STOMAC - radiografia si boli ce se pot vedea
RADIOGRAFIA ABDOMINALĂ SIMPLĂ poate evidentia:
n prezenta pneumoperitoneului în cazul perforatiei sau a solutiilor de continuitate ale peretelui gastric (sectiuni, rupturi)
n prezenta aerogastriei
n prezenta corpilor straini radioopaci
n îngrosarea peretilor gastrici (în schir)
n dilatarea si hipersecretia gastrica (dilatat 20120r171u ia acuta a stomacului, stenoza pilorica)
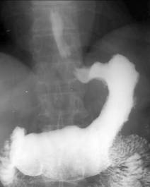
Stomacul este situat în regiunea epigastrica. Forma si pozitia lui sunt variabile. La persoanele normostenice are forma de cârlig, la cele astenice el este alungit având forma literei J sau de undita. La obezi, el este orizontalizat, în forma de corn de taur. Stomacul în cascada este format dintr-o punga superioara localizata superior si posterior care se umple cu bariu. Când aceasta este plina, bariul se revarsa în portiunea distala, asemeni apei dintr-o cascada. Uneori, când portiunea distala este umpluta, greutatea acesteia determina disparitia cascadei. Aceasta forma a stomacului este produsa de aerocolia colonului transvers, de un ulcer sau proces infiltrativ al fetei posterioare a stomacului; se poate întâlni si la obezi.
Stomacul este format din cardie si fornix, corpul stomacului, sinusul gastric, antrul prepiloric, canalul piloric. El are doua curburi: mica si marea curbura si 2 fete; anterioara si posterioara care se suprapun.
Cardia reprezinta jonctiunea dintre esofag si stomac. Pilorul este sfincterul interpus între antrul piloric si bulb. El are o lungime de 0,5 - 1 cm, centreaza baza bulbului duodenal si antrul realizând asa numitul H piloric.
Pliurile mucoasei gastrice apar ca zone lacunare separate prin zone liniare de SDC (vaile dintre pliuri) dispuse paralel. Mica curbura este neteda.
La 1-2 cm de pilor, se poate evdentia unul sau mai multe pliuri transversale, care traverseaza antrul si mica curbura (pliul prepiloric). La nivelul marii curburi, pliurile devin divergente si o traverseaza transversal. Datorita acestui fapt, marea curbura are un contur neregulat, mai accentuat în portiunea verticala. La nivelul fornixului, pliurile sunt mai groase, dispuse nesistematizat. Cele pericardiale au forma de stea sau de pliu circular care o înconjoara.
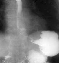
DIVERTICOLII GASTRICI
Diverticolii sunt întâlniti 1 la 1500-2000 de examinari gastrice. Ei sunt localizati subcardial, la nivelul micii curburi, pot avea incluzii ectopice de tesut pancreatic, se pot ulcera si pot perfora.
Radiologic, apar ca un plus de substanta baritata de forma rotunda sau ovalara, bine delimitata de dimensiuni variabile, legat de stomac printr-un colet. Atunci când acesta este îngust, bariul retentioneaza în punga diverticulara si dupa evacuarea stomacului.
STENOZA HIPERTROFICĂ A PILORULUI
Se cunosc 2 forme de hipertrofie ale sfincterului piloric: forma congenitala si forma adulta.
În forma congenitala, infantila, simptomele apar imediat dupa nastere, varsaturile domina tabloul clinic.
Stomacul este dilatat si prezinta unde peristaltice adânci, frecvente, ineficiente. Evacuarea este încetinita. Canalul piloric este îngustat alungit de 1-2 cm, având aspect de pilor în paranteze sprijinite, de pilor între paranteze când muschiul piloric protrude în baza bulbului duodenal sau în antru, sau pilor în duble paranteze.

Forma adulta, se presupune a fi produsa de gastrite sau ulceratii. Semnele radiologice sunt asemanatoare cu cele din forma infantila.
PTOZA GASTRICĂ reprezinta o deplasare în totalitate a stomacului în jos, între fornix si diafragm ramânând un spatiu liber. Ptoza trebuie diferentiata de alungirea gastrica, în care polul inferior ajunge în pelvis, fornixul pastrându-si situatia subdiafragmatica.
HERNIA HIATALĂ
Hernia hiatala reprezinta patrunderea stomacului în cavitatea toracica prin hiatusul diafragmatic.
Pe radiografiile simple toracice, în herniile fixate în torace, se evidentiaza o imagine aerica sau hidroaerica localizata în mediastinul inferior si posterior.
HERNIA PRIN ALUNECARE - este cel mai comun tip de hernie. Fornixul, împreuna cu cardia, sunt situate intratoracic. Esofagul este sinuos, cudat (kinking), orificiul cardial este situat posteromedian. Refluxul gastroesofagian este frecvent. El produce esofagita care poate evolua spre stenoza.
HERNIA PARAESOFAGIANĂ
În hernia paraesofagiana, cardia are situatie intraabdominala, fornixul herniaza prin hiatus si se alatura marginii stângi a esofagului. În acest tip de hernie, refluxul este rar întâlnit.
HERNIA CU ESOFAG SCURT
Acest tip de hernie seamana cu cea prin alunecare, esofagul este scurt, congenital sau dobândit
GASTRITA HIPERTROFICĂ prezinta pliuri largi separate prin vai înguste, care uneori îsi pastreaza dispozitia, alteori sunt orientate anarhic, la compresiune sunt rigide, au o mobilitate redusa. Uneori hipertrofia este accentuata dând un aspect pseudopolipoid.
GASTRITA ATROFICĂ - este caracterizata prin pliuri înguste sau absente.
GASTRITA MENETRIER - este caracterizata printr-o hipertrofie marcata a reliefului mucos cu aspect pseudopolipoid, cu dispozitie anarhica, localizata mai ales în 1/3 medie, implicând atât mica curbura cât si marea curbura. Stare precanceroasa.
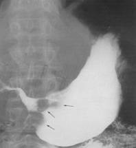
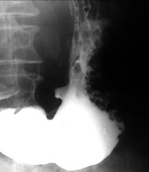
ULCERUL GASTRIC
Ulcerul gastric are o frecventa mai scazuta comparativ cu ulcerul duodenal, raportul fiind de 1/5. Se localizeaza la nivelul micii curburi, în 1/3 medie.
Semnele directe Nisa - imagine de plus de substanta de contrast, corespunzatoare escavatiei peretelui gastric. Din profil imaginea iese din conturul ipotetic al stomacului
Are o forma rotund - ovalara si este dispusa, de obicei, perpendicular.Marimea nisei este variabila, De cele mai multe ori, nisa se localizeaza la nivelul micii curburi în vecinatatea unghiului gastric, dar o putem întâlni si la nivelul micii curburi orizontale, a marii curburi, precum si la nivelul fetelor.






În jurul nisei, exista o reactie inflamatorie edematoasa care se vizualizeaza ca o linie lacunara - linia Hampton bine delimitata, având o grosime uniforma (gulerul ulcerului).
Semnele indirecte
Incizura controlaterala reprezinta un spasm al musculaturii circulare care apropie marea curbura de mica curbura. Initial intermitenta, devine ulterior permanenta prin formarea, la acest nivel, a unui tesut fibros cicatricial, realizând o stenoza gastrica excentrica care biloculeaza asimetric stomacul (semnul indicatorului).
Gastrita hipertrofica acompaniaza leziunile principale. Poate fi localizata segmentar, în apropierea nisei, sau generalizata la întreg stomacul. În evolutia spre vindecare, pliurile devin convergente spre nisa realizând o imagine stelata.
Spasmul segmentului piloric poate produce, dupa o perioada de timp, o îngustare permanenta a acestei regiuni ca rezultat al hipertrofiei musculare.
Rigiditatea segmentara, întâlnita în ulcerele cronice, afecteaza o zona limitata a peretelui gastric, din vecinatatea nisei. Undele peristaltice se opresc la extremitatea superioara a zonei rigide si se continua la extremitatea ei inferioara.
TUMORILE GASTRICE BENIGNE - POLIPII
Polipii adenomatosi cu localizare gastrica se întâlnesc mai rar ca cei cu localizare colica.
Ei pot fi unici sau multiplii. Se malignizeaza într-un numar apreciabil de cazuri, de aceea polipoza este considerata stare precanceroasa.
Polipii inflamatori se aseamana cu cei adenomatosi, examenul anatomopatologic fiind cel care precizeaza diagnosticul.
Imagistic, polipii apar ca formatiuni rotunde de dimensiuni variabile, bine delimitate, legate de peretele gastric printr-un pedicol mai lung care îi confera mobilitate, sau mai larg si scurt (polip sesil)-fig.189. Când se afla în antrul prepiloric, polipul poate prolaba în bulbul duodenal.

TUMORILE GASTRICE MALIGNE
Carcinoamele vegetante se dezvolta ca mase tumorale în interiorul lumenului gastric.
Expresia radiologica a acestui tip de tumora este lacuna care are un contur neregulat, cu imagini de semiton. Jonctiunea cu peretele normal este distincta si formeaza un unghi ascutit. Leziunea poate fi mica, dar poate ajunge la dimensiuni mari putând cuprinde 1/3 -2/3 din stomac. Pliurile mucoasei gastrice sunt întrerupte la nivelul leziunii, iar peretele este rigid. Tumora se poate localiza oriunde la nivelul stomacului, dar de cele mai multe ori prefera regiunea antrala.

Carcinomul infiltrativ
În aceasta forma, procesul începe în submucoasa si musculara, mucoasa ramânând un timp îndelungat intacta.
Initial, procesul este limitat la o zona mica a peretelui. Aceasta zona este rigida, nu participa la peristaltica, undele ajung la extremitatea ei proximala si se continua la extremitatea distala. Ea poate prezenta miscari de basculare, fiind asemanata cu miscarea unei scânduri pe valuri.
Când procesul cuprinde circular peretele gastric, lumenul se stenozeaza stomacul devenind bilocular

În forme mai avansate, infiltratia poate cuprinde o regiune gastrica mai extinsa cum ar fi regiunea antrului piloric sau a fornixului. În acest caz, observam o îngustare a regiunii interesate, rigiditatea peretelui gastric, absenta undelor peristaltice. Trecerea spre regiunea sanatoasa se face gradual.
În formele mai avansate, se produce infiltrarea peretelui întregului stomac realizându-se schirul gastric sau linita plastica maligna. Stomacul este mult micsorat, tubular (microgastrie), volumul gastric este redus
Carcinom ulcerativ
Ulceratia se poate produce într-o leziune vegetanta când se observa un plus de substanta mare, cu contur neregulat într-o lacuna, sau într-o îngrosare prin infiltratie a peretelui.
Nisa maligna prezinta o serie de caracteristici care o diferentiaza de cea benigna.
|