
Cuprins
I
NOŢIUNI DE ANATOMIE, FIZIOLOGIE sI FIZIOPATOLOGIE A CARTILAJULUI ARTICULAR
Capitolul 1 - Notiuni de anatomie a cartilajului articular 5
1.2. Anatomia cartilajului articular 7
1.2.1. Anatomie macroscopica a cartilajului articular 8
1.2.2. Anatomia structurala si functionala a cartilajului articular 8
1.2.2.2.1. Zonele structurale histologice ale 16
cartilajului articular
1.2.2.2.2. Regiunile matricii 16
1.3. Notiuni de anatomie a genunchiului 19
1.3.1. Anatomia sistemica a genunchiului 20
1.3.1.2. Capsula articulara 22
1.3.1.3. Ligamentele de unire ale articulatiei 22
1.3.2. Anatomia cartilajului articular al genunchiului 24
Capitolul 2 - Fiziologia si fiziopatologia cartilajului articular 27
2.1 Fiziologia cartilajului articular 27
2.1.1. Lubrifierea si încarcarea cartilajului articular 29
2.1.2. Nutritia condrocitelor 29
2.2 Fiziopatologia cartilajului articular 31
2.2.1. Raspunsul cartilajului articular la agresiune 32
2.2.1.1. Microleziunea 33
2.2.1.2. Fractura condrala 34
2.2.1.3. Fractura osteocondrala 34
II
DIAGNOSTICUL SI TRATAMENTUL LEZIUNILOR CARTILAJULUI ARTICULAR
Capitolul 1 - Diagnosticul leziunilor cartilajului articular
1.1. Diagnosticul clinic al leziunilor cartilajului articular..........................38
1.1.1. Examenul clinic.......... ..... ...... .......... ..... ...... ........38
1.2. Investigatii complementare în leziunile cartilajului articular..............39
1.2.1. Radiografia standard.......... ..... ...... .......... ..... ...... .39
1.2.2. Rezonanta magnetica nucleara.......... ..... ...... ...............40
1.3. Diagnosticul artroscopic al leziunilor cartilajului articular..............42
1.4. Evolutia leziunilor cartilajului articular.......... ..... ...... ..............46
Capitolul 2 - Tratamentul leziunilor cartilajului articular
2.1 Tratamentul medicamentos al leziunilor cartilajului articular ...........47
2.1.1. Glucozamina si condroitin sulfatul.......... ..... ...... .......47
2.1.2. Acidul hialuronic.......... ..... ...... .......... ..... ...... ....47
2.1.3. Glucocorticoizii.......... ..... ...... .......... ..... ...... .......48
2.1.4. Antiinflamatoare nesteroidiene.......... ..... ...... ..............48
2.2 Tratament chirurgical al leziunilor cartilajului articular.....................49
2.2.1. Proceduri secundare in chirurgia cartilajului articular.........51
2.2.1.1. Transplantul Osteocondral Autolog........................51
2.2.1.2. Implantarea de Condrocite Autologe......................53
III
Partea speciala
Scopul lucrarii .......... ..... ...... .......... ..... ...... ......................57
Materiale si metode .......... ..... ...... .......... ..... ...... ...........58
Concepte de studii.......... ..... ...... .......... ..... ...... ...............61
Conceperea studiilor si ierarhia dovezilor.......... ..... ...... ..........67
Factori de confuzie.......... ..... ...... .......... ..... ...... ..............72
Controlul sanselor.......... ..... ...... .......... ..... ...... ...............72
Concluzii .......... ..... ...... .......... ..... ...... ............................77
Capitolul 1
Notiuni de anatomie
a cartilajului articular
1.1. Anatomia articulaŢiilor sinoviale
Articulatiile sinoviale sunt structuri complexe care sunt alcatuite din mai multe structuri si tesuturi specializate, incluzând capsula articulara, ligamente, meniscuri, os subcondral, tesut sinovial si cartilaj articular. Aceste tesuturi nu sunt inerte, au capacitatea de a se regenera si asigura stabilitatea articulatiei în repaus si în timpul miscarilor, amplitudinea si gradele de mobilitate ale articulatiei, precum si un grad scazut de frecare în articulatie.
Cartilajul articular este tesutul care reprezinta cheia functionala a articulatiilor sinoviale. Acesta variaza în grosime, densitate celulara si compozitia matricei atât între diferite articulatii cât si în cadrul aceleiasi articulatii. Oricum, toate articulatiile sinoviale contin cartilaj articular alcatuit din aceleasi componente si care îndeplineste acelasi rol. Proprietatile care îl fac remarcabil si unic sunt rezistenta sa deosebita la presiune, marea rezistenta la uzura (durabilitatea) si capacitatea de a distribui presiunea atât pe suprafata cât si consecutiv pe o mai mare arie a osului subcondral. Nici un material sintetic nu reproduce aceste proprietati pe o perioada atât de mare de timp (durata vietii).
Cartilajul articular este compus din condrocite care se gasesc într-o structura organizata de colagen, proteoglicani, alte proteine, ioni si apa ce formeaza matricea.
1.2. Anatomia cartilajului articular
Anatomia macroscopica a cartilajului articular
Macroscopic, cartilajul articular matur apare ca un tesut
neted, alb, lucios, care rezista deformatiilor. Grosimea cartilajului articular este de aproximativ 2 -
La microscopul optic se evidentiaza o matrice extracelulara în care se observa un singur tip de celule (condrocite) si lipsa vaselor sangvine sau a nervilor. Comparat cu alte tesuturi (muschi, os), cartilajul prezinta o activitate metabolica mai scazuta si raspunde mai lent la încarcare sau lezare. În ciuda acestui fapt, studii recente au aratat ca acest tesut prezinta o structura ordonata cu interactiuni variate si elaborate între condrocite si matricea extracelulara, care fac posibila functia normala a cartilajului si mentin integritatea structurii acestuia [7].
Anatomia structurala si Functionala a Cartilajului Articular
1.2.2.1. Compozitia cartilajului articular
Cartilajul articular este compus din condrocite care se gasesc intr-o structura organizata de colagen, proteoglicani, alte proteine, ioni si apa ce formeaza matricea.
Condrocitele
In structura cartilajului articular normal exista un singur tip de celula, si anume condrocitul. Condrocitele sint celule mezenchimale inalt specializate care contribuie la 5% din greutatea si la 10% din volumul cartilajului articular. Densitatea celulara este cea mai mare in stratul profund si scade progresiv spre zona intremediara si superficiala la aproximativ 1/3 din densitatea din zona profunda. Condrocitele difera in forma, marime, in diferite zone ale cartilajului, insa toate contin organitele celulare (reticul endoplasmatic, membrane Golgi) necesare sintezei matricii . De asemenea, condrocitele contin filamente intracitoplasmatice, lipide, glicogen si vezicule secretoare. Unele condrocite prezinta cili scurti care se extind inspre matrice, cu rol de a recepta modificarile mecanice in aceasta. Condrocitele se gasesc intr-o matrice extracelulara [1] si nu intra in contact direct unele cu altele.
Condrocitele sintetizeaza colagen de tip II, proteoglicani si proteine specifice necolagenice care se regasesc in matrice. Condrocitele sint foarte active metabolic, insa metabolismul total al tesutului cartilaginos este scazut datorita densitatii mici de celule. Condrocitele par sa ramina in aceeasi pozitie, nemodificate pentru perioade indelungate de timp.
Matricea extracelulara
Matricea cartilajului articular este alcatuita din doua componente: tesutul fluid si reteaua macromoleculelor structurale care dau acestui tesut forma si stabilitatea. Interactiunea dintre lichidul matriceal si macromolecule confera cartilajului articular rezistenta, duritate, elasticitate si rezilienta [7, 6].
Componenta lichidiana (fluida)
Din masa cartilajului articular pina la 80% este apa, care este distribuita neuniform (80% la suprafata si 65% in zona profunda). Interactiunea dintre aceasta si macromoleculele matricei influenteaza proprietatile mecanice ale cartilajului, presiunea hidrostatica mare a tesutului contribuie la rezistenta la presiune a acestuia . Acest fluid tisular contine pe linga apa si gaze, proteine, metaboliti si o mare cantitate de cationi pentru a contrabalansa sarcina electrica negativa a proteoglicanilor .
Macromoleculele de structura
Macromoleculele structurale ale cartilajului contribuie la 20-40% din greutatea tesutului. Exista trei clase de macromolecule care difera in concentratie in interiorul tesutului si care confera proprietati diferite diferitelor zone ale cartilajului. Colagenul contribuie in aproximativ 60% din greutatea uscata a cartilajului, proteoglicanii in 25-35% si proteinele necolagene si glicoproteinele in 15-20%. Colagenul este distribuit relativ uniform in grosimea cartilajului, cu exceptia stratului superficial bogat in acest tip de fibre. Reteaua fibrilara a colagenului confera cartilajului forma si rezistenta la presiune. Proteoglicanii si proteinele necolagene leaga fibrele de colagen si ramin prinse in reteaua acestora. Unele proteine necolagene ajuta la organizarea si stabilizarea retelei colagene, in timp ce altele ajuta condrocitele sa se lege de macromoleculele matricei [7,].
Colagenul
Cartilajul articular contine mai multe tipuri de colagen, si anume tipurile: II, VI, IX, X, si XI. Tipurile II, IX si XI formeaza fibrile care se organizeaza intr-o retea ce confera cartilajului rezistenta la presiune si duritate si contribuie la coeziunea tesutului prin capturarea marilor proteine de proteoglicani. Colagenul de tip II este principalul tip din structura cartilajului articular (90-95%) si reprezinta componenta primara a retelei de fibrile .
|
|
|
Fig. 1.1 Cartilaj fibros, coloratie hematoxilina-eozina; fibre de colagen |
Proteoglicanii
Proteoglicanii sint formati dintr-un miez (core) proteic si unul sau mai multe lanturi de glicosaminoglicani alcatuite la rindul lor din lanturi lungi de polizaharide alcatuite din molecule de dizaharide care se repeta. Fiecare unitate de dizaharide are cel putin un grup sulfat sau carboxilat incarcat negativ, astfel ca lanturile de glicosaminoglicani sint incarcate negativ pe toata lungimea lor. Glicosaminoglicanii din compozitia cartilajului articular contin acid hialuronic, condroitin sulfat, keratan sulfat si dermatan sulfat [7,]. Concentratia acestor molecule variaza in diferitele zone ale cartilajului articular si de asemenea cu virsta sau diferite afectiuni ale cartilajului (leziuni, boli) .
Cartilajul articular contine doua clase majore de proteoglicani: agrecanii care sint monomeri mari de proteoglicani agregati si proteoglicanii mici care includ decorina, biglicanul, fibromodulina si posibil si alti proteoglicani care nu au fost inca identificati. Deoarece este posibil sa aiba o componenta gicosaminoglicanica, colagenul de tip IX poate fi considerat un proteoglican [22].
De asemenea, integritatea structurala a cartilajului depinde de interactiunea dintre colagen si proteoglicanii agregati. Agrecanul este proteoglicanul caracteristic cartilajului. Acesta are o greutate moleculara de 250.000 daltoni si se compune 90 % din carbohidrati derivati in principal din doua tipuri de lanturi de glicozaminoglicani: condroitin sulfat si keratin sulfat. Datorita faptului ca acidul hialuronic este o polizaharida lung, neramificata, cu o greutate moleculara de pina la citeva milioane de daltoni, fiecare acid hialuronic este capabil de a lega un mare numar de molecule de agrecani formind agregate de pina la citeva citeva sute de milioane de daltoni (fig. 1.2). Aceste molecule mari au un schelet central de hialuronan care poate fi intre citeva sute si peste zece mii de nanometri lungime .
|
|
|
|
Fig. 1.2 Structura proteoglicanilor agregati (Mankin HJ et Al., 2000)
|
Condrocite Fibre de colagen Apa / ioni GAG |
|||||||||||||||||||||||||||||||||||
|
Fig. 1.3 Schema structurii histologice a cartilajului hialin |
Proteinele necolagene si glicoproteinele
Rolul proteinelor necolagene si al glicoproteinelor este mai putin cunoscut decit ale colagenului si proteoglicanilor. Exista in structura cartilajului mai multe tipuri de astfel de molecule. In general ele sint alcatuite in principal din proteine si au atasate citeva mono si oligozaharide. Unele dintre aceste molecule participa la organizarea si mentinerea structurii macromoleculare a matricei. Anchorina CII, o proteina de la suprafata condrocitelor ajuta la ancorarea celuluelor de fibrilele de colagen ale matricei . Proteina oligomerica a cartilajului, o proteina acidica, este concentrata in principal in matricea pericondrocitara si pare sa fie prezenta doar in cartilaj si sa aiba rol in ancorarea condrocitelor putind avea valoare ca marker al turnoverului cartilajului [41]. Fibronectina si tenascina, proteine necolagene ale matricii, au fost identificate si in alte tesuturi. Aceste proteine par sa aiba rol in organizarea matricii, interactiunea dintre celule si matrice si in raspunsul tesutului cartilaginos in artritele inflamatorii si osteoartroza [40, ]. Sinteza, cantitatea, tipul, proportia proteinelor matriceale de catre condrocite este reglata si cu ajutorul unor factori locali: citokine si factori de crestere. Citokinele pot fi definite ca molecule cu greutate moleculara mica, solubile, care afecteaza paracrin activitatea celulelor din vecinatate. Acest tip de molecule pot actiona asupra celulelor de origine, sau, daca sint eliberate in circulatie, pot afecta celule la distanta, actionind ca agenti endocrini in acceptiunea clasica a termenului. De asemenea, exista si alte mecanisme locale de control prin care factori de crestere produsi locali sau adusi din circulatie sint incorporati in matricea mineralizata si sint eliberati prin activitatea osteoclastelor sau a condroblastelor. O productie anormala de citokine a fost observata in poliartrita reumatoida, osteoartrita si osteoporoza si poate fi raspunzatoare de raspunsul neadecvat al condrocitelor la agresiune. Printre factorii de crestere ai cartilajului au fost identificati: Insulin-like growth factors (IGF): IGF-I and II; Transforming growth factors (TGF): TGFßs 1-3; Fibroblast growth factors acidic si basic (aFGF si bFGF); Interleukins(IL): IL-1ß; IL-6; IL-8; Tumor Necrosis Factors (TNF): TNF a; Colony stimulating factor (CSF): M-CSF; Prostaglandine PTH-RP; etc. [92, 33, 57]
Structura Cartilajului Articular
Condrocitele organizeaza colagenul, proteoglicanii si proteinele necolagene intr-o structura complexa, ordonata. In structura tesutului cartilaginos morfologia condrocitelor, structura proteinelor matriceale si compozitia, organizarea si prin urmare proprietatile mecanice ale matricei variaza cu profunzimea fata de suprafata cartilajului. De asemenea, compozitia si organizarea matricei variaza si functie de distanta fata de condrocite.
1.2.2.2.1. Zonele structurale histologice ale cartilajului articular
Modificarile structurale ale matricii si ale morfologiei condrocitare permit diferentierea a patru zone diferite dinspre suprafata cartilajului spre osul subcondral, zone care pe linga modificarile structurale prezinta si proprietati mecanice diferite. Acestea sint: zona superficiala, zona de tranzitie, zona radiala sau profunda si zona cartilajului calcificat.
|
|
|
Fig. 1.4 Morfologia cartilajului Articular (Michael Ulrich-Vinther, 2003) |
Zona Superficiala
Este cea mai subtire zona, estre alcatuita din doua straturi. Cel mai superficial este alcatuit din fibrile fine de polizaharide si este acelulara. Aceasta zona, neteda, lucioasa, identificata ca " lamina splendens", poate fi uneori laminata de pe suprafata cartilajului. Imediat sub acest strat se gasesc condrocite de forma aplatizata, elipsoida, aranjate cu axul mare paralel cu suprafata cartilajului [3]. Matricea are o concentratie mare de colagen si fibronectina si o concentratie scazuta de proteoglicani comparativ cu celelalte zone ale cartilajului [43], de asemenea exista o mare concentratie de apa.
Zona de Tranzitie (Intermediara)
Morfologia celulelor si a compozitiei matricii este intermedara (de trecere) intre zona superficiala si cea profunda a cartilajului. De obicei aceasta zona are o grosime de citeva ori mai mare decit zona superficiala.
Zona Profunda (Radiala)
Grosimea acetei zone este variabila. Caracteristic acestei zone este forma si asezarea condrocitelor. Celulele au forma sferica si sint asezate in coloane perpendiculare pe suprafata cartilajului. In aceasta zona se gasesc cele mai groase fibrile de colagen, cea mai mare concentratie de proteoglicani si cea mai mica concentratie de apa [3, 43, 29]. Aceste particularitati confera zonei o mare rezistenta la compresiune .
Zona Cartilajului Calcificat
O zona fina de cartilaj calcificat separa zona profunda de osul subcondral. Condrocitele din aceasta zona sint mai mici decit cele din zona radiala, cu nuclei mari si contin putine organite celulare (fig. 1.5). In unele regiuni aceste celule apar inconjurate complet de cartilaj calcifiat ceea ce sugereaza ca au metabolism foarte scazut [3]. Aceata zona este foarte accidentata, cu numeroase interdigitatii, ceea ce ii confera o considerabila rezistenta mecanica.
1.3. Notiuni de Anatomie a Genunchiului
Articulatia genunchiului este una dintre cele mai mari articulatii a corpului omenesc. Se încadreaza în grupul articulatiilor condiliene si prezinta o importanta deosebita datorita anumitor particularitati anatomice si functionale: comparativ cu alte articulatii mari (coxo-femurala, scapulo-humerala), este mai putin acoperita si protejata de parti moi, fapt ce explica frecventele sale expuneri la actiunea factorilor nocivi externi; este foarte solicitata în statica si locomotie, fapt ce grabeste uzura mai precoce si accentuata a cartilajului articular si evolutia spre artroza. De asemenea, datorita solicitarilor mari la care este supus, a traumatismelor frecvente la acest nivel, genunchiul este sediul cel mai comun al leziunilor posttraumatice ale cartilajului articular. Datorita particularitatilor anatomice genunchiul este folosit si pentru prelevarea grefelor osteocondrale sau a recoltarii de condrocite pentru culturi celulare necesare pentru relizarea transplantului de tesuturi in chirurgia cartilajului articular.
1.3.1. Anatomia sistemica a genunchiului
1.3.1.1. Suprafetele articulare
Suprafetele articulare apartin epifizei inferioare a femurului, epifizei superioare a tibiei si patelei. Fibula nu ia parte la alcatuirea ei.
Condilii
femurali prezinta anumite detalii
din punct de vedere al orientarii si conformatiei, detalii utile
în întelegerea biomecanicii articulare: fiecare condil este oblic
orientat, axul sau de învârtire fiind oblic de sus în jos si din
spatiul intercondilian inspre fata cutanata; cei doi condili ai
epifizei inferioare a femurului realizeaza o suprafata
articulara recurbata înapoi si de aceea partea sa cea mai mare
este situata înapoia axului osului; condilul medial este mai proeminent
decât cel lateral si se afla pe un plan inferior celui lateral; din
profil se observa cum raza de curbura a celor doi condili
descreste dinainte-înapoi, ceea ce face ca suprafata articulara
a condililor sa apara nu ca un segment de cerc ci ca o curba
spirala; condilul medial e mai îngust si mai lung decât cel lateral;
cei doi condili diverg dinainte-înapoi, astfel ca diametrul transversal al
extremitatii inferioare femurale este mai mare în partea
posterioara decât în cea anterioara (fig. 1.7); condilii femurali
sunt acoperiti de un cartilaj hialin, gros de 2-
Epifiza
superioara a tibiei prezinta
fata superioara articulara (platoul tibial) cu cele doua
fose articulare (cavitati glenoide), separate prin eminenta
intercondiliana. Cartilajul care acopera fosele articulare este mai
subtire în partea periferica a acestora si mai gros în partea
centrala (6-
Fata articulara posterioara a patelei prezinta o creasta verticala mediana si doua fete: mediala si laterala, cea laterala cu suprafata mai mare. La nivelul fiecarui versant patelar se descriu trei suprafete, delimitate ami mult functional decit anatomic si care intra in contact cu trohleea femurala in diferite garde de flexie a genunchiului. Exista mai multe variante anatomice ale suprafetei articulare patelare, importante in ceea ce priveste stabilitatea patelei in santul trohlear.
Suprafetele articulare corespund astfel: fata patelara a femurului (trohleea) raspunde fetei posterioare a patelei; fetele articulare ale condililor femurali corespund foselor articulare ale platoului tibial; eminenta intercondiliana se situeaza in continuarea creastei patelei.
Datorita asimetriei condililorfemurali si formei convexe a acestora, concordanta dintre suprafetele acestora si suprafata articulara a platoului tibial, insuficient excavata, se realizeaza prin intermediul a doua formatiuni fibrocartilaginoase numite meniscuri, de forma unor inele incomplete, situate la periferia suprafetelor articulare tibiale, acoperind 2/3 din acestea, fiind mai groase la periferie. Fiecare dintre cele doua meniscuri, lateral si medial, dispune de doua coarne, unul anterior si altul posterior, care se insera la nivelul eminentei intercondiliene: Meniscul lateral are forma unui cerc aproape complet, fiind întrerupt doar pe o mica portiune la nivelul eminentei intercondiliene. Meniscul medial are forma unei semilune, cu o întrerupere mediala mult mai mare. Cele doua meniscuri sunt unite anterior printr-o bandeleta transversala numita ligamentul transvers al genunchiului (fig. 1.8).
1.3.1.2. Capsula articulara
Se prezinta sub forma unui manson care uneste cele trei oase: femurul, tibia si patela. Se insera la nivelul femurului de-a lungul marginilor suprafetelor articulare, patrunzând posterior în fosa intercondiliana, pe tibie în jurul fetei articulare superioare si pe meniscuri, aderenta de suprafata externa a acestora, fiind intrerupta anterior pentru a cuprinde fata articulara a patelei. Este constituita din fibre longitudinale, transversale si oblice.
1.3.1.3. Ligamentele de unire ale articulatiei
Sunt situate la nivelul capsulei articulare si în cavitatea articulara, fiind în parte expansiuni ale muschilor învecinati.
Ligamentul Patelar (Tendonul
Rotulian) se prezinta ca o bandeleta puternica, lunga de 5-
Retinaculele patelei (aripioarele patelei) se constituie sub forma a doua lame fibroase, expansiuni ale cvadricepsului, care fixeaza marginile patelei la condilii femurali corespunzatori. La nivelul aripioarei mediale se individualizeaza Ligamentul Femuropatelar Medial care are rol important in stabilizarea rotulei in cursul miscarilor de flexie-extensie a genunchiului.
Ligamentul Colateral Medial este o formatiune fibroasa mai aplatizata care în mare masura se confunda cu capsula. Se insera în partea superioara pe epicondilul medial al femurului, iar în cea inferioara pe fata mediala a tibiei. Se descriu doua fascicule (profund si superficial) la nivelul acestui ligament cu rol in stabilizarea in valg a genunchiului.
Ligamentul Colateral Lateral este subtire si rotunjit, nu adera de capsula fiind situat extraaritcular, este inserat pe epicondilul lateral al femurului si capul fibulei. Are rol in stabilitatea in var a genunchiului.
Ligamentele încrucisate sunt în numar de doua, situate profund în fosa intercondiliana. Ligamentul Incrucisat Aanterior se întinde între aria intercondiliana anterioara si fata intercondiliana a condilului lateral, cu rol in oprirea translatiei anterioare a tibiei, stabilizarea rotatiei si accesor stabilizator in valg intre 0 si 30 grade de flexie. Ligamentul Incrucisat Posterior este situat între aria intercondiliana posterioara si condilul medial, cu rol in stabilizarea translatiei posterioare a tbiei [31].
1.3.3. Anatomia cartilajului articular al genunchiului
Geometria suprafetelor osoase ale femurului distal difera de cele cartilaginoase. Aceasta diferenta trebuie luata in considerare atunci cind se interpreteeaza rezultate ale investigatiilor imagistice. Deoarece aceste aspecte nu sint inca pe deplin elucidate, sint necesare noi studii pentru a putea utiliza in practica a cunostintele acumulate in vederea diferentierii genunchiului normal de cel cu uzura a cartilajului articular,
Masuratori realizate la nivelul articulatiei femuropatelare in diferite grade de flexie au gasit diferente semnificative intre suprafetele cartilaginoase si osoase ale trohleei femurale. Cu toate acestea, orientarea axului anatomic al santului trohlear nu a fost modificata semnificativ de prezenta cartilajului. Aceiasi autori au gasit diferente semnificative statistic intre anatomia osoasa si cartilaginoasa a condililor femurali, pozitia santului trohlear, unghiul santului, panta maxima si unghiul condilar posterior, fara diferente dreapta-stinga, insa semnificativ mai mare la barbati fata de femei. Panta cartilaginoasa a fetei laterale a trohleei femurale (care are rol si in stabilitatea patelei) a fost mai inclinata decit suprafata ososasa subjacenta in zona de cotact patela-femur intre 0 si 450 de flexie a genunchiului. Inclinarea maxima a fetei laterale cartialginoase a fost mai mare la genunchii sanatosi fata de cei cu modificari artrozice.
Relatia dintre inclinarea maxima a fatetei laterale a trohleei femurale si durerea anterioara a genunchiului si tracking-ul patelar pare a fi semnificativa [21].
Suprafata cartilajului articular al patelei de asemenea nu corespunde intru totul cu conturul osos subjacent . Par sa existe diferente semnificative intre cele doua suprafete. Aceasta sugereaza ca radiografiile conventionale si tomografia computerizata nu sint utile in determinarea relatiei cartilajului articular patelar cu anatomia osului subjacent, altfel spus masurarea anatomiei osoase a patelei si a articulatiei femuropatelare pe radiografii sau CT nu va reprezenta morfologia reala a articulatiei. Doar rezonanta magnetica nucleara si studiile anatomice directe pot evalua corect anatomia articulatiei femuropatelare. Aceste consideratii sint aplicabile unei anatomii normale a patelei cu cartilaj nrmal sau cu leziuni minime, nu si in cazul unei displazii trohleare cu disparitia santului trohlear,cind structura anatomica a osului si cartilajului coincid. Pe de alta parte, exista o concordanta semnificativa intre volumul (grosimea) cartilajului si pensarea spatiului articular pe radiografiile conventionale in cazul artrozei [18, 30].
|
|
Fig. 1.11 Imagine RMN, sectiune sagitala la nivelul compartimentului intern al genunchiului drept, genunhi in extensie |
|
|
Fig. 1.12 Imagine RMN, sectiune transversala la nivelul articulatiei femuropatelare a genunchiului drept, genunchi in extensie |
Capitolul 2
Fiziologia si fiziopatologia
cartilajului articular
2.1. Fiziologia cartilajului articular
Proprietatile unice mecanice si biologice ale cartilajului articular depind de structura tesutului si de interactiunile dintre condrocite si matricea cartilaginoasa. Condrocitele formeaza reteaua proteica ce asigura integritatea structurala a matricei si prin aceasta a cartilajului. Colagenul de tip II, IX si XI formeaza o retea care confera forma, rigiditatea si rezistenta la solicitare mecanica a cartilajului. Agrecanii (molecule mari de proteoglicani agregate) contribuie la rezistenta tesutului si la asigurarea integritatii structurale a acestuia alaturi de moleculele mici de proteoglicani ( decorin, biglicani, etc.) prin legarea proteinelor matricei, ajutind la stabilizarea acesteia. De asemenea, aceste molecule influenteaza la rindul lor activitatea condrocitelor si prin legarea citokinelor.
Matricea protejeaza condrocitele de agresiune in timpul utilizarii normale a articulatiei, determina tipul si cocentratia moleculelor care ajung la celule si ajuta la mentinerea fenotipului celulelor.
Tesutul cartilaginos este supus unei remodelari continue in cursul vietii datorita condrocitelor care inlocuiesc macromoleculele matriceale degradate. Turn-overul matricei depinde de abilitatea condrocitelor de a detecta alterari in compozitia macromoleculelor matriceale, a macrooleculelor degradate si de a raspunde prin sintetizarea tipului si cantitatii adecvate de proteine.
Matricea functioneaza ca un transductor pentru condrocite [7]. Incarcarea cartilajului datorita solicitarilor mecanice ale articulatiei creaza stimuli mecanici, electrici si chimici care influenteaza direct activitatea de sinteza a condrocitelor.
Cresterea solicitarii functionale a articulatiei produce un raspuns din partea condrocitelor in sensul cresterii anabolismului care se manifesta prin remodelarea interna si cresterea in volum a tesutului. O suprasoliciare de durata a articulatiei genereaza alterari in compozitia matricii cu o eventuala pierdere a integritatii structurale si mecanice a acesteia. De asemenea, virsta aduce alterari in activitatea metabolica a condrocitelor si deci si in compozitia matricii, determinarea unui raspuns inadecvat a tesutului la solicitare, ceea ce creste posibilitatea degenerarii cartilajului [32]
2.1.1. Lubrifierea si Cartilajului Articular
Calea predominanta de lubrifiere a cartilajului articular in timpul miscarilor articulatiei este elastohidrodinamica. Aceasta se realizeaza atunci cind presiunea transmisa prin pelicula de lichid sinovial deformeaza suprafata cartilajului, crescind astfel marimea suprafetei si reducind fuga lichidului sinovial dintre suprafetele articulare in timpul alunecarii acestora. Alte cai de lubrifiere sint: lubrifierea marginala (de granita) in care o glicoproteina impiedica contactul direct dintre suprafetele articulare, lubrifierea prin presiune in care solventul din lubrifiant patrunde in cartilajul articular lasind astfel complexele de acid hialuronic sa actioneze ca lubrifiant si lubrifierea prin umezire care exprima capacitatea cartilajului de a adsorbi sau exuda lichid in timpul miscarii suprafetelor articulare una fata de cealalta, realizind astfel o autolubrifiere. Eficienta acestor pocese face ca uzura cartilajului prin incarcare in articulatiile sinoviale sa fie minima.
2.1.2. Nutritia condrocitelor
Deoarece cartilajul articular este avascular, atit oxigenarea cit si nutritia condrocitelor se face din lichidul sinovial prin difuziune. Presiunea oxigenului in cartilaj este de 1-3% comparativ cu 21% in atmosfera normala. Energia necesara condrocitelor este produsa in principal prin glicoliza in care glucoza este metabolizata in conditii de anabolism in lactat. Nutrientii trebuie sa strabata doua straturi de difuziune: dinspre sinovie spre lichidul sinovial si apoi dinspre lichidul sinovial sa strabata matricea cartilaginoasa pina la nivelul condrocitului[95]. Deoarece matricea cartilaginoasa este restrictiva, condrocitele traiesc intr-o concentratie de oxigen scazuta fata de alte tesuturi, ceea ce face ca predominant sa depinda de un metabolism anaerob. Nutritia condrocitelor este favorizata de miscarea lichidului sinovial in timpul miscarii articulatiei.
Este pe deplin acceptat faptul ca nutritia condrocitelor este facilitata de compresia si relaxarea cartilajului in timpul solicitarilor mecanice, in strinsa egatura cu miscarea apei la nivelul tesutului, insa nutritia condrocitelor din starturile profunde (sub tidemark) pare a fi realizata si din capilarele de la nivelul osului subcondral [23].
2.2. Fiziopatologia cartilajului articular:
degenerarea, repararea si regenerarea cartilajului
Degenerarea cartilajului articular cu pierderea structurii si functionalitatii acestuia precum si modificarile articulatiei sinoviale care decurg din aceasta genereaza durere si pirderea functiei normale a articulatiei. Durerea si scaderea mobilitatii articulare sint printre cauzele cel mai frecvente de morbiditate a populatiei adulte si virstnice.
Cel mai frecvent degenerarea cartilajului articular se manifesta ca osteoartroza, care poate fi primitiva (idiopatica), dar poate fi si urmarea traumatismelor sau a bolilor reumatismale inflamatorii care distrug suprafata articulara, generind osteoartroza secundara.
Reactia de reparare si regenerare dupa degradarea posttraumatica sau degenerarea cartilajului articular matur este minima, tesutul cartilaginos neavind capacitatea de a repara prin restitutio ad integrum alterarile structurale odata aparute. Aceste observatii au contribuit la interpretarea cartilajului articular ca fiind un tesut inert de rezistenta la presiune, similar cu polietilena si metalul, si ca degenerarea cartilajului aparuta odata cu virsta este rezultatul incarcarii mecanice a acestuia cu pierderea ireversibila a integritatii structurale si a proprietatilor mecanice ale acestuia. In consecinta, pentru a se preveni degradarea cartilajului nu se poate face aproape nimic in afara de a limita incarcarea mecanica a acestuia, si deci, cel mai adecvat tratament pentru degradarea avansata a cartilajului este artroplastia cu inlocuire suprafetelor articulare degradate. Un alt punct de vedere fata de cel prezentat mai sus este acela ca, tesutul cartilaginos nefiind inert, este capabil intr-o oarecare masura de reparare si regenerare, astfel ca incarcarea articulara nu va duce inevitabil la artroza, si deci, exista posibilitatea efectuarii unui tratament care sa restaureze cel putin partial si in anumite cazuri integritatea cartilajului articular.
Numeroase studii au fost efectuate pentru a intelege mai bine procesele care duc la degradarea cartilajului cu alterarea compozitiei si structurii si prin urmare cu pierderea functiei tesutului si relatia cu osteoartroza, precum si procesele care tin de repararea si regenerarea cartilajului cu restabilirea functiei acestuia [17].
2.2.1. Raspunsul cartilajului articular la agresiune
Cartilajul articular sufera procese de degradare ca urmare a agresiunii a numerosi factori: mecanici, metabolici, vasculari, genetici. Agresiunea mecanica poate fi urmarea unui singur traumatism de energie inalta sau a unor incarcari excesive repetate si prelungite ale articulatiei. Aceste traume ale cartilajului produc trei tipuri de leziuni: microleziuni ale condrocitelor si matricii fara leziuni vizibile ale suprafetei cartilajului, fracturi condrale cu lezarea pe diferite adincimi a cartilajului pina la zona de cartilaj calcificat si fracturi osteocondrale care se extind pina in osul subcondral . Fiecare dintre aceste tipuri de leziuni prezinta o evolutie si un tip de reparare particular. De asemenea, alti factori importanti pentru procesul de reparare a leziunilor cartilajului articular sint marimea suprafetei leziunii, locul acesteia, prezenta leziunilor "in oglinda", modificarea axelor mecanice ale membrului, si factori generali ca virsta, greutatea, nivelul de activitate.
2.2.1.1. Microleziunea
Lezarea condrocitelor si a matricii cartilaginoase datorate unei traume puternce sau unor traumatisme repetate de intensitate mai mica nu produce initial leziuni macroscopice. Leziunea caracteristica este microfractura unei regiuni a matricii. Unul dintre procesele initiale este reprezentat de moartea condrocitelor (programata = apoptoza).
Stresul prelungit la nivelul cartilajului poate afecta zona cartilajului calcificat si osul subcondral ceea ce duce la modificarea grosimii acestor zone cu ingustarea cartilajului, modificari observate in artroza.
2.2.1.2. Fractura condrala
O fractura condrala este o leziune macroscopica a cartilajului care este limitata in intregime la cartilaj si nu ajunge la nivelul osului subcondral. In consecinta, nu exista o lezare a sistemului vascular (capilar) ceea ce determina lipsa unei reactii inflmatorii de reparare. La fel ca alte celule bine diferentiate, si condrocitele prezinta o capacitate limitata de prliferare si regenerare. Mai mult, spre deosebire de tesutul grasos sau muscular, tesutul cartilaginos nu contine celule mezenchimale stem nediferentiate care sa genereze un proces de reparare local. La fel ca in cazul leziunii precedente, si acest tip de leziune condrala genereaza rapid moartea condrocitelor in regiunea lezata atit prin apoptoza cit si prin necroza . Alte celule integre din regiune initiaza in raspuns proliferativ de reparare a tesutului. Desi colagenul de tip II si macromoleculele de sinteza ale matricii sint crescute la nivelul condrocitelor supravietuitoare care prolifereaza si formeaza clustere la periferia zonei lezate), aceasta activitate mitotica si metabolica crescuta este de scurta durata dupa care metabolismul tisular revine la valori bazale .Condrocitele proliferate nu migreaza in defect si bresa condrala nu se inchide.
2.2.1.3. Fractura osteocondrala
Cea mai imortanta leziune a cartilajului articular este reprezentata de fractura osteocondrala, care este caracterizata prin extinderea leziunii de la nivelul cartilajului la nivelul osului subcondral si chiar dincolo de acesta in osul spongios subjacent.
Penetrarea osului subcondral geenreaza o reactie inflamatorie de reparare similara cu cea observata in tesuturile vascularizate. Imediat dup aproducerea leziunii se formeaza un hematom. Ulterior acesta se organizeaza intr-o retea de fibrina si se transforma intr-un tesut fibrovascular de reparatie [46]. Celulele stem mezenchimale originare din osul subcondral prolifereaza si se diferentiaza in condrocite sub influenta factorilor locali. In urmatoarele saptamini tesutul nou fomat contine un numar mare de condrocite care sintetizeaza colagen de tip II si proteoglicani care vor organiza matricea tesutului. Celulele din straturile profunde ale defectului vor realiza un proces de osificare encondrala care vor repara defectul osos. Cu toate acestea, tesutul cartilaginos de reparatie nu reconstituie structura cartilajului articular normal hialin, astfel incit se produce o degradare a matricii cartilaginoase care va cuprinde un procent mai mare de colagen de tip I, caracteristic fibrocartilajului celulele avind aspectul de fibroblasti.
Modificarile degenerative debuteaza cu fibrilare superficiala urmata de pierderea proteoglicanilor matricii, pierderea de condrocite si cu aparitia de fisuri la nivelul suprafetei cartilajului care progreseaza, dezintegrind adesea tesutul nou format, dezvelind osul subcondral [46].
DIAGNOSTICUL SI TRATAMENTUL LEZIUNILOR CARTILAJULUI ARTICULAR
Capitolul 1 - Diagnosticul leziunilor cartilajului articular
1.1. Diagnosticul clinic al leziunilor cartilajului articular
Diagnosticul leziunilor cartilajului articular este dificil de efectuat si deseori aceste leziuni ramin nediagnosticate de catre chirurg. Diagnosticul este in principal unul de excludere, si deseori se efectueaza in cursul examinarii artroscopice.
Antecedentele personale patologice sint de multe ori decisive pentru a suspiciona o leziune condrala: prezenta in istoric a unui traumatism, modificari ale axelor mecanice ale membrului, semne radiologice de artroza sau incercari precedente de reparare ale unor leziuni condrale documentate.
Circa jumatate dintre pacientii cu leziuni ale cartilajului articular prezinta antecedente traumatice. Prezenta unei colectii articulare posttraumatice, instabilitate ligamentara, antecedente chirurgicale locale (de exemplu meniscectomie), desi nespecifice, sint sugestive pentru prezenta unei leziuni condrale.
Cel mai frecvent simptom este durerea. Deoarece cartilajul articular nu are inervatie, durerea apare doar atunci cind leziunea condrala atinge osul subcondral, exista patologie asociata (instabilitate, leziuni meniscale) sau este prezent un raspuns inflamator (reactie sinoviala) la un traumatism
De asemenea, pacientii pot prezenta cracmente articulare, blocaje determinate de un fragment condral desprins sau chiar sa descrie prezenta unor formatiuni mobile, dure, putin dureroase (corp liber intraarticular). Prezenta unor episoade tranzitorii de hidrartroza sint descrise de asemenea de pacienti, legate de o suprasolicitare a articulatiei. Simptomele legate de instabilitatea ligamentara, instabilitate patelara sau leziuni meniscale asociate
1.1.1. Examenul Clinic
Examenul clinc trebuie facut sistematic. La inspectie se pot observa modificarile de ax in valg sau var, epansamentele articulare sau reactia sinoviala, trackingul patelar, luxatia habituala a rotulei, atrofia cvadricepsului, reperele osoase. Palparea proeminentelor osoase: marginile rotulei, marginea mediala si laterala a trohleei femurale si a condililor femurali, interliniile articulare, cautarea punctelor dureroase sint obligatorii in examinarea genunchiului. Testele de stabilitate: valgus si varus la 0 si 30 grade, sertar anterior si posterior, testul Lachmann, Pivot shift, pot evidenita leziuni asociate sau factori predispozanti care pot sugera leziuni condrale. Trackingul patelar, testele de stabilitate patelara si testele de provocare a durerii in leziunile meniscale pot decela conditii patologice care se asociaza frecvent cu leziunile cartilajului articular.
Punctia articulara in leziunile acute la care se evidentiaza hemartroza sugereaza, desi nespecific, posibilitatea existentei unei leziuni condrale. La pacientii cu hemartroza posttraumatica a genunchiului incidenta leziunilor condrale este de 20%
1.2. Investigatii complementare in leziunile cartilajului articular
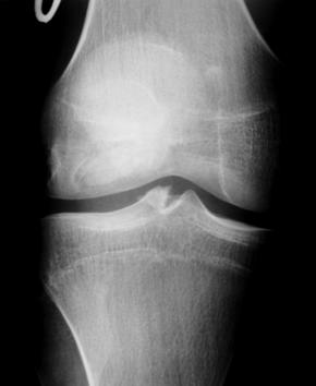
1.2.1. Radiografia standard
Radiografia standard are un rol limitat in evaluarea leziunilor cartilajului articular. Cu toate acestea, radiografia este o examinare de rutina in patologia genunchiului, care poate aduce informatii utile pentru diagnosticarea leziunilor condrale si a patologiei asociate cu acestea.
Pangonograma este utila in planningul preoperator pentru interventiile de realiniere in vederea restabilirii axei mecanice anatomice a membrului pelvin (osteotomii) [17].
Radiografiile standard evidentiaza ingustarea spatiului articular, dezaxari, osteofitoza, scleroza subcondrala, chiste subcondrale, deformari ale suprafetelor articulare si ale articulatiei in artroza De asemenea, largirea spatiului articular (cresterea) a fost asociat cu scaderea simptomatologiei artrozice [11].
In osteocondrita disecanta se evidentiaza scleroza subcondrala si fragmentele osteocondrale detasate (fig. 1.3),
|
|
|
|
Fig. 1.3 Radiografii degenunchi incidente AP si LL - fragmente osteocondrale in osteocondrita disecanta a condilului femural extern, unul dintre ele migrat anterior a determinat blocajul genunchiului |
|
1.2.3. Rezonanta Magnetica Nucleara
Rezonanta Magnetica Nucleara (RMN) este in prezent investigatia imagistica de electie in diagnosticul si evaluarea leziunilor condrale.
Secventele standard T1 fast-spin nu sint sensibile in evaluarea leziunilor cartilajului articular, insa secventele T2 fast-spin si T1 densitate protonica cu supresie a grasimii sint atit specifice cit si senzitive in decelarea leziunilor cartilajului articular (fig. 1.5) Cea mai mare specificitate este la nivelul cartilajului articulatiei femuropatelare datorita grosimii cartilajului (fig. 1.6)
nivelul rotulei.
In Figura 1.9 si Figura 1.10 se pot observa leziuni de osteocondrita disecanta a condilului femural intern si extern, evidentiabile pe diferite sectiuni si secvente RMN.
|
|
|
|
|
Fig1.9 Imagine RMN sectiuni sagitale si transversala la nivelul genunchiului, leziune de osteocondrita disecanta a condilului femural intern |
||
In ultimii ani s-au dezvoltat noi tehnici RMN care sa creasca acuratetea diagnosticului leziunilor condrale, tehnici ce se bazeaza pe injectarea unor substante de contrast ce modifica proprietatile magnetice ale diferitelor componente ale matricii cartilajului. Cea mai folosita tehnica este cea in care se foloseste Gadolinium care permite masurarea continutului de glicozaminoglicani ai cartilajului: dGEMRIC (delayed gadolinium-enhanced MR imaging of cartilage) (fig. 1.11) [7, 26]. Prin injectarea i.v. de Gadopentetat Dimeglumina acidul Gadolinium Dietilenetriamin PentAcetic (Gd-DTPA) se acumuleaza la nivelul cartilajului articular invers proportional cu cantitatea locala de glicosaminoglicani. Regiunile cu cartilaj normal prezinta cantitati reduse de Gd-DTPA. Tehnica dGEMRIC poate evidentia atit leziuni condrale incipiente cit si gradul de maturare al tesutului cartilaginos de reparatie [39 ]
Examenul RMN nu poate in prezent sa inlocuiasca artoscopia in diagnosticul leziunior cartilajului articular, avind o senzitivitate de 33%-52%. Datorita inaltei specificitati de 97%-99% si inaltei valori de predictibilitate (97%-98%), RMN-ul este util pentru excluderea leziunilor condrale [37].
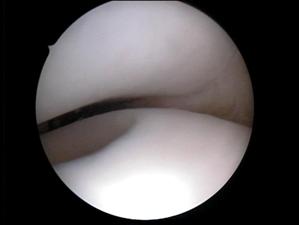
1.3. Diagnosticul Artroscopic al leziunilor cartilajului articular
Examinarea artroscopica a genunchiului ramine standardul de aur in diagnosticarea si evaluarea leziunilor cartilajului articular. Examenul artroscopic permite evaluarea suprafetei cartilajului, a rezistentei la presiune, dar mai ales a marimii si profunzimii zonei leziunii condrale. Numeroase sisteme de clasificare a leziunilor cartilajului articular au la baza examinarea artroscopica directa a acestuia (vezi capitolul 2).
Examinarea artroscopica a cartilajului permite evaluarea mai multor caracteristici ale acestuia. Rezistenta cartilajului la presiune se efectueaza cu ajutorul exploratorului (probe), si se refera la forta cu care acesta este impins inapoi dupa ce presiune a incetat. Persistenta unei depresiuni condrale este semn de "inmuiere" a cartilajului. Artroscopic se evalueaza si culoarea cartilajului care normal este alba, lucioasa, cu usoara tenta galbuie. Cartilajul artrozic are o culoare galbuie marcata, este mat.
La examinarea artroscopica suprafata cartilajului este neteda, lucioasa, o fara discontinuitati. Pierderea luciului, prezenta unor depresiuni, fisuri, fibrilatii, delaminari sint semne de leziune. De asemenea, o zona de ingrosare a cartilajului, depresibila la examinarea cu exploratorul, este semnul unei leziuni profunde: "blister".
Pot fi observate depuneri pe suprafata cartilajului: singe care poate fi indepartat cu exploratorul in cazul unei hemartroze, cristale de oxalat de calciu in artropatia gutoasa la suprafata sau in masa cartilajului.
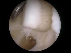
Modificari ale formei si conturului suprafetelor articulare in fracturi, osteocondrita, precum si prezenta de osteofite marginale in artroza (fig. 1.12) pot fi observate in cursul examinarii artroscopice a genunchiului.
Figura 1.16 prezinta o imagine artroscopica a compartimentului extern pe care se observa o fractura a hemiplatoului
|
|
|
|
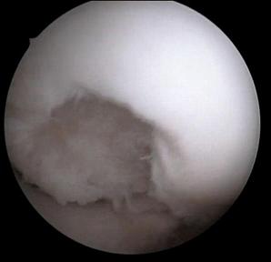
Fig. 1.13. Imagini artroscopice - leziuni osteocondrale stadiu III B si C ICRS la nivelul condilului femural si la nivelul patelei |
|
|
|
|
|
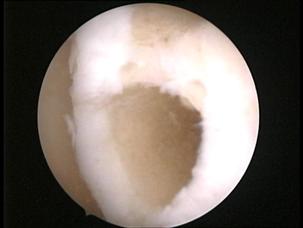
Fig. 1.14. Imagini artroscopice - leziuni osteocondrale stadiu IV A si B ICRS la nivelul condilului femural |
|
|
|
|
|
Fig. 1.15 Imagini artroscopice - osteocondrita disecanta: in stinga fragment condral partial detasat , in dreapta patul osos ramas dupa indepartarea fragmentului osteocondral detasat, se observa ca leziunea condrala este mai extinsa decit cea osoasa |
|
|
|
Fig. 1.16 Imagine artroscopica - fractura recenta la nivelul platoului tibial, se observa meniscul fara leziuni evidente si o leziune condrala la nivelul condilului femural |
1.5. Evolutia leziunilor cartilajului articular
Evolutia leziunilor condrale depinde de marimea (suprafata), profunzimea
si localizarea acestora, dar si de alti factori de la nivelul articulatiei:
leziuni ligamentare, leziuni meniscale, calitatea osului subcondral,
artropatii, precum si de boli sistemice asociate (neoplazii, alte boli care
scad capacitatea organismului de
regenerare tisulara). La nivelul condililor femurali s-a demonstrat ca o leziune
condrala cu un diametru de
Capitolul 2 - Tratamentul leziunilor cartilajului articular
2.1. Tratamentul medicamentos al leziunilor cartilajului articular
2.1.1. Glucozamina si Condroitin Sulfatul
Glucozamina (2-amino-2-deoxy-alpha-D-glucoza)si Condroitin Sulfatul (polizaharid lung, neramificatcompus din reziduri alterantive de acid glucuronic si N-acetilglucosamina ), prezinta proprietati condroprotective [15]. Ambele substante sint componente ale complexelor proteoglicanice din condrocite.
2.1.2. Acidul Hialuronic
Acidul hialuronic este o polizaharida cu proprietati viscoelastice care imbunatateste lubrifierea si mecanica articulatiei.. Desi mecanismele de actiune ale acidului hialuronic nu sint pe deplin intelese, acesta moduleaza metabolismul celular si are efect condroprotector .
2.1.3. Glucocorticoizii
Glucocorticoizii injectabili sint utilizati de mult timp in tratamentul osteoartritei. Desi sint eficienti in reducerea simptomatologiei, efectul lor este limitat la citeva saptamini [25]. Desi parea ca glucocorticoizii au efect protectiv, cele mai multe date experimentale sugereaza ca au un efect negativ asupra biologiei cartilajului prin inhibarea proliferarii condrocitare, scaderea sintezei matricii si a sintezei proteoglicanilor,
2.1.4. Antiinflamatoare nesteroidiene
Acestea sint impreuna cu antialgicele cele mai prescrise medicamente in tratamentul leziunilor cartilajului articular. Eficacitatea antiinflamatoarelor nesteroidiene se datoreaza in principal efectului inhibitor asupra COX-2 [20]. Ciclooxigenaza-2 stimuleaza catabolismul tisular, scazind totodata sinteza colagenului de tip II si a proteoglicanilor [1]. Cu toate acestea, nu exista dovezi ca ar intirzia evolutia spre artroza.
2.2. Tratamentul chirurgical al leziunilor cartilajului articular
Mai multi factori trebuie luati in considerare pentru a se lua o decizie in vederea tratarii leziunii cartilajului articular: suprafata, profunzimea, localizarea, istoricul, leziunile asociate, stabilitatea genunchiului, leziuni meniscale, axele mecanice ale membrului, virsta pacientului si nu in ultimul rind solicitarile functionale ale pacientului. Examenul RMN, Clasificarea Outerbridge, Sistemul de Evaluare ICRS sint foarte utile pentru alegerea metodei terapeutice de ales.
Scaglione et Al. a impartit procedurile de repaarre a cartilajului in primare - poceduri simple care pot fi efectuate artroscopic ca prima linie de tratament si secundare - care sint mai complexesi au ca scop refacerea durabila a suprafetei cartilajului
2.2.1. Proceduri primare in chirurgia cartilajului articular
2.2.1.1. Lavajul si Debridarea cartilajului articular
Condroplastia prin abraziune
Aceasta tehnica foloseste o freza pentru a indeparta osul subcondral si a induce singerare in leziunea condrala (vezi fig.4.1).
2.2.1.2.2. Forajele Pridie
Dupa publicarea tehnicii de Pridie in 1959 aceasta a devenit larg utilizata, fiind simplu de efectuat si ne necesitind instrumentar special. Tehnica urmareste efectarea unor gauri in patul osos al leziunii prin care sa se produca singerarea.
2.2.1.2.3. Microfracturile Steadmann
Aceasta tehnica este in prezent larg folosita, utilizeaza niste tepuse mici (similare cu brose K indoite) cu ajutorul carora se produc perforatii in osul subcondral (fig. 4.2). Numeroase studii clinice au confirmat valoarea acestei tehnici [40].
|
|
|
|
Fig.4.2 Imagini artroscopice. Microfracturi Steadmann pentru o leziune st IV A ICRS a condilului femural. In imginea 2 se observa perforatiile singerinde |
|
2.2.2. Proceduri secundare in chirurgia cartilajului articular
2.2.2.1. Transplantul Osteocondral Autolog
Transplantul Osteocondral Autolog este o procedura prin care se preleveazaunul sau mai multi cilindri osteocondrali dintr-o zona donoare si se implanteaza in zona defectului cartilaginos. Tehnic, se recolteaza mai multi cilindri osteocondrali dintr-o zona neportanta a genunchiului - un numar variabil si de dimensiuni variabile in asa fel incit sa se acopere suprafata defectului cit mai bine - cu un instrumentar special. In urmatorul timp operator se prelucreaza zona primitoare (a defectului condral) pina in cartilaj perijacent sanatos si de asemenea se prelucreaza suprafata osului subcondral si se practica niste gauri in osul subjacent in care se vor introduce cilindri osteocondrali recoltati anterior (fig. 4.4) [42,] Avantajele tehnicii constau in posibilitatea efectuarii intr-un singur timp operator, posibilitatea efectuarii chiar daca exista leziuni ale osului subcondral (osteocondrita, leziuni degenerative), costul redus, timp mai redus de recuperare comparativ cu implantul de condrocite autologe. Dezavantajele metodei constau in principal in efecte adverse legate de zona donoare si de limitarea suprafetei care poate fi acoperita datorita limitarii zonei de unde se pot recolta cilindri.
Indicatia actuala principala a acestei tehnici este pentru defectele condrale de la nivelul condililor femurali cu suprafata de 2-4 cm2, la pacientii activi, dar si la pacienti virstnici activi in functie de starea cartilajului in restul articulatiei.
|
|
|
|
|
|
|
|
|
|
Fig.4.4 Transplant osteocondral efectuat artroscopic: defect OC stIV B ICRS (OCD III); efectuarea tunelului prmitor; aspectul celor doua tuneluri cu sept osos intre ele; zona donoare pe versantul lateral al trohleei femurale; introducerea primului cilindru ostocondral, aspect final cu efectuarea si de microfracturi pe o zona neportanta (marginea interna a condilului) |
|
2.2.2.2. Implantarea de Condrocite Autologe
Implantarea de condrocite autologe a fost descrisa pentru prima data in 1994 de Brittberg si Colab. Este o metoda prin care se realizeaza regenerarea cu cartilaj de tip hialin (hialin-like) cu ajutorul unor condrocite cultivate in vitro, metoda din ce in ce mai mult utilizata. Tehnica presupune o prima interventie prin care se recolteaza condrocite (200-300 mg) pentru culturi si dupa dezvoltarea acestora in vitro o noua interventie chirurgicala prin care se umple defectul cartilaginos cu aceste celule, contentia lor in defect realizindu-se cu ajutorul unor membrane de periost sau colagen (fig.4.8) (fig. 4.9) [31]. Rezultate pe termen lung inca nu exista, pe termen mediu studiile arata 80-85% rezutate bune. Avantajul metodei consta in invazivitatea mica a tehnicii, fara
efecte adverse la locul de recoltare a codrocitelor, insa necesita un os subcondral de buna calitate, ceea ce ii reduce indicatiile. Principalul dezavantaj al metodei consta in pretul ridicat: 8.000-10.000 EUR pentru un pacient. De asemenea, tehnica presupune doua interventii chirurgicale, o curba mai lunga de invatare penru sutura membranei periostale sau de colagen sub care se injecteaza condrocitele .
O varianta mai noua a acestei tehnici este utilizarea unei matrice solide 3D de acid hialuronic sau colagen (fig. 4.10) pe care adera condrocitele cultivate, reducindu-se astfel durata interventiei chirurgicale si eliminindu-se unele complicatii legate de metodele de mentinere a culturilor de condrocite le locul defectului, matricea nu mai necesita suturarea la nivelul defectului [ 3]. Exista diferite substraturi pentru realizarea acestor matrici, si de asemenea sint mai multe firme care le produc si investesc in dezvoltarea lor (tabel 4.1).
|
|
Heinegĺrd, D. K., and Pimentel, E. R.: Cartilage matrix proteins. In Articular Cartilage and Osteoarthritis, pp. 95-111. Edited by K. E. Kuettner, R. Schleyerbach, J. G. Peyron, and V. C. Hascall. New York, Raven Press, 1992 |
|
|
Heinegĺrd, D.; Lorenzo, P.; and Sommarin, Y.: Articular cartilage matrix proteins. In Osteoarthritic Disorders, pp. 229-237. Edited by K. E. Kuettner and V. M. Goldberg. Rosemont, Illinois, The American Academy of Orthopaedic Surgeons, 1995 |
|
|
Helminen H.J., Kiviranta I., Saamanen A.-M., et al: Effect of motion and load on articular cartilage in animal models, in Keuttner K.E., Schleyerbach R., Peyron J.G., et al. (eds): Articular Cartilage and Osteoarthritis. New York, Raven Press, 1992, pp 501-510 |
|
|
Johnstone B., Yoo J.U.: Autologous mesenchymal progenitor cells in articular cartilage repair. Clin Orthop 1999; 367(suppl):S156-S162. |
|
|
|
|
|
|
|
|
|
|
|
|
|
|
|
|
|
|
Studiu
Comparativ asupra tehnicilor chirugicale de reparare a
articulatiei genunchiului Partea
Speciala Coordonator : prof.univ Dr. Ioan
Baier Coordonator
secundar : Dr. Fleaca Radu Autor : Cotiga Tudor
Pentru chirurgii ortopezi, tratamentul chirurgical al afectiunilor cartilajului articular, prezinta un inters deosebit, deoarece majoritatea leziunilor prezinta o rata scazuta de refacere si pot predispune articulatia la o dezvoltare ulteriora a osteoartritei secundare.
Tratamentele afectiunilor cartilajului articular includ metoda microfracturilor, transplantul de autogrefa periosteala, transplantul de autogrefa osteocondrala si implantul de autogrefa condrocitara, dar exista multe controverse în legatura cu alegerea celui mai bun tratament.
Numeroase articole publicate , in care au fost utilizate optiunile de tratament mentionate, au mentionat reziltate bune sau excelentepentru majoritatrea pacinetior.
Totusi, s-au remarcat insa unele aspecte metodologice slabe ale studiilor publicate .
Scopul acestei analize a fost acela de a stabili daca raportarile optimiste din literatura sunt sprijinite de calitatea metodologice solida a studiilor. Una dintre principalele ipoteze a fost aceea ca majoritatea studiilor au limitari metodologice care pot limita valoarea rezultatelor raportate. Cea de-a doua ipoteza a noastra a fost aceea ca studiile de o calitate metodologica mai slaba descriu rate de succes mai mari.
Am abordat limitele metodologice printr calcularea unui scor Colman modificat si prin ratingul dovezilor si am corelat acestea cu rezultatele raportate.
Materiale si metode
Criteriile de selectie au inclus studii clinice in care scopul principal a fost de a raporta rezultatele dupa repararea cartilajului genunchiului prin metodele chirurgicale de mozaicoplastie si transplant de condrocite . Am efectuat cautarea in baza de date din PubMed . Cautarea s-a efectuat in luna iulie 2008.
In total au fost analizate 494 de studii dintre care 97 pentru mozicoplastie si 397 pentru transplant condrocitar cu ajutoul crietriilor de selctie.
Studiile au fost evaluate utilizand ratingul privind nivelul dovezilor din "Reading and Reviwing the Ortophaedic literature : A Systematic, Evidence-Bassed medicine Approach" fig 1.
Am clasificat astfel cautarea dupa tipul sau :
Studiu clinic
BAsic Science
Imagistica
Statistic nesemnificative (prezinta deficiente majore de design, sunt citate minore sau sunt experiment pe animale )

Si dupa gradul de complexitate al studiului :
Gradul I - studiu clinic randomizat (SCR) de calitate superioara cu semnificatie statistica sau fara semnificatie statistica dar cu incredere mare in recenzia SCR-urilor de gradul I
Gradul II - SCR de calitate medie
Gradul III- studiu de cazuri
-studiu comparativ de retrosepectiva
-recenzie sistematica a studiilor de gradul III
Gradul IV-serie de cazuri
Gradul V- opinia medicului
Clasificarea dupa gradul de complexitate al studiului s-a efectuat numai pentru studiile clinice si numai pentru gradele I si II. Studiile de gradele III, IV si V au fost catalogate ca si "studii sub grad II".

Concepte de studii
Dupa cum am mai mentionat, fiecare dintre aceste tipuri de cercetare, caracterizat de scopul sau, este asociat cu un concept de studiu preferat (sau cu mai multe tipuri de concepte) care fie vor furniza cea mai puternica dovada, fie vor fi cele mai practice pentru a fi aplicate. De exemplu, cercetarile privind terapia se studiaza cel mai bine în cadrul unui studiu controlat randomizat. Principala caracteristica a studiului controlat randomizat este aceea ca subiectii sunt repartizati în mod aleatori pe grupe de tratamente specifice si sunt urmariti în perspectiva pentru a se observa rezultatele care prezinta interes. Randomizarea încearca sa asigure ca grupele care sunt evaluate în timp ce sunt supuse unor tratamente diferite sunt initial similare în privinta surselor de deplasare ("bias") cunoscute (masurabile) si necunoscute (nemasurabile). Studiile (trialurile) controlate randomizate permit examinarea specifica a efectului pe care îl au tratamentele specificate cu grija asupra rezultatelor specifice masurabile. Elementul de perspectiva a acestui tip de studiu stabileste în mod clar ordinea în timp a etapelor efectuarii tratamentului si efectul asupra rezultatelor.
Studiile de perspectiva, care sunt atât de utile în cercetarile privind terapia, sunt, de asemenea, preferate pentru verificare ipotezelor legate de cercetarea diagnostica si de cercetarea tip "screening". Totusi, studiile transversale sunt folosite de obicei pentru a descrie prevalenta unei boli (esentiala pentru întelegerea valorii predictive finale a unui test diagnostic), prevalenta unei caracteristici a anatomiei umane sau utilizarea clinica a unui test sau a unui tratament. De asemenea, studiile transversale sunt importante deoarece genereaza ipoteze legate de potentialele merite ale testelor diagnostice sau ale testelor screening. Într-un studiu transversal, datele sunt colectate simultan de la o categorie a populatiei care prezinta interes. În respectiva categorie a populatiei, unii pacienti vor avea respectiva afectiune iar altii nu. În aceste doua grupe de populatie, cercetatorii ar putea determina, de exemplu, daca un nou test de examinare fizica este asociat cu ruperi labrale superioare sau daca un nou test serologic este asociat cu osteoporoza într-un stadiu timpuriu. Studiile care examineaza meritele unui nou test (diagnostic sau de screening) compara noul test fie cu un test "standard de aur", fie cu precizia acestuia de determinare a rezultatului clinic real care ne intereseaza. Deoarece actualele teste standard de aur sunt deseori imperfecte, este necesara o interpretare atenta atunci când se compara un test nou cu un test standard de aur. Exista multe motive pentru care un test diagnostic ar putea fi recomandat in practica clinica; astfel, trebuie sa întelegem bine performantele fiecarui test. Eficienta noului test ar trebui sa fie cel putin egala daca nu superioara celei a testelor folosite în prezent, înainte ca acest nou test sa fie recomandat.
Studiul de cohorta de perspectiva este tipul de studiu preferat pentru cercetarea prognostica. În cadrul acestui tip de studiu, o populatie (lot de pacienti) a studiului (cohorta) este urmarita sistematic în timp. Pentru examinarea efectului pe care o expunere specifica sau o caracteristica a pacientului ar putea sa o aiba asupra rezultatelor, pot fi adoptate diferite metode statistice. Aceste expuneri sau caracteristici pot avea fie un caracter protector împotriva rezultatelor care ne intereseaza, fie sunt asociate cu o incidenta marita a rezultatului. Astfel de factori pot lua forme diferite, ei putând fi dicotomici (de exemplu, prezenta sau absenta) sau continui (de exemplu, vârsta). Studiile de cohorta de perspectiva pot determina istoria naturala a unei afectiuni. De exemplu, ar putea fi urmarit un lot de pacienti cu rupturi ale mansetei rotatorilor mici, pentru a se vedea daca rupturile mici se largesc dupa caderea pe bratul întins.
În sfârsit, cercetarea referitoare la factorii de risc ar trebui sa se faca utilizându-se fie o cohorta de perspectiva sau istorica, fie un tip de studiu caz-martor. În contrast cu studiile clinice de perspectiva randomizate, studiile de cohorta pot fi mai înclinate catre deplasare ("bias"), deoarece pot fi controlati statistic numai factorii de confuzie masurabili, iar grupele de comparare adecvate s-ar putea sa nu fie disponibile cu usurinta. Studiul prospectiv pentru testarea unui nou tratament permite cercetatorilor sa determine problema cercetata si rezultatele care îi intereseaza înainte ca experimentul sa înceapa si înainte ca datele sa fie colectate. De asemenea, studiul prospectiv asigura ca datele colectate sunt adecvate pentru a raspunde la întrebarea cercetarii. Prin contrast, în cazul unui studiu de cohorta istoric sau al unui studiu caz-martor, întrebarea cercetarii se pune dupa colectarea datelor. O problema cu aceste tipuri de studii este caracterul limitat al datelor colectate, care, deseori, nu sunt cele mai adecvate pentru a raspunde la întrebarea cercetarii.
În
cadrul unui studiu caz-martor ("case-control study"), pacientii cu
diagnostice noi care au o afectiune specifica sunt comparati cu
un grup de control care nu au boala respectiva. Apoi se colecteaza
date privind expunerea anterioara la un factor de protectie sau la un
factor de risc pentru a se determina daca cazurile respective si
grupul martor difera în privinta ratei lor de expunere. De exemplu,
un studiu privind incidenta ruperii mansetei rotatorului la
persoanele care lucreaza la o linie de asamblare situata deasupra
capului (aceasta reprezentând un factor de risc) ar fi un astfel de studiu cu
un lot sursa. Se colecteaza date privind expunerile trecute (lucrul
la o linie de asamblare situata deasupra capului) pentru a se determina
daca cazurile studiate si grupul martor difera în privinta
ratei lor de expunere.
Un studiu caz-martor bine realizat furnizeaza
un risc relativ estimat ("odds ratio") care descrie relatia dintre
expunere si rezultat. Acest risc relativ estimat, cu anumite ipoteze,
poate fi considerat o estimare rezonabila a riscului relativ real al
expunerii pentru rezultat. Totusi, acest tip de studiu este susceptibil
unui mare numar de deplasari ("bias"), care trebuie luate în
considerare cu atentie atât atunci când se realizeaza cât si
atunci când se interpreteaza studiul. Printre exemplele de astfel de
deplasari ("bias") se numara procesul de selectare a
subiectilor martor ("control") (o deplasare de selectie) si
colectarea informatiilor despre expunere de la cazuri prin interviuri
personale [un tip de deplasare ("bias") de masurare denumit deseori
"recall bias" (respondentul nu-si mai aminteste exact sau nu
cunoaste exact tema)]. Un alt tip de bias de masurare, bias-ul de
detectie, se poate produce atunci când procesul bolii
influenteaza frecventa masurarii expunerii sau
vigilenta unui monitor al studiului.
În realizarea unui studiu transversal, a unui studiu de cohorta istoric sau a unui studiu caz-martor, trebuie luata în considerare diferenta dintre cazurile predominant si cele incidente. Cazurile predominante reflecta populatia care are o boala într-o perioada calendaristica specifica (de exemplu, preponderenta anuala); preponderenta include atât cazuri care exista în rândul populatiei cât si cazuri noi, care apar pe parcursul intervalului masurat. Deoarece cazurile predominante includ atât acele persoane care au avut boala de o anumita perioada de timp cât si cele care s-au îmbolnavit recent, factorii de expunere asociati includ factorii de risc reali pentru contractarea bolii, precum si factorii care ar putea prelungi supravietuirea cu boala respectiva (factori protectori reali). Prin contrast, cazurile incidente reflecta cazuri noi de boala care au aparut în rândul populatiei pe parcursul uni perioade de timp specificate. Factorii asociati cu cazurile incidente reflecta numai riscul de contractare a bolii sau rezultatul care prezinta interes.
Studiile transversale pentru factori de risc prezinta motive de îngrijorare suplimentare. Unul dintre acestea este relatia temporala între expunere si boala. În cadrul unui studiu transversal, nu este posibil sa se determine daca o expunere s-a produs înainte sau dupa începerea bolii. Astfel, o asociere pozitiva între o expunere si o boala ar putea sa însemne ca expunerea cauzeaza boala, dar putea sa însemne si ca boala cauzeaza expunerea. De exemplu, în studiile transversale ale umerilor cadavrelor, acromionul îndoit pare, într-adevar, sa fie asociat cu ruperi ale mansetei rotatorului.

Totusi, nu este clar daca acromionul îndoit a cauzat ruperea mansetei rotatorului sau daca ruperea a cauzat îndoirea acromionului. Astfel, studiile de cohorta si studiile caz-martor sunt tipuri de studii mai puternice pentru determinarea cauzalitatii (de exemplu, gasirea unui grup de pacienti fara afectiunea mansetei, evaluarea morfologiei acromionului lor si urmarirea lor pentru a se vedea daca la cei cu acromionul îndoit se produc ruperi ale mansetei rotatorului).
Conceperea studiilor si ierarhia dovezilor
Fiecare tip de concept de studiu este adecvat pentru diferite situati, în functie de natura problemei care se pune. Cu privire la eficacitatea sau eficienta unei interventii terapeutice, fiecare tip de studiu poate fi ordonat în privinta fortei dovezilor furnizate. De exemplu, un studiu (trial) clinic de perspectiva controlat, randomizat, dublu orb, bine conceput si realizat, cu o excelenta urmarire, furnizeaza dovezi mai puternice pentru utilizarea diagnosticelor si a terapeuticii decât studiile cu o conceptie mai slaba. Desi rapoartele de caz si seriile de cazuri au înca valoare (cum ar fi pentru alertarea clinicienilor cu privire la aparitia unor boli noi sau alertarea cercetatorilor cu privire la noi tratamente care ar merita studiate), tipurile de studii care folosesc grupe de comparare adecvate si acorda atentia cuvenita surselor de "bias" (deplasare) ar trebui sa se bucure de o mai mare consideratie atunci când se acumuleaza dovezi pentru schimbarea practicii medicale.
Acest concept de ierarhizare a studiilor de cercetare în functie de forta lor metodologica este numita ierarhia dovezilor. Ea este folosita de multe reviste de specialitate, inclusiv The Journal of Bone and Joint Sugery, Clinical Orthopaedics and Related Reseach, Arthroscopy si The American Jurnal of Sports Medicine pentru a se clasifica manuscrisele publicate. Ierarhia dovezilor folosita de aceste reviste si adoptata de AAOS Evidence-Based Practice Committee (Comitetul de practica bazata pe dovezi) (https://www.aaos.org/wordhtml/research/comittee/evidence/ebpc.htm) este prezentata în Tabelul 3. Atunci când se ia în considerare daca este cazul sa se schimbe practica pe baza rezultatelor unui studiu bazat pe dovezi, este neaparat necesar sa se cunoasca tipul de studiu folosit pentru a se evalua forta metodologica a studiului.
Tabelul 3 - Niveluri de dovezi pentru întrebarea (problema) primara a cercetarii
|
Tipul de studiu |
||||
|
Nivelul |
Studii terapeutice - Investigarea rezultatelor tratamentului |
Studii prognostice - Investigarea efectului unei caracteristici a unui pacient asupra rezultatului bolii |
Studii diagnostice - Investigarea unui test diagnostic |
Analize economice si decizionale - Realizarea unui model economic sau de decizie |
|
I |
Studiu clinic randomizat (RCT) de calitate ridicata cu diferenta semnificativa din punct de vedere statistic sau fara o diferenta semnificativa din punct de vedere statistic, dar cu intervale de încredere înguste. Recenzie sistematica a unor studii clinice randomizate (RCT) de nivelul I (iar rezultatele studiului au fost omogene) |
Studiu de perspectiva de înalta calitate (toti pacientii au fost introdusi în studiu în acelasi punct al bolii lor, cu o urmarire ≥80% a pacientilor inclusi în studiu) Recenzie sistematica a studiilor de nivelul I |
Testarea criteriilor diagnostice concepute anterior pe pacienti consecutivi (cu "standard de aur" de referinta aplicat universal) Recenzie sistematica a studiilor de nivelul I |
Costuri si alternative sensibile; valori obtinute din multe studii; cu analize de sensibilitate pe mai multe cai. Recenzie sistematica a studiilor de nivelul I |
|
II |
Studiu clinic randomizat (RCT) de calitate mai slaba (de exemplu, urmarire <80%, fara studiu "orb", sau randomizare necorespunzatoare) Studiu comparativ de perspectiva Recenzie sistematica a studiilor de nivelul II sau a studiilor de nivelul I cu rezultate inconsecvente |
Studiu retrospectiv Martori netratati dintr-un RCT Studiu de perspectiva de calitate mai slaba (de exemplu, pacienti inclusi în studiu în puncte diferite ale bolii lor sau urmarire <80%) Recenzie sistematica a studiilor de nivelul II |
Elaborarea criteriilor diagnostice privind pacientii consecutivi (cu "standard de aur" de referinta aplicat universal) Recenzie sistematica a studiilor de nivelul II |
Costuri si alternative sensibile; valori obtinute dintr-un numar limitat de studii; cu analize de sensibilitate pe mai multe cai. Recenzie sistematica a studiilor de nivelul II |
|
III |
Studiu caz-martor Studiu comparativ retrospectiv Recenzie sistematica a studiilor de nivelul III |
Studiu caz-martor |
Studiu cu pacienti neconsecutivi (fara "standard de aur" de referinta aplicat în mod consecvent) Recenzie sistematica a studiilor de nivelul III |
Analize bazate pe alternative si costuri limitate; si estimari slabe Recenzie sistematica a studiilor de nivelul III |
|
IV |
Serii de cazuri |
Serii de cazuri |
Studiu caz-martor Standard de referinta slab |
Analize fara analize ale sensibilitatii |
|
V |
Opinie experta |
Opinie experta |
Opinie experta |
Opinie experta |
|
RCT = studiu clinic randomizat O evaluare completa a calitatii studiilor individuale necesita o evaluare critica a tuturor aspectelor conceptului de studiu O combinatie de rezultate din doua sau mai multe studii anterioare Studiile au furnizat rezultate consecvente Studiul a fost început înainte de includerea în studiu a primului pacient Pacientii tratati într-un anumit mod (de exemplu, artroplastia cimentata a soldului) comparati cu un grup de pacienti tratati într-un alt mod (de exemplu, artroplastia necimentata a soldului) în aceeasi institutie Studiul a fost început dupa includerea în studiu a primului pacient Pacienti identificati pentru studiu pe baza rezultatelor lor, denumiti "cazuri" (de exemplu artroplastie totala nereusita), sunt comparati cu cei care nu avut acest rezultat, denumiti "martori" (de exemplu, artroplastie totala de sold reusita) Pacienti tratati într-un anumit mod, fara grup de comparare de pacienti tratati în alt mod Datele pentru acest tabel sunt din https://ejbjs.or/misc/public/instrux/.shtml si https://www.cebm.net/levels_of_evidence.asp |
||||
Am identificat, în mod surprinzator, câteva publicari duble. De asemenea, unul dintre articole a descris un grup de pacienti care ar fi putut fi o subgrupa de pacienti inclusi într-un studiu randomizat. Am remarcat, de asemenea, faptul ca studiile pilot privind microfracturile la care se facea trimitere într-un articol fusesera publicate într-o revista care nu era indexata de Biblioteca Nationala de Medicina în acel moment si, în consecinta, nu erau disponibile cu usurinta în PubMed sau MEDLINE.
Factorii de confuzie
Factorii de confuzie sunt încadrati uneori în propria lor categorie, ei fiind unul dintre motivele variabilelor care ar putea afecta o relatie expunere-rezultat. Confuzia se produce atunci când un factor este asociat din punct de vedere statistic atât cu expunerea cât si cu rezultatul. Factorii de confuzie pot cauza o relatie aparenta atunci când nu exista cu adevarat nicio relatie sau pot masca o relatie adevarata. De exemplu, tratamente concomitente, altele decât interventia tinta a studiului, ar putea fi efectuate pe diferite grupe de expunere. Diferentele potentiale în privinta rezultatelor ar putea fi cauzate mai degraba de aceste tratamente concomitente decât de interventia studiata. Astfel o ipoteza a studiului ar putea fi aceea ca o alogrefa de menisc este eficienta pentru înlaturarea durerii si îmbunatatirea rezultatelor pacientului. Totusi, subiectii studiului care au primit alegrefe de menisc difera de cei care nu au primit alogrefe în privinta altor proceduri, cum ar fi osteotomia sau procedurile de restaurare a cartilajului articular. De aceea, este dificil sa se stie daca rezultatele obtinute sunt legate de alogrefa de menisc sau de alte interventii. Astfel, toate interventiile trebuie sa fie documentate si controlate, pentru a se determina daca ele sunt rezultatul interventiei tinta.
Controlul sanselor: Concepte statistice importante
Bias-urile de selectie si masurare trebuie gestionate în timpul fazelor de conceptie si executie a unei investigatii clinice. În timpul acestor faze, precum si în timpul analizei, trebuie luati în considerare si factorii de confuzie. Examinarea rolului pe care l-ar putea avea sansa în explicarea rezultatelor unui studiu clinic, se produce în timpul analizei; rolul potential al sansei este luat in calcul în timpul fazei de conceptie.
Fiecare investigator clinic, trebuie sa se familiarizeze cu valorile P si sa studieze forta studiului. În statistica traditionala, clinicienii presupun initial ca ipotezele fara efect (ipotezele nule) determina daca datele care par sa fie valabile au fost ipotezele nule. Valoarea P este probabilitatea de observare a rezultatelor ca valori extreme sau mai extreme decât valorile observate în cazul în care ipotezele nule ar fi adevarate. Când valoarea P este suficient de mica (de exemplu P<0,001 sau P=0,05) ipoteza nula este respinsa.
Evaluarea dovezilor în acest mod este asemanatoare rolului jucat de un jurat într-un proces. Un suspect este acuzat de o infractiune (vinovatia sa este ipoteza). Totusi, se presupune ca suspectul este nevinovat pâna în momentul în care se dovedeste ca este vinovat (ipoteza nula, care trebuie combatuta cu dovezi). Trebuie sa existe dovezi suficiente pentru ca juriul sa-l gaseasca vinovat pe suspect dincolo de o îndoiala rezonabila. Valoarea P este probabilitatea unei condamnari false (respingerea nevinovatiei).
Într-un proces cu jurati exista patru rezultate potentiale. (1) O persoana nevinovata poate fi achitata (decizia corecta). (2) O persoana vinovata poate fi gasita vinovata (decizia corecta). (3) O persoana nevinovata poate fi gasita vinovata (decizie incorecta). (4) O persoana vinovata poate fi gasita vinovata (decizie incorecta). În esenta, valoarea P este probabilitatea de a fi facut greseala numarul 3, respectiv ca o persoana nevinovata sa fie gasita vinovata (aceasta înseamna ca exista o diferente între doua tratamente când de fapt nu exista nicio diferenta). Acesta este cunoscuta ca o eroare de tipul 1.
Urmând aceasta analogie, o eroare de tipul 2 este probabilitatea de a face greseala numarul 4 (aceasta înseamna ca exista o diferente între doua tratamente când de fapt nu exista nicio diferenta). Forta unui test este probabilitatea de a detecta un efect semnificativ (1 minus probabilitatea de a face o eroare de tipul 2). Daca juriul nu are dovezi suficiente (sau daca studiul nu are un numar suficient de subiecti), atunci juriul ar putea fi nevoit sa elibereze o persoana vinovata (iar studiul trebuie sa declare ca nu exista nicio diferenta între doua tratamente când de fapt exista o diferenta).
Un alt punct care merita mentionat este utilizarea lui P < 0,05 ca un nivel standard al semnificatiei statistice. Aceasta valoare (în esenta o probabilitate de 5% de a avea un rezultat fals-pozitiv) este arbitrara. Ea a fost stabilita prin conventie si este cel putin problematica. Pentru unele experimente, o valoare P de 0,06 poate fi acceptabila. Pentru altele, siguranta absoluta ca efectul este real poate fi necesara înainte de a se lua în considerare modificarea practicii pe baza concluziilor cercetatorilor; în acel caz, ar fi necesara o valoare P de 0,01. În general, este întotdeauna mai bine pentru un cercetator sa includa într-un articol valorile P absolute si, astfel, sa-l lase pe cititor sa judece daca diferenta este semnificativa. De asemenea, când un autor declara ca nu exista nicio diferenta în privinta unui rezultat, ar trebui sa se ia în discutie forta experimentului sau includerea intervalelor de încredere. De asemenea, daca dimensiunea unui esantion este foarte mica, s-ar putea ca diferenta reala sa nu fie detectata.
Multi statisticieni sustin utilizarea intervalelor de încredere (CI), care ofera mult mai multe informatii decât valorile P deoarece în cazul CI nu este necesar sa se presupuna o ipoteza nula, nici chiar temporar. CI ofera o gama de valori, cu un nivel predeterminat de încredere, care se crede ca se situeaza în jurul valorii reale. De aceea, spre deosebire de valoarea P, care tinde sa separe rezultatele în doua categorii, "semnificative" si "nesemnificative", CI furnizeaza o estimare a marimii diferentei dintre doua grupuri. Ea furnizeaza intervalul de diferente reale care concorda cu datele observate.
Este de asemenea important sa putem recunoaste anumite caracteristici ale datelor într-un experiment. Datele pot fi separate în "discrete" si "continue". Datele discrete (eterogene) (sau datele categorice) sunt date care sunt clasificate în categorii separate. Exemple de date discrete sunt rezultatele care sunt clasificate ca slabe, satisfacatoare, bune si excelente sau satisfactia pacientilor, care este înregistrata ca "da" sau "nu". Prin contrast, datele continue se încadreaza într-un spectru. Exemplele includ înaltimea, greutatea sau date numerice de la multe dintre instrumentele rezultat validat-evaluare folosite în cercetarea rezultatelor. Ocazional datele continue se încadreaza într-o distributie normala, care produce o curba în forma de clopot, simetrica în raport cu valoarea medie; aici valoarea medie si abaterea standard sunt elemente statistice adecvate. Mai des, variabilele continue au distributii anormale. Când distributia unei variabile nu este cunoscuta sau este asimetrica, sunt adecvate elemente statistice descriptive, cum ar fi quantilele (de fapt, quantilele sunt adecvate pentru orice variabila continua). Quantilele sunt întotdeauna descriptive ale variabilelor continue, indiferent de distributia care sta la baza lor si un bun rezumat din trei cifre este quartila inferioara (a 25-a percentila), mediana si quartila superioara (a 75-a percentila), unde mediana este reprezentativa pentru un subiect "tipic".
Este important sa se asigure ca testul statistic corect este utilizat în conformitate cu natura datelor. În termeni generali, o variabila cu raspuns discret este analizata utilizându-se teste statistice, cum ar fi testele de semnificatie statistica hi patrat, bazate pe frecventa producerii. Variabilele care pot fi considerate numai comandate si ale caror valori nu pot fi considerate evaluate pe scale de interval (de exemplu, sensibilitatea la durere: zero, slaba, moderata, severa) ar trebui analizate cu ajutorul unor metode de clasificare neparametrica, care nu presupun nimic despre spatierea valorilor pe scala. Variabilele care pot fi considerate evaluate pe scale de interval (de exemplu, trecerea de la o valoare de 2 la 3 este similara, în unele privinte, cu trecerea de la 9 la 10) pot fi analizate fie prin metode neparametrice. Fie prin metode parametrice. Testele parametrice presupun normalitatea si sunt utilizate, de obicei, în cazul în care datele brute rezulta dintr-o distributie simetrica; cu toate acestea,testele neparametrice au o forta excelenta si pot fi folosite si pentru datele distribuite în mod normal. Când datele nu sunt distribuite în mod normal,testele neparametrice au, în general, o forta mai mare si sunt preferate testelor ce presupun normalitatea. De asemenea, testele neparametrice sunt putin afectate de valorile extreme din date.
Pentru analiza statistica, datele brute trebuie transformate (de exemplu, trebuie determinate valoarea medie si abaterea standard). Testele neparametrice au avantajul producerii aceleiasi valori P, indiferent de modul în care este transformata variabila, atâta timp cât transformarea pastreaza ordonarea valorilor pe categorii. De aceea, multi statisticieni recomanda folosirea metodelor neparametriceatunci când se doreste o valoare P si atunci când nu sunt necesare complexitati cum ar fi ajustarea covariata (factor de confuzie). Fara a tine seama de aceasta, recenzorul ar trebui sa evalueze corectitudinea testelor statistice care sunt utilizate pentru evaluarea dovezilor comparatiilor esentiale sin lucrare. Aceasta evaluare ar trebui sa includa urmatoarele aspecte: (1) daca a fost selectat cel mai adecvat test pentru tipul de variabile de raspuns; (2) daca au fost selectate în mod adecvat metodele în pereche în comparatie cu cele care nu sunt în pereche; daca ipotezele privind distributia si variabilitatea egala au fost justificate ferm în cazul utilizarii metodelor parametrice si (4) daca s-a facut ajustarea adecvata, care sa tina seama atât de factorii de confuzie (într-un studiu nerandomizat) cât si de eterogenitatea semnificativa a pacientilor atunci când se evalueaza tendintele rezultatelor (în orice studiu).
În general, utilizarea unui rest statistic care nu este conceput pentru date (de exemplu, folosindu-se testul Student t atunci când datele nu urmeaza o distributie normala) este mai conservatoare si va avea drept rezultat valori P care sunt mai ridicate decât cele care ar fi obtinute în cazul folosirii testului statistic adecvat. În consecinta, atunci când un test ales în mod inadecvat produce un rezultat semnificativ, este mai mult decât probabil ca semnificatia este demna de încredere atâta timp cât datele nu au fost utilizate pentru a selecta testul sau pentru a organiza pe categorii variabilele continue. Nu este adecvat sa se încerce utilizarea mai multor teste încercându-se sa se obtina semnificatia. Din nou, aceasta ofera un alt avantaj pentru utilizarea CI în comparatie cu valorile P.
În sfârsit, este important sa se
mentioneze faptul ca semnificatia statistica nu
implica întotdeauna semnificatia clinica. Într-adevar, în
mod esential se poate demonstra ca orice diferenta
observata este semnificativa din punct de vedere statistic daca
dimensiunea esantionului este suficient de mare. Un studiu care
compara, de exemplu, doua grefe diferite ale ligamentului
încrucisat anterior poate arata o diferenta în
privinta laxitatii artrometrice, masurata prin KT1000
(MEDmetric, San Diego, CA) la nivelul P
= 0,001. Totusi, daca aceasta diferenta este de
Concluzii
În ciuda numeroaselor opinii care se contrazic în domeniul ortopediei, clinicienii sunt uniti în eforturile lor de a asigura cea mai buna si mai moderna îngrijire medicala. Folosind abordarea medicinii bazate pe dovezi, putem analiza cantitatea uriasa de informatii pe care le citim si le studiem, putem determina cât de valoroase sunt aceste informatii si putem lua decizii rationale, bazate pe principii stiintifice solide privind modificarea practicii noastre. Aceasta abordare va ajuta ortopedia sa evolueze în mod eficient, va sprijini directionarea eforturilor de cercetare spre producerea unor informatii mai utile si va asigura o îngrijire a pacientilor bazata pe principii stiintifice solide.
BIBLIOGRAFIE
NOTIUNI DE ANATOMIE, FIZIOLOGIE SI FIZIOPATOLOGIE A CARTILAJULUI ARTICULAR
|
|
Antonescu D.M., Pop D.M.; Elemente de patologie osteoarticulara, Ed. Teora 2000, pp. 7-9, ISBN 9732005580 |
|
|
Athanasiou, K. A.; Rosenwasser, M. P.; Buckwalter, J. A.; Malinin, T. I.; and Mow, V. C.: Interspecies comparisons of in situ intrinsic mechanical properties of distal femoral cartilage. J. Orthop. Res. 1991; 9:330-340 |
|
|
Aydelotte, M. B.; Schumacher, B. L.; and Kuettner, K. E.: Heterogeneity of articular chondrocytes. In Articular Cartilage and Osteoarthritis, pp. 237-249. Edited by K. E. Kuettner, R. Schleyerbach, J. G. Peyron, and V. C. Hascall. New York, Raven Press, 1992 |
|
|
Bachrach N.M., Valhmu W.B., Stazzone E., et al: Changes in proteoglycan synthesis of chondrocytes in articular cartilage are associated with the time-dependent changes in their mechanical environment. J Biomech 28: 1561-1569, 1995 |
|
|
Bonassar L.J., Grodzinsky A.J., Frank E.H., Davila S.G., Bhaktav N.R., Trippel S.B.: The effect of dynamic compression on the response of articular cartilage to insulin-like growth factor-I. J Orthop Res 2001;19:11-17. |
|
|
Bruckner, P.; Mendler, M.; Steinmann, B.; Huber, S.; and Winterhalter, K. H.: The structure of human collagen type IX and its organization in fetal and infant cartilage fibrils. J. Biol. Chem. 1988; 263:16911-16917 |
|
|
Buckwalter, J. A.; Mankin, H. J., The Articular Cartilage - part I: Tissue Design and Condrocyte-Matrix Interactions (An Instructional Course Lecture, The American Academy of Orthopaedic Surgeons) J Bone Joint Surg [Am] 1997; 79-A; 600-11 |
|
|
Buckwalter, J. A.: Should bone, soft-tissue, and joint injuries be treated with rest or activity? [editorial] J. Orthop. Res. 1995; 13:155-156 |
|
|
Buckwalter, J. A.; and Lane, N. E.: Aging, sports and osteoarthritis. Sports Med. and Arthrosc. Rev. 1996; 4:276-287 |
|
|
Buckwalter, J. A.; Kuettner, K. E.; and Thonar, E. J.-M.: Age-related changes in articular cartilage proteoglycans: electron microscopic studies. J. Orthop. Res. 1985; 3:251-257 |
|
|
Buckwalter, J. A.; Lane, N. E.; and Gordon, S. L.: Exercise as a cause of osteoarthritis. In Osteoarthritic Disorders, pp. 405-417. Edited by K. E. Kuettner and V. M. Goldberg. Rosemont, Illinois, The American Academy of Orthopaedic Surgeons, 1995 |
|
|
Buckwalter, J. A.; Mankin, H. J., The Articular Cartilage - part II: Degeneration and Osteoarthrosis, Repair, regeneration and Transplantation (An Instructional Course Lecture, The American Academy of Orthopaedic Surgeons) J Bone Joint Surg [Am] 1997; 79-A; 600-11 |
|
|
Buckwalter, J. A.; Rosenberg, L. C.; and Tang, L. H.: The effect of link protein on proteoglycan aggregate structure. An electron microscopic study of the molecular architecture and dimensions of proteoglycan aggregates reassembled from the proteoglycan monomers and link proteins of bovine fetal epiphyseal cartilage. J. Biol. Chem. 1984; 259:5361-5363 |
|
|
Buschmann M.D., Hunziker E.B., Kim Y-J., et al: Altered aggrecan synthesis correlates with cell and nucleus structure in statically compressed cartilage. J Cell Sci 109: 499-508, 1996 |
|
|
Buschmann M.D., Hunziker E.B., Kim Y-J., et al: Altered aggrecan synthesis correlates with cell and nucleus structure in statically compressed cartilage. J Cell Sci 109: 499-508, 1996 |
|
|
Byers P.D., Brown R.A.: Cell columns in articular cartilage physes questioned: a review; OsteoArthritis and Cartilage 2006; 14, 3-12 |
|
|
Camps C., Passuti N., Guillo
S.: Reparation spontanee du cartilage:
Annales 1999 de |
|
|
Cicuttini F.M., Wang Y.Y., Forbes A., Wluka A.E., Glisson M.: Comparison between patella cartilage volume and radiological assessment of the patellofemoral joint; Clin Exp Rheumatol 2003; 21:321-326 |
|
|
Costache M, Solomon B, Seres-Sturm L: Anatomia Omului, Volumul II, Editura Universitatii Lucian Blaga, Sibiu, 1998; |
|
|
D'Lima D.D., Hashimoto S., Chen P.C., Colwell C.W. Jr., Lotz M.K.: Impact of mechanical trauma on matrix and cells. Clin Orthop 2001;391(suppl):S90-S99. |
|
|
Dejour H., Walch G., Nove-Josserand L., Guier C.: Factors of patellar instability: an anatomic radiographic study. Knee Surg Sports Traumatol Arthrosc 1994; 2:19-26 |
|
|
Diab, M.; Wu, J. J.; and Eyre, D. R.: Collagen type IX from human cartilage: a structural profile of intermolecular cross-linking sites. Biochem. J. 1996; 314:327-332 |
|
|
Duncan H., Jundt J., Riddle J.M., Pitchford W., Christopherson T., The tibial subchondral plate. A scanning electron microscopic study; J Bone Joint Surg Am. 1987; 69: 1212-1220 |
|
|
Eckstein F., Adam C., Sittek H.: Non-invasive determination of cartilage thickness throughout joint surfaces using magnetic resonance imaging. J Biomech 30: 285-289, 1997 |
|
|
Eckstein F., Gavazzeni A., Sittek H., et al: Determination of knee joint cartilage thickness using three-dimensional magnetic resonance chondrocrassometry (3D MR-CCM). Magn Reson Med 36: 256-265, 1996 |
|
|
Eckstein F., Schnier M., Haubner M., et al: Accuracy of cartilage volume and thickness measurements with magnetic resonance imaging. Clin Orthop 352: 137-148, 1998 |
|
|
Eckstein F., Sittek H., Gavazzeni A., et al: Magnetic resonance chondrocrassometry (MR-CCM): A method for accurate determination of articular cartilage thickness? Magn Reson Med 35: 89-96, 1996 |
|
|
Eckstein F., Winzheimer M., Westhoff J., et al: Quantitative relationships of normal cartilage volumes of the human knee joint-assessment by magnetic resonance imaging. Anat Embryol 197: 383-390, 1998 |
|
|
Eyre, D. R.: Collagen structure and function in articular cartilage: metabolic changes in the development of osteoarthritis. In Osteoarthritic Disorders, pp. 219-229. Edited by K. E. Kuettner and V. M. Goldberg. Rosemont, Illinois, The American Academy of Orthopaedic Surgeons, 1995 |
|
|
Godefroy D., Tavernier T. : Imagerie de l'arthrose femoro-patellaire isolee:. Rev Chir Orthop 2004 ; 90(Suppl 5):1S75-1S77 |
|
|
Gollehon D.L., Torzilli P.A., Warren R.F.: The role of the posterolateral and cruciate ligaments in the stability of the human knee. A biomechanical study. J Bone Joint Surg Am 1987; 69:233 - 242 |
|
|
Grodzinsky, A. J.: Age-related changes in cartilage. Physical properties and cellular response to loading. In Musculoskeletal Soft-Tissue Aging: Impact on Mobility, pp. 137-149. Edited by J. A. Buckwalter, V. Goldberg, and S. L-Y. Woo. Rosemont, Illinois, The American Academy of Orthopaedic Surgeons, 1993 |
|
|
Guerne, P. A.; Blanco, F.; Kaelin, A.; Desgeorges, A.; and Lotz, M.: Growth factor responsiveness of human articular chondrocytes in aging and development. Arthrit. and Rheumat. 1995; 38:960-968 |
|
|
Guilak F., Ratcliffe A., Mow V.C.: Chondrocyte deformation and local tissue strain in articular cartilage: A confocal microscopy study. J Orthop Res 13: 410-421, 1995 |
|
|
Guilak F., Ratcliffe A., Mow V.C.: Chondrocyte deformation and local tissue strain in articular cartilage: A confocal microscopy study. J Orthop Res 13: 410-421, 1995 |
|
|
Guilak F.: Compression-induced changes in the shape and volume of the chondrocyte nucleus. J Biomech 28: 1529-1541, 1995 |
|
|
Hagg R., Bruckner P.., Hedbom E.: Cartilage fibrils of mammals are biochemically heterogeneous: Differential distribution of decorin and collagen IX. J Cell Biol 1998; 142:285-294. |
|
|
Hagiwara, H.; Schroter-Kermani, C.; and Merker, H. J.: Localization of collagen type VI in articular cartilage of young and adult mice. Cell and Tissue Res. 1993; 272:155-160 |
|
|
Haubner M., Eckstein F., Losch A., et al: A non-invasive technique for 3-dimensional assessment of articular cartilage thickness based on MRI. Part 2: Validation with CT arthrography. Magn Reson Imaging 15: 805- 813, 1997 |
|
|
Hayashi, T.; Abe, E.; and Jasin, H. E.: Fibronectin synthesis in superficial and deep layers of normal articular cartilage. Arthrit. and Rheumat. 1996; 39:567-573 |
|
|
Hedbom, E.; Antonsson, P.; Hjerpe, A.; Aeschlimann, D.; Paulsson, M.; Rosa-Pimentel, E.; Sommarin, Y.; Wendel, M.; Oldberg, A.; and Heinegard, D.: Cartilage matrix proteins. An acidic oligomeric protein (COMP) detected only in cartilage. J. Biol. Chem. 1992; 267:6132-6136 |
|
|
Hedlund, H.; Mengarelli-Widholm, S.; Heinegard, D.; Reinholt, F. P.; and Svensson, O.: Fibromodulin distribution and association with collagen. Matrix Biol. 1994; 14:227-232 |
DIAGNOSTICUL SI TRATAMENTUL LEZIUNILOR CARTILAJULUI ARTICULAR
|
|
Abramson SB: The role of COX-2 produced by cartilage in arthritis. Osteoarthritis Cartilage 1999;7:380-381. |
|
|
Aichroth P: Osteochondritis dissecans of the knee: A clinical survey. J Bone Joint Surg Br 1971;53:440-447 |
|
|
Antonio Gigante , Claudia Bevilacqua , Andrea Ricevuto, Monica Mattioli-Belmonte, Francesco Greco, Membrane-seeded autologous chondrocytes: cell viability and characterization at surgery Knee Surg Sports Traumatol Arthrosc (2007) 15:88-92 |
|
|
Ĺrřen A, Lřken S, Heir S, Alvik E, Ekeland A, Granlund OG, Engebretsen L., Articular Cartilage Lesions in 993 consecutive Knee Arthroscopies Am. J. Sports Med. 2004; 32; 211 |
|
|
Ayral X, Gueguen A. Simplified arthroscopy scoring system for chondropathy of the knee_revised SFA score.. Rev Rheum 1994;February. |
|
|
Bandi W. Chondromalacia of the patella. Etiology and pathogenesis, clinical aspects, therapy and prognosis. Z Unfallmed Berufskr 1982;75:155]160. |
|
|
Bashir A, Gray ML, Boutin RD, Burstein D. Glycosaminoglycan in articular cartilage: in vivo assessment with delayed Gd(DTPA)(2-)-enhanced MR imaging. Radiology 1997;205 : 551-558 |
|
|
Bauer MD, Jackson RW. Chondral lesions of the femoral condyles, a system of arthroscopic classification. Arthroscopy 1988;4:97]102. |
|
|
Bentley G, Dowd G. Current concepts of etiology and treatment of chondromalacia patellae. Clin Orthop 1984;189: 209]228. |
|
|
Boden BP, Pearsall AW, Garrett WE Jr, Feagin JA Jr. Patellofemoral instability: evaluation and management. J Am Acad Orthop Surg. 1997;5:47-57 |
|
|
Borjesson M., Weidenhielm L., Mattsson E., Olsson E. Gait and clinical measurements in patients with knee osteoarthritis after surgery: a prospective 5-year follow-up study The Knee 12 (2005) 121- 127 |
|
|
Bradley D. Harman, Steven H. Weeden, Derek K. Lichota and George W. Brindley Osteochondral Autograft Transplantation in the Porcine Knee Am. J. Sports Med. 2006; 34; 913 |
|
|
Breinan H.A., Martin S.D., Hsu H.P., Spector M.; Healing of Canine Articular Cartilage Defects Treated with Microfracture, a Type-II. Collagen Matrix, or Cultured Autologous Chondrocytes; J of Ortho Research 2000; 18: 781-789 |
|
|
Brewster M, Lewis EJ,WilsonKL, Greenham AK, Bottomley KM: Ro 32-3555, an orally active collagenase selective inhibitor, prevents structural damage in the STR/ORT mouse model of osteoarthritis. Arthritis Rheum 1998;41:1639-1644 |
|
|
Brief AA, Maurer SG, Di Cesare PE: Use of glucosamine and chondroitin sulfate in the management of osteoarthritis. J Am Acad Orthop Surg 2001;9:71-78. |
|
|
Brittberg M, Lindahl A, Nilsson A, Ohlsson C, Isaksson O, Peterson L. Treatment of deep cartilage defects in the knee with autologous chondrocyte transplantation. N Engl J Med. 1994;331:889-895 |
|
|
Brouwer RW, Jakma TSC, Bierma-Zeinstra SMA, Ginai AZ, Verhaar JAN The whole leg radiograph Standing versus supine for determining axial alignment Acta Orthop Scand 2003; 74 (5): 565-568 |
|
|
Cahill BR: Osteochondritis dissecans of the knee:Treatment of juvenile and adult forms. J Am Acad Orthop Surg 1995;3:237-247 |
|
|
Cameron ML, Briggs KK, SteadmanJR, Reproducibility and Reliability of the Outerbridge Classification for Grading Chondral Lesions of the Knee Arthroscopically Am. J. Sports Med. 2003; 31; 83 |
|
|
Cannon GW, Breedveld FC: Efficacy of cyclooxygenase-2-specific inhibitors. Am J Med 2001;110(suppl 3A):S6-S12. |
|
|
Casscells SW. Chondromalacia of the patella. J Pediatr Orthop 1982;2:560]564. |
|
|
Conrad JM, Stanitski CL: Osteochondritis dissecans:Wilson's sign revisited. Am J Sports Med 2003;31:777-778 |
|
|
Convery FR, Akeson WH, Keown GH, The repair of Large osteochondral defects. An experimental study in horses Clin Orthop 82: 253-262, 1972 |
|
|
Crawford D.C, Safran M.R., Osteochondritis Dissecans of the Knee J Am Acad Orthop Surg 2006;14:90-100 |
|
|
Creamer P: Intra-articular corticosteroid treatment in osteoarthritis. Curr Opin Rheumatol 1999;11:417-421 |
|
|
Cunningham T, Jessel R, Zurakowski D, MillisMB, Kim YJ, Delayed Gadolinium-Enhanced Magnetic Resonance Imaging of Cartilage to Predict Early Failure of Bernese Periacetabular Osteotomy for Hip Dysplasia J Bone Joint Surg Am. 2006;88:1540-1548 |
|
|
Curl WW, Krome J, Gordon ES, Rushing J, Smith BP, Poehling GG. Cartilage injuries: a review of 31,516 knee arthroscopies. Arthroscopy. 1997;13:456-460 |
|
|
Dae Kyung Bae, M.D., Kyoung Ho Yoon, M.D., and Sang Jun Song, M.D. Cartilage Healing After Microfracture in Osteoarthritic Knees Arthroscopy: The Journal of Arthroscopic and Related Surgery, Vol 22, No 4 (April), 2006: pp 367-374 |
|
|
Dandy D. Arthroscopic Management of the Knee. New York: Churchill Livingstone, 1987. |
|
|
Davies AP, Glasgow MS. Imaging in osteoarthritis: a guide to requesting plain X-rays of the degenerate knee. The Knee 2000;(7):139 -143. |
|
|
Deryk G. Jones and Lars Peterson Autologous Chondrocyte Implantation J Bone Joint Surg Am. 2006;88:2501-2520. |
|
|
Dorotka R, Bindreiter U, Macfelda K, Windberger U, Nehrer S, Marrow Stimulation and Chondrocyte Transplantation Using a Collagen Matrix for Cartilage Repair Osteoarthritis and Cartilage 2005; 13:655-664 |
|
|
Dougados M, Ayral X. Proposition d'un score des lesions cartilagineuses du genou par |
|
|
Dzioba RB. The classification and treatment of acute cartilage lesions. Arthroscopy 1988;4:72]80. |
|
|
Edgerton BC, Mariani EM, Morrey BF. Distal femoral varus osteotomy for painful genu valgum. A 5-11 year follow-up study. Clin Orthop1993;288:263-269 |
|
|
Ficat RP, Philippe J, Hungerford DS. Chondromalacia patellae: a system of classification. Clin Orthop 1979;144:55]62. |
|
|
Friemert B. Oberländer Y. · Schwarz W. · Häberle H. J. · Bähren W. · Gerngroß H. · Danz B. Diagnosis of chondral lesions of the knee joint:can MRI replace arthroscopy? A prospective study Surg Sports Traumatol Arthrosc (2003) 8: |
|
|
Fubini SL, Todhunter RJ, Burton- Wurster N, Vernier-Singer M, MacLeod JN: Corticosteroids alter the differentiated phenotype of articular chondrocytes. J Orthop Res 2001;19:688-695 |
|
|
Gillis A, Bashir A, Mckeon B, Scheller A, Gray ML, Burstein D. Magnetic resonance imaging of relative glycosaminoglycan distribution in patients with autologous chondrocyte transplants. Invest Radiol 2001; 36:743 -748 |
|
|
Gobbi A, Nunag P, Malinowski K. Treatment of full thickness chondral lesions of the knee with microfracture in a group of athletes. Knee Surg Sports Traumatol Arthrosc. 2005;13:213-21. |
|
|
Goodfellow J, Hungerford DS, Zindel M. Patello-femoral joint mechanics and pathology, I: functional anatomy of the patello-femoral joint. J Bone Jt Surg 1976;58B:287]290. |
|
|
Hangody L, Kish G, Karpati Z, Udvarhelyi I Arthroscopic autogenous osteochondral mosaicplasty for the treatment of femoral condylar articular defects. Knee Surg Sports Traumatol Arthrosc (1997) 3:262-267 |
|
|
Insall J, Falvo KA, Wise DW. Chondromalacia patellae. A prospective study. J Bone Surg 1976;58A:1]8. |
|
|
Internationnal Cartilage Repair Society : congrčs de GÔTEBORG Mai 2000 |
|
|
Jackson JP, Waugh W. Tibial osteotomy for osteoarthritis of the knee. J Bone Joint Surg Br. 1961;43:746-751 |
|
|
Jae Chul Yoo, Jin Hwan Ahn, Seok Hyun Lee, Sang Hak Lee and Jae Hoon Kim Suturing Complete Radial Tears of the Lateral Meniscus; Arthroscopy 2007, Vol 23, 1249.e1-1249.e7 |
|
|
Janusz MJ, Hookfin EB, Heitmeyer SA, et al: Moderation of iodoacetate-induced experimental osteoarthritis in rats by matrix metalloproteinase inhibitors. Osteoarthritis Cartilage 2001;9:751-760. |
|
|
John M. Wright, MD, Heber C. Crockett, MD, Daniel P. Slawski, MD, Mike W. Madsen, MD, and Russell E. Windsor, MD High Tibial Osteotomy, J Am Acad Orthop Surg 2005;13:279-289 |
|
|
Johnson L.L. Arthroscopic Abrasion Arthroplasty.ln Operative Arthroscopy, Ed. McGinty et coll., 1991, Raven Press, New York, Ch. 24, 341-359 |
|
|
Jon E.B., Thomas P.B., Surgical Alternatives for Treatment of Articular Cartilage Lesions; J Am Acad Orthop Surg 2000;8:180-189 |
|