Documente online.
Zona de administrare documente. Fisierele tale
Am uitat parola x Creaza cont nou
 HomeExploreaza
upload
Upload




VARIANTE ANATOMICE ALE VENEI PORTE

medicina


VARIANTE ANATOMICE ALE VENEI PORTE


Teodora Rusu, O. Straciuc,    Corina Beiusanu, Cornelia Popa

Universitatea din Oradea, Facultatea de Medicina si Farmacie




REZUMAT


Cunoasterea variantelor anatomice vasculare are implicatii majore în interventiile chirurgicale si radiologice. Scopul acestui studiu este determinarea incidentei variantelor anatomice ale venei porte intrahepatice, detectate prin portografie CT si discutarea implicatiilor chirurgicale.

OBIECTIVE:


Scopul acestui studiu a fost sa se determine incidenta variantelor anatomice ale venei porte intrahepatice detectate prin portografie CT, cu referire la implicatiile chirurgicale.

Variantele anatomice ale venei porte sunt tot atât de obisnuite ca si variantele anatomice ale arterei hepatice. Complexitatea interventiilor hepatice realizate astazi de catre radiologii interventionisti si chirurgi, incluzând embolizarea venei porte, rezectia anatomica si transplantul, determina recunoasterea si întelegerea anatomiei normale si a va 151g61b riantelor venei porte.

Cunoasterea variantelor anatomice vasculare poate avea implicatii critice în cursul interventiilor chirurgicale si a procedurilor interventionale radiologice. Cateterizarea angiografica conventionala, angiografia CT si angiografia MR s-au dovedit de un real folos în oferirea de harti ale traseelor vasculare viscerale arteriale înainte de transplantul total de organ, de rezectia viscerala, de revascularizatia arteriala si embolizare.

Odata cu cresterea numarului de interventii chirurgicale hepato-biliare si a procedurilor percutanate, incluzând trisegmentectomia, embolizarea venei porte si sunturile porto-sistemice intrahepatice transjugulare, recunoasterea variantelor venei porte are relevanta din ce în ce mai crescuta.

Înainte de interventia chirurgicala asupra ficatului, se realizeaza de obicei CT si RMN, acestea putând descrie anatomia arterei hepatice. Anatomia standard a arterei hepatice apare de regula la 50-75% din pacienti. Variantele anatomice au implicatii semnificative în planificarea rezectiilor hepatice sau pozitionarea cateterelor arteriale hepatice, în planificarea procedurilor percutanate hepato-biliare, inclusiv embolizarea arterei hepatice.


MATERIAL sI METODĂ


Studiul de fata se doreste a fi de fapt o metaanaliza a unor studii aparute în literatura de specialitate în perioada 1996 - 2004. Analizele au exclus pacientii supusi anterior unor rezectii de ficat si pacientii cu tumori centrale mari. Au fost luate astfel în studiu 200 de portografii CT, realizate de cele mai multe ori prin artera femurala dreapta. Angiografia hepatica a inclus evaluarea trunchiului celiac si a arterei mezenterice superioare, precum si controlul vaselor transpozitionate sau accesorii. Substanta folosita a fost Omnipaque 140 (Iohexol, Nycomed) în cantitate de 170 - 190 ml, injectata cu o viteza de 3 ml/secunda. La un interval de 45 - 65 secunde de la injectare, ficatul a fost vizualizat pe sectiuni de 7 mm. Dupa 20-30 secunde s-a vizualizat din nou.


REZULTATE


130 dintre pacientii luati în studiu au tipul 1 de anatomie (vezi fig. 1 si 2), acesta fiind tipul standard, în care vena porta principala se divide în ramurile porte dreapta si stânga. Din vena porta dreapta iau nastere ramurile sectoriale anterioara si posterioara care vor iriga segmentele hepatice Couinaud V si VIII si segmentele VI si VII (fig. 2).

La restul de 70 de pacienti s-au observat variatii ale anatomiei standard a venei porte. La 18 dintre acestia s-a observat trifurcarea venei porte principale (tipul 2) în ramurile anterioara dreapta, posterioara dreapta si ramura stânga (fig. 3).

Cea mai frecventa varianta este asa-numita forma Z (tipul 3), observata la 26 de pacienti, la care vena porta posterioara dreapta este prima ramura a venei porte principale, iar vena porta stânga este ramura terminala, începând imediat dupa locul de pornire a venei porte anterioare drepte (fig. 4). La 14 pacienti, ramurile segmentelor VI sau VII constituie prima ramura a venei porte drepte (anatomie de tipul 5, respectiv 4).

Alti 12 pacienti au prezentat alte variante venoase porte:

- jumatate dintre ei are o trifurcatie a venei porte drepte înspre trunchiul portal anterior drept si catre ramurile segmentelor VI si VII.

- un alt pacient a prezentat urmatoarea anomalie: diviziunea venei porte principale catre segmentele VI, VII, vena porta anterioara dreapta si vena porta stânga, ceea ce este un fel de "cuadrifurcatie".



- trifurcarea venei porte drepte în ramuri care alimenteaza segmentele V, VIII si trunchiul sectorial posterior drept.

- ramurile segmentelor IV si VII pornesc din vena porta anterioara dreapta.

- o ramura auxiliara pe segmentul VI din vena porta dreapta la un pacient cu tipul 5 de anatomie venoasa porta.

- un pacient cu trifurcatia venei porte principale în ramura segmentului VI, ramurile sectoriale anterioare dreapta si stânga si ramura segmentului VII.


CONCLUZII:


Având în vedere cresterea complexitatii interventiilor pe ficat (atât chirurgicale, cât si radiologice), se impune cunoasterea mai acurata a anatomiei standard si a variantelor anatomice. Complexitatea este bine documentata în literatura de specialitate în domeniul transplantului hepatic. Multi chirurgi cer preoperator angiografii CT si RMN pentru a verifica ramurile arteriale si venoase repozitionate sau auxiliare. Cu toate ca variantele anatomice ale venei porte sunt frecvent întâlnite, acestea sunt relativ rar raportate.

În anatomia standard a venei porte, venele splenica si mezenterica superioara se unesc pentru a forma vena porta principala posterior de capul pancreasului. Vena porta principala, care duce 80% din sângele care iriga ficatul, se divide în mod tipic la nivelul hilului în ramul stâng si ramul drept, mai mare. Vena porta stânga îsi urmeaza cursul medial catre fisura ombilicala si vascularizeaza segmentele II, III si IV si segmentul caudat. Vena porta dreapta se divide în trunchiul sectorial drept anterior, care în schimb se divide în ramuri pentru segmentele V si VIII, si trunchiul posterior drept care vascularizeaza segmentele VI si VII.

Din punct de vedere embriologic, vena porta se formeaza în luna a doua de gestatie, prin involutia selectiva a venelor viteline, care au multiple anastomoze aderentiale anterior si posterior de duoden. Alterarile modelului de obliterare al acestor anastomoze poate duce la multiple variante.

Au fost descrise numeroase variante porte chiar dramatice, incluzând duplicatii, absenta congenitala si absenta ramificarilor venei porte (în care o singura vena porta intra în ficatul drept, generând doar ramuri segmentale de-a lungul cursului sau). Aceste variante pot fi evidentiate prin vizualizare trans-sectionala. Consecintele necunoasterii variantelor anatomice pot fi majore. Astfel:

- daca vena porta a segmentelor VI si VII porneste ca singura ramura a venei porte principale, o trisegmentectomie stânga poate lasa ficatul cu un singur segment viabil, ceea ce duce la insuficienta hepatica si deces.

- esecul în a recunoaste o varianta anatomica de tip Z (tipul 3) în timpul unei rezectii de ficat stâng sau în timpul recoltarii de ficat de la un donator viu poate duce la pierderea perfuziei catre sectorul drept anterior, compromitând ficatul restant. Trifurcatia venei porte poate necesita doua anastomoze separate când ficatul drept este transplantat la un donor adult.

În acest studiu, 35% dintre pacienti prezinta variante anatomice ale venei porte, semnificativ mai mult decât cei 10-15% descrisi pâna acum în literatura sonografica, care înca este frecvent citata. În lotul nostru, 22% dintre pacienti au prezentat fie trifurcatii (tipul 2), fie varianta Z (tipul 3). 14 pacienti (7%) au avut ceea ce noi consideram a fi un singur ram segmental posterior (tipul 4 si 5), care se formeaza ca singura ramura a venei porte drepte. Identificarea acestor variante la pacientii care urmeaza a fi supusi trisegmentectomiei stângi poate atrage atentia chirurgului sa evite o complicatie potential letala.

În studiul realizat de Cheng si colaboratorii sai, 65% dintre pacientii supusi arterioportografiei conventionale au fost depistati cu anatomie standard a venei porte. Studiul lor are o limita si anume faptul ca arterioportografia conventionala este limitata în determinarea modelelor ramurilor segmentale. Prin urmare, studiul lor nu a facut decât sa clasifice anatomia venei porte doar în principala, stânga, dreapta anterioara si dreapta posterioara.

Într-un studiu mai recent pe 24 de pacienti supusi angiografiei RMN pre-transplant hepatic pentru descrierea vascularizatiei hepatice, anatomia conventionala a venei porte a fost observata la 76%. 16% din pacienti au prezentat trifurcatie, 8% (adica 2 pacienti) au prezentat tipul anatomic Z. Acest studiu însa nu a identificat cazuri în care prima ramura a venei porte drepte a constituit singurul segment (VI sau VII) al ramurii venoase porte, care a aparut la 7% din cazuri. Nu s-au identificat alte variante. Cunoasterea variantelor venei porte este din ce în ce mai necesara în procedurile interventionale transcutanate. Embolizarea transhepatica a venei porte este din ce în ce mai larg acceptata ca metoda de inducere a hipertrofiei hepatice contralaterale, la pacientii cu resturi hepatice de dimensiuni reduse. Pentru realizarea eficienta si sigura a embolizarii, radiologul interventionist trebuie sa aiba imaginea clara a variantelor anatomice.




BIBLIOGRAFIE


Cheng YF, Huang TL, Chen CL, et al., Anatomic dissociation between the intrahepatic bile duct and portal vein: risk factors for left hepatectomy. World Journal of Surgery, 1997; 21: 297 - 300

Cheng YF, Huang TL, Lee TY, Chen TY, Chen CL,    Variation of the intrahepatic portal vein: angiographic demonstration and application in living-related hepatic transplantation, Transplant Proc, 1996; 28: 1667 - 1668.

Covey AM, Brody LA, Getrajdman GI, Sofocleous CT, Brown KT, Incidence, Patterns and Clinical Relevance of Variant Portal Vein Anatomy, American Journal of Roentgenology, 2004; 183: 1055 - 1064

Covey AM, Brody LA, Maluccio MA, Getrajdman GI, Brown KT, Variant hepatic arterial anatomy revisited: digital subtraction angiography in 600 patients, Radiology, 2002; 224: 542 - 547


ANEXE




VPPD = vena porta posterioara dreapta
VPS = vena porta stânga
VPAD = vena porta anterioara dreapta



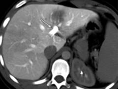
Fig. 1 - Anatomia standard a venei porte






Fig. 2 - Ramura independenta a venei porte a segmentului VI




Barbat de 45 de ani cu cancer colorectal metastatic.

CT indica anatomia standard a venei porte.

Vena porta principala se divide în vena porta stânga si cea dreapta, care se divide în vena porta dreapta anterioara (care iriga segmentele V si VIII) si vena porta dreapta posterioara, care iriga segmentele VI si VII.


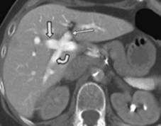
CT la o femeie de 54 de ani cu trifurcatia venei porte (tipul 2 anatomic) si cancer colorectal metastatic.

La 9% dintre pacienti, vena porta principala se trifurca în vena porta stânga (sageata dreapta subtire), vena porta anterioara dreapta (sageata dreapta groasa) si vena porta posterioara dreapta (sageata curba).


CT la un barbat de 47 de ani cu cancer colorectal metastatic arata varianta Z a venei porte (tipul 3 anatomic). Vena porta dreapta posterioara (sageata) este prima ramura a venei porte principale. Trunchiul comun de lungime variabila da apoi nastere venei porte stângi, respectiv drepte anterioare.












Document Info


Accesari: 9564
Apreciat: hand-up

Comenteaza documentul:

Nu esti inregistrat
Trebuie sa fii utilizator inregistrat pentru a putea comenta


Creaza cont nou

A fost util?

Daca documentul a fost util si crezi ca merita
sa adaugi un link catre el la tine in site


in pagina web a site-ului tau.




eCoduri.com - coduri postale, contabile, CAEN sau bancare

Politica de confidentialitate | Termenii si conditii de utilizare




Copyright © Contact (SCRIGROUP Int. 2025 )