Documente online.
Zona de administrare documente. Fisierele tale
Am uitat parola x Creaza cont nou
 HomeExploreaza
upload
Upload




Mieloproliferarea acuta – generalitati

medicina


Mieloproliferarea acuta – generalitati


- definitie



- prezentarea morfologica a celulelor atipice

- clasificarea

Definitie Leucemia acuta mieloida este o boala clonala a celulelor stem hematopoietice cu orientare mieloida, caracterizata prin proliferarea lor neoplazica aberanta , cu oprirea diferentierii si maturatiei.


Celulele blastice 919b18j din LAM sunt de trei tipuri:

Tipul I cu talie variabila, citoplasma bazofila fara granulatii, nucleu cu cromatina fina si 1-2 nucleoli

Tipul II cu aceleasi caractere ca cele de tipul I, dar au in citoplasma cateva granulatii azurofile si corpi Auer.

Tipul III au in citoplasma pana la 20 granulatii azurofile, adesea de talie mare.


Clasificarea morfologica, numita si clasificarea FAB, deoarece a fost codificata de grupul franco-americano-britanic, impreuna cu Societatea Internationala de Hematologie. Acestia recomanda

examinarea a cel putin 500 celule din frotiuri de maduva osoasa hematopoietica

identificarea celuleor blastice si numararea lor

se stabileste diagnosticul de L.A. ( leucemie acuta ) daca procentul celulelor blasice este de peste 30% din totalul celulelor ( daca populatia de eritroblasi este sub 50%) sau de peste 30% din totalul celulelor neeritroide ( daca populatia de eritroblasi este de peste 50%)


LAM1 Leucemia acuta mieloblastica. Mieloblasii de tip I si II trebuie sa depaseasca 30% din totalul celulelor neeritroide, putand ajunge la 90%. Din celulele blastice, peste 3% sunt MPOX+ ( mieloperoxidaza pozitive), la care se poate adauga prezenta corpilor Auer. Celulele seriei granulocitare sunt pana la 10% promielocite si pana la 10% monocite.


LAM2 Leucemia acuta mieloblastica cu maturatie. Celulele blastice 919b18j de tip II-III depasesc 30% din totalul celulelor neeritroide. Celulele seriei granulocitare sunt pana la 20% promielocite si pana la 20% monocite.


LAM3 Leucemia acuta promielocitara. Peste 30% din totalul celulelor neeritroide sunt promielocite atipice, cu nucleu mare, oval sau reniform, cu nucleoli; citoplasma este abundenta, cu granulatii mari azurofile si manunchiuri de corpi Auer. Exista si o forma hipogranulara.


LAM4 Leucemia acuta mielomonocitara. Celulele blastice 919b18j depasesc 30% din totalul celulelor neeritroide si cel putin 20% dintre acestea sunt monoblasti si promonocite. Cel putin 20% dintre celulele blastice din maduva sa aiba reactia pentru esteraze pozitiva.


LAM5 Leucemia acuta monoblastica. Celulele blastice 919b18j depasesc 30% din totalul celulelor neeritroide si cel putin 80% dintre acestea sunt monoblasti si promonocite. Exista 2 subtipuri: LAM5a in care 80% dintre celule sunt monoblasti si LAM5b in care celulele sunt mai diferentiate, existand peste 20% promonocite.


LAM6 Eritroleucemia acuta . Peste 50% din totalul celulelor medulare au aspect de eritroblasti, cu reactia PAS pozitiva. Din celulele neeritroblastice, peste 30% sunt blasti de tipul I-II.


LAM7 Leucemia acuta megakarioblastica. Peste 30% dintre celulele neeritroide sunt megakarioblasti, cu diametru de 25 micrometri, nucleu cu cromatina densa, cu nucleoli, citoplasma bazofila, cu mici prelungiri citoplasmatice si trombocite aderente de marginea citoplasmei



LAM0 Leucemia acuta minim diferentiata Peste 30% dintre celulele neeritroide sunt celule blastice agranulare, cu nucleu cu cromatina fina, cu nucleoli.


Dupa examenul morfologic , pentru stabilirea cu precizie a diagnosticului, trebuie efectuata citochimia si imunofenotiparea.



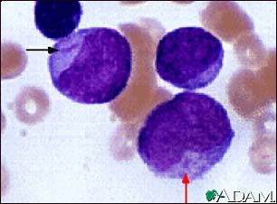
Mieloblasti, cu nucleoli, corpi Auer ( sageata) si incluziuni azurofile (sageata).





Sem. II. Curs 3

Mieloproliferarea acuta – tablou clinic, evolutie. Investigatii de laborator obligatorii in leucemia acuta


Tablou clinic. Manifestarile clinice se datoreaza in principal insuficientei medulare si infiltrateie leucemice in diferite organe.



Pacientii acuza o stare de oboseala instalata insidios.

Febra insotita de transpiratii nocturne este prezenta la 70% dintre bolnavi.

Dureri osoase la nivelului oaselor lungi, coloanei vertebrale si sternului.

Sindrom hemoragic: echimoze, petesii, epistaxis se datoreaza trombocitopeniei si unor deficite de factori ai coagularii sau CID.

Anemia este prezenta la toti bolnavii si poate fi severa.

Infectiile apar cand numarul de neutrofile scade sub 1000 mm2.

Splenomegalia apare in 50% din cazuri.

Hipertrofia gingivala apare in special in LAM 4 si LAM5 .si se datoreaza infiltratiei leucemice gingivale .

Infiltratiile cutanate, oculare ( afectarea retinei), pulmonare-cand leucocitele depasesc 50000/ mm2.

Afectarea gastro-intestinala se poate manifesta prin leziuni ulcerative bucale produse de neutropenia severa, la care frecvent se asociaza infecsia fungica ( candidoza bucala si esofagiana).

Manifestarile osoase se caracterizeaza in special prin osteoporoza difuza.

Tulburarile cardiovasculare sunt consecinta dereglarilor metabolice, in specialelectrolitice.

Afectarea SNC este rara ( 5% din cazuri), in special in cazurile cu leucocitoza mare, nivel crescut de LDH si in LAM 4 si LAM5 . Pot apare paralizii de nervi V si VII si afectarea vaselor cerebrale prin microtrombi, cu rupetura si hemoragie fatala.


Tabloul sangelui periferic si al maduvei osoase.

a). Sangele periferic

Numarul de leucocite din singele periferic este moderat crescut la 50% din pacienti, sub 50000/ mm2 , iar la 20% poate depasi 100000/ mm2 .

Procentul de blasti este variabil, intre 15% si 90%. Exista si forme aleucemice, fara blasti in periferie.

Prezenta in citoplasma acestora a corpilor Auer - incluziuni azurofile eliptice de 1,5µm 0,5 µm- este patognomonica.

Corpii Phi, cu aspect fusiform, sunt lizozomi alterati si au aceeasi semnificatie ca si corpii Auer sau granulatiile azurofile.

Neutrofilele pot prezenta anomalii nucleare ca : hipersegmentare, hiposegmentare ( anomalia Pelger-Huett), absenta peroxidazelor si a fosfatazei alcaline.

Anemia este importanta , dar hematiile sunt de obicei normocrome normocitare. Durata de viata a hematiilor este de obicei normala. Testul Coombs este negativ.

Trombocitopenia este prezenta in cea mai mare parte din cazuri, iar trombocitele pot prezenta anomalii morfologice ( macrotrombocite, granulatii rare) ,cu tulburari functionale.

b). Maduva osoasa hematopoietica este normo- sau hipercelulara, cu cu un procent crescut de pana la 90% blasti.


Imunitatea umorala: Nivelul de imunoglobuline este crescut la 40% dintre bolnavi, cu cresterea procentuala a IgA, proportional cu numarul de leucocite si varsta.

Imunitatea celuleara este deprimata , iar numarul celulelor NK este scazut.


Modificari biochimice in sange:

Hiperuricemia si hipertpotasemia sunt cele mai frecnte anomalii biochimice.

Hiperuricemia se datoreaza turnoverului crescut al celulelor leucemice si poate determina nefropatia urica.

Hiperpotasemia este tot consecinta unei lize celulare crescute si poate determina aritmii cardiace.

Hiper hipocalcemia ( la copii) se datoreaza substanttlor eliberate de celulele leucemice.

Sindromul de liza tumorala, detereminat de distrugerea rapida a celulelor leucemice se caracterizeaza prin: hiperuricemie, hiperpotasemie, hiperfosfatemie, cu consecinte asupra functiei cardiace si renale.





Document Info


Accesari: 3833
Apreciat: hand-up

Comenteaza documentul:

Nu esti inregistrat
Trebuie sa fii utilizator inregistrat pentru a putea comenta


Creaza cont nou

A fost util?

Daca documentul a fost util si crezi ca merita
sa adaugi un link catre el la tine in site


in pagina web a site-ului tau.




eCoduri.com - coduri postale, contabile, CAEN sau bancare

Politica de confidentialitate | Termenii si conditii de utilizare




Copyright © Contact (SCRIGROUP Int. 2025 )