PATOLOGIA MAMARA BENIGNA – Fibroadenoanele
Fibroadenoanele
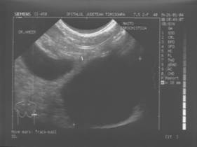
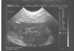
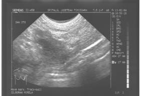
Fibroadenomul este tumora benigna cel mai frecvent asociata cu calcificari. Definitia lor histologica, corespunde unei proliferari fibro-epiteliale benigne. Exista tipuri pericanaliculare, intracanaliculare si forme mixte.





ADENOMATOZA MAMARA




LIPOM MAMAR



HAMARTOM



MASTOZA FIBROCHISTICA



MASTITA



PAPILOM INTRADUCTAL


CITOSTEATONECROZA


ECOGRAFIA SI DIGITALIZAREA IN CALCIFICARI
Teoretic invizibile la ecografie, sondele de frecventa inalta (peste 10MHz) permit vizualizarea microcalcificarilor. Ele sunt vizibile si cu frecvente de 7,5MHz cand sunt numeroase, grupate si daca sunt situate intr-o formatiune hipoecogena.
Confirmarea prezentei unei mase intr-o zona cu microcalcificari creste probabilitatea de leziune maligna de la 15-20% la 38%.zive. Ecografia nu imbunatateste calitatea analizei microcalcificarilor. In anumite situatii se poate dovedi utila pentru efectuarea de microbiopsii ecoghidate.
Evolutia spre digitalizare permite sa se ia in considerare utilizarea sistemelor de detectie automatica a imaginii, mai ales pentru microcalcificarile incipiente si pentru analiza de caracterizare morfometrica.
Noile mamografii digitale utilizeaza detectori a caror tehnologie variaza in functie de constructori. Totusi, singurul tip de echipament comercializat la ora actuala in Franta, cat si in majoritatea celorlalte tari, este Mamograful 2000D fabricat de societetea General Electric Medical Systems. Dimensiunea pixelului este de 100μm. Noile mamografe digitale cu ecrane radioluminescente cu memorie (ERLM) sunt comercializate in Europa din 1992 (ERLM produse de Fuji: sistemul Fuji-CR). Dimensiunea pixelului este de 50μm si acum de 100μm³.
Diferite studii efectuate pe aceste sisteme arata o ameliorare clara a contrastului si o detectabilitate echivalenta intre o mamografie digitalizata directa si analogica clasica, pentru opacitati.
Evolutia mamografiei spre digitalizare este ireversibila. Ea impune investitii financiare importante si o restructurare a unitatii de imagerie mamara.
TUMORI BENIGNE
Concluzii
Tumorile si pseudotumorile sanului sunt patologii frecvente, dominate mai ales de fibroadenom, care este o patologie obisnuita la femeie tanara.
Anumite patologii pot avea un aspect ingrijorator (adenoza sclerozanta, CSN, CPA) care trebuie sa determine continuarea explorarilor.
De fiecare data cand persista o indoiala asupra unei formatiuni solide, ca de ex. un „fibroadenom” aparut la o femeie in varsta, nu trebuie sa se ezite la a recurge la tehnici interventionale, si anume microbiopsii ghidate imagistic, pentru a nu lasa sa evolueze un carcinom cu aspect rotund.
|