PATOLOGIA GENUNCHIULUI - TENDINOPATIA ROTULEI
Este cea mai frecventa tendinopatie
Termenul grupeaza patologie diferita:
Diagnosticul este clinic. Imagistica trebuie sa precizeze atingerea tendonului pentru specificarea tratamentului
Radiografia standard, obligatorie, face bilantul osos – urmareste calcificarile
Ecografia, cu sonda de peste 13 MHz, cu medic antrenat, este metoda de diagnostic cea mai fiabila:
Permite studierea tendonului in dinamica
Apreciaza structura
Apreciaza vascularizatia
IRM este necesar daca este discordanta clinico-ecografica sau intr-un bilant preoperator
Leziunea de baza este o tendinita nodulara, consecinta a microtraumatismelor repetate
Se traduce ecografic printr-o ingrosare fuziforma a tendonului, centrata de o placa de dezorganizare a fibrelor de colagen care ia un aspect de placa hipoecogena nodulara pe sectiunile axiale si fuziforma pe sectiunile sagitale. Acest nodul se situeaza pe fata profunda a tendonului respectand fibrele superficiale. Prezenta unei vascularizatii de neoformatie reactionala in jurul si pe fata posterioara a nodulului indica cicatrizarea leziunii.
Diferite tipuri de tendinopatie patelara:
1- atingerea tendonului propriu zis
A - Entezopatii
a.- Entezopatie proximala Numita
si
' jumper's knee ', este de departe tendinopatia cea mai frecventa (90% ).
Clinic – punct dureros in mijlocul patelei Ecografic, insertia proximala a tendonului patelar este semnul unui epansament centrat pe un nodul hipo ecogen cu respectarea fibrelor superficiale si prezenta unei hiper vascularizatii periferice la doppler color.
In IRM, exceptional indicat in aceasta patologie, arata un aspect
similar: cu doua semne suplimentare nevizualizate ecografic : participarea
ligamentului grasos infra patelar al lui HOFFA si o afectare
inflamatorie a medulairei osoase la nivelul patelei
In faza cronica, apar microcalcificari la nivelul entezei, care pot
preciza disparitia simptomelor. Se pot, de asemenea, gasi semnele complicatiilor sub forma de microchiste mai mult sau mai putin asociate cu o hiper vascularizatie anarhica
b.- Entezopatii distale
mult mai rare, ele apar intr-un contexte particular cu antecedente de maladie Osgood Schlatter dar pot aparea
si de
novo Semiologia ecografica este similara celei din entezopatia proximala
B.-Tendinopatia corporeala Rara, ea se prezinta sub forma unei ingrosari fusiforme corporeale a tendonului centrat de un nodul hipoecogen respectand fibrele superficiele. Semiologia ecografica este similara celei de entezopatie proximala. Una din complicatiile acestei leziuni este
C.- Tendinopatia fisurara in care tendonul este sediul unui veritabil clivaj longitudinal.
D.- Ruptura tendonului Survine intr-un context post traumatic particular, frecvent pe un tendon remaniat Ecografia confirma ruptura si permite evaluarea marimii solutiei de continuitate Dar IRM face bilantul loco regional precis.
E.- Un aspect particular : tendonul patelar post operator prezinta o arhitectura tendinoasa remaniata luand un aspect ingrosat sau bilobat, partial calcificat
F.- conflict tendino- trochlear Este urmarea unui contact direct intre fata profunda a tendonului patelar si marginea laterala a trohleei in caz de basculare laterala a rotulei
2.- atingerile peri tendinoase
A.- Bursita pre patelara ( higroma genunchiului ) Corespunde unui epansament colectat situat intre fata profunda a tesuturilor sub cutanate si fata superficiala a aparatului extensor. Continutul este mai mult sau mai putin lichidian iar peretele este mai mult sau mai putin vascularizat
B.- Bursita retro patelara Frecvent prezenta superficial de tuberositatea tibiala anterioara, nu este patologica daca este de mici dimensiuni Voluminoasa, poate fi simptomatica. Trebuie diferentiata de un chist para meniscal
C.- Peritendinopatia La nivelul tendonului calcanean poate aparea o placa hipoecogena circunferentiala in jurul tendonului, mai ales in traumatismele prin soc direct,
D.- Maladia lui HOFFA - remaniere inflamatorie a ligamentului grasos infra patelar – este dificil de evidentiat ecografic, putant acompania o tendinopatie patelara dar poate surveni si de novo.
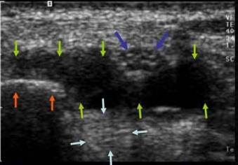
TENDINOPATIA ROTULEI
Ingrosarea fuziforma a insertiei rotuliene
A tendonului patelian centrat de un nodul
hipervascularizat
TENOSINOVITA
CRONICA
HIPERTROFICA FIBROASA

Tumefactie dureroasa pe fata antero mediala a epifizei tibiale proximale
Leziune tisulara ovoida bine delimitata
HEMANGIOEPITELIOM PAPILAR VEGETANT - MASSON


Tumefactie pe fata plantara a piciorului
Nudul tisular bine vascularizat, situat in tesutul celular subcutanat, superficial fata de flexorul degetului II
Confirmare IRM
CHIST SINOVIAL COMPRESIV



Dureri cronice pe fata interna a gleznei cu parestezii
pe marginea interna a piciorului
Formatiune chistica cloazonata ingloband si comprimand
Nervul plantar extern →
Tendonul flexorului propriu al halucelui →
Confirmare IRM
LIGAMENT FIBULOCALCANEAN



Este fascicolul mijlociu al ligamentului
lateral al gleznei. Este o structura
hiperecogena liniara → bine delimitata
care se plaseaza intre fibula si calcaneu
Serveste de hamac pentru tendonul
Fibular scurt si lung →
De notat un mic epansament subtalian
LIGAMENT COLATERAL MEDIAL NORMAL


Schema ligamentului colateral medial normal
Fascicol tibio talian anterior →
si tibio calcanean anterior →
Tendon tibial posterior →
Tendonul flexorului comun al degetelor →
Pozitia sondei _
|