Documente online.
Zona de administrare documente. Fisierele tale
Am uitat parola x Creaza cont nou
 HomeExploreaza
upload
Upload




Semiologie radiologica cardio-vasculara

medicina


SEMIOLOGIE RADIOLOGICA CARDIO-VASCULARA





A. HIPERTROFIILE CAVITATILOR CORDULUI


- proeminenta partii superioare a marginii anterioare (prin dilatarea arterei pulmonare si infundibulului);

- OAS si profil:

- proeminenta partii inferioare a marginii anterioare;

- disparitia spatiului clar retrosernal.

Hipertrofia ventriculara dreapta apare in stenoze pulmonare pure sau asociate cu sunt, hipertensiunea arteriala pulmonara determinata de cardiopatii congenitale cu sunt, maladii bronhopulmonare cronice cu insuficienta respiratorie, tromboze arteriale pulmonare.



- cresterea lungimii marginii drepte a inimii;

- micsorarea unghjului cardio-frenic drept.

- OAS:

- accentuarea convexitatii partii superioare a marginii anterioare;

- disparitia spatiului clar retrosternal;

B. CALCIFICARI CARDIACE


C. HIPERTENSIUNEA VENOASA


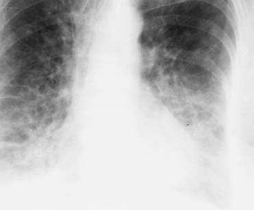
Atunci cand rezistenta la fluxul sanguin dincolo de capilarele pulmonare creste, atunci presiunea in venele pulmonare va creste si ea determinand o hipertensiune venoasa sau postcapilara (≥ 15 mm Hg). Principalele semne radiologice ale tensiunii postcapilare sunt:



Fig. 30 – Staza pulmonara


atunci cand presiunea capilara depaseste presiunea osmotica (25 mm Hg) are loc o transvazare in tesutul interstitial a fluidului ce contine fibrina si hematii; fluxul limfatic este crescut, si toate vasele limfatice fiind dilatate;

linii Kerley B, rezultate din ingrosarea septurilor interlobare;

linii Kerley A determinate de edemul perilimfatic;

diminuare difuza a transparentei pulmonare;

revarsat pleural;

atunci cand presiunea venoasa atinge valoare de 30 de mm Hg apare edemul intraalveolar: opacitate alveolara uni- sau bilaterala perihilara (edem pulmonar);

noduli hemosiderotici.






Document Info


Accesari: 2390
Apreciat: hand-up

Comenteaza documentul:

Nu esti inregistrat
Trebuie sa fii utilizator inregistrat pentru a putea comenta


Creaza cont nou

A fost util?

Daca documentul a fost util si crezi ca merita
sa adaugi un link catre el la tine in site


in pagina web a site-ului tau.




eCoduri.com - coduri postale, contabile, CAEN sau bancare

Politica de confidentialitate | Termenii si conditii de utilizare




Copyright © Contact (SCRIGROUP Int. 2026 )