Documente online.
Zona de administrare documente. Fisierele tale
Am uitat parola x Creaza cont nou
 HomeExploreaza
upload
Upload




Radiologia clinica a stomacului si duodenului

medicina


RADIOLOGIA CLINICA A STOMACULUI SI DUODENULUI


1. Stomacul in cascada



Este un aspect radiologic caracterizat prin formarea unui unghi intre axul corpului gastric si cel al fornixului, datorita unei inflexiuni posterioare, spre coloana vertebrala a fornixului gastric. Inflexiunea anterioara este mai rara si poate fi produsa de tumori retrogastrice. radioscopic se observa cum se opacifiaza stomacul doar dupa ce s-a umplut fornixul; de aceea, la un moment dat apar doua niveluri de bariu in stomac. In cazurile de cascada gastrica trebuie exclusa o i 212b19c nfiltratie inflamatorie sau neoplazica.

2. Volvusul gastric

Se descriu trei variante de volvulus gastric:

- volvulus organoaxial – torsiunea se face in jurul axului mare al stomacului;

- volvulus mezentericoaxial – torsiunea se face in jurul unui ax transversal, perpendicular pe cele doua curburi, in regiunea corpului gastric. Pilorul tinde sa fie situat aproape la acelasi nivel cu cardia, datorita bascularii in jos a fornixului si ridicarii regiunii pilorice;

- volvulus cardiosplenoaxial – torsiunea se face in jurul unui ax ce uneste cardia cu polul superior al splinei.

3. Gastritele si duodenitele - sunt afectiuni inflamtorii, acute sau cronice, deseori secundare ulcerului gastro-duodenal, afectiunilor hepato-biliare, pancreatice, apendiculare. Se manifesta radiologic prin:

- hemoragia - se exteriorizeaza prin hematemeza si melena. Examenul radiologic se practica dupa incetarea hemoragiei din cauza: cheagurilor de sange ce pot astupa nisa, prezentei edemului periulceros si riscului de a provoca o noua hemoragie prin compresie si hiperosmolaritatea suspensiei baritate;



perforatia - se evidentiaza prin prezenta pneumoperitoneului. Este cea mai severa complicatie a ulcerului deoarece este urmata frecvent de peritonita;

- penetratia - se manifesta prin prezenta niselor mari, rigide, pluristratificate, departate de peretele gastric;

perigastrita si periduodenita - determina modificari de forma si pozitie ale stomacului si duodenului ca urmare a aderentelor.



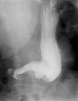
Fig. 43 – Stenoza pilorica benigna

- stenoza pilorica - determina o marire a volumului gastric, polul inferior ajungand uneori in micul bazin, stomacul avand in ansamblu forma de chiuveta in care stagneaza resturi alimentare si lichid de staza. Bariul ramane in stomac mai mult de 24 ore.



Fig. 44 – Ulcer bulbar penetrant (imagine de aditie lineara, lunga, rigida, pe marea curbura a bulbuli; bulb deformat, cu recessus inferior pseudodiverticular)

d) Diagnostic diferential

Nisa ulceroasa poate fi diferentiata de:

- unda de contractie;

- recesul subcardial;

- resturi de bariu suspendate in pliuri;

- ganglioni calcificati in mezocolon;

- nisa maligna.

5. Tumorile gastro-duodenale

► Tumorile benigne

Sunt formate din celule diferentiate ce provin de obicei din: tesutul epitelial (polipii), nervos (schwanomm), muscular neted (leiomiom), vascular (angiom).

Din punct de vedere radiologic se caracterizeaza prin defecte de umplere, cu caracterele cvasispecifice mai sus prezentate (lacuna benigna). De mentionat posibilitatea ulcerarii schwanoamelor (nisa in lacuna benigna), degenerarea unui polip (mai rar decat in cazul localizarilor colice) si raritatea tumorilor duodenale.

► Cancerul gastric

Se descriu trei forme anatomo-patologice care dau imagini radiologice specifice:

- forma proliferativa (vegetanta) - determina imagini lacunare de dimensiuni variabile, cu contururi sterse si semitonuri, cu pinteni marginali si stenoze date de ingustarea lumenului, regiunea devenind rigida.















Fig. 45 – Tumora vegetanta antrala (defecte de umplere cu contururi sterse si semitonuri marginale la nivelul marii curburi antrale; pinteni maligni prezenti)

- forma infiltrativa - se caracterizeaza prin rigiditatea zonei afectate tradusa prin absenta peristaltismului, largirea unghiului gastric, evacuare rapida si stenoze. Schirul gastric, forma care intereseaza o mare parte a stomacului si linita plastica, care intereseaza tot stomacul, constau intr-o reducere drastica a calibrului, stomacul devenind tubular, lipsit de peristaltica.

- formele ulcerative - apar datorita necrozei leziunilor proliferative si infiltrative. Nisele au diferite aspecte (incastrate, in lacuna sau in menisc) in functie de sediul, natura si intinderea leziunilor. Uneori nisa maligna nu poate fi diferentiata de un ulcer benign, fiind necesar testul terapeutic (se apreciaza evolutia imaginii dupa o luna de tratament).






Document Info


Accesari: 12062
Apreciat: hand-up

Comenteaza documentul:

Nu esti inregistrat
Trebuie sa fii utilizator inregistrat pentru a putea comenta


Creaza cont nou

A fost util?

Daca documentul a fost util si crezi ca merita
sa adaugi un link catre el la tine in site


in pagina web a site-ului tau.




eCoduri.com - coduri postale, contabile, CAEN sau bancare

Politica de confidentialitate | Termenii si conditii de utilizare




Copyright © Contact (SCRIGROUP Int. 2026 )