|
|
|
HbA1c (%) |
|
|
1993 - Rezultatele DCCT
Reducerea riscului aparitiei complicatiilor in cazul aplicarii unui tratament intensiv:
Retinopatie cu 34-76%
Microalbumiurie cu 35%
Albuminurie clinica cu 56%
Neuropatie clinica cu 60%

Graficul de mai sus se refera la primul punct si anume corelarea progresiei retinopatiei cu media hemoglobinei glicozilate, de la o valoare de 7% ajungand pana la 11% in decursul a mai multi ani.
Pentru tipul I de diabet gradul controlului glicemic (masurat prin HbA1c) a fost strans corelat cu riscul de a dezvolta sau progresia complicatiilor diabetice.
EDIC (The Epidemiology of Diabetes Interventions and Complications
Acest trial a urmat imediat DCCT pentru a se demonstra daca reducerea riscului de complicatii persista si dupa oprirea terapiei intensive corespunzatoare DCCT.
Reducerea marcata a riscului de progresie a microalbuminuriei, retinopatiei si albuminuriei observate in studiul DCCT intre grupul intensiv versus conventional tratat au persistat si dupa oprirea terapiei intensive pentru cel putin 7-8 de la terminarea DCCT. Graficul de mai jos arata prevalenta microalbuminuriei in EDIC.

EDIC
Raportate in 2005:
Un risc semnificativ mult mai mic al bolii cardiovasculare poate fi adaugat la lista de beneficii dovedite pe termen lung al controlului intensiv al glicemiei la persoanele cu diabet de tip I
Controlul intensiv a scazut evolutia bolii cardiovasculare cu aproape 50%!
UKPDS (United Kingdom Prospective Diabetes Study)
A prezentat dovezi evidente al unui risc scazut al aparitiei complicatiilor diabetice la pacientii diabetici de tip II cu un control intensiv al glicemiei.
UKPDS Group. Lancet 1998; 352:837-53.
UKPDS
Rezultate
A existat o diferenta de 0.9% intre HbA1c in cadrul grupului cu tratament intensiv fata de cel tratat conventional (7.0 vs. 7.9%)
A existat o reducere a riscului complicatiilor micro si macroangiopatice la un control intensiv al glicemiei si tensiunii arteriale
Graficul ce urmeaza pe axa ordonatelor reducerea riscului in ce priveste complicatiile diabetului tip II in studiul UKPDS.
Astfel nefropatia apare la un procent de 33%, retinopatia cu 21% iar boala microangiopatica cu 25%, procente semnificative, daca luam in considerare faptul ca diabetul de tip II este descoperit adeseori tardiv, in faza de complicatii.

V.3. STUDIUL CLINIC 1. HEMOGLOBINA GLICOZILATA SI DIABETUL ZAHARAT
Astfel, din 2500 de cazuri s-au generat doua esantioane a cate 224 de cazuri. S-au intreprins analize preliminarii si studii inferentiale.
Frecventa
Procent
Sex
F
M
Total
Mai jos este prezentat si graficul ce arata aceasta distributie
In ce priveste tipul de diabet, in continuare este prezentat:
|
Tipul DZ |
Frecventa |
Procent |
||
|
|
|
|
|
|
|
|
|
|
|
|
|
|
|
|
|
|
|
|
Total |
|
|
|
|
Tipul DZ |
F |
M |
Frecventele |
|
|
|
|
|
|
|
|
|
|
|
|
|
|
|
|
|
|
|
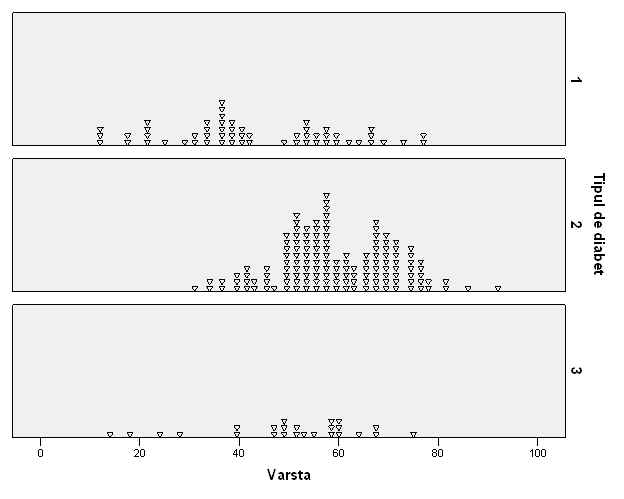
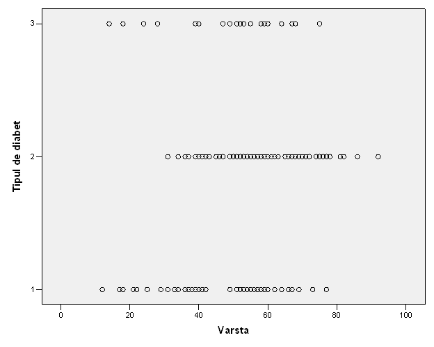
In tabelul de mai sus e prezentata distributia tipului de diabet in functie de sex. Se observa ca din cei 224 de pacienti 143 (63.84%) prezinta diabet de tip II.
Ca distributie pe sexe au fost alese aleator mai multe reprezentate de sex feminin, probabil din cauza faptului ca populatia respectiva supusa esantionarii o mare parte au fost reprezentate de femei, dar de aici nu se poate trage concluzia ca femeile prezinta diabet in proportie mai mare decat barbatii. Graficele sunt in mai jos.
Varsta
|
Numar de cazuri |
|
Aici este prezentata variabila varsta prelucrata statistic. Astfel minimul este la 12 iar maximul la 92 de ani. Se acopera intreaga plaja de varsta. Media se afla la aproximativ 54 de ani. |
|
Mean |
|
|
|
Median |
|
|
|
Mode |
|
|
|
Std. Deviation |
|
|
|
Range |
|
|
|
Minimum |
|
|
|
Maximum |
|
|
|
Total |
|
Mai sus e prezentata distributia ce rezulta din prelucrarea datelor variabilei varsta. Este vorba despre o distributie de tip Gaussian, cu media la aproximativ 54 ani. De asemenea pe axa ordonatelor sunt trecute frecventele fiecarei varste in parte. Frecventele cele mai mari sunt in intervalul varstei de [50, 70] ani.
Pentru variabila hemoglobina glicozilata statisticile sunt prezentate in tabelul de mai jos:
Hb glicozilata
|
Numar cazuri |
|
|
Mean |
|
|
Median |
|
|
Mode |
|
|
Std. Deviation |
|
|
Range |
|
|
Minimum |
|
|
Maximum |
|
|
Total |
|
|
|
|
Media este de aproximativ 9.103 ceea ce arata ca acest parametru a avut valori mari, deci diabetul gasit la pacientii respectivi a fost in stadii avansate. Deviatia standard are valoarea de 2.254 ceea ce in contextul unui esantion aleator ales este o valoare medie. Se observa de altfel o valoare mult crescuta de maxim: 18.3 si un minim de 4.2, cu o diferenta semnificativa intre ele, desi lotul a fost omogen.
Histograma de mai jos prezinta aceste concluzii sub forma grafica.
Cazurile alese s-au incadrat deci in intervalul [8.00%, 11.00%], ceea ce depaseste 7.5%, deci pacientii acestia au prezentat complicatii. In dreapta figurii sunt trecute principalele valori de retinut iar pe axa Oy frecventele. Cea mai mare frecventa de aproape 30% este la nivelul valorii de 10% a hemoglobinei glicozilate.
Studiile de corelatie sunt prezentate in cele ce urmeaza. Au fost realizate tot cu ajutorul programului SPSS 13.
In ce priveste asocierea intre tipul de diabet si hemoglobina glicozilata s-a gasit ca exista o asociere semnificativa (r=-0.061, DF=222, p<0.01). Pacientii cu diabet zaharat in stadiul avansat ce prezinta deja si complicatii au un nivel al hemoglobinei crescut. Corelatia folosita a fost Pearson.
Corelatia cu varsta arata ca tipul de diabet in studiul nostru nu s-a asociat semnificativ cu varsta pacientilor (r=0.257, DF=222, p<0.01). Mai jos este si diagrama prin puncte care arata ca nu este nici o relatie intre varsta si tipul de diabet.
Rezulta ca in populatia aleasa de noi, un pacient de varsta inaintata poate avea si diabet de tip I si diabet de tip II sau tipul nedeterminat. Graficul insa arata si cateva subtilitati: tipul II predomina dupa varsta de 40 ani, in lotul nostru fiind mai multi pacienti cu asemenea tip; t ipul I prezinta o distributie in special la nivelul extremelor intervalului de varsta, iar tipul nedeterminat domina intreaga scala
Aici este prezentata mai clar distributia de care vorbeam mai sus.

Ceea ce e incercuit cu rosu arata concluziile: tipul II apare la varste mai inaintate in detrimentul diabetului de tip I care apare la varste mici.
Urmatoarea variabila studiata este durata de la descoperirea diabetului. Pe grafic se observa doua picuri la 20 si 40 de ani si o distributie aproximativ egala per numar de cazuri. Ultimul desen subliniaza alte aspecte:
Diabetul de tip II a aratat cele mai indelungate perioade pana la descoperire
Diabetul de tip I a fost intermediar
Diabetul de cauza necunoscuta sau nedeterminat a fost descoperit cel mai precoce.
Tipul II a fost dominant in esantion si a predominat descoperirea lui tardiva.
V.3. STUDIUL CLINIC 2. COMPLICATIILE DIABETULUI CORELATE CU HEMOGLOBINA GLICOZILATA
COMPLICATII ANGIOPATICE
Studiul efectuat s-a realizat luand in considerare doua esantionane de populatie suferinda de diabet cu complicatii aferente de natura microangiopatica. Primul esantion, cu 60 de cazuri iar cel de-al doilea cu 175. Pentru primul lot s-a studiat valoarea hemoglobinei glicozilate raportata la o evolutie sub 10 ani iar pentru al doilea la o evolutie ce depaseste aceasta perioada.
|
|
Evolutie sub 10 ani |
Evolutie peste 10 ani |
||
|
DZ |
DZ2 |
DZ1 |
DZ2 |
|
|
Nr. pacienti |
|
|
|
|
|
Valoare procentuala (%) |
|
|
|
|
|
Media HbA1c |
|
|
|
|
Se observa din datele afisate mai sus ca, in ceea ce priveste o evolutie sub 10 ani, procentul crescut este prezent la pacientii cu diabet de tip I, aproximativ 58%, fata de 42% la cei cu diabet de tip II.
Astfel exista o corelare intre tipul diabetului si complicatiile microangiopatice, remarcata de literatura in domeniu de altfel, care stipuleaza ca o complicatie microangiopatica este de asteptat sa apara la pacientii cu diabet zaharat de tip I, in detrimental celor cu diabet de tip II, la care de altfel se observa prezenta complicatiilor macroangiopatice, dupa cum a fost precizat in partea generala a lucrarii.
In ce priveste o evolutie peste 10 ani se remarca incrementarea procentului precizat anterior si marirea diferentei semnificative procentual intre cele doua tipuri de diabet. Deci, se poate concluziona ca pe termen lung, complicatiile microangiopatice sunt specifice diabetului de tip I (in tabel se observa diferenta: 75% raportat la 25%).
Implicarea masurarii hemoglobinei glicozilate, mai precis masurarea unui dezechilibru metabolic se poate evidentia prin graficul de mai jos. La o evolutie de mai putin de 10 ani si cel putin o complicatie microangiopatica se observa o valoare de 9.18, fata de 9.17, comparand ambele tipuri de diabet.
In schimb la o evolutie de peste 10 ani, media valorii hemoglobinei glicozilate masurate a crescut semnificativ (9.31), existand deci o legatura intre valoarea HbA1c masurata si evolutia complicatiilor pe termen lung.
De asemenea in cadrul aceluiasi studiu s-a evaluat pe un lot de 200 de cazuri, existenta complicatiilor la pacientii nou-internati, nedescoperite anterior. Astfel din cele 200 de cazuri, un procent de 74% au prezentat cel putin o complicatie fata de 26%, care nu aveau nici una, acest lucru studiat in contextul ambelor tipuri de diabet, plus cele necunoscute sau prea putin studiate.
Graficul de mai jos prezinta acestea:

COMPLICATII - RETINOPATIE
S-a realizat un studiu pe 151 de pacienti cu diabet de tip I si II si valoarea HbA1c raportate la acestea. De asemenea s-a studiat prevalenta complicatiilor la nivel retinian pentru cele doua tipuri.
Tabelul urmator prezinta datele:
|
Retinopatie |
Nr. cazuri |
|
|
DZ I |
DZ II |
|
|
Non-proliferativa |
|
|
|
Proliferativa st. incipient |
|
|
|
Proliferativa severa |
|
|
|
Total cazuri |
|
|
Dupa cum s-a discutat deja la partea generala exista mai multe tipuri de retinopatie in functie de evolutia clinica. Astfel distingem trei etape: prima etapa este cea non-proliferativa cu risc mic si apoi urmatoarele doua cu risc relativ crescut, a doua etapa fiind stadiul proliferativ incipient sau pre-proliferativ dupa unii autori si stadiul ultim sever de risc crescut de pierdere ireversibila a vederii.
Din cele 151 de cazuri 110 sunt cei care au diabet de tip I iar 41 cazurile cu diabet de tip II. Se observa clar ca procentual stadiul non-proliferativ este predominant, astfel pentru diabetul de tip I raportat la cele 110 cazuri din esantion se remarca un procent de 54.54%, deci mai mult de jumatate.
In cazul diabetului de tip II, un procent de aproximativ 61% din esantionul respectiv au fost descoperiti cu retinopatie non-proliferativa. Retinopatia severa proliferativa a prezentat de asemenea un procent crescut; astfel in cazul tipului I un procent de 35.45% din cazuri, iar la tipul II un procent de 27%. Mai jos se observa acestea exprimate grafic.

In continuare este prezentat tabelul cu valorile hemoglobinei glicozilate in cadrul acelorasi esantioane. Asadar, pentru diabetul de tip I valorile obtinute variaza de la 8.78 pentru primul stadiu la 10.05 pentru stadiul III, sever. In cazul diabetului de tip II se observa aceeasi variatie.
Ca medie a valorilor, pentru diabetul de tip II valoarea (9.28%) este mai mare fata de diabetul de tip I (9.41%). Concluzia care se trage este ca in cazul diabetului de tip II se descopera tardiv retinopatia comparativ cu diabetul de tip I. In ce priveste corelatia cu HbA1c a retinopatiei s-a observat ca nu exista o relatie semnificativa intre stadiul retinopatiei si diabetul zaharat de tip I si II (r=0.028, p<0.01). De altfel, se poate remarca de asemenea ca exista o variatie a stadiului retinopatiei conform cu cresterea HbA1c, ceea ce correspunde studiilor efectuate. Ceea ce inseamna ca la un nivel ridicat al HbA1c se descopera clinic un stadiu avansat al retinopatiei.
Un metabolism alterat implica si o progresie a retinopatiei spre stadiul sever. Dupa prezentarea tabelului exista o diagrama ce prezinta si valorile corespunzatoare.
|
Retinopatie |
HbA1c (%) |
|
|
|
DZ I |
DZ II |
Media HbA1c (%) |
|
|
Non-proliferativa |
|
|
DZ I - 9.28 DZ II - 9.41 |
|
Proliferativa st. incipient |
|
|
|
|
Proliferativa severa |
|
|
|
|
|
|
|
|
COMPLICATII - NEFROPATIE
In cazul acestei complicatii s-a remarcat ca in functie de microalbuminuria prezenta se pot defini mai multe stadii. In studiul prezent le voi defini ca A, B, C, acestea corespunzatoare unor stadii III-V, clinic vorbind.
S-au analizat 106 cazuri, dintre acestea 64 cu stadiul A, 27 cu stadiul B si 15 cu stadiul C. De asemenea s-a masurat hemoglobina glicozilata in cazul fiecarui stadiu. Distributia aceasta este prezentata in cele ce urmeaza:
|
|
Stadiul A |
Stadiul B |
Stadiul C |
|
HbA1c (sub 7.5%) |
|
|
|
|
HbA1c (peste 7.5%) |
|
|
|
|
Total cazuri |
|
|
|
In graficul arie de mai sus sunt exprimate nr de cazuri in functie de stadiul de nefropatie. Corelatia intre valoarea HbA1c si prezenta afectarii renale a prezentat faptul ca aceasta complicatie, indiferent de stadiu este mai frecventa la pacientii care au avut valori ale hemoglobinei glicozilate peste 7.5%. de altfel acest lucru a fost observat si in cazul retinopatiei.
Se remarca si o evolutie ascendenta procentuala in cazul studiului curent efectuat; astfel pentru o hemoglobina de peste 7.5% la stadiul A s-a gasit un procent de 79.77%, la stadiul B un procent de 88.89% iar la stadiul C un procent de 93.34% din numarul total de cazuri. Studiile DCCT si EDIC prezentate anterior sustin aceste concluzii.
CAPITOLUL VI - Concluzii
Diabetul zaharat reprezinta una din cauzele cele mai importante de boala si mortalitate din toata lumea, in special datorita complicatiilor greu de stapanit si descoperite tardiv. Lucrarea de fata a tratat o serie de aspecte legate de diabetul zaharat. Hemoglobina glicozilata, un marker special plus masurarea glicemiei a jeun sunt de asemenea studiate.
Corelatia dintre diversi parametri implicati in studiul diabetului zaharat a aratat ca exista mai multe puncte de ghidaj in tratamentul si evolutia acestei boli in stransa legatura cu varsta, durata de la descoperire si mai ales masurarea acestei magice HbA1c de importanta covarsitoare. Studiile pe care le-am realizat corespund cu parerile majoritatii cercetatorilor in domeniu. Astfel "highlight"-urile acestui studiu sunt:
Diabetul zaharat indiferent de tip poate aparea la orice varsta
Complicatiile se pot descoperi precoce daca se efectuaza masuratori corecte si la intervale scurte de timp, in special in ce priveste hemoglobina glicozilata
Complicatiile sunt des intalnite la tipul II, deoarece acest tip este descoperit mai tarziu la majoritatea pacientilor
O terapie intensiva este de preferat fata de una conventionala si aici studiile sunt inca in desfasurare pentru a gasi tratamentul optim pentru fiecare tip in parte
Exista asocieri semnificative intre aparitia complicatiilor si valori mari ale hemoglobinei glicozilate
Nu exista asociere intre sex si diabetul sau evolutia sa ulterioara, desi exista studii care dovedesc o prevalenta crescuta la barbati sau unele la femei.
CUPRINS
I.1. INTRODUCERE
I.2. CLASIFICARE SI INCIDENTA
Tabelul 1. Tipuri de diabet zaharat*
I.3. PATOGENEZA
I.3.1. FIZIOLOGIA NORMALA A INSULINEI
I.3.2.PATOGENEZA DIABETULUI ZAHARAT DE TIP I
Tabelul 2. Tipul I vs tipul II diabet zaharat
I.3.3.PATOGENEZA DIABETULUI ZAHARAT DE TIP II
Perturbarea secretiei de insulina
Rezistenta la insulina
Obezitatea
I.4.DEFECTELE GENETICE ALE FUNCTIEI CELULEOR BETA
CAPITOLUL II - Complicatiile diabetului zaharat
II.1.PATOGENEZA COMPLICATIILOR DIABETULUI
Boli vasculare
Sindroame neuropatice si rezultatele lor
Boli mixte - vasculare si neuropatice
II.2.OPTIMIZAREA CONTROLULUI GLICEMIC AL TIPULUI II DIABET
II.3.BOALA MACROANGIOPATICA ACCELERATA
II.4.DIABETUL CA RISC DE BOALA CARDIOVASCULARA
II.4.1.IMPORTANTA MODIFICARII FACTORILOR DE RISC VASCULARI
II.4.2.TRATAMENTUL BOLII CARDIOVASCULARE
II.5.RETINOPATIA DIABETICA
Tabelul 7. Ce trebuiesc sa stie pacientii legat de retinopatie
II.5.1.STADIILE RETINOPATIEI DIABETICE
Polineuropatia debuteaza ca o disfunctie motorie si senzoriala asimptomatica a nervilor periferici. Este simetrica si initial extremitatile distale sunt sunt implicate. Prezenta neuropatiei se leaga de durata diabetului si gradul de hiperglicemie. La persoanele cu diabet de tip II, polineuropatia poate fi prezenta la diagnostic. Neuropatia dureroasa a fost identificata si asociata in special cu retinopatia si nefropatia. Exista desigur stadii in progresia afectiunii, de la stadiul asimptomatic pana la disparitia reflexelor si a sensibilitatii, insotite de durere.
II.8.2.NEUROPATII SOMATICE
CAPITOLUL III - Hemoglobina glicozilata si relevanta ei clinica in diabetul zaharat
CAPITOLUL IV - Noutati in domeniul diabetului zaharat
Int J Med Sci. 2007 Mai 31;4(3):159-63.
Desi este demonstrat ca exercitiul fizic este benefic pentru persoanele care au diabet zaharat tip II, doar o parte mica din pacienti chiar prezinta avantaje de pe urma acestei terapii. In ultimii zece ani, exercitiile bazate pe vibratie (vibration exercise, VE) au fost considerate ca fiind masura efectiva de a preveni atrofia musculara si osteoporoza, cu o micsorare per total a timpului total de exercitiu.
Din nefericire, se cunoaste foarte putin in legatura cu efectele metabolice ale VE. In studiul facut de acesti cercetatori, s-a comparat VE cu influenta exercitiului de forta si extense, existand si un grup de control al glicemiei la pacientii cu tip II diabet zaharat. 40 de adulti insulino-independenti au participat la acest test. Concentratia glucozei a jeun, un test TTGO si hemoglobina Hb A1c, forta maximala izometrica a muschiului cvadriceps si anduranta au fost evaluate la timpul 0 si apoi la 12 saptamani de la exercitiu cu trei sesiuni per saptamana. Principalele concluzii sunt:
Dupa exercitiu glicemia testata ramane neschimbata
Aria de sub curba, semnificand suprafata si concentratia maximala a glucozei la testul TTGO au fost reduse in lotul ce a efectuat VE si in celalalt la fel
Hb A1c tinde sa scada la datele masurate la t 0 la grupul cu VE pe cand la celalat grup creste.
V.1. INTRODUCERE
V.2. STUDII CORELATE
V.3. STUDIUL CLINIC 1. HEMOGLOBINA GLICOZILATA SI DIABETUL ZAHARAT
Mai jos este prezentat si graficul ce arata aceasta distributie.
In ce priveste tipul de diabet, in continuare este prezentat:
In tabelul de mai sus e prezentata distributia tipului de diabet in functie de sex. Se observa ca din cei 224 de pacienti 143 (63.84%) prezinta diabet de tip II. Ca distributie pe sexe au fost alese aleator mai multe reprezentate de sex feminin, probabil din cauza faptului ca populatia respectiva supusa esantionarii o mare parte au fost reprezentate de femei, dar de aici nu se poate trage concluzia ca femeile prezinta diabet in proportie mai mare decat barbatii. Graficele sunt in mai jos.
V.3. STUDIUL CLINIC 2. COMPLICATIILE DIABETULUI CORELATE CU HEMOGLOBINA GLICOZILATA
COMPLICATII ANGIOPATICE
Studiul efectuat s-a realizat luand in considerare doua esantionane de populatie suferinda de diabet cu complicatii aferente de natura microangiopatica. Primul esantion, cu 60 de cazuri iar cel de-al doilea cu 175. Pentru primul lot s-a studiat valoarea hemoglobinei glicozilate raportata la o evolutie sub 10 ani iar pentru al doilea la o evolutie ce depaseste aceasta perioada.
VI. COMPLICATII 81
Bibliografie
1. Robbins, Pathologic Basis of Disease, sixth edition, W.B. Saunders co.,2002;
Vernaleken A, Veyhl M, Gorboulev V, Kottra G, Palm D, Burckhardt BC, Burckhardt G, Pipkorn R, Beier N, van Amsterdam C, Koepsell H. : Tripeptides of RS1 (RSC1A1) Inhibit a Monosaccharide Dependent Exocytotic Pathway of Na+-DGlucose Cotransporter SGLT1 with High Affinity. J Biol Chem. Aug 8,
Raile K,
Galler A, Hofer S, Herbst A, Dunstheimer D, Busch P, Holl RW. Diabetic nephropathy in 27,805 children,
adolescents and adults with type 1 diabetes: effect of diabetes duration,
HbA1c, hypertension, dyslipidemia, diabetes onset and gender.
Diabetes Care. Jul 31, 2007;
C. Ronald Kahn, Gordon C Weir, George L. King, Alan C. Moses, Robert J. Smith, Alan M. Jacobson., Joslin's Diabetes Mellitus. Lippincott Williams&Wilkins, 14 edition December 17, 2004.
7. R. A. De Fronzo, Ele Ferrannini, Harry Keen, Paul Zimmet., International Textbook of Diabetes Mellitus (Wiley Reference Series in Biostatistics) Wiley; 3 Sub edition. June 25, 2004.
Dorel Lucian Radu, Experimental models to study type 1 diabetes mellitus in cartea : NEW INSIGHT INTO EXPERIMENTAL DIABETES, Editor : Prof. Dan Cheta, Ed. Academiei Romane, Bucuresti, 2002.
9. Doina Popov, Dorel Lucian Radu, The role of hyperglycemia in the development of diabetic complications investigated in transgenic mouse model in cartea: Vascular involvement in diabetes-Clinical Experimental and Beyond-, Editor : Prof. Dan Cheta, Ed. Acad. Romane, 2005.
D.L. Radu, A. Georgescu, C. Stavaru, A. Carale, D. Popov, Double transgenic mice with Type 1 diabetes mellitus develop somatic, metabolic and vascular disorders. J.Cell.Mol.Med.2004, 8(3), 349-358.
|